La estética en nuestra sociedad ha incrementado la atención en la dentadura. Una sonrisa blanca y brillante es una de las metas de la mayoría de personas, que se someten a tratamientos de estética dental incluso de forma excesiva. Pero la fijación por la estética va mucho más allá, concentrando la atención en la dentadura.
Quizás ni siquiera te habías planteado que existen distintos tipos de sonrisa, pero hay decenas de formas distintas de sonreír. La sonrisa está constituida por la forma de los labios, las encías y los dientes, según la odontología, podemos distinguirlas dentro de cuatro tipos según sus características.
Todos buscamos tener la mejor sonrisa, esta es la carta de presentación de cada persona, su sello de identidad, por lo que hay que tratar de cuidarla, tanto estética como funcionalmente, para conservar uno de los rasgos más expresivos de nuestro rostro, que nos hace únicos.
Cuando sonríes no solo muestras los dientes, sino también mucha encía? Esta condición se conoce como sonrisa de las encías o sonrisa gingival. No es una enfermedad, pero para muchas personas es una condición que afecta su autoestima y a la falta de confianza a la hora de sonreír.
Evitar conscientemente sonreír o tratar de mostrar menos las encías con expresiones faciales características de pacientes con sonrisa gingival. Para muchas personas puede ser un rasgo característico de su sonrisa pero para otras, puede resultar un problema estético que le genere problemas de autoestima y confianza en sí mismo/a.
Diagnóstico y tratamiento de la sonrisa gingival
¿Qué es la sonrisa gingival?
Se dice que una persona tiene una sonrisa gingival cuando se aprecia una desproporción entre la encía y el pequeño tamaño de los dientes en comparación. Esto se da cuando la encía desciende en 2-3mm al labio superior.
La armonía visual entre el rosa de las encías y el blanco de los dientes es esencial para lograr una sonrisa estéticamente agradable. Cuando hay un desequilibrio en esta proporción, la sonrisa puede percibirse como menos atractiva tanto en hombres como en mujeres.

Tipos de Sonrisa desde el Punto de Vista Dental
Como hemos dicho, para categorizar los tipos de sonrisa, los odontólogos hacen una clasificación teniendo en cuenta la visibilidad de los dientes, la curvatura de los labios y la presencia de las encías. Es decir, se tiene en cuenta la cantidad de tejido dental y gingival que se expone al sonreír.
Esta evaluación no solo permite personalizar tratamientos estéticos, sino también identificar posibles alteraciones funcionales o anatómicas.
Sonrisa alta o gingival
En este tipo de sonrisa, se expone considerablemente la encía (al menos 1 mm) por encima de la línea del margen gingival al sonreír. Es común en pacientes jóvenes o en aquellos con hiperactividad del músculo elevador del labio superior.
Aunque no necesariamente representa un problema bucodental, puede generar preocupación estética en algunos pacientes, especialmente si superan la banda expuesta de los 2-3 mm de encía. En estos casos, se pueden considerar tratamientos como la cirugía periodontal estética o la ortodoncia para corregir la exposición excesiva de encía.
Sonrisa media
Es el tipo más equilibrado y común. Se muestra gran parte de los dientes anteriores superiores (entre un 75% a un 100%) , con una exposición leve de la encía, referida a las papilas interdentales.
Esta sonrisa se considera estéticamente ideal, ya que mantiene proporciones armoniosas entre dientes, labios y encías. No suele requerir corrección, pero puede beneficiarse de tratamientos de blanqueamiento o alineación dental para resaltar la estética natural.
Sonrisa baja
En este caso, los labios superiores cubren parcialmente los dientes al sonreír (en torno a un 75%), dejando expuesta solo una pequeña parte del borde incisal.
Estos tipos de sonrisa pueden estar relacionados con la anatomía facial, la movilidad labial limitada o factores como la edad.
Sonrisa invertida
No es el tipo de sonrisa más habitual. Es una condición estética y funcional que se observa cuando la curvatura de la línea de los dientes superiores al sonreír se orienta hacia abajo, en lugar de seguir la forma natural ascendente del labio inferior. Por lo general, los dientes centrales aparecen más elevados que los laterales.
Puede estar asociada a problemas de oclusión, como mordida borde a borde o mordida cruzada, que afectan la eficiencia masticatoria.

Tipos de sonrisa según la curvatura del labio superior
La estética de la sonrisa no solo depende de los dientes y encías, sino también de la forma en que el labio superior se posiciona al sonreír. Esta curvatura influye directamente en la percepción de armonía facial y puede ser un indicador de salud bucodental o envejecimiento dental.
Curvatura positiva
El labio superior forma una curva ascendente, por encima de la línea intercomisural (línea imaginaria que une las comisuras de los labios). Suele asociarse con una sonrisa armónica. Es el objetivo en muchos tratamientos de diseño de sonrisa.
Curvatura recta
El labio superior se alinea con la línea intercomisural, sin formar una curva ascendente ni descendente. No suele requerir corrección, salvo que el paciente desee una sonrisa más dinámica.
Curvatura negativa
El labio superior se curva hacia abajo, por debajo de la línea intercomisural. Estos tipos de sonrisa pueden estar relacionados con desgaste dental, pérdida de soporte labial o maloclusión. En algunos casos, se recomienda tratamiento estético o funcional para mejorar la expresión facial.
Causas de la Sonrisa Gingival
Conocer las causas de la sonrisa gingival es esencial para definir el tratamiento adecuado. Podemos dividirlas en tres tipos de causas: dentales, esqueléticas y musculares:
- Labio corto, fino o hipermóvil: En estos casos, el labio superior, al no tener el tamaño habitual, no cubre la proporción lógica de encía y da esa sensación de excesiva encía.
- Desgaste excesivo de los dientes: El desgaste de algunos dientes puede provocar los movimientos de los adyacentes, generando, en algunas ocasiones, lo que conocemos como sonrisa gingival.
- Crecimiento maxilar desproporcionado o largo: Si el maxilar superior es excesivamente grande, se dejará a la vista mayor parte de encía. Esta alteración provocará también problemas de mordida.
- Posición dentaria baja: Se trata de una de las causas más comunes de la sonrisa gingival. En esta situación, los incisivos superiores sobre erupcionan para contactar con los inferiores.
- Erupción pasiva alterada: Si los dientes no salen de la forma correcta, parte de ellos puede quedar cubierta por la encía, dando lugar al desequilibrio visual entre dientes y encía.
Tratamientos para corregir la sonrisa gingival
Para corregir la sonrisa gingival, es fundamental conocer su causa. Una vez identificado el motivo, aplicaremos el tratamiento correspondiente. Si buscamos una definición a niveles de estética facial o estética de la sonrisa, se han determinado unos valores para definir este parámetro. Si crees que presentas sonrisa gingival, es muy importante que sepas que corregirla es posible.
Entre las soluciones para la sonrisa gingival, encontramos:

