Un expansor dental infantil, también conocido como expansor de paladar o disyuntor dental, es un aparato ortodóntico diseñado para ampliar el arco dental superior de un niño. Conocer el proceso del tratamiento con un expansor dental infantil es fundamental para comprender cómo funciona y qué esperar en cada etapa.

Disyuntor dental en la boca de un niño.
Evaluación y planificación del tratamiento
El primer paso en el tratamiento con un expansor dental infantil es una evaluación completa en nuestra clínica. Como en cualquier tratamiento de ortodoncia se debe realizar un estudio para determinar cuál será el mejor tipo de tratamiento y las pautas a seguir. Este análisis incluye una evaluación bucodental, junto con la captura de fotografías y radiografías. Además, se toman mediciones precisas para obtener una representación detallada de la estructura bucal del paciente.
Si crees que tu hijo tiene algún problema de oclusión o alineación dental, pide cita en tu clínica Moonz más cercana. Nuestro equipo de profesionales está aquí para ayudaros a lograr la mejor salud bucal posible. Visita nuestra clínica o llámanos para más información sobre nuestros tratamientos de ortodoncia.
Colocación del disyuntor dental
Una vez listo, colocamos el expansor en la boca: va posicionado en el cielo del paladar y lo fijamos a las muelas superiores con cemento dental (es parecido a colocar brackets, pero con bandas alrededor de las muelas). Una vez que se haya cumplido el tiempo de uso, se procederá a retirar el aparato. Este proceso es rápido y generalmente no causa dolor.
Además de ajustar y asegurar la correcta instalación del aparato, el doctor aprovechará para proporcionar a los padres del menor las instrucciones pertinentes tras su colocación. Después de la colocación, se programarán visitas regulares para ajustar el expansor. Estos ajustes son necesarios para garantizar una expansión gradual y controlada del paladar.
Activación y ajuste del disyuntor
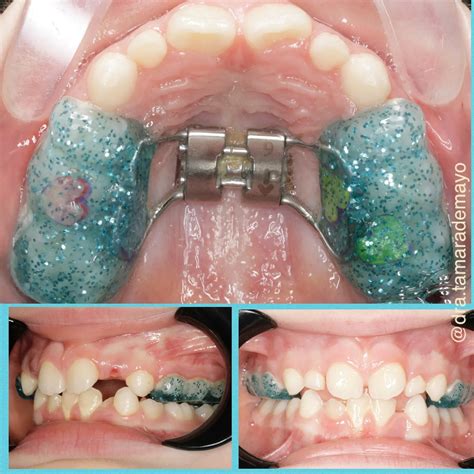
Después de cementarlo, enseño a los padres cómo activarlo. El expansor tiene un tornillo con un orificio, y se utiliza una llave especial para girarlo. Por lo general, indico que se gire la llave una vez al día (a veces en días alternos, según el caso). Cada giro es muy pequeño (un cuarto de vuelta) y genera una leve presión en los huesos del paladar. Con cada ajuste, las dos mitades del expansor se separan un poquito, empujando a la vez los lados del maxilar hacia afuera.
Al activar el tornillo diariamente, el paladar se va ensanchando milímetro a milímetro. Este proceso se denomina disyunción palatina. Lo maravilloso es que el organismo del niño responde generando nuevo hueso en el espacio que vamos abriendo en la sutura. En otras palabras, el expansor estimula crecimiento óseo: no solo mueve dientes, expande el hueso de forma estable.
En la fotografía anterior puedes observar un efecto muy típico: la aparición de un pequeño diastema (espacio) entre los incisivos centrales. Muchos padres se asustan al verlo, pero en la clínica siempre les explico que es una señal positiva de que el paladar se está expandiendo correctamente. Ocurre porque al ensanchar el maxilar, los dos incisivos de enfrente se separan un poco. No hay de qué preocuparse: ese espacio luego se corrige solo o con ayuda de la siguiente fase de tratamiento (ya sea con brackets o con un simple retenedor).

Diastema en incisivos centrales durante el tratamiento con disyuntor.
