El bruxismo es una afección común caracterizada por el apretamiento o rechinamiento de los dientes, generalmente durante el sueño. Se estima que afecta aproximadamente al 30% de la población adulta. A pesar de ser un problema dental, sus consecuencias pueden extenderse a otras áreas de la salud.

Tipos de Bruxismo
Existen dos tipos principales de bruxismo:
- Bruxismo nocturno: Este es el tipo más común y suele ocurrir durante el sueño sin que la persona sea consciente de ello. Por lo general, se diagnostica cuando el paciente se queja de dolores mandibulares o de cabeza al despertar.
- Bruxismo diurno: Ocurre de forma inconsciente mientras estamos haciendo tareas que requieren concentración como la limpieza del hogar, actividades rutinarias, etc.
Consecuencias del Bruxismo en la Salud Dental
El bruxismo puede tener una serie de consecuencias perjudiciales para la salud dental.
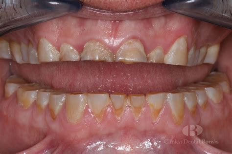
Desgaste Dental
El desgaste dental representa una de las consecuencias más evidentes y preocupantes del bruxismo. La principal consecuencia del bruxismo es el desgaste de las piezas dentales. Sin embargo, en casos más severos provoca un daño irreversible en el esmalte. Los dientes afectados por el bruxismo suelen presentar fracturas, astillamientos y un característico aplanamiento de las superficies masticatorias.

Problemas en las Encías
Las piezas dentales no son las únicas que sufren las consecuencias de esta afección: las encías son otras grandes perjudicadas. La pérdida de hueso y el desgaste dental como consecuencia de esta patología originan daños en las encías, posibilitando una gingivitis (inflamación leve de las encías) e incluso, periodontitis (infección grave del tejido blando).
Hipersensibilidad Dental y Caries
Tiene una incidencia directa tanto en el padecimiento de hipersensiblidad dental como en la aparición de caries y abfracciones dentales. Esta es la pérdida de espesor del esmalte que se presenta en forma de cuña alrededor del cuello dentario.
Pérdida de Dientes
En casos graves y no tratados, el bruxismo puede conducir a la pérdida de dientes debido al daño acumulado en el esmalte, las fracturas y el desgaste.
Torus Mandibular
Por último, el bruxismo puede propiciar el sobrecrecimiento de los huesos de la boca. Cuando esto sucede y el hueso sobresale demasiado, se le conoce como torus mandibular. Si tienes torus, no debes preocuparte: generalmente es inocuo aunque no está de más que lo revise un dentista.
Impacto en la Articulación Temporomandibular (ATM)
Seguramente, si padeces algunos de los síntomas asociados al bruxismo y has buscado información al respecto, te habrás topado con las consecuencias que genera en la articulación temporomandibular (ATM). Y es que esta afección es un trastorno que afecta tanto a los músculos de la masticación como a esta articulación.
La Articulación Temporomandibular (ATM) sufre un impacto directo debido a la presión excesiva ejercida durante el bruxismo. La ATM conecta la mandíbula inferior al cráneo, generando sobrecargas de la misma.

Con el apretamiento se producen contracciones musculares importantes, que mantenidas en el tiempo pueden dar lugar a contracturas de la musculatura de la masticación: músculos temporales, maseteros y pteriogoideos.
Dolores de Cabeza y Cervicales
Las cefaleas tensionales y los dolores cervicales son consecuencias frecuentes del bruxismo no tratado. El sistema muscular facial sufre un desgaste considerable debido al esfuerzo constante.
El bruxismo afecta a nuestros dientes pero también a nuestra musculatura craneal; por esta razón esta dolencia está relacionada con migrañas y dolores musculares.
Efectos en el Sueño y la Salud Mental
El bruxismo nocturno interfiere significativamente con la arquitectura del sueño, provocando microdespertares que impiden alcanzar las fases más profundas y reparadoras del ciclo del sueño. Los pacientes con bruxismo nocturno suelen experimentar una disminución en su capacidad de concentración y rendimiento durante el día.
La falta de descanso adecuado puede tener consecuencias significativas en la salud mental, aumentando el riesgo de desarrollar trastornos de ansiedad y depresión.

