¿Te has dado cuenta de que hay un hueco entre tu corona y la encía y no sabes si deberías preocuparte? Como odontólogo, he visto a muchos pacientes inquietos por este espacio extraño alrededor de sus coronas dentales. Entiendo perfectamente tu preocupación. Un pequeño espacio entre la encía y la corona dental puede parecer inofensivo, pero en realidad puede indicar problemas ocultos o futuros.
En esta guía te explicaré por qué aparece ese hueco, qué consecuencias puede tener para tu salud bucal (desde molestias y dolor en la encía por la corona hasta caries ocultas), cómo diagnosticamos los dentistas una corona mal ajustada o con filtraciones, y sobre todo qué soluciones existen para arreglarlo.
¿CORONA dental MAL PUESTA? ¿Como identifico que una CORONA DENTAL está MAL AJUSTADA o MAL HECHA?
¿Qué es una Corona Dental?
Una corona dental es una prótesis fija que se coloca sobre un diente o implante dental para cubrir un diente dañado, mejorando su forma, tamaño y resistencia. Una funda dental es lo que se llama coloquialmente una corona dental artificial, la cual se coloca sobre la corona del diente natural tallada previamente. Las fundas dentales o coronas artificiales nos ayudan a recuperar la función y/o estética perdida por la corona natural del diente.
Por lo tanto, se colocará una corona artificial en los casos en los que se vea perjudicada la integridad del diente y necesitemos hacer un diente más fuerte y/o estético. Las coronas son necesarias cuando la integridad del diente original está en peligro y se desea generar una pieza más sólida y mucho más estética.
Las coronas dentales son una solución efectiva para restaurar dientes dañados o debilitados, ofreciendo una apariencia y funcionalidad natural.

¿Cuándo se deben usar las coronas?
No existe una sola causa por la cual un odontólogo decide colocar una corona dental a sus pacientes. Por esto te diremos cuáles son las causas más frecuentes:
- Restauración de dientes debilitados: Después de un tratamiento de conducto o si un diente tiene una gran cavidad, una corona puede fortalecerlo y protegerlo contra fracturas.
- Cubrir dientes desfigurados o decolorados: Si un diente está gravemente descolorido o tiene una forma anormal, una corona puede mejorar su apariencia.
- Soporte para puentes dentales: Las coronas son utilizadas como soporte para un puente dental, el cual se utiliza para reemplazar uno o varios dientes faltantes.
- Cobertura de implantes dentales: Una corona puede ser colocada sobre un implante dental como parte de un reemplazo de diente individual.
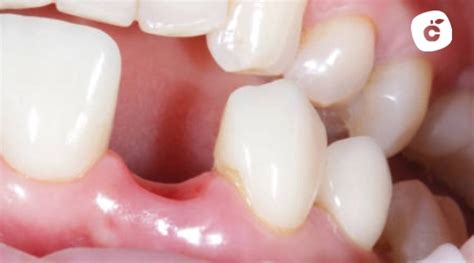
¿Por Qué Hay un Hueco Entre la Corona y la Encía?
Como dentista, lo primero que te explicaría es que una corona dental bien hecha debería ajustarse perfectamente al diente, sin dejar espacios hacia la encía. Si notas un hueco o separación, algo ha ocurrido. Las causas pueden variar desde problemas en la corona misma hasta cambios en tu encía con el tiempo.
En algunos casos, el problema viene de origen: la corona pudo quedar mal ajustada desde el principio. ¿Cómo pasa esto? A veces, en el proceso de tomar medidas e impresiones del diente para fabricar la corona, puede haber imprecisiones. El más mínimo error del técnico dental o del dentista al diseñar la corona puede hacer que no se adapte perfectamente a la encía.
Si la forma interna de la corona no calza exacto sobre el diente preparado, queda un borde abierto. Este borde abierto crea un pequeño hueco por donde pueden colarse restos de comida y bacterias. En mi experiencia, también he visto coronas mal ajustadas cuando la corona es más grande o tiene una forma que la encía no “abraza” bien. Esto puede ocurrir si el diente tallado tenía una forma irregular o si la corona quedó con sobrecontorno.
Otra causa frecuente del hueco es que tu encía se haya retraído o encogido con el tiempo. Puede suceder que inicialmente la corona estuviera bien ajustada, pero tras años, la encía circundante se retrae (por envejecimiento natural, cepillado brusco, o algún problema periodontal leve). Al retraerse la encía, deja expuesto un espacio entre la corona y el tejido que antes no se notaba.
Muchas veces, cuando la encía “sube” dejando parte del diente o corona al descubierto, aparece también una antiestética línea oscura en el borde de la corona. Esta retracción no solo afecta la estética; al encoger la encía, pierde el sellado hermético que antes tenía contra la corona.
