¿Te has preguntado alguna vez cómo se puede reconstruir un diente dañado? La reconstrucción dental es una práctica odontológica conservadora que tiene como fin la conservación de los dientes naturales, buscando mantenerlos en buen estado y, en muchos casos, evitar extracciones. Se realiza para solucionar complicaciones dentales mayores y menores por igual. Es una opción ideal para quienes sufren pérdida de dientes, caries, enfermedades de las encías y otras dolencias bucales graves.

¿Qué es la Reconstrucción Dental?
Como indica su nombre, una reconstrucción dental es un procedimiento odontológico que tiene como fin la conservación de los dientes naturales. El objetivo principal de esta práctica es la recuperación, tanto estética como funcional, de las piezas dentales dañadas por diversos motivos.
Tipos de Reconstrucción Dental
Existen diferentes tipos de reconstrucción dental en función de los daños y de la afectación que pueda tener el diente o los dientes en cuestión. A continuación, exploraremos algunos de los tipos más comunes:
1. Empastes o Restauraciones de Composite
Una restauración de composite está hecha de acrílico, que es de color blanco/diente. Mucha gente llama a una restauración de composite "empaste". En un primer estadio, la caries afecta al esmalte del diente. En el primero de los casos, podemos realizar un empaste u obturación para sanear y reconstruir la pieza.

2. Carillas Dentales
Las carillas suelen estar hechas de porcelana o resina compuesta, y adoptan la forma de una cáscara delgada pero resistente de material fijada a la parte delantera del diente. Se les da una forma meticulosa y se les cambia el color perfectamente para que coincidan con el resto de la sonrisa. Esta técnica se aplica cuando se producen daños a nivel superficial. Las carillas se utilizan para reparar dientes con fracturas y que presentan desgastes severos.

3. Incrustaciones Dentales
Las incrustaciones son muy similares a los empastes, ya que cierran un hueco. Estas se colocan en el exterior del diente, consiguiendo un resultado de lo más natural. Las incrustaciones, generalmente, se utilizan para la reconstrucción de muelas que han perdido una parte significativa de su estructura dentaria, encontrándose muy deterioradas de forma superficial.

4. Endodoncia y Reconstrucción
Este tipo de tratamiento de endodoncia se aplica en las situaciones más complejas, como son las caries profundas. Sin embargo, con el paso del tiempo, si no recibe el tratamiento adecuado, esta puede seguir avanzando hacia su interior. En el segundo, puede ser necesaria una endodoncia. Es decir, la eliminación total o parcial de la pulpa dentaria, conocida popularmente como nervio, la limpieza y desinfección de los conductos radiculares y la posterior reconstrucción del diente o de la muela.

5. Reendodoncia
La reendodoncia es un tratamiento que se lleva a cabo en dientes que han sido sometidos previamente a una endodoncia. En otras palabras, podemos decir que la reendodoncia consiste en “deshacer” y rehacer el proceso de nuevo. La necesidad de repetir la endodoncia también puede deberse a la entrada de bacterias en el interior del diente, procedentes de una filtración de la saliva.
6. Reconstrucción con Perno y Corona
Ante una pérdida severa de diente, puede ser necesario recurrir a un perno. Esto es especialmente común tras realizar endodoncias o reconstrucciones extensas en muelas. Con el poste de fibra de vidrio nos aseguramos de que la corona que vamos a colocar sobre la pieza dental esté bien sujeta. Por último, en algunos casos, puede ser necesario la reconstrucción de una pieza con perno de fibra de vidrio y corona dental.

Cuándo es Necesaria una Reconstrucción Dental
Una reconstrucción dental es una rehabilitación, generalmente parcial, de un diente que ha perdido parte de su anatomía. Algunas de las causas más comunes incluyen:
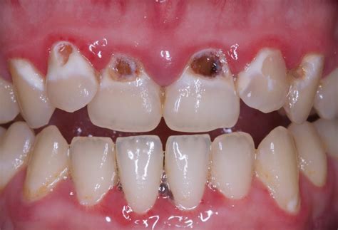
- Caries dentales: Es la reconstrucción más conocida para abordar casos de dientes con caries.
- Traumatismos dentales: Un traumatismo dental, provocado por un golpe o caída, puede ocasionar la fractura de una o varias piezas, movilidad dental o daños en el hueso maxilar o mandibular.
Procedimiento de Reconstrucción Dental
Por ello, el primer paso para llevar a cabo una reconstrucción dental es acudir al dentista lo antes posible. Este se encargará de realizar una exploración clínica y radiográfica, valorar el estado de la pieza dental y establecer un diagnóstico preciso. A continuación, determinará el procedimiento a seguir. Antes del tratamiento, el odontólogo aplicará anestesia local en la zona afectada y realizará la intervención, que dependerá del estado del diente.
En general, el procedimiento puede incluir:
- Estudio previo: Antes de realizar una reendodoncia, el dentista lleva a cabo una exploración bucodental del paciente y toma una serie de radiografías (panorámicas, periapicales y TAC).
- Anestesia: El primer paso del procedimiento consiste en la administración de anestesia local.
- Limpieza y desinfección: Se retira el material de obturación y se limpian los conductos radiculares.
- Sellado: Tras su limpieza y preparación, los canales o conductos radiculares se rellenan y sellan con un material de relleno conocido como gutapercha.
- Colocación de la restauración: Una vez que la restauración esté lista, se colocará en la muela logrando un ajuste perfecto.
Consideraciones Adicionales
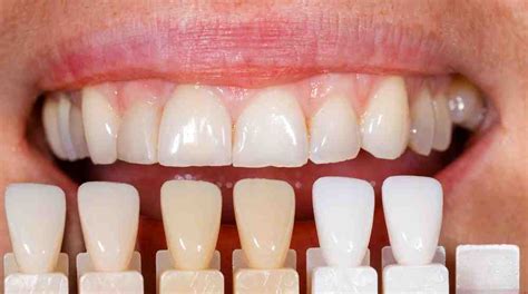
- Material de reconstrucción: El tipo de material utilizado para la reconstrucción puede influir en el precio. Las opciones incluyen composite (material del color del diente) o cerámica.
- Efectividad de la reendodoncia: La efectividad de la reendodoncia depende de numerosos factores, como la experiencia y habilidad del dentista, el estado del diente y la respuesta individual de cada paciente al tratamiento.
- Cuidados post-tratamiento: Es fundamental acudir a revisiones con el dentista y someterse a una higiene oral profesional al menos una vez al año.

Si necesitas una reconstrucción dental, puedes acudir a cualquiera de nuestros centros de Madrid. No lo dejes pasar más y acude a una primera visita gratis con especialistas.
Clínica Dental Medics del Dr. Ven a visitarnos a la Calle de Ramiro II, 10.
PERNO METÁLICO vs. PERNO DE FIBRA DE VIDRIO: ¿Cuál es la mejor opción para tu sonrisa?
Opiniones de Pacientes
- “Empecé mi tratamiento con ellos hace un mes y el trato está siendo inmejorable y excelente. Ayer me colocaron los Brackets y no puedo estar más contento."
- “Médicos maravillosos recomendable para todo el mundo."
- “Atención inmejorable, personal súper atento y profesional."
- “El Dr. Ferrer lleva viéndome a mi, y a toda mi familia, desde que me alcanza la memoria y siempre ha sido un profesional excelente, atento, cuidadoso y cariñoso. Precios realmente competitivos y una calidad humana del equipo inmejorable. Se preocupan por el paciente, te hacen sentir seguro de estar en buenas manos y te resuelven inmediatamente cualquier duda o problema que surja."
- “El doctor Ferrer es dueño de mi sonrisa. El trato ha sido siempre maravilloso y los precios los mejores de Madrid. Me han puesto varios implantes y el resultado es super natural."
- "Soy Paciente desde hace tres años, el Dr Jorge Ferrer me ha puesto implantes, y fue todo satisfactorio. Son grandes profesionales los Drs Ferrer padre e hijo."
- “Magnífico equipo, con una atención extraordinaria. Estoy muy feliz con mi tratamiento realizado."
- "Recomiendo esta Clínica por su excelente trato y profesionalidad. La relación calidad / precio son inmejorables."
- "Me he realizado ortodoncia y blanqueamiento, estoy encantada con el resultado. Los doctores me hacen sentir como en familia, son excelentes tanto en lo personal como en lo profesional."
- “Excelente trato y profesionalidad en todas las especialidades (implantes, ortodoncia, etc). Siempre te explican lo que te están haciendo para que lo entiendas."
- “Me recomendaron la clínica para realizarme unos empastes y dos implantes. Estoy muy satisfecho con el doctor Francisco Ferrer y con todo el equipo, además los precios son muy accesible."
- “Clínica muy bien situada. El trato es muy cercano y familiar, son muy profesionales!!! Me tratan genial, son amables, te aconsejan y te explican tranquilamente por qué tomar una decisión u otra con tu boca."
- “Después de que el doctor Jorge Ferrer le pusiera a mi marido implantes y prótesis fija, decidí dejar mi miedo en casa y me atreví a que me pusiera hueso e implantes para así dejar mi dentadura postiza. Por ello mi agradecimiento a la tranquilidad y seguridad que me dio."
- “Unos profesionales. Buenas instalaciones y lo mejor el trato y la atencion que te da todo el equipo. Mi caso no era facil, con un diente desplazado y un hueco demasiado grande para una pieza y demasiado pequeño para 2. Sin embargo el dr. Ferrer ha conseguido un resultado optimo, con una corona y un implante. Escuchó mis necesidades y no ha parado hasta conseguir el mejor resultado. Solo puedo decir cosas buenas de cada una de las veces que me han atendido."
- “Me realicé un tratamiento de blanqueamiento, y he quedado totalmente satisfecho. Un equipo muy profesional junto con un trato cercano y amable."
- “Siempre he tenido un poco de miedo a ir al dentista pero después de venir aquí, tras una recomendación de una amiga, solo puedo decir que estoy encantada!"
- “Me recomendaron esta clínica dental y estoy muy contenta. Son un equipo muy profesional y atento."