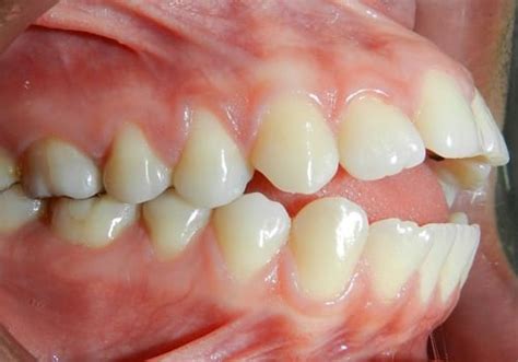
La protrusión dental, comúnmente conocida como "dientes de conejo", ocurre cuando los dientes superiores sobresalen de los inferiores. Esta maloclusión puede causar diversos problemas de salud bucal y afectar la estética facial. Afortunadamente, existen múltiples tratamientos efectivos para corregir esta condición y mejorar la sonrisa.

Corrección de dientes adelantados mediante ortodoncia.
¿Qué es la Protrusión Dental?
La protrusión dental se presenta cuando los dientes superiores quedan muy por delante de los inferiores. Las personas que padecen esta condición suelen tener dificultad para cerrar bien los labios y los dientes quedan más salidos de lo normal.
Debido a que los incisivos, y en especial los superiores, tienen una inclinación excesiva, los pacientes con esta maloclusión pueden sufrir traumatismos dentales, problemas al masticar, enfermedad periodontal o inflamación gingival, problemas respiratorios y alteración en la forma labial y facial.
Causas de la Protrusión Dental
Existen varias razones por las cuales una persona puede tener los dientes salidos o la sonrisa de conejo. A continuación, se mencionan las más frecuentes:
- Causas genéticas: La maloclusión del maxilar II es un factor genético que provoca los dientes salidos. El maxilar superior está más adelantado que el inferior, haciendo que los dientes no encajen. Otra posibilidad es que la mandíbula esté retraída, causando que el maxilar parezca adelantado. La deglución atípica, o la colocación inadecuada de la lengua al tragar, también puede provocar protrusión dental.
- Hábitos: Chuparse el dedo, morderse las uñas y la succión labial son hábitos que pueden causar protrusión dental. Al "hacer la pipa", se ejerce presión con el dedo hacia la parte interior de los dientes superiores, empujándolos hacia afuera.
Consecuencias de la Protrusión Dental
Tener los dientes de arriba más salidos, además de afectar la autoestima y la confianza de la persona, tiene otros inconvenientes y puede causar problemas de salud, entre ellos:
- Aparición de caries
- Golpes o fracturas por culpa de los dientes salidos
- Problemas al masticar y malestar al comer
- Inflamación de las encías
- Problemas respiratorios
- Alteración de la forma de la cara

Consecuencias de la protrusión dental.
Diagnóstico de la Protrusión Dental
Si notas que tienes los dientes salidos puede ser una señal de protrusión dental. No obstante, quien está capacitado para dar un diagnóstico certero es el dentista.
- Evaluación clínica: El dentista hará una evaluación física para determinar con exactitud el problema; es decir, si son los dientes que no han salido en la posición correcta o si hay alguna malformación en los huesos. La valoración temprana permitirá aplicar el tratamiento adecuado a tiempo.
- Estudios de imagen: En ciertas ocasiones, un simple examen visual no proporciona suficiente información para diagnosticar el origen de una protrusión dental. De manera que el dentista puede requerir estudios de imagenología para obtener una visión detallada de la estructura ósea y dental.
Opciones de Tratamiento para la Protrusión Dental
La protrusión dental es una afección que se corrige mediante tratamiento de ortodoncia, cirugía ortognática, o una combinación de ambos, de preferencia a una edad temprana.
En Lorente Ortodoncia trataremos este problema desde diferentes abordajes, siendo siempre nuestra prioridad realizar tratamientos conservadores.
Tratamientos Ortodónticos
La ortodoncia permite tratar la inclinación hacia adelante que poseen los dientes en estos casos. Los dispositivos más utilizados para corregir la posición de los dientes de un paciente con protrusión son:
- Brackets metálicos: Es el tratamiento de ortodoncia tradicional para mejorar la posición de los dientes.
- Brackets estéticos: Están hechos de materiales como cerámica, porcelana, por lo que son menos visibles que los metálicos y también más cómodos.
- Alineadores invisibles (Invisalign): Es una alternativa moderna, mucho más discreta que los brackets.
Antes de determinar el tratamiento, el dentista debe evaluar la complejidad del caso, así como la edad del paciente y el origen de la protrusión. De esta forma ofrecerá el tratamiento que se adapte mejor a su condición y necesidades.
En este caso, el paciente fue tratado con microtornillos en los 4 cuadrantes y alineadores transparentes. Por eso, una de nuestras opciones para corregir la biprotrusión dentaria es el uso de microtornillos, que son pequeños tornillos de titanio también denominados dispositivos de anclaje temporal o TADs (Temporary Anchorage Devices). Se posicionan de forma sencilla en el hueso durante el tratamiento de ortodoncia, y una vez finalizado, se retiran con facilidad.

