La ortopantomografía, también conocida como radiografía panorámica, es una prueba de diagnóstico por imagen que permite visualizar toda la boca en una sola toma. Es una herramienta fundamental en la odontología moderna. Gracias a ella, el equipo médico puede evaluar con precisión el estado de los dientes, huesos maxilares y articulaciones temporomandibulares.
En este artículo, explicaremos en detalle qué es, cómo se realiza y en qué casos es útil esta técnica.

¿Qué es la ortopantomografía?
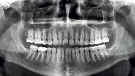
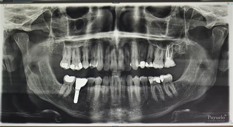
Una ortopantomografía es una radiografía que muestra en una única imagen de formato panorámico la totalidad de las estructuras de la boca: maxilares, mandíbula y los dientes. También se observan en ella las articulaciones temporomandibulares y los senos maxilares.
A diferencia de las radiografías intraorales, que solo muestran pequeñas secciones de la dentadura, esta técnica abarca desde el maxilar superior hasta la mandíbula, incluyendo estructuras óseas, senos maxilares y articulaciones.
Es un procedimiento rápido, indoloro y con una exposición mínima a la radiación, lo que lo convierte en una opción segura para la mayoría de los pacientes. Su uso está ampliamente extendido en odontología, ortodoncia, implantología y cirugía maxilofacial, ya que permite detectar anomalías y planificar tratamientos con mayor precisión.
Quizás no te suene de nada el nombre de ortopantomografía, pero es muy probable que hayas escuchado hablar de la radiografía panorámica en el dentista. Ambos términos sirven para dar nombre a esta prueba de imagen.
¿Cómo se realiza una ortopantomografía?
El procedimiento para realizar una ortopantomografía es sencillo y dura apenas unos minutos. A continuación, te explicamos el proceso paso a paso:
Preparación del paciente
No se necesita ninguna preparación especial. No obstante, solo deben realizarse cuando el profesional lo considere estrictamente necesario. Es recomendable retirar cualquier objeto metálico (pendientes, collares, piercings bucales) que pueda interferir con la imagen. Se recomienda la utilización de un delantal plomado y un collarín como sistema de barrera para proteger el tiroides, las vértebras cervicales y otros órganos. También se le colocará un delantal plomado para minimizar la exposición a la radiación.
Posicionamiento
El paciente se coloca de pie frente al ortopantomógrafo, muerde una especie de lengüeta de plástico (para separar los maxilares), agarra dos asas que salen de la máquina y coloca la barbilla en un poyete. El paciente se sitúa de pie o sentado frente al aparato de rayos X, con la cabeza apoyada y el mentón sobre un soporte para evitar movimientos. A continuación, debe dar un pequeño paso adelante y dejar caer ligeramente el peso de su cuerpo hacia atrás, evitando moverse.

Mordida en el posicionador
Se le pedirá al paciente que muerda suavemente una pieza plástica que ayuda a colocar los dientes en la posición correcta. Tendrás que morder una pieza que te ayudará a mantener la boca en posición correcta. La mandíbula queda perfectamente apoyada en un saliente del aparato. Tus manos sujetarán dos soportes o asas, con el fin de evitar movimientos. Con el objetivo de obtener mucha información de las estructuras dentales, debes de mantener tus arcadas dentales separadas.
Rotación del equipo
El dispositivo de rayos X gira alrededor de la cabeza del paciente en un movimiento semicircular, capturando la imagen panorámica de la boca. La máquina realiza movimientos paulatinos alrededor de tu cabeza, generando así la famosa radiografía panorámica de todas las estructuras orales.

