Si estás considerando un tratamiento de ortodoncia, es natural que quieras conocer los diferentes tipos de aparatos disponibles y cuál podría ser la mejor opción para ti. La elección del tipo de aparato es una de las mayores dudas que surgen al considerar la ortodoncia. Afortunadamente, gracias a la variedad de opciones disponibles, podemos adaptarnos a las necesidades individuales de cada paciente. Para salir de dudas, lo mejor es ponerse en manos de un profesional.
Una ortodoncia tiene el doble objetivo de conseguir una buena oclusión y una correcta alineación de los dientes. Los tratamientos de ortodoncia realizan suaves movimientos que desplazan los dientes de forma individual o en bloque corrigiendo su posición. No hay límite de edad para realizar un tratamiento de ortodoncia.
En nuestras clínicas dentales de Madrid, contamos con doctores especialistas de ortodoncia para que lleves a cabo tu tratamiento con total seguridad y con una previa planificación 100% personalizada. Si quieres, puedes solicitar una primera cita gratis en nuestras clínicas de Madrid, donde te realizaremos un estudio dental completo gratis.
Tipos de Ortodoncia actualizado a 2024 ✅
Tipos de Ortodoncia
A nivel general, los tipos de ortodoncia se pueden clasificar según su visibilidad, material, sistema de corrección y el perfil del paciente.
A continuación, exploraremos los diferentes tipos de ortodoncia disponibles:
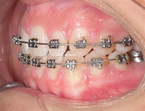
1. Ortodoncia Tradicional con Brackets Metálicos

La ortodoncia tradicional utiliza brackets metálicos y, aunque suele asociarse con tratamientos en niños y adolescentes la realidad es que es el tratamiento de ortodoncia en adultos más efectivo, especialmente en casos complejos. Es la más tradicional y económica, utilizando brackets de acero inoxidable y alambres para corregir la posición de los dientes. Aunque es muy efectiva, es también la más visible.
- Ventajas: Alta eficacia, ideal para casos complejos, tratamiento en niños y jóvenes.
- Desventajas: Menos estética, más visible.
Requieren de una ligadura de alambre o a base de gomitas para fijar el arco sobre los dientes. Se trata de una ortodoncia muy resistente que aplica una fuerza constante para mover los dientes, siendo ideal para tratamientos en niños y jóvenes, aunque, teniendo en cuenta que para determinados diagnósticos obtienen mejores resultados que otros sistemas, también se utiliza para tratar maloclusiones en adultos a los que no les importa que se vean los aparatos.
Dentro de los brackets metálicos existen los brackets autoligables, que en vez de usar gomitas lleva un mecanismo mediante clip que lo convierte en una opción más higiénica y ligeramente más discreta que los tradicionales.
En realidad los brackets de colores no existen. Lo que les proporciona color son las gomas de colores que se colocan en cada bracket. Son ideales para niños, hacen que la ortodoncia sea algo más divertido y les permite escoger entre sus colores favoritos, los colores del arcoíris, colores fosforitos, etc.
2. Brackets Estéticos

También conocidos como brackets estéticos, los brackets de zafiro, son una elección popular para quienes buscan una opción discreta y fiable. Este tipo de ortodoncia se compone por Brackets y alambres de cementado directo por vestibular, que resultan en gran medida transparentes pues están fabricados en materiales policristalinos tipo zafiro o de cerámicas avanzadas. Funciona igual que la metálica, pero con brackets de zafiro o cerámica, más discretos y visualmente agradables.
- Ventajas: Mayor estética, menos visibles.
Dentro del grupo de los brackets transparentes, también conocidos como brackets estéticos, podemos incluir los de cerámica y los de zafiro. Los brackets estéticos o transparentes tienen un color similar a los dientes y constituyen la primera alternativa a los metálicos. Normalmente son el tipo de aparatos que utilizamos en mayores de 18 años que quieren una ortodoncia que sea menos visible a simple vista.
Con los brackets transparentes podemos emplear arcos, ligaduras y gomas de color blanco. Los brackets cerámicos, también conocidos como brackets estéticos o transparentes, son la alternativa más usual a los metálicos. La diferencia es precisamente que son más estéticos al ser menos visibles a simple vista ya que tienen un color similar a los dientes.
Para mayor discreción, dependiendo del tratamiento, arcos, ligaduras y gomas pueden ser blancos.
Están fabricados en zafiro y tienen la cualidad de camuflarse, ya que el material traslúcido adopta el mismo tono del diente.
3. Brackets Linguales