Microtornillos utilizados en tratamientos de ortodoncia.
Una vez se finaliza el tratamiento de ortodoncia para corregir los dientes salidos, es necesario usar retenedores, para asegurarnos que los dientes estarán en la posición después de terminar el tratamiento. Para esto, es necesario revisar y cambiar los retenedores cada 6 a 9 meses.
Además de pensar en el futuro, también lo hacemos en el presente: nuestros alineadores son removibles, cómodos y estéticos, para que el proceso de conseguir la sonrisa perfecta sea más fácil.
ALINEADORES INVISIBLES 🦷| ¿Valen la Pena?👎👍
Tratamientos Ortopédicos en Niños
Cuando un niño presenta protrusión dental, lo ideal es corregirla cuando están en el pico de crecimiento. Esto es aproximadamente a los 12 años de edad y se hace mediante ortodoncia interceptiva, como los expansores palatinos. Esto con el fin de evitar problemas mayores cuando sea adolescente o adulto. Esto porque los dientes de los niños se mueven con mayor facilidad que lo de los adultos. Por eso su corrección dura poco tiempo.
Si el paciente padece de protrusión dental debido a malos hábitos como chuparse el dedo o empujar los dientes con la lengua, debe tratarse mediante logopedia. El especialista se encargará de tratar, prevenir y detectar trastornos que afectan la comunicación y deglución.
Cirugía Ortognática en Casos Severos
Si la protrusión dental se origina en la posición inadecuada de los huesos de la mandíbula y se trata de un paciente adulto, entonces se debe recurrir a la cirugía ortognática. Por lo general, esta se combina con ortodoncia.

Cirugía ortognática para corregir la posición de la mandíbula.
Tratamiento de la Mandíbula Dentada (Prognatismo Mandibular)
El prognatismo mandibular es una condición en la cual la mandíbula inferior sobresale más allá de la posición normal en relación con la mandíbula superior. Esto genera una desalineación en la mordida que puede afectar tanto la función oral como la apariencia facial.
Causas y Consecuencias del Prognatismo Mandibular
Es muy importante tratar el prognatismo mandibular porque el hecho de tener la mandíbula adelantada no solo puede afectar la estética facial, sino que también puede originar una serie de problemas de salud dental y bienestar general significativos.
- Dificultad para masticar, hablar y respirar: La desalineación de la mandíbula provoca que los dientes no encajen adecuadamente, complicando la masticación de los alimentos.
- Desgaste dental prematuro: Al no estar alineados los dientes de manera correcta, la presión de la mordida se distribuye de manera desigual.
- Impacto en la estética facial: Las personas con esta condición suelen tener un perfil facial más prominente y asimétrico.
- Problemas en la articulación temporomandibular (ATM): Los síntomas más comunes incluyen dolor en la mandíbula, ruidos o chasquidos al abrir y cerrar la boca, dolores de cabeza crónicos e incluso dificultades para mover la mandíbula.
Tratamientos para el Prognatismo Mandibular
El tratamiento del prognatismo mandibular depende de la gravedad de cada caso, de la edad del paciente y de las necesidades del paciente. Las soluciones pueden variar desde tratamientos ortodóncicos hasta procedimientos quirúrgicos, o incluso una combinación de ambos.
- Tratamientos ortodóncicos: Ayudan a alinear los dientes y corregir la posición de la mandíbula. Esto puede incluir brackets tradicionales o alineadores invisibles (Invisalign).
- Expansión maxilar: Utiliza un dispositivo para ensanchar el maxilar superior, mejorando la alineación de ambas mandíbulas.
- Cirugía ortognática: Implica la corrección quirúrgica de los huesos de la mandíbula.
Duración y Recuperación de los Tratamientos
Los tratamientos ortodóncicos suelen durar entre 12 y 24 meses. La expansión maxilar puede durar entre 6 y 12 meses, mientras que la cirugía ortognática implica un período de planificación ortodóntica previo de 12 a 18 meses. La recuperación tras la cirugía es un proceso gradual, con una dieta líquida o blanda durante las primeras semanas.
Diastemas: Causas y Tratamientos
Al hablar de dientes separados muchas veces pensamos en un niño sonriendo cuyos incisivos centrales no están del todo juntos. Pero, ¿por qué se producen los diastemas y cuál es el tratamiento para corregirlo?