Queda entonces un hueco visible (a veces con forma de “triángulo negro” entre diente y encía). La encía retraída es común con el paso de los años, especialmente si la corona lleva mucho tiempo colocada.
Las coronas se fijan al diente mediante un cemento dental especial. Con los años, ese cemento puede deteriorarse o disolverse parcialmente, especialmente si la zona está sometida a mucho esfuerzo o higiene deficiente. Cuando el cemento que sella la corona se va desintegrando, pueden originarse microfiltraciones entre el diente y la corona. Por esas minúsculas fisuras comienzan a penetrar las bacterias.
Desde fuera, podrías notar el hueco porque la corona empieza a aflojarse o a tener un borde ligeramente separado. De hecho, un síntoma típico de cemento deteriorado es sentir la corona un poco móvil o ver que sale olor desagradable al pasar el hilo dental, indicio de filtración dental. Suele ocurrir en coronas ya veteranas: con el paso del tiempo, el sellado perfecto original se pierde y aparece esa rendija. En pocas palabras, la corona se despegó un poquito de su base.
Si notas que se queda comida atrapada constantemente entre la corona y la encía, casi seguro hay un espacio por cemento lavado. Si tu corona está sobre un implante dental (en lugar de un diente natural), el panorama es un poco diferente. En implantes, a veces se deja un pequeño espacio intencional para que la encía forme una especie de “sellado” alrededor. Además, el diámetro de un implante suele ser más estrecho que el diente original, especialmente en molares grandes.
Esto significa que la corona de implante (que reemplaza una muela ancha) va atornillada a un pilar más estrecho, generando un triángulo de espacio en la encía. Muchos pacientes con implantes en muelas notan un pequeño hueco interproximal o con la encía y preguntan si es normal. En parte sí es común en implantes tener algo de espacio, porque si diseñáramos la corona más ancha para cerrarlo, sería peor para la higiene - no podrías limpiar bien y eso podría comprometer el implante.
¿Cómo saber si el hueco en tu caso es un problema? Si se trata de un implante y el dentista te dijo que ese espacio es necesario, probablemente es un diseño previsto. Pero si notas que es muy grande o que se acumula mucha suciedad, conviene una segunda opinión para ver si se puede mejorar.
Consecuencias de un Hueco Entre la Corona y la Encía
Un hueco entre la corona y la encía no solo afecta la estética de tu sonrisa, también puede tener consecuencias serias para la salud bucodental si no se aborda a tiempo:
- Retención de alimentos y placa: Ese hueco se vuelve un rincón perfecto donde se atascan restos de comida. Aunque te cepilles, es fácil que queden residuos, generando placa bacteriana persistente.
- Caries debajo de la corona: Las bacterias aprovechando el hueco causan una filtración dental que ataca el diente bajo la corona. Pueden formarse caries ocultas bajo la corona sin que lo veas. De hecho, es sabido que si hay un espacio, se acumulan alimentos y caries, sensibilidad y otros problemas.
- Inflamación e infección de encías: La acumulación de placa en ese borde abierto irrita la encía. Es común ver encías enrojecidas, hinchadas o que sangran alrededor de una corona mal sellada. Esa inflamación crónica puede derivar en gingivitis e incluso periodontitis localizada.
- Dolor en la encía y sensibilidad: Un hueco entre corona y encía a menudo viene acompañado de molestias o dolor en la zona. La encía inflamada duele al tocarla o al masticar. También, si la filtración ha expuesto parte de la raíz del diente, puedes sentir sensibilidad al frío o calor en esa área.
- Desprendimiento o caída de la corona: Si el problema es que el cemento se ha deshecho, la corona puede terminar por aflojarse completamente y desprenderse.
- Problemas estéticos: Más allá de la salud, está el tema cosmético. Un espacio notorio genera un triángulo negro antiestético entre tu diente y la encía. Y si se ve una línea metálica oscura en el borde, la corona luce artificial. Esto puede afectar tu confianza al sonreír.
Ese hueco es una puerta de entrada para bacterias y un foco de problemas: caries, infecciones, dolor e incluso la pérdida de la corona o del diente. No es algo que debas ignorar.

¿Cómo Diagnosticar un Problema con tu Corona?
Quizás te preguntes, “¿cómo confirmo si realmente hay un problema con mi corona?”. A veces el hueco es evidente a la vista o al tacto con la lengua, pero otras veces puede ser sutil.
- Observación visual y sondaje: En la consulta, examino cuidadosamente el borde de la corona con un espejo y una sonda periodontal. Si la sonda entra fácilmente entre la corona y la encía más de lo debido, o noto un espacio, confirmo que hay un ajuste deficiente. También evalúo el color de la encía: si está rojiza o inflamada alrededor, sospecho de filtración.
