El agrandamiento de la encía o agrandamiento gingival es un fenómeno que se produce en algunos pacientes cuando, por diversos motivos, los tejidos que rodean a los dientes crecen excesivamente. Es decir, el agrandamiento gingival o hiperplasia gingival es una condición en la que las encías crecen de manera anormal, cubriendo parcialmente los dientes. En Dental Care Barcelona sabemos que los problemas bucales pueden afectar significativamente nuestra calidad de vida, y uno de los trastornos que pueden presentarse es la hiperplasia gingival. La hiperplasia gingival es un trastorno bucal que se caracteriza por un crecimiento excesivo del tejido gingival, es decir, de las encías.
A pesar de que el agrandamiento gingival puede parecer un simple problema estético, las encías agrandadas pueden ser una señal de un problema subyacente que necesita ser tratado.

Causas Principales del Agrandamiento de la Encía
Como ya hemos comentado, existen varios factores, tanto externos como internos, que pueden provocar esta patología. Las causas del agrandamiento gingival pueden ser diversas y, en muchos casos, están relacionadas con factores externos o internos que alteran el equilibrio de las encías.
- Falta de higiene oral: Este es uno de los motivos más habituales que provocan el agrandamiento gingival por la acumulación de sarro y placa entre la base del diente y la encía, que ocasiona inflamación y sangrado de encía. La acumulación de placa bacteriana debido a una higiene inadecuada puede irritar las encías, provocando inflamación y un engrosamiento del tejido gingival. Entre las causas que agravan la hiperplasia gingival se encuentra la mala higiene bucal que provoca la acumulación de biofilm dental por encima y por debajo de las encías. En el acto de combatir la infección causada por el biofilm, las encías se agrandan hasta el punto de sangrar.
- Causas hereditarias: La más frecuente es la hiperplasia gingival idiopática. Algunas personas tienen una predisposición genética a sufrir de agrandamiento gingival, lo que puede ocurrir sin una causa aparente. Factores genéticos hereditarios.
- Factores hormonales (pubertad/embarazo): Los cambios hormonales que, sobre todo las mujeres, padecen en momentos concretos como la pubertad o el embarazo, determinan otros factores que pueden afectar a la inflamación de encías. Los cambios hormonales, especialmente durante la pubertad, el embarazo o la menopausia, pueden influir en el desarrollo de la hiperplasia gingival. La hiperplasia también puede surgir debido al embarazo, como consecuencia de los cambios hormonales a los que normalmente está sometida la mujer embarazada. Cuando el estado inflamatorio gingival está causado por una de estas situaciones, se observará una regresión de la propia hiperplasia a medida que se trate y mejore la condición.
- Medicamentos: Muchos medicamentos pueden provocar un aumento en el tamaño de las encías. Fármacos como los antiepilépticos, los inmunosupresores y ciertos bloqueadores de calcio (utilizados para tratar la hipertensión y otras afecciones cardíacas) son conocidos por inducir la hiperplasia gingival. Existen también ciertos compuestos farmacéuticos como la ciclosporina, el nifedipino y la fenitoína han sido identificados como moléculas directamente responsables de la aparición de la hiperplasia gingival.
- Ortodoncia: En ocasiones los dientes torcidos fomentan la acumulación de restos de alimentos y de placa o sarro en la base de los dientes, provocando a su vez la inflamación de encías y en consecuencia, su agrandamiento. Los brackets pueden dificultar la limpieza adecuada de los dientes, lo que facilita la inflamación de las encías. En muchos casos, el agrandamiento gingival se puede controlar con una limpieza dental adecuada y el cuidado de las encías.
- Respiración oral: Puede parecer una cuestión baladí, pero respirar por la boca de manera continuada reseca mucho la cavidad y puede generar numerosos problemas como el daño de las encías.
Se ha comprobado que la hiperplasia se produce con mayor frecuencia en hombres jóvenes, especialmente si descuidan o realizan mal la higiene bucal diaria.
