Los problemas de la boca siempre nos han traído de cabeza, especialmente durante la adolescencia, cuando dábamos la bienvenida a los brackets para que estos se quedaran por un tiempo, generalmente largo, con nosotros. Sin embargo, en la etapa adulta los defectos vuelven a la carga: o bien porque alguna pieza dental se ha movido con los años, o bien porque nunca antes recurrimos a la ortodoncia.
En este sentido, pese a necesitar algunos retoque estéticos en nuestra dentadura, el tiempo de tratamiento, la incomodidad, el precio y nuestros compromisos sociales y laborales a menudo nos impiden tomar la decisión de someternos a un tratamiento.

Diferentes tipos de brackets disponibles en el mercado.
El Impacto de la Mascarilla en la Ortodoncia
La mascarilla se ha convertido en un uniforme facial que nos protege del contagio, cubriendo nariz y boca. Como resultado, nuestro maquillaje se ha simplificado y lo que ocurra debajo de la mascarilla queda reservado única y exclusivamente a las personas con las que vivimos. Esta es una de las premisas que más ha afectado a una importante decisión dental: la ortodoncia.
Los ortodoncistas han experimentado cómo la demanda de las ortodoncias invisibles descendía considerablemente, mientras que la ortodoncia con brackets aumentaba, superando por primera vez entre adultos a la ortodoncia invisible. En concreto, la clínica Ferrus & Bratos detallaba que la demanda de tratamientos de ortodoncia con brackets metálicos ha aumentado en un 71% respecto al año anterior.
Llevar mascarilla permite llevar brackets sin que nadie lo vea. Otra de las explicaciones de este aumento de la demanda de la ortodoncia tradicional es una cuestión de precio. “Los brackets metálicos son el sistema más barato y son muchas las personas que han visto cómo su situación económica cambiaba tras la cuarentena”, apunta la doctora Patricia Bratos.

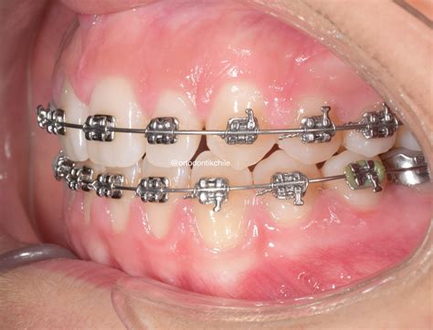
Ortodoncia con brackets metálicos.
El Auge de la Preocupación por la Sonrisa
Durante la cuarentena, las horas delante del ordenador o el móvil en eternas videollamadas dejaban mucho tiempo al escrutinio facial personal. Es decir, en estos meses analizamos nuestra imagen con tanta precisión que en cuanto las restricciones se comenzaron a levantar, la demanda de tratamientos estéticos se disparó. Desde ácido hialurónico o bótox hasta extensiones de pestañas u ortodoncias. La preocupación por nuestra imagen ha crecido considerablemente.
La preocupación por la sonrisa ha aumentado como consecuencia de las videollamadas. Igual que muchas personas han decidido recurrir a los retoques estéticos o a la cirugía, aprovechando que el posoperatorio quedaría oculto tras una pantalla o la mascarilla, otras tantas han arreglado sus dientes en los meses de aislamiento… Cuando llegue el momento de desenmascararse, habrá muchas sorpresas faciales.
Brackets vs Invisibles | La verdad
Brackets Metálicos vs. Ortodoncia Invisible
Lo curioso es que, cuando se trata de mejorar la sonrisa, la tendencia ha pasado de primar la estética del Invisaling a la rapidez de los brackets tradicionales. “Aunque con los alineadores invisibles se abordan casos de maloclusiones severas, es cierto que la presión que ejerce la ortodoncia fija es mayor que la de los alineadores. Por ello, es posible que una persona que opte por Invisalign tenga un tratamiento ligeramente más largo que si se decanta por los brackets metálicos si el caso es más complejo, y especialmente en los casos de sobremordida aumentada o de extracciones”, explica la doctora Patricia Bratos.
Los casos de sobremordida, apiñamiento u oclusión también se ven favorecidos por la rapidez y fuerza de los brackets metálicos. La proliferación de las ortodoncias transparentes y los Invisalings se debía a que se podía hacer una vida normal sin que nadie se diera cuenta de que los llevábamos, pero el obligatorio uso de la mascarilla se ha convertido en un vacío legal.