- Síntomas referidos por el paciente: Tu experiencia cuenta mucho. Si me dices que se te meten restos de comida siempre en ese sitio, o que sientes mal olor al hilo dental, o notas la corona algo suelta, son pistas claras. El mal sabor metálico o a podrido al presionar la corona también apunta a caries debajo por filtración.
- Radiografía dental: Una radiografía periapical o bite-wing del diente con corona es muy reveladora. En la radiografía podemos ver si hay caries debajo de la corona o filtración (se observa como un área oscura bajo el contorno de la corona). También nos permite ver si el ajuste en el margen es correcto.
- Prueba de movilidad y oclusión: Compruebo si la corona se mueve al ejercer presión suave con un instrumento. Una corona fija no debería moverse nada. Si hay ligera movilidad, es señal de descementación.
- Evaluación del implante (si aplica): Si la corona está sobre implante, reviso el ajuste entre la prótesis y la encía periimplantaria. En algunos casos hacemos una radiografía para verificar que el contorno de la corona respecto al hueso/encía es adecuado.
Con todo esto, podemos diagnosticar la causa exacta del hueco. A veces descubrimos que hay una caries escondida causando el problema; otras, que simplemente la corona nunca ajustó bien y siempre hubo un leve espacio. En cualquier caso, identificar la causa nos permite planificar la solución adecuada.
Soluciones para un Hueco Entre la Corona y la Encía
Mi recomendación: no esperes a que duela mucho. Si notas un hueco o cualquier síntoma anormal en tu corona, acude al dentista para una revisión. Con un examen rápido y quizás una radiografía, saldrás de dudas.
La buena noticia es que este problema tiene solución. El tratamiento exacto dependerá de la causa, pero en todos los casos el objetivo es eliminar el espacio entre la corona y la encía y restaurar un ajuste perfecto, tanto para proteger el diente como para tu comodidad.
- Recementado o ajuste de la corona: Si la corona está en buen estado y simplemente se ha aflojado por pérdida de cemento, muchas veces podemos quitar la corona, limpiar bien la zona, y cementarla de nuevo. Al recementarla nos aseguramos de que quede bien ajustada y sellada. Esto aplica cuando no hay caries significativa debajo y la corona aún encaja bien en el diente. Es un procedimiento relativamente sencillo y rápido en una sola cita: retiramos la corona (a veces sale fácilmente si ya estaba casi suelta), limpiamos restos de cemento tanto de la corona como del diente, desinfectamos (muy importante para eliminar bacterias acumuladas), y volvemos a pegar la corona firmemente.
- Cambio de corona por una nueva (mejor ajustada): En muchos casos, especialmente si la corona ya tiene años, la solución definitiva es hacer una corona nueva. Esto es necesario si la corona actual está mal hecha o dañada, o si debajo hay caries extensas. Procedemos a retirar la corona vieja (a veces hay que cortarla con fresas si está muy fija), tratamos cualquier problema del diente (por ejemplo, limpiar la caries y hacer un nuevo núcleo, o realizar una endodoncia si el diente presenta infección), y tomamos medidas para confeccionar una corona totalmente nueva que ajuste a la perfección. La nueva corona cubrirá el diente hasta donde la encía llegue, eliminando el espacio. Además, aprovechamos para mejorar la estética (por ejemplo, usar porcelana sin metal para que no se vea línea negra). El resultado: sin huecos, sin filtraciones, y encía sana alrededor.
- Tratamiento de la encía (periodoncia o alargamiento de corona): Cuando el problema principal es la encía inflamada o una encía que ha crecido sobre la corona (hiperplasia) o, al contrario, una encía muy retraída, podemos recurrir a procedimientos periodontales. Por ejemplo, si la encía se inflamó por un mal ajuste, tras retirar la corona conviene realizar una limpieza profunda o curetaje de la zona para reducir la inflamación antes de colocar la nueva corona. Si la encía creció encimándose a la corona, a veces hay que recortarla (gingivectomía) para exponer bien el margen del diente y que la nueva corona se ajuste sin invadir la encía. Por otro lado, si la encía está muy retraída dejando un hueco grande, se podría valorar un injerto de encía para cubrir un poco el espacio, aunque en coronas suele ser difícil recuperar completamente la papila perdida. Otra solución en algunos casos de margen desajustado es hacer un alargamiento de corona clínico: es una pequeña cirugía donde se remodela la encía (y a veces el hueso subyacente) para exponer más estructura de diente sano. Esto se hace si el borde de la corona estaba muy profundo o había caries subgingival; al alargar la corona clínica, podemos luego poner una nueva corona con un margen accesible y bien sellado (evitando que quede un espacio oculto).