Duración del tratamiento
La duración del tratamiento varía según el caso, pero generalmente, el expansor se usa entre 6 y 12 meses. La fase de activación del expansor -cuando estamos girando el tornillo diariamente- suele durar unas 3 a 4 semanas aproximadamente. A veces incluso menos de un mes es suficiente para lograr la anchura deseada del paladar (cada caso es distinto). En mi experiencia, en torno a 15-20 días de activaciones es lo típico en expansiones rápidas en niños pequeños, y quizá algo más (4-5 semanas) en preadolescentes.
Después de esta fase activa, el expansor permanece colocado varios meses más pero ya sin activarlo, cumpliendo una función de contención o mantenimiento. Mantener el aparato fijo sirve para estabilizar el hueso recién formado y evitar que el paladar vuelva a su posición inicial. Suele permanecer unos 6 meses de mantenimiento (a veces hasta 9-12 meses en total desde el inicio). En total, un tratamiento completo con expansor de paladar puede oscilar entre 6 meses y 1 año de duración, sumando fase activa y fase de retención. Durante ese tiempo, se programan visitas de control periódicas.
Al principio suelo ver al paciente semanalmente o cada 15 días mientras activamos, para asegurarme de que todo va bien y hacer ajustes si hiciera falta.
Higiene y cuidados durante el tratamiento
Mantener una buena higiene oral es esencial durante el tratamiento con un expansor dental. Una vez colocado el expansor, siempre dedico una sesión a explicar los cuidados e higiene necesarios, tanto al niño como a sus padres. Un aparato de ortodoncia fijo requiere unas rutinas especiales para mantenerlo limpio y funcionando bien.
Asegúrate de que tu hijo:
- Cepille sus dientes después de cada comida.
- Use hilo dental diariamente.
- Enjuague su boca con un enjuague bucal recomendado por nuestro equipo de dentistas en Terrassa.
Otra recomendación es evitar el consumo de alimentos pegajosos o duros que puedan dañar el expansor. En cuanto al mantenimiento, es muy importante evitar masticar sustancias o alimentos duros y/o pegajosos como chicles, caramelos, etc. que podrían provocar su rotura o despegue. Estos dispositivos no se deben manipular. Tampoco se deben meter bolígrafos en la boca ni ningún elemento similar que pueda desenganchar el aparato del paladar.
Recomendaciones adicionales para una higiene oral minuciosa:
- Es fundamental mantener los dientes y el aparato limpios para evitar acumulación de placa bacteriana. Recomiendo cepillar después de cada comida (3 veces al día), usando un cepillo infantil convencional o eléctrico, prestando especial atención a la zona alrededor del expansor y la unión con las encías.
- Hay que cepillar también el paladar y el tornillo del expansor, pues ahí se pega la comida. A muchos padres les enseño a usar un irrigador de agua (Waterpik) para limpiar debajo del aparato, es muy útil para sacar restos de comida.
- También sugiero enjuague bucal sin alcohol apto para niños, una vez al día, para mantener las encías sanas (ojo: colutorios con alcohol pueden resecar, mejor evitarlos).
Alimentación adecuada:
- El niño puede comer con el expansor puesto, pero hay que hacer algunas adaptaciones de dieta para no despegarlo ni dañarlo. Los primeros días, mientras se acostumbra, mejor alimentos blandos (purés, tortilla, pasta, pescado) porque quizá le cueste masticar cosas duras.
- Tras esa fase inicial, podrá comer de todo salvo alimentos muy duros o pegajosos. Debemos evitar frutos secos, caramelos duros, chicles y toffees, turrones pegajosos, etc.
- Cualquier cosa que haya que morder con fuerza (por ejemplo manzanas enteras, zanahorias crudas) conviene trocearla antes. Y cuidado con alimentos que se puedan enredar en el aparato, como carnes fibrosas tipo bistec muy hecho o embutidos con nervio, porque se lían alrededor del tornillo.
- En general, con sentido común se puede llevar una dieta bastante normal.
Evitar manipulaciones indebidas:
- He tenido pequeños pacientes muy curiosos que no pueden evitar toquetear el expansor con la lengua (¡o con los dedos!). Hay que explicarles que no deben andar empujándolo ni jugando con él. Tampoco deben morder objetos duros (bolígrafos, juguetes) porque podrían despegar alguna banda.
