Seguro que alguna vez has oído hablar de la afección de muela picada. De forma común, se refiere a un molar afectado por caries. Aunque esta infección puede darse en cualquier pieza dental, cuando ocurre en una muela, el dolor es especialmente intenso y localizado. Por ello, en este artículo te explicamos los síntomas de la muela picada para que puedas identificarla con rapidez y te recomendamos posibles soluciones.

¿Qué es una muela picada?
La muela picada es un problema dental común que afecta a personas de todas las edades. Esta afección, también conocida como caries dental, se manifiesta en forma de pequeños agujeros que aparecen en las capas exteriores de los dientes, llamadas esmalte y dentina, y que protegen la pulpa dental.
Las bacterias que provocan la caries convierten los azúcares simples en placa ácida. Esta placa debilita el esmalte y la dentina, haciendo que se disuelvan con la saliva y formando una cavidad o agujero en el diente.
Esta situación puede estar provocada por varias causas:
- Higiene oral insuficiente: no cepillarse los dientes adecuadamente o no usar hilo dental permite la acumulación de bacterias y la formación de placa dental.
- Consumo frecuente de alimentos y bebidas azucaradas y ricas en almidones: los azúcares y almidones alimentan las bacterias en la boca, que producen ácidos que desmineralizan el esmalte dental.
- Falta de flúor: el fluoruro ayuda a fortalecer el esmalte dental y prevenir la caries, por lo que una deficiencia de este en el agua potable o en la pasta dental puede aumentar el riesgo de tener una muela picada.
- Predisposición genética en la susceptibilidad a las caries dentales: factores como la dureza del esmalte y la composición de la saliva pueden influir en la aparición de caries y muelas picadas.
Síntomas de una muela picada
El síntoma principal que alerta de la presencia de una muela picada es el dolor localizado y punzante. No obstante, el dolor de muelas puede responder a diversos problemas bucales, por lo que la mejor forma de identificar una muela picada es acudiendo a un profesional experto en odontología. La molestia suele ser menor en las primeras fases de desarrollo de la caries, pues a medida que va avanzando hacia el interior del diente, el dolor aumenta considerablemente hasta ser constante cuando la muela ya está rota.
Otro de los síntomas de una muela picada es la sensibilidad dental. El dolor puede aparecer cuando la muela dañada entra en contacto con alimentos o bebidas frías, permaneciendo incluso cuando se ha retirado el estímulo externo. Esta afección también puede dañar las encías, causando inflamación y sangrado de las mismas.
Por otro lado, las muelas picadas pueden presentar manchas marrones o amarillentas en la zona infectada, muestra de la desmineralización y avance de la caries. El mal aliento persistente (halitosis) y el sabor desagradable en la boca también pueden ser signos de una infección dental debido a una muela picada.