Se utilizan los mismos brackets métalicos que en la ortodoncia tradicional con la diferencia de que se colocan en la cara interna de los dientes, ofreciendo una opción más discreta y estética que la ortodoncia con brackets metálicos. Los brackets se colocan en la cara interna de los dientes, lo que la hace completamente invisible desde el exterior. Es una de las opciones más estéticas, aunque puede generar molestias iniciales y es técnicamente más compleja.
- Ventajas: Totalmente invisibles.
- Desventajas: Mayor precio, posible incomodidad inicial.
La Ortodoncia Lingual se compone de Brackets de color metálico (oro o platino) fabricados a medida de la cara lingual de los dientes. Estos tipos de aparatos dentales están diseñados para cementarse en la parte interior de los dientes, que es más irregular, y por esto requiere una fabricación y customización total para cada caso.
Es uno de los tratamientos más avanzados y por excelencia es la ortodoncia conocida como invisible, por tanto, cuando hablamos de brackets invisibles nos estamos refiriendo a los brackest linguales.
4. Ortodoncia Invisible (Alineadores Transparentes)

Con la ortodoncia invisible conseguirás alinear tus dientes sin brackets. Este sistema, como Invisalign, consiste en férulas removibles, transparentes y fabricadas a medida mediante tecnología 3D. Es cómoda, discreta y permite mantener una buena higiene oral.
- Ventajas: Cómodos, removibles, casi invisibles.
- Desventajas: Precio más elevado, requiere disciplina del paciente.
Tras un estudio de ortodoncia se realiza una planificación y diagnóstico en función de la maloclusión del paciente y a partir de este plan de tratamiento virtual se fabrican los alineadores. Invisalign es la técnica de ortodoncia con alineadores removibles más antigua (unos 23 años de trayectoria ya), más avanzada, más estudiada y más patentada.
Los alineadores transparentes (como Invisalign) son prácticamente invisibles y removibles. Ideales para adultos que buscan un tratamiento cómodo y estético.
Factores a Considerar al Elegir un Tratamiento de Ortodoncia
Muchos se preguntan qué tratamiento de Ortodoncia es más rápido o si conviene una Ortodoncia temprana o Interceptiva, si influye la edad a la que iniciemos el tratamiento y la respuesta de cada paciente, o si la experiencia de cada profesional puede influir en el tiempo del tratamiento. La respuesta a todo esto es SI.
Edad del Paciente
Edad del paciente: no es lo mismo tratar a un niño o adolescente que a un adulto. Realizar un tratamiento correctivo en un paciente que acaba de obtener la dentición permanente es más rápido.
Duración del Tratamiento
Generalmente, entre 12 y 24 meses. La duración del tratamiento dependerá de la complejidad del problema, pero tanto los brackets como los alineadores son tratamientos efectivos.
Precio del Tratamiento
Considerar los gastos que puede suponer tu tratamiento de ortodoncia es una tarea complicada y requiere de gran esfuerzo ante la enorme variedad de opciones. A continuación, desglosamos el precio según el tipo de aparato y la duración del tratamiento.
| Tipo de Ortodoncia | Precio Aproximado |
|---|---|
| Brackets Metálicos | €1,500 - €3,000 |
| Brackets Estéticos (Cerámica o Zafiro) | €2,500 - €4,500 |
| Brackets Linguales | €4,000 - €7,000 |
| Alineadores Transparentes (Invisalign) | €3,000 - €6,000 |
Nota: Estos precios son aproximados y pueden variar según la clínica y la complejidad del caso.
Fases del Tratamiento de Ortodoncia
Fase 1: antes de comenzar tu tratamiento, tu ortodoncista te realizará un estudio de ortodoncia previo, el cual incluye toma de impresiones para modelos y radiografías para el estudio de dientes y hueso, de este modo se podrá establecer un diagnóstico con la mayor precisión posible.
Fase 5: una vez se hayan quitado los aparatos de ortodoncia, será necesario la colocación de un aparato de retención. Éste podrá ser fijo, a través de un alambre metálico en la parte trasera de los dientes o removible, a través de una férula trasparente que se colocará por las noches.
Cuidado y Mantenimiento Durante el Tratamiento
Mantener una higiene impecable durante el tratamiento ortodóntico no es opcional. Es fundamental para evitar caries, inflamación de encías o manchas.
- Higiene dental rigurosa: tanto durante como después del tratamiento de ortodoncia estética es fundamental cepillar los dientes después de cada comida durante, al menos, dos minutos, así como usar hilo dental una vez al día.
- Revisiones periódicas: tras la retirada de la ortodoncia es fundamental seguir acudiendo a revisiones periódicas con el ortodoncista.
- Evitar hábitos orales nocivos: morder alimentos u objetos duros (chocolate guardado en nevera, cubitos de hielo, lápices…) o usar los dientes para abrir envases pone en peligro la integridad de los dientes. Lo mismo ocurre con el bruxismo (hábito involuntario que consiste en apretar y/o rechinar los dientes).
- Irrigador bucal: Complemento perfecto para una limpieza profunda.