Control de activaciones:
- Normalmente los padres serán los encargados de girar la llave según las indicaciones que doy. Al principio puede imponer un poco hacer “clic” en el tornillo, pero les enseño en la clínica cómo hacerlo correctamente. Hay que seguir exactamente la pauta (por ejemplo, un giro al día durante 21 días).
- Si un día se olvidan, no pasa nada grave (el tratamiento se alarga un día más), pero no conviene hacer parones largos sin mi supervisión. La constancia es clave para el éxito: si se activa menos de lo prescrito, el paladar puede no expandir lo suficiente; y si alguien por error girase de más, podría causar molestias innecesarias.
En caso de cualquier problema con el aparato (si se despega alguna parte, si el niño siente dolor agudo, si no consiguen girar la llave), siempre digo que me llamen de inmediato. No es común, pero si se llegara a despegar una banda de una muela, intentamos que siga colocada como un aparato de quita y pon hasta que puedan venir a la clínica a recementarlo. No intenten pegar nada en casa; si se suelta, se mantiene en su posición si es posible y acudan a consulta.
Por último, mencionar que tras retirar el expansor, muchas veces colocamos un retenedor o mantenedor del espacio durante unos meses. Puede ser un aparato removible tipo placa, para que el hueso que se creó no se encoja y los dientes se estabilicen en su nueva posición. Luego, según el caso, se valorará iniciar la fase de ortodoncia correctiva (brackets o alineadores) si aún quedan malposiciones dentales que corregir. En bastantes niños pequeños, el expansor por sí solo resuelve el problema principal y puede que no necesiten más que controles de crecimiento.
Tipos de disyuntores dentales
Hasta ahora me he centrado en describir el expansor fijo tradicional, que es el más usado. Pero conviene saber que no todos los expansores son iguales.
- Expansor fijo con bandas (tipo Hyrax): Es el más común en ortodoncia infantil. Consiste en una estructura metálica con un tornillo central (tipo Hyrax o similar) que se cimenta a las muelas mediante bandas metálicas. Permanece fijo 24 horas al día, lo que garantiza que la expansión es continua y no depende de la colaboración del paciente. Es ideal para expansiones significativas y para niños en dentición mixta o permanente temprana. Ventaja: muy efectivo y no requiere que el niño se acuerde de ponerlo.
- Expansor removible de acrílico: Es parecido a una placa de quita y pon, fabricada en acrílico, con un tornillo igualmente para expandir. Se usa más raramente en niños, porque requiere mucha colaboración (el paciente debe llevarlo puesto la mayor parte del día). Suelen indicarse en casos leves o en niños muy pequeños en dentición temporal, donde un fijo podría interferir con dientes de leche. Ventaja: al ser removible, se puede retirar para limpiarlo y al comer, facilitando la higiene. Desventaja: si el niño no lo usa el número de horas indicado (mínimo 18 h/día), no cumplirá su función.
- Expansor asistido por microtornillos (MARPE): Es una variante para pacientes más mayores (adolescentes tardíos o adultos jóvenes). MARPE son las siglas en inglés de Expansión Palatal Rápida Asistida con Miniscrews. En este diseño, el expansor incorpora 4 pequeños tornillos de titanio que se anclan directamente al hueso del paladar, permitiendo aplicar mayor fuerza y lograr expansión incluso cuando la sutura palatina está más fusionada.

Tipos de disyuntores dentales: Hyrax, McNamara, MARPE.
Disyuntor McNamara
En el siguiente artículo, hablaremos de uno de los expansores de maxilar más usados durante la infancia, el disyuntor McNamara. El disyuntor McNamara es un aparato fijo que consta de dos placas de acrílico que se sujetan sobre los molares superiores íntimamente adaptado de tal manera que queda hermética. Este expansor debe su nombre al Dr.
¿Es doloroso el proceso?
Esta es una de las preguntas más frecuentes de los padres. Puedo asegurar, basándome en la reacción de cientos de niños, que usar un expansor de paladar no suele doler. Los primeros días tras la colocación y en cada activación, el niño notará presión en los dientes y en el paladar, incluso una ligera molestia que describen como “tener congestión” o “picor en la nariz” a veces. Es normal, ya que estamos aplicando fuerza al hueso. Pero no es un dolor agudo, y esa sensación disminuye en pocos minutos u horas. La mayoría de los pacientes se adaptan rápidamente al expansor en unos días.