Obtención de la imagen
En pocos segundos, la imagen digital se genera y está lista para ser evaluada por el odontólogo. En unos minutos recibimos unas imágenes claras y nítidas de tus estructuras faciales y dentales. Los resultados de la prueba los analizamos en una pantalla incorporada en el aparato. En la pantalla vamos viendo las imágenes en tiempo real.
La duración de la ortopantomografía es de tan solo unos minutos. Además, cabe destacar que la radicación necesaria para realizar esta radiografía facial es mínima. Por lo tanto, la ortopantomografía es una prueba segura. Esto es algo fundamental, ya que nuestro objetivo es establecer diagnósticos de calidad sin necesidad de someter al paciente a radiaciones extremas.
Este procedimiento es completamente indoloro y no requiere de anestesia.
¿Para qué sirve la ortopantomografía?
La ortopantomografía es una herramienta clave en diversas áreas de la odontología. Algunas de sus principales aplicaciones son:
¿Qué es una ortopantomografía? | Clínica dental Palma de Mallorca
Evaluación general de la salud bucodental
Nos permite detectar caries, infecciones, quistes o fracturas óseas que podrían no ser visibles en un examen clínico convencional. Gracias a las imágenes que nos ofrece la radiografía panorámica podemos detectar caries dentales que todavía no son demasiado visibles. A veces, las caries son tan pequeñas que necesitamos de la tecnología para detectarlas. Pero, la prueba va más allá, ya que nos aporta información sobre el grado de afectación de la caries. Si la infección ya ha llegado al nervio dental podemos planificar una endodoncia, en lugar de un empaste. Por lo tanto, esta prueba de imagen nos ayuda a diseñar el abordaje más indicado en cada caso.
Ortodoncia
Ayuda a los ortodoncistas a analizar la posición de los dientes y los maxilares para planificar tratamientos con brackets o alineadores.
Enfermedades periodontales
Permite valorar la pérdida ósea causada por la periodontitis y establecer un tratamiento adecuado. Tanto la gingivitis como la periodontitis son patologías orales que hay que prevenir. Si existe una infección bacteriana en tu boca, es importante que te pongas en manos de un buen periodoncista. En nuestro servicio de periodoncia usamos la ortopantomografía para revisar la situación real de las estructuras orales. Si existen bolsas periodontales, las imágenes nos van a aportar información de calidad sobre su ubicación y tamaño.
Implantología dental
Gracias a la ortopantomografía somos capaces de planificar tratamientos de implantes dentales mucho más precisos y seguros. La radiografía nos aporta información sobre el hueso dental, su cantidad y la calidad del mismo. Teniendo esto en cuenta recurrimos a un tipo de implantes o a otro. La colocación de implantes dentales requiere precisión y experiencia, además del uso de materiales de alta calidad. Gracias a nuestras pruebas radiográficas somos capaces de predecir el lugar exacto en el que se debe de colocar el implante dental, con el fin de evitar daños en los nervios de la boca.
Odontopediatría
Esta radiografía panorámica es muy interesante en los pacientes infantiles. A veces, los niños tienen dientes pendientes de erupcionar o retenidos, que pueden afectar a su salud bucodental. Las imágenes que obtenemos con esta prueba nos ayudan a comprender las características orales de los más pequeños. Tiene muy buenas aplicaciones para diseñar tratamientos de ortodoncia funcional o interceptiva. Antes de diseñar un abordaje de ortodoncia infantil es importante que obtengamos toda la información posible sobre las estructuras orales de los peques. En niños pequeños podemos observar y predecir cómo va a ser la erupción dental.
Aunque también la utilizamos de forma complementaria en implantología y extracción de las piezas cordales (las últimas muelas que nos salen), en algunas clínicas se utiliza CBCT, el escaneado de la boca en 3D para hacer la planificación de ambos tratamientos.

En la siguiente tabla se resumen las principales aplicaciones de la ortopantomografía:
| Aplicación | Descripción |
|---|---|
| Evaluación general | Detección de caries, infecciones, quistes y fracturas. |
| Ortodoncia | Análisis de la posición de los dientes y maxilares. |
| Enfermedades periodontales | Valoración de la pérdida ósea y tratamiento de la periodontitis. |
| Implantología | Planificación precisa y segura de implantes dentales. |
| Odontopediatría | Evaluación de la erupción dental en niños. |
¿Quiénes pueden hacerse una ortopantomografía?
La ortopantomografía es segura para la mayoría de los pacientes, aunque, como cualquier radiografía, debe ser utilizada con criterio médico para evitar una exposición innecesaria a la radiación. No está recomendada en mujeres embarazadas a menos que sea estrictamente necesario y siempre con la debida protección.
Es una técnica muy utilizada tanto en adultos como en niños, especialmente en casos de ortodoncia o cuando es necesario evaluar la erupción de dientes permanentes.
tags: #como #se #hace #una #ortopantomografia