Un blanqueamiento dental es un tratamiento estético que elimina manchas y aclara el tono de los dientes, mejorando la apariencia de la sonrisa. El blanqueamiento dental es uno de los tratamientos más buscados en estética dental, pero también uno de los que más dudas genera. Algunas de las preguntas que más se repiten son: ¿Es seguro? ¿Cuánto cuesta realmente?
Es importante comprender que el precio de un blanqueamiento dental puede variar considerablemente en función de distintos factores. El precio dependerá del método que elijas. En Sevilla puedes encontrar desde blanqueamientos por menos de 50 €, hasta tratamientos que superan los 400 €. Pero no todo es lo mismo ni da el mismo resultado.
¡LO QUE NADIE TE DICE 🚫 DEL BLANQUEAMIENTO DENTAL 💔! Deberías ver este vídeo 👀.
Factores que Influyen en el Precio
El precio de un blanqueamiento dental puede variar dependiendo de varios factores clave:
- Tipo de Tratamiento:
- Blanqueamiento dental en clínica.
- Blanqueamiento con férulas personalizadas.
- Productos blanqueadores de venta libre.
- Tecnología Utilizada: Algunos tratamientos utilizan tecnología avanzada, como láser o luz LED, que incrementan el costo pero también mejoran los resultados y reducen la sensibilidad post-tratamiento.
- Ubicación Geográfica: El precio también puede variar según la ciudad o región donde te encuentres.
- Materiales y Calidad: Es importante recordar que los precios pueden variar según cada clínica, así como la calidad de los materiales empleados.
Tipos de Blanqueamiento Dental y sus Precios
Elegir el tipo de blanqueamiento más adecuado dependerá de tus necesidades, expectativas y presupuesto.
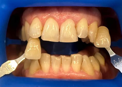
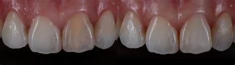
1. Blanqueamiento Dental en Clínica
Es el método más popular y efectivo. El dentista aplica un gel blanqueador con peróxido de hidrógeno de alta concentración y utiliza una luz especial para acelerar el proceso.
Precio: Entre 200€ y 500€.

2. Blanqueamiento con Férulas Personalizadas
El dentista realiza unas férulas personalizadas que el paciente utiliza en casa junto con un gel blanqueador. Este tratamiento suele durar entre dos y cuatro semanas.
Precio: Entre 150€ y 300€.
3. Blanqueamiento Dental Casero
Si prefieres una opción más económica o cómoda, el blanqueamiento dental casero puede ser una alternativa interesante. Incluyen tiras blanqueadoras, pastas dentales y kits genéricos.
Precio: Desde 20€ hasta 80€.

Tabla Comparativa de Precios
| Tipo de Blanqueamiento | Precio Estimado | Características |
|---|---|---|
| En Clínica | 200€ - 500€ | Efectivo, rápido, realizado por un profesional. |
| Con Férulas Personalizadas | 150€ - 300€ | Requiere tiempo, uso en casa, supervisión dental. |
| Productos de Venta Libre | 20€ - 80€ | Económico, menos efectivo, uso en casa. |
Consideraciones Adicionales
Seguridad y Efectos Secundarios
Sí, cuando es realizado por un profesional o siguiendo sus indicaciones, el blanqueamiento dental es seguro. Los productos están diseñados para no dañar el esmalte ni la estructura de los dientes.
La sensibilidad dental es común, pero suele ser temporal. Esto suele ser temporal y desaparece al cabo de unos días.
Es fundamental saber que un blanqueamiento dental no debe realizarse con demasiada frecuencia para evitar dañar el esmalte.
Eso sí: no se recomienda en menores, embarazadas o personas con caries activas o problemas de encías.
Duración de los Resultados
La duración de los resultados depende de tus hábitos. Si evitas alimentos y bebidas que manchen los dientes, como café, té, vino tinto o tabaco, los efectos pueden durar entre 1 y 3 años.
Los efectos del blanqueamiento pueden durar entre 6 meses y 2 años, dependiendo de los hábitos del paciente.
En la mayoría de los casos, los primeros cambios se aprecian en pocos días, y el resultado completo llega en 2-3 semanas.
Mitos y Verdades
- ❌ «El blanqueamiento desgasta el esmalte.» FALSO. Si se realiza con un dentista, el esmalte no se ve afectado.
- ❌ «Puedo blanquear mis dientes con carbón activado o bicarbonato.» ERROR. Estos métodos caseros son abrasivos y pueden dañar el esmalte. No utilices remedios caseros para quitar lo amarillo de los dientes o manchas. Blanquear los dientes en casa utilizando bicarbonato, vinagre, limón, etc. puede dañar el esmalte.
- ✅ «Los dientes pueden volverse sensibles después del tratamiento.» VERDAD. Es temporal y desaparece en unos días.
- ❌ «El blanqueamiento deja los dientes blancos de forma permanente.» NO SI NO CUIDAS TU HIGIENE.
Recomendaciones Post-Tratamiento
Después del tratamiento, es recomendable evitar alimentos y bebidas que puedan manchar los dientes, como café, té, vino tinto, bebidas carbonatadas, curry y frutos rojos.
Blanqueamiento Interno

Este tipo de blanqueamiento se emplea solo en aquellas piezas dentales que presentan una tinción severa, tras haber sufrido un traumatismo o un tratamiento de conductos (endodoncia). El blanqueamiento interno se realiza en la estructura interna del diente, exactamente, en la cámara pulpar. A diferencia del blanqueamiento externo, que actúa en todas las piezas dentales, el interno se realiza en un diente en concreto. Este procedimiento aclara la capa interna del diente: la dentina.
tags: #coste #de #un #blanqueamiento #dental