Ortodoncia Invisalign: Una alternativa estética a los brackets tradicionales.
Ventajas de la Ortodoncia Invisible
La Clínica Dental Costa Adeje Center se ha convertido en un referente en tecnología dental en la isla gracias a innovaciones como el escáner intraoral y la ortodoncia invisible. Uno de los tratamientos con mayor demanda es la ortodoncia invisible, especialmente en adultos y jóvenes. “Simplemente con un escaneado de la boca, que es indoloro y tarda entre 3 y 4 minutos, obtenemos un registro del paciente. Luego, con el software, podemos diseñar los movimientos dentales hasta llegar a un resultado satisfactorio en cuanto a oclusión y estética”, explica el Dr.
Entre las ventajas de esta técnica frente a la ortodoncia metálica, el especialista destaca la estética y la comodidad. “El paciente puede quitársela para comer y cepillarse, algo que no se puede hacer con los brackets metálicos. La demanda estética ha crecido en los últimos años y la ortodoncia invisible responde a esta necesidad. “La tendencia actual de la sociedad es cuidarse y verse bien. Muchas personas la eligen porque apenas se nota, es casi irreconocible”, señala el experto.
“Invisalign tiene una ventaja extra: nos permite planificar cada caso de forma que, antes de empezar el tratamiento, ya contamos con una simulación del resultado final que obtendrá el paciente. Por tanto, todas las férulas que va a necesitar el paciente se realizan a la vez. Esto hace que sea posible el envío de férulas a domicilio para el paciente”, precisa la ortodoncista.
The Fast Aligner: Una Alternativa Rápida
Por este motivo, la empresa española Geniova Technologies ha presentado The Fast Aligner, una ortodoncia invisible y de “quita y pon” que actúa rápidamente. Consiste en un tratamiento formado por cofias removibles, un híbrido entre los brackets y los alineadores transparentes que permite corregir la sonrisa si se lleva puesto unas 16 horas al día.
“Este sistema reúne lo mejor de cada técnica previa, es hasta cuatro veces más rápido que los famosos alineadores invisibles y se puede quitar de la boca más veces al día y durante más tiempo”, aseguró Antonio Baselga, el CEO de Geniova, en la presentación de este nuevo tipo de ortodoncia.
Desde Estetic.es nos hemos puesto en contacto con Deisy Carolina González, una de las ortodoncistas de Geniova para que nos explique todos los detalles. “Se ha demostrado que la combinación de bracket férula arco permite que el paciente, aun utilizando el sistema de Geniova un menor número de horas, obtenga igual o mejores resultados”, concreta.
Y es que, esta técnica nace para cubrir la necesidad de aquellos pacientes que buscaban lograr una bonita sonrisa de forma rápida y estética. Concretamente, consigue mover 1,25 milímetros al mes. “A esto le añadimos la posibilidad de diseñarlo en 3D e imprimirlo en la misma férula, por lo que el tratamiento dura entre 6 y 9 meses”, señala también la especialista.
Con cuatro tratamientos diferentes (Monomaxilar, Plus Monomaxilar, Bimaxilar y Plus Bimaxilar), The Fast Aligner se diseña de forma personalizada y se adapta a las necesidades de cada cliente, aunque según González se recomienda, especialmente, en pacientes con dentición definitiva, con una oclusión estable posterior y apiñamientos moderados en el sector anterior.
Asimismo, al ser removible no será un problema durante cualquier tipo de actividad como presentaciones, entrevistas, cenas y fiestas. “Además, está perfectamente indicado para cualquier tipo de trabajo en el que la imagen juegue un papel importante: presentadores de televisión, actores, modelos, ejecutivos…”, concluye la ortodoncista.