Diastema dental entre los incisivos centrales superiores.
Causas de los Diastemas
Existen numerosas causas que provocan diastemas, tanto en los incisivos centrales superiores como en el resto de piezas dentales:
- Existencia de desproporción en el tamaño de las piezas: Esta condición recibe el nombre de microdoncia y como consecuencia hay determinados dientes que tienen un tamaño menor del habitual.
- Ausencia de un diente: Aunque en estos casos lo normal es presentar un hueco mucho mayor, lo cierto es que los dientes tienen la tendencia a ocupar el espacio que ha dejado una pieza faltante.
- Incorrecta relación en el tamaño de las arcadas: En caso de que el diastema se de entre los incisivos centrales superiores, puede ser que la arcada sea mayor de lo habitual.
- Existencia de frenillo labial superior: Esta singularidad provoca un hueco localizado entre las dos paletas.
- Malos hábitos en la infancia: Extender la costumbre de chuparse el dedo pulgar o utilizar el chupete muchos años puede causar malformaciones en su dentadura.

Diastemas en niños.
Consecuencias de los Diastemas
Es importante señalar que las separaciones entre los dientes no presentan un problema directo para tu salud bucodental, pero conviene estudiar cada caso. Es posible que tengas diastemas pero presentes buena oclusión.
Desde el punto de vista estético, los diastemas sí pueden ser un problema para quien los padece pues suele ser causante de complejos.
Respecto a la higiene bucal, es muy importante poner énfasis en estos espacios cuando nos estamos cepillando los dientes, para que no se conviertan en el refugio de restos de alimentos. Si esto sucediera, podríamos desarrollar caries y/o problemas periodontales (gingivitis o periodontitis). Además, otra de las consecuencias de acumular alimentos en los huecos interdentales es la halitosis o mal aliento.
Tratamientos para Corregir los Diastemas
Como explicábamos previamente, hay diversos factores que provocan los diastemas. Los tratamientos más comunes incluyen:
- Carillas dentales: Ofrecen una solución eficaz y con resultados muy estéticos. Proporcionan al diente la forma, el color y el tamaño deseados, además de contribuir a que la sonrisa del paciente sea armónica y natural.
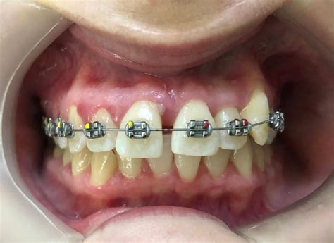
- Tratamientos de ortodoncia: Es un método efectivo para cualquiera de los problemas que forman los diastemas.
- Frenectomía: Es una cirugía mínimamente invasiva cuya misión es corregir el crecimiento anómalo del frenillo labial.

Cierre de diastema con ortodoncia.
Es necesario tener presente que, en muchos casos, los espacios entre los dientes no se solucionan a través de un único tratamiento, sino con una combinación de dos. Es decir, las carillas dentales son muy prácticas si la dentadura está perfectamente alineada y el paciente solamente necesita que el dentista disimule determinados diastemas.
Si al finalizar el tratamiento, el paciente considera que aún debe colocarse carillas para modificar la forma, tamaño o color de alguna pieza dental, podrá pedirlo en su clínica dental.
ALINEADORES INVISIBLES 🦷| ¿Valen la Pena?👎👍
Prevención de Diastemas
Los diastemas tienen un factor genético y, en este sentido, evitarlo es una tarea muy complicada. Sin embargo, cuando la separación dental responde a un hábito durante la infancia, sí que es posible prevenirlos. Es normal que un bebé se chupe el dedo, tome biberón o use chupete.
Intervención temprana en hábitos infantiles
Es posible prevenir la protrusión dental si se abordan desde temprano los hábitos dañinos. Por ejemplo, eliminar el chupete antes de los tres años de edad. Si el hábito persiste, es necesario buscar estrategias para ayudar al niño a dejarlo.
Asimismo, si el niño empuja los dientes con la lengua, puede ser necesaria la intervención de un profesional para que deje de hacerlo. Se puede recurrir a un terapeuta del habla o un ortodoncista para corregirlo. En caso de que el niño respire por la boca, hay que identificar y tratar la causa subyacente.
Evaluaciones dentales regulares
Es importante visitar al dentista con regularidad. De esta manera se pueden aplicar los tratamientos a tiempo para guiar el crecimiento de la mandíbula y los dientes.
Tabla Resumen de Tratamientos
| Condición | Tratamiento | Descripción |
|---|---|---|
| Protrusión Dental | Ortodoncia (Brackets, Alineadores) | Corrección de la inclinación de los dientes superiores. |
| Protrusión Dental (Niños) | Ortopedia Interceptiva | Uso de expansores palatinos para guiar el crecimiento. |
| Protrusión Dental (Severa) | Cirugía Ortognática | Corrección de la posición de los huesos de la mandíbula. |
| Diastemas | Carillas Dentales | Corrección estética de los espacios entre los dientes. |
| Diastemas | Ortodoncia | Cierre de espacios mediante el movimiento de los dientes. |
| Diastemas (Frenillo) | Frenectomía | Corrección del frenillo labial para cerrar el espacio. |
tags: #correccion #dientes #hacia #afuera