La ortodoncia es un tratamiento cada vez más popular para conseguir una sonrisa más estética y saludable. Si llevas ortodoncia, sabes lo importante que es mantener una buena higiene bucal. Los brackets pueden acumular restos de comida y placa bacteriana, lo que aumenta el riesgo de caries, gingivitis y mal aliento. La higiene bucodental en portadores de ortodoncia es vital para garantizar unos resultados óptimos.

Mantener una higiene bucal adecuada es esencial durante el tratamiento de ortodoncia.
Importancia de la higiene bucal con brackets
La importancia de una higiene bucal adecuada en los pacientes que llevan aparato radica en que es la clave para prevenir problemas dentales comunes como la gingivitis, el sarro y la desmineralización. Una limpieza bucal exhaustiva es más difícil con aparato, por lo que llevarlo crea una mayor propensión a desarrollar estos problemas que no llevarlo. Estos problemas dentales ya son desagradables por sí solos, pero si no se tratan también pueden derivar en trastornos de salud bucal más graves. Además, pueden prolongar el tratamiento con aparato.
¿Qué problemas puede causar llevar aparato?
Si la higiene bucal no se mantiene adecuadamente durante el tratamiento de ortodoncia, los problemas bucales comunes pueden comenzar a surgir. A continuación, se detallan algunos de los problemas más comunes:
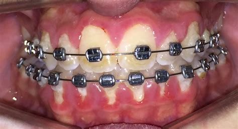
- Caries: Las caries dentales pueden desarrollarse cuando los restos de alimentos y las bacterias se acumulan alrededor de los brackets y los alambres. La placa bacteriana que se forma produce ácidos que erosionan el esmalte dental, creando cavidades.
- Gingivitis: La enfermedad de las encías es otro problema potencial. La acumulación de placa bacteriana alrededor de los brackets y los alambres puede irritar las encías, provocando inflamación y sangrado.
- Desmineralización: Este problema se produce cuando los restos de comida que quedan en los dientes entran en contacto con bacterias, lo que crea ácido. Este ácido extrae calcio y fosfato de los dientes, lo que provoca descalcificación y la aparición de «manchas blancas». Desafortunadamente, estas manchas por desmineralización suelen ser permanentes y pueden provocar caries.
- Sensibilidad: La sensibilidad puede producirse cuando la capa subyacente de la dentadura queda expuesta como resultado de la recesión del tejido gingival.
- Placa: La placa es una capa bacteriana incolora y viscosa que se forma constantemente en la boca. Se produce como resultado de la combinación de saliva y partículas de comida. La placa se combina con azúcares para formar un ácido que es perjudicial para los dientes y las encías, ya que causa caries, enfermedad periodontal, formación de sarro y otros problemas dentales.
- Sarro: El sarro, a veces denominado cálculo, es placa endurecida que se forma en la superficie del diente. Se trata de un depósito en forma de costra que puede retener las manchas en los dientes y causar decoloración.
- Mal aliento: El mal aliento, conocido también como halitosis, suele ser consecuencia de una higiene bucal deficiente, problemas médicos o hábitos como el tabaquismo o el consumo de determinados alimentos.

La acumulación de placa y sarro puede llevar a problemas dentales serios.
Rutina de limpieza esencial con ortodoncia
Para mantener una correcta higiene bucal con brackets, es fundamental seguir una rutina de limpieza exhaustiva y constante. Tu rutina de higiene bucal tiene que ser estricta y constante. A continuación, se detallan los pasos esenciales:
- Cepillado adecuado: Cepillarse los dientes y los brackets después de cada comida es fundamental. Usa un cepillo de cerdas suaves o un cepillo específico para ortodoncia. Debes cepillar cada diente por separado, haciendo movimientos circulares y asegurándote de limpiar bien la superficie de los brackets y el alambre. Los dientes deben cepillarse de arriba hacia abajo para que las cerdas del cepillo tengan acceso al espacio entre los arcos y los dientes, lugar donde normalmente se acumulan restos de comida.
- Hilo dental: Utiliza hilo dental suave o un hilo dental específico para ortodoncia una vez al día, preferiblemente por la noche. El hilo dental te ayudará a eliminar los restos de comida que se quedan entre los dientes y que el cepillo no puede alcanzar. Para usarlo correctamente, debes pasar el hilo por debajo del alambre del bracket y deslizarlo suavemente entre los dientes, sin hacer presión sobre las encías.
- Cepillos interdentales: También puedes añadir a tu rutina de higiene el uso de cepillos interdentales, que al ser más pequeños permiten limpiar entre los espacios interproximales y alrededor de los arcos metálicos.
- Enjuague bucal: El uso de enjuagues bucales recomendados puede ayudar a complementar tu rutina de higiene bucal, eliminando las bacterias que causan el mal aliento y protegiendo el esmalte dental. Elige un enjuague bucal sin alcohol y con fluoruro, ya que puede fortalecer el esmalte dental y reducir el riesgo de caries. Después del cepillado con la pasta dentífrica recomendada por el especialista, es ideal enjuagarte la boca con un enjuague bucal especial para portadores de brackets.

Una rutina completa de higiene bucal incluye cepillado, uso de hilo dental y enjuague bucal.
Otros consejos importantes
Junto con la limpieza realizada varias veces al día, hay que mantener otras prácticas. Es sumamente importante evitar la ingestión de ciertos alimentos o cuidar el modo en el que se comen. De esta manera, la higiene sirve incluso para mantener la propia integridad de la ortodoncia.
- Evita alimentos problemáticos: Sigue las recomendaciones de tu ortodoncista sobre alimentos y bebidas recomendados y evitados. Las bebidas gaseosas, los refrescos azucarados y las bebidas ácidas como los cítricos pueden aumentar el riesgo de caries y decoloración dental. Lo más importante en este sentido es evitar comer con las ortodoncias removibles puestas.
- Inspección regular: Examina tus brackets y alambres regularmente en busca de cualquier signo de daño o desprendimiento.
- Revisiones regulares: Las revisiones regulares con tu ortodoncista son fundamentales para evaluar el progreso de tu tratamiento y abordar cualquier problema a tiempo. Durante estas visitas, tu ortodoncista puede proporcionar orientación específica sobre tu higiene oral y realizar ajustes necesarios en tu ortodoncia.
- Kit dental portátil: Para hacerte más fácil cumplir con la rutina, te recomendamos llevar contigo un kit dental con cepillo, dentífrico, hilo dental y cepillo interdental. Si puedes añadir una pequeña botella de enjuague bucal, muchísimo mejor.
- Hidratación y limpieza lingual: Bebe mucha agua y no te olvides de limpiar tu lengua cada día con un limpiador lingual o tu propio cepillo. Hazlo con suavidad, eliminarás muchas de las bacterias que causan mal aliento.
En definitiva, la higiene bucodental en portadores de ortodoncia es primordial. Los especialistas son claros: el proceso será menos molesto y más seguro. Para ello, basta con realizar la limpieza de manera adecuada y aplicar las recomendaciones. De este modo, no olvidarás ninguna zona.
🚀APRENDE Como 𝗖𝗘𝗣𝗜𝗟𝗟𝗔𝗥𝗦𝗘 los dientes con 𝗕𝗿𝗮𝗰𝗸𝗲𝘁𝘀 𝐂𝐎𝐑𝐑𝐄𝐂𝐓𝐀𝐌𝐄𝐍𝐓𝐄 en CASA (+ Hilo Dental, +Irrigador)