¿Qué causa las caries?
Los “Dientes picados” que es como en lenguaje común se les suele llamar, es otra forma de describir los dientes con caries avanzadas. La caries dental es una consecuencia frecuente de consumir alimentos azucarados o con almidón y no tener una buena rutina de cuidado bucal.
Sin una limpieza periódica de los dientes, las bacterias de la boca generan una capa de placa adhesiva que se acumula hasta llegar a disolver el esmalte dental.
Cuando el esmalte se desgasta, las bacterias y la placa inciden en la dentina más blanda del interior de la pieza, después en la pulpa central. En la etapa final de una caries dental, se desarrolla una infección en la pulpa sumamente dolorosa que puede adentrarse por debajo del diente y en la encía.
“La caries dental es una consecuencia frecuente de consumir alimentos azucarados o con almidón y no seguir una buena rutina de cuidado bucal.”
¿Qué síntomas tiene una caries?
Los síntomas de la caries dental suelen ser:
- Dolor de muelas, dolor repentino o dolor que se produce sin causa aparente.
- Sensibilidad en los dientes.
- Dolor leve a agudo cuando comes o bebes algo dulce, caliente o frío.
- Agujeros u hoyos visibles en los dientes.
- Manchado marrón, negro o blanco en cualquier superficie de un diente.
- Dolor cuando muerdes.
Una caries severa puede llegar a interferir en tu vida diaria. Si la infección ya ha empezado a desarrollarse, verás hinchazón y pus, y el dolor puede ser tan intenso que afecte a tu capacidad de comer, con la consiguiente pérdida de peso y carencia nutricional. Además, los dientes picados pueden romperse o caerse.
Solución para una muela picada
Según la gravedad de la lesión, el tratamiento puede variar. Para curar una muela picada, es necesario un tratamiento en una clínica dental, donde un profesional evaluará el estado de la muela para poner en marcha un procedimiento u otro.
Empaste dental
La obturación o empaste dental es el tratamiento más común y efectivo para curar muelas picadas. Se aplica en casos de caries menores, donde el dentista eliminará la parte afectada de la muela y la rellenará con resina compuesta o porcelana, entre otros posibles materiales. Se realiza bajo anestesia local.
Coronas dentales
Se suelen utilizar en casos de daño extendido. En este tratamiento se realiza un limado del diente para ajustar una cubierta. Se mantiene el diente original, pero se coloca una corona en la superficie para protegerlo.
Endodoncia
En casos más graves de muela picada, se puede realizar una endodoncia con el fin de vaciar el interior de la muela, donde están las terminaciones nerviosas y vasos sanguíneos. Así, se elimina la pulpa dental, se limpia el conducto radicular y, finalmente, se sella la muela.
Extracción e implante dental
En casos en los que el diente del paciente no se puede reconstruir, puede ser necesario extraer la pieza. Posteriormente, se pueden considerar opciones de reemplazo como implantes dentales o puentes. Esta solución se suele dar cuando se recurre tarde a un profesional y la afección se ha desarrollado completamente.
Charla para niños sobre salud bucal
¿Qué Tratamiento tiene un diente picado?
Los dientes picados pueden agravarse rápidamente en forma de infección, y puede incluso volverse peligrosa. Si la caries no ha llegado a alcanzar la pulpa dental, el odontólogo podrá realizar un empaste, pero, sin embargo, si ha afectado a la pulpa, podrá extraerla del conducto radicular y rellenar el diente con un material dental estéril. Cuando la caries es tan grande que debilita la estructura de la pieza, a menudo se le coloca una cubierta artificial llamada corona para proteger lo que queda de diente.
Consecuencias de retrasar el tratamiento
Retrasar la visita a tu odontólogo puede provocar que el diente pueda alcanzar un nivel de deterioro que no se puede salvar y hay que extraerlo, el odontólogo puede sustituirlo por un diente falso que recibe el nombre de implante o puente dental. Un juego completo de dientes superiores o inferiores se puede sustituir por implantes o prótesis. El odontólogo debe explicarte los pros y los contras de cada opción antes de aceptar el tratamiento, pero no esperes antes de reservar una cita si tienes caries avanzadas.
Una infección dental puede progresar más rápidamente de lo que pensamos hasta convertirse en una afección muy importante, incluso a veces potencialmente mortal, llamada sepsis. La sepsis es la reacción del organismo ante la infección, y se manifiesta con fatiga y dolor crónico, que a veces puede complicarse hasta acarrear amputaciones, insuficiencia orgánica y muerte.

¿Cómo prevenir las caries?
Una buena y correcta rutina diaria de cuidado bucal ayuda a prevenir la reaparición de las caries y a evitar que aparezcan por primera vez. Cepíllate los dientes por la mañana y la noche, y usa hilo dental una vez al día para eliminar la placa. Enjuágate dos veces al día con un enjuague bucal efectivo que elimine al menos el 99 % de los gérmenes al contacto y reduzca la placa de forma notable.
Visita a tu odontólogo para someterte a una limpieza profesional y una revisión semestral a fin de evitar cualquier otra complicación desde el principio. Los dientes picados no son algo que puedas dejar para más tarde. Con el paso del tiempo, la caries empeora y puede acarrear una infección grave.
Dientes podridos: Causas y síntomas
Aunque las caries no tratadas pueden llegar a causar que los dientes se pudran, no le sucede a todas las piezas con esta enfermedad, ya que esto puede suceder por otros motivos.
Causas de los dientes podridos
- Higiene bucal deficiente: Al no tener una adecuada rutina de higiene dental, las bacterias, al unirse con la saliva y restos de comida que no son eliminadas por el cepillado o el hilo dental, provocan la aparición de la placa dental. Esta se acumula en los dientes y encías causando daños en la parte interior o exterior del diente.
- Dieta alta en azúcar y ácidos: El consumo de azúcar y alimentos ácidos contribuyen a que las bacterias se reproduzcan y provocan la erosión del esmalte dental. Poco a poco atacan la parte interna del diente hasta llegar a la pulpa, causando una fuerte infección.
- Factores genéticos: Las personas que tienen tendencia a sufrir de caries por causas genéticas, también pueden ser propensas a tener dientes podridos causados por caries no tratadas.
- Otras causas: Hábitos como fumar alteran la microbiota intestinal y enfermedades como la xerostomía o boca seca también pueden provocar que se pudran los dientes.
Síntomas de los dientes podridos
- Dolor dental, que puede llegar a ser muy intenso.
- Sensibilidad al frío, calor, dulce y ácido.
- Mal aliento y mal sabor en la boca.
- Cambios en el color y la estructura del diente. Pueden aparecer manchas de color marrón, negro, amarillo o blanco en los dientes.
- Inflamación de las encías, abscesos o sangrado.
- Problemas para masticar los alimentos, que a su vez causan problemas digestivos y de nutrición.
Tratamientos para los dientes podridos
El tratamiento recomendado para dientes podridos va a depender del grado del daño que tenga el diente afectado. Entre las opciones están:
- Empastes dentales
- Incrustaciones y coronas
- Endodoncia
- Extracción y prótesis dentales
Prevención de los dientes podridos
- Hábitos de higiene bucal: Tener una rutina de higiene bucal adecuada es esencial para el cuidado de la salud bucal. Cepillarse al menos dos veces al día, durante dos minutos con un cepillo de dientes adecuado y pasta con flúor es la manera correcta de evitar dientes podridos.
- Dieta saludable: Es importante reducir el consumo de alimentos altos en azúcares que contribuyen al aumento de bacterias que dañan los dientes. También incluye en tu dieta diaria alimentos que aporten flúor para fortalecer tus dientes.
- Visitas regulares al dentista: Los controles regulares con el dentista son indispensables para cuidar la salud bucal. El odontólogo puede detectar a tiempo problemas antes de que se conviertan en una condición grave.
Caries radicular
La caries radicular es un tipo de caries que afecta directamente a la raíz del diente, normalmente en personas con encías retraídas o enfermedades periodontales. A diferencia de las caries comunes que se desarrollan en la corona dental, esta se forma debajo de la encía o cerca de ella, lo que dificulta su detección y tratamiento precoz.
La caries radicular es una lesión que afecta a la superficie de la raíz del diente, es decir, a la parte del diente que normalmente permanece cubierta por la encía. Cuando la encía se retrae por envejecimiento, enfermedades como la periodontitis o incluso por un cepillado agresivo deja expuesta esta zona.