Si hubiera alguna molestia mayor (poco común), se puede dar un analgésico suave como paracetamol y consultar al ortodoncista.
Además de la presión, ¿qué nota el niño al llevar el expansor? Al principio todos refieren que “sienten algo raro en el paladar”. Es lógico: de repente tienen un aparato ocupando el techo de la boca. Aumenta la salivación los primeros días (fabrican más saliva de lo normal), y puede que hablen un poquito gangoso o con la lengua “torpe” al pronunciar ciertas letras. Les cuesta decir la R o la S perfectamente los primeros días. Pero aquí viene la buena noticia: en cuestión de 3-5 días el niño se acostumbra y habla casi normal, y en unas dos semanas ni se nota que lo lleva puesto. He visto pacientes que el primer día están muy conscientes del aparato, y al cabo de una semana prácticamente se olvidan de que lo llevan.
Precio del tratamiento
El precio del tratamiento con un expansor dental infantil puede variar dependiendo de varios factores, como la complejidad del caso y la duración del tratamiento. El tratamiento con el disyuntor de paladar cuesta entre 1.100 y 1.500 euros aproximadamente.
¿Cuándo se usa un expansor de paladar?
Lo ideal es entre los 6 y 12 años, aproximadamente, aprovechando la etapa de crecimiento. Yo suelo evaluar a los pacientes alrededor de los 7 años; si detecto un paladar estrecho a esa edad, recomiendo expansor temprano para aprovechar al máximo la flexibilidad ósea. Después de los ~14 años el hueso palatino ya está casi osificado y la expansión es mucho más difícil (en adultos, para lograrlo se requiere cirugía en la mayoría de casos).
¿En qué casos indicamos los ortodoncistas este aparato?
La intención de búsqueda principal de quien investiga esto suele ser justamente saber cuándo hace falta usar un expansor y para qué problemas dentales sirve.
- Paladar estrecho u ojival: Esta es la razón principal. Si el maxilar superior del niño es demasiado estrecho o alto, el expansor permitirá corregir esa forma y ensanchar el arco. Un paladar estrecho (atrésico) suele detectarse porque los dientes superiores no encajan bien con los inferiores al morder, y puede deberse a genética o hábitos como chuparse el pulgar o uso prolongado de chupete. El paladar estrecho es la indicación número uno para usar el expansor.
- Mordida cruzada posterior: Ocurre cuando la arcada superior es más estrecha que la inferior, haciendo que al morder algunos dientes de arriba queden por dentro de los de abajo. La causa suele ser el paladar estrecho, y un expansor puede corregir esta maloclusión transversal al ensanchar el maxilar.
- Apiñamiento dental (falta de espacio): Si en la radiografía vemos que no hay suficiente espacio para los dientes permanentes (por ejemplo, los colmillos vienen “montados” o hay dientes retenidos), expandir el paladar puede crear espacio extra. Esto previene tener que extraer dientes sanos más adelante por falta de sitio.
- Dificultad respiratoria o deglución atípica: Algunos niños con paladares muy estrechos presentan respiración oral (respiran por la boca) o problemas al tragar y hablar. Al ensanchar el paladar, aumenta el espacio en las fosas nasales y puede mejorar la respiración nasal y la pronunciación.
- Mordida abierta anterior (en ciertos casos): Aunque la mordida abierta suele relacionarse más con hábitos linguales, un paladar estrecho con deglución atípica puede influir. Al expandir y corregir la postura de la lengua, algunos casos leves de mordida abierta mejoran.
- Tratamiento pre-quirúrgico o complementario: En adolescentes mayores o adultos jóvenes, a veces usamos expansores especiales como parte de un plan más amplio (por ejemplo, previo a una cirugía ortognática o combinado con una máscara facial para problemas de crecimiento). Por ejemplo, en casos de mordida clase III (mandíbula grande) usamos la máscara facial junto con el expansor para estimular el crecimiento hacia adelante del maxilar.