- Ajustes en coronas sobre implantes: Si el hueco ocurre en un implante y es más un tema de higiene que de defecto, la solución suele ser mejorar la higiene: limpiezas profesionales frecuentes, enseñar al paciente a usar cepillos interproximales o hilo especial para implantes, etc. Sin embargo, si el espacio es excesivo o molesto estéticamente, se puede considerar reemplazar la corona sobre implante por una de diferente diseño. A veces añadimos un poquito de cerámica rosada en la corona nueva para simular encía y cerrar visualmente el hueco (esto se hace en zonas estéticas). O se puede confeccionar la nueva corona con un perfil de emergencia distinto que rellene mejor el espacio sin comprometer la limpieza. Siempre es un balance entre estética y salud: nunca cerraremos el hueco al 100% en implantes si eso impide la higiene, pero se puede mejorar. Consulta con un implantólogo; como mencionó una colega, mantener un pequeño espacio puede ser necesario para evitar fracasos en el implante por mala higiene.
Mantenimiento y Cuidados Posteriores
Cualquier solución elijas (recementar o nueva corona), el paso final siempre es mantener una excelente higiene oral y controles periódicos. Te enseñaré a cepillar muy bien la zona del margen de la corona, usar hilo dental o irrigador para que no se acumule placa en el futuro. También recomiendo revisiones cada 6-12 meses. Así podremos vigilar que no vuelva a aparecer un hueco ni signos de filtración.

En definitiva, la solución existe y suele ser efectiva: o bien ajustar lo que tienes (siempre que sea viable) o rehacer la corona corrigiendo la causa del problema. No te resignes a “vivir con el hueco”, porque como vimos, puede traer complicaciones. Con la ayuda de tu dentista lograrás eliminar ese espacio, mantener tu diente protegido y lucir una encía saludable, sin líneas negras ni molestias.
¿Es Normal Tener un Hueco Entre la Corona y la Encía?
No, lo normal es que una corona bien ajustada no presente ningún hueco visible entre el borde de la corona y la encía. Si notas un espacio, generalmente indica un problema: puede ser que la corona esté mal adaptada, que el cemento se haya lavado, o que la encía se haya retraído. La única excepción es en ciertos implantes dentales, donde un pequeño espacio puede ser intencional para facilitar la higiene, pero nunca debe ser un hueco grande ni problemático. En un diente natural, no debe haber huecos.
Problemas Frecuentes en las Coronas Dentales
Problemas frecuentes en las coronas dentales pueden surgir incluso en tratamientos bien ejecutados. Estas prótesis dentales, aunque altamente efectivas, no están exentas de inconvenientes que pueden afectar su funcionalidad y estética a largo plazo. A pesar de ser una opción sumamente efectiva para los odontólogos, hay algunos problemas que se pueden presentar a raíz de las coronas.
| Problema | Descripción |
|---|---|
| Sensibilidad dental | Posible sensibilidad después de la colocación, tratable con productos desensibilizantes. |
| Incomodidad o dolor | Molestias o dolor si la corona no encaja adecuadamente o hay problemas con la mordida. |
| Desgaste de la corona | Desgaste con el tiempo debido al uso normal o bruxismo, pudiendo requerir reemplazo. |
| Infección o caries | Posibilidad de caries debajo de la corona si no se mantiene una buena higiene dental. |
| Desprendimiento o fractura | La corona puede desprenderse o fracturarse, requiriendo reparación o reemplazo. |
| Problemas estéticos | La corona puede no coincidir perfectamente con el color o la forma de los dientes adyacentes. |
Es importante mantener una buena comunicación con el dentista y seguir sus recomendaciones después de la colocación de una corona dental. Hacer visitas dentales regulares ayudará a detectar cualquier problema temprano y garantizar la longevidad y funcionalidad de las coronas dentales.
¿Qué Hacer Si Tu Corona Se Afloja o Se Cae?
Si notas que tu corona se mueve, duele o se ha soltado, no lo dejes pasar:
- No la tires. Guárdala limpia en una caja pequeña y llévala a tu dentista.
- Nunca intentes pegar la corona con pegamento doméstico o adhesivos no dentales.
¿Cuánto Dura una Corona Dental?
Con el cuidado adecuado, una corona dental puede durar entre 10 y 15 años, aunque algunas pueden durar mucho más. Una corona dental bien colocada y mantenida puede acompañarte durante décadas.
¿Es Doloroso el Proceso de Colocación?
El proceso de colocación de una corona dental generalmente no es doloroso porque se realiza bajo anestesia local.
¿Se Puede Colocar una Corona con Encías Retraídas?
Sí, es posible colocar una corona dental en pacientes con encías retraídas.
¿Qué Hacer Si la Corona Se Cae?
Si tu corona se cae, es importante mantener la corona a salvo y contactar a tu dentista lo antes posible. Evita intentar pegar la corona tú mismo, ya que esto puede causar más daño.
¿Las Coronas Se Manchan?
Las coronas hechas de porcelana o cerámica tienen una resistencia similar a las manchas que los dientes naturales.