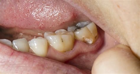
¿Cómo puedes identificar una muela picada por el lateral?
- Sensibilidad al comer o beber: Al tomar algo frío, caliente o muy dulce, puedes sentir una punzada de sensibilidad en la muela afectada.
- Dolor localizado: Un dolor de muela que aparece al masticar o al hacer presión en cierta pieza es un signo clásico.
- Mancha u orificio visible: Si logras mirar con un espejo, quizás veas una manchita marrón u oscura en el lateral de la muela, cerca del borde de la encía o entre los dientes.
- Mal aliento o sabor desagradable: Una muela con caries puede producir halitosis.
- Inflamación de encía cercana: En ocasiones la encía junto a la caries se irrita.
Salud dental infantil
La salud dental infantil es un tema de gran importancia, ya que afecta el bienestar general y el desarrollo de los niños. En España, las estadísticas indican que el 31% de los niños de 5 a 6 años tiene caries, según datos del Consejo General de Dentistas de España.
Los dientes picados, también conocidos como caries, son áreas dañadas en la superficie de los dientes que se desarrollan en pequeños agujeros o aberturas. Las caries en los niños son causadas principalmente por la acumulación de placa bacteriana en los dientes. Esta placa se forma cuando las bacterias en la boca se combinan con alimentos y bebidas azucaradas o con almidón, produciendo ácidos que atacan el esmalte dental.
Primeros signos de dientes picados en niños
Los primeros signos de dientes picados incluyen manchas blancas en los dientes, que indican una desmineralización del esmalte. A medida que la caries avanza, estas manchas pueden volverse marrones o negras. Los niños también pueden experimentar sensibilidad al frío, al calor o a los alimentos dulces. En casos más avanzados, puede haber dolor al masticar o un dolor constante en el diente afectado.
Prevención y tratamiento
Prevenir la formación de caries en los niños requiere una combinación de buenos hábitos de higiene bucal y una dieta saludable.
El tratamiento de los dientes picados en niños depende de la gravedad de la caries. En etapas tempranas, el tratamiento con fluoruro puede ayudar a revertir las caries iniciales fortaleciendo el esmalte dental. Para caries más avanzadas, el dentista eliminará la parte dañada del diente y lo rellenará con un material de empaste adecuado para niños, como resina compuesta o amalgama.

Tabla resumen de tratamientos para muela picada
| Tratamiento | Descripción | Cuándo se aplica |
|---|---|---|
| Empaste dental | Eliminación de la caries y relleno con material biocompatible. | Caries menores que no han alcanzado la pulpa dental. |
| Corona dental | Cubierta protectora para dientes debilitados. | Daño extenso en la estructura dental. |
| Endodoncia | Eliminación de la pulpa infectada y sellado del conducto. | Caries que han afectado la pulpa dental. |
| Extracción dental | Remoción del diente dañado. | Diente no reconstruible o con infección severa. |
Las muelas picadas pueden causar una variedad de problemas si no se tratan a tiempo. Reconocer los síntomas y buscar tratamiento dental es esencial para mantener una buena salud bucal. Con una higiene oral adecuada, una dieta saludable y visitas regulares al dentista, es posible prevenir y tratar eficazmente las muelas picadas, asegurando una sonrisa saludable y sin dolor.