Tratamientos y Manejo del Bruxismo
El diagnóstico y tratamiento temprano son fundamentales para prevenir daños irreversibles.
En Clínica Birbe ofrecemos diferentes opciones de tratamientos para el bruxismo que van desde protectores dentales para utilizar durante las horas de sueño, a ejercicios de relajación, evitar comer determinados alimentos duros, dormir bien o beber mucha agua.
Férulas Dentales
Férulas de descarga oclusales: se trata de unas placas removibles muy finas (generalmente de plástico y transparentes) que se colocan en una de las dos arcadas dentales a fin de evitar el contacto entre ellas y entonces evitar el desgaste dental. Permite disminuir el bruxismo, la presión y proteger los dientes.
Férulas Dentales: La medida más importante y resolutiva del bruxismo, es la confección de una férula de descarga a medida por parte de nuestros espcialistas en oclusión.
Estrategias de Gestión del Estrés
Si el bruxismo está relacionado con el estrés, aprender técnicas de manejo del estrés como la meditación o el yoga puede ayudar. La prevención de esta afección, como tal, no es posible, pero siempre es beneficioso atajar la raíz del problema. Es decir, en caso de sufrir episodios de estrés de manera regular que originen episodios de bruxismo, lo ideal es acudir a un especialista que colabore a gestionar los mismos de la mejor manera.
Fisioterapia
Aún llevando una placa de descarga es recomendable realizar fisioterapia craneal, pues se centra en relajar los músculos. Existen una serie de ejercicios que se pueden hacer en casa y que son muy útiles para aliviar el dolor. Clínica Birbe tiene una gran experiencia en este ámbito y dispone de un servicio de fisioterapia craneal especializado.
Fisioterapia: mediante ejercicios de estiramiento y masajes de los músculos del cuello, hombros y cara se puede contribuir a relajar la musculatura de la masticación. Son sesiones de masaje realizados por parte de un fisioterapeuta especializado en zona craneal y cervical y determinados para realizar en casa que permitirán aliviar el dolor, relajar musculatura y proteger más los dientes.
Medicamentos
Para tratar los síntomas del bruxismo también se puede recurrir a medicamentos que puedan minimizar los síntomas de la enfermedad, como es el caso de los relajantes musculares. Este tipo de medicamentos deben ser prescritos por el médico de cabecera del paciente y tienen efectos generales.
Reconstrucción dental
Reconstrucción de los dientes: mediante técnicas adhesivas de última generación mínimamente invasivas con carillas dentales en la zona de los incisivos y con incrustaciones en la zona molar y premolar, se puede reconstruir la parte dental perdida.
Higiene del Sueño
Una correcta higiene del sueño puede marcar (y mucho) la diferencia entre padecer bruxismo o no padecerlo. Recuperar una buena rutina de sueño favorecerá el descanso y reducirá la tensión.
Consejos Adicionales
- Además, aquellas personas que padecen esta afección deben evitar alimentos que supongan un esfuerzo de masticación. Nos referimos a comidas demasiado duras o pegajosas, o estimulantes, especialmente aquellos que contengan cafeína y teína.
- Reducir el consumo de excitantes como la cafeína, la teína y la taurina que están presentes en el café, las bebidas carbonatadas, el té o las bebidas energéticas.
- Escuchar música que nos relaje antes de irnos a dormir.
- Reír. ¡Sí! Reír también es muy importante para prevenir estados de estrés y ansiedad.
¿Tensión y dolor mandibular? 3 ejercicios para el bruxismo
Tabla Resumen de Consecuencias y Tratamientos
| Consecuencia | Tratamiento/Manejo |
|---|---|
| Desgaste dental | Férulas de descarga, reconstrucción dental |
| Dolor de mandíbula y cabeza | Fisioterapia, técnicas de relajación, férulas |
| Trastornos del sueño | Higiene del sueño, técnicas de relajación |
| Estrés y ansiedad | Gestión del estrés (meditación, yoga) |
El seguimiento regular con profesionales permite monitorear el progreso del tratamiento y realizar ajustes según sea necesario.
Es la visita regular al dentista la que determina en la mayoría de los casos un diagnóstico precoz de los primeros síntomas del bruxismo, de ahí su importancia de ir al menos una o dos veces al año a una revisión bucodental donde el especialista puede determinar patologías como ésta.
tags: #consecuencia #del #bruxismo