Tratamiento de ortodoncia
Sobre todo, en niños y jóvenes, la sonrisa gingival se puede corregir mediante un tratamiento de ortodoncia con brackets o alineadores invisibles. Si la causa de la exposición de las encías reside en problemas de mordida o malposición dental, se puede corregir este rasgo sin necesidad de recurrir a la cirugía. Es especialmente eficaz en niños dado que todavía están en proceso de desarrollo, y en pacientes con casos leves de sonrisa gingival.
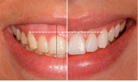
Alargamiento de coronas y colocación de carillas
El alargamiento coronario incluye 2 fases: gingivectomía y ostectomía. La gingivectomía es una técnica sencilla de cirugía menor destinada a recortar y remodelar las encías. Es un tratamiento recomendado para aquellos adultos en los que sus incisivos no acabaron de erupcionar por completo, causando la característica sonrisa gingival. Al retirar con esta técnica un trocito de encía, se consigue mostrar una mayor cantidad de diente.
Por otro lado, la ostectomía consiste en la eliminación de parte de hueso que rodea al diente, eliminando así el exceso del mismo.
El resultado final es un diente de proporciones ideales, rodeado de la cantidad adecuada de hueso y encía. Al realizar un alargamiento coronario y colocar posteriormente carillas dentales, logramos un equilibrio visual entre el rosa de las encías y el blanco de los dientes que realza la belleza natural de la sonrisa.
Otros tratamientos
Según las causas de la sonrisa gingival, podrás encontrar otros tratamientos de medicina estética para disimular este rasgo, como por ejemplo la cirugía de labios para los pacientes que tiene un labio superior corto, o tratamientos con ácido hialurónico para ocultar el exceso de encía.
| Causa | Tratamiento |
|---|---|
| Labio superior con mucha movilidad o corto | Técnicas infiltrativas con ácido hialurónico |
| Maxilar largo | Cirugía ortognática |
| Posición dentaria baja | Ortodoncia para llevar los dientes a la posición adecuada |
| Erupción Pasiva Alterada (EPA) | Gingivectomía o alargamiento de corona |
¿Qué elementos definen una sonrisa armoniosa?
Para que una sonrisa se vea armoniosa, la línea formada por los bordes de los dientes superiores frontales debe seguir la misma forma que el labio inferior al sonreír, como si fueran dos curvas que van en la misma dirección. Además de esta característica estética, hay otras particularidades estéticas que ayudan a armonizar los diferentes tipos de sonrisa y que por medio de los tratamientos odontológicos, se puede conseguir.
Tratamientos recomendados para mejorar tu sonrisa
- Ortodoncia: Corrección de la alineación y mordida de los dientes.
- Blanqueamiento dental: Mejorar el color de los dientes, buscando un tono natural.
- Carillas dentales: Corregir forma, tamaño y color.
- Remodelación gingival: Ajustar la proporción entre dientes y encías.
- Armonización orofacial: Mejorar la simetría facial.
Sonrisa saludable
Una sonrisa saludable y armoniosa no solo depende de tratamientos estéticos, sino también de hábitos diarios que protegen la salud bucal. Mantener una buena higiene con cepillado al menos dos veces al día, uso de hilo dental y enjuague bucal, es fundamental para prevenir caries y enfermedades de las encías. También es importante visitar al dentista regularmente para chequeos y limpiezas profesionales, evitar el consumo excesivo de azúcares y el tabaco, que afectan el color y la estructura dental, y mantener una dieta equilibrada rica en calcio.
Adoptar estos hábitos no solo preserva la salud de los dientes, sino que también prolonga la estética y funcionalidad de la sonrisa a lo largo del tiempo.
¿Por qué corregir la sonrisa gingival?
Más allá de lo meramente estético, la sonrisa gingival puede tener un impacto significativo en la autoestima de una persona. Está comprobado el efecto positivo que tiene la risa sobre el estado de ánimo y la salud de las personas. Abordar este aspecto no solo equilibra la apariencia de la sonrisa, sino que también contribuye al bienestar emocional y la confianza de nuestros pacientes.
La sonrisa es un elemento esencial en nuestra comunicación diaria, tanto de los más jóvenes como de los mayores. Sonreímos al decir hola, al dar las gracias, al escuchar un chiste, cuando recibimos un regalo o para dar la bienvenida.