Si estás tomando alguno de estos medicamentos y notas que tus encías se agrandan o se inflaman, es fundamental que consultes a tu dentista o médico. En Clínicas Propdental, realizamos un diagnóstico completo para determinar si el agrandamiento gingival es causado por medicamentos u otros factores.
Medicamentos que pueden inducir al agrandamiento gingival
- Algunos medicamentos utilizados para controlar las convulsiones pueden inducir agrandamiento gingival. Estos medicamentos alteran la salud de las encías al aumentar la acumulación de tejido gingival.
- Los medicamentos inmunosupresores se utilizan para prevenir el rechazo en trasplantes de órganos o para tratar enfermedades autoinmunes. Estos medicamentos pueden alterar la respuesta inmunitaria y provocar un aumento en el volumen de las encías.
- Los bloqueadores de calcio son medicamentos que se utilizan para tratar la hipertensión arterial y problemas cardíacos. Algunos de estos fármacos pueden provocar una reacción en las encías, generando su agrandamiento. El agrandamiento gingival asociado a los bloqueadores de calcio se presenta más a menudo en personas que tienen otros factores de riesgo, como la edad avanzada o una mala higiene oral.
- Algunos tratamientos de quimioterapia, utilizados para tratar diversos tipos de cáncer, pueden afectar las encías y provocar agrandamiento gingival.
- Algunos antibióticos y medicamentos antiinflamatorios no esteroides (AINEs) también pueden contribuir al agrandamiento gingival, aunque esto es menos frecuente.
La razón exacta por la cual ciertos medicamentos provocan hiperplasia gingival no está completamente clara, pero se cree que está relacionada con cómo afectan la función celular de las encías.
Más allá de los aspectos estéticos, el agrandamiento gingival puede afectar la salud general de tu boca. El crecimiento excesivo de las encías puede esconder áreas de difícil acceso para el cepillo de dientes, lo que puede derivar en caries, enfermedad periodontal y hasta en la pérdida de dientes.
El agrandamiento gingival, aunque frecuentemente relacionado con medicamentos, también puede ser causado por varios factores que afectan la salud de tus encías. Un diagnóstico adecuado y un tratamiento específico pueden ayudar a controlar y revertir esta condición.
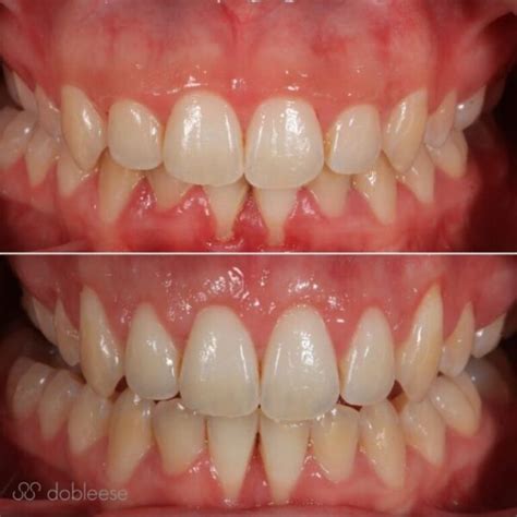
Tratamiento del Agrandamiento de la Encía
Además de los consejos que te hemos aportado hasta ahora para acabar con el agrandamiento de la encía, existe un procedimiento específico para tratar este tipo de casos. El tratamiento de las encías inflamadas dependerá de la causa y la gravedad del problema.
En Clínicas Propdental, el primer paso para tratar el agrandamiento gingival es realizar un diagnóstico exhaustivo. Nuestro equipo de expertos en salud dental evaluará las posibles causas subyacentes de la condición y diseñará un plan de tratamiento personalizado. En algunos casos, si el agrandamiento es severo, es posible que se necesite un procedimiento quirúrgico como el alargamiento coronario para mejorar la estética dental y facilitar la limpieza de las encías.
En términos generales, existen dos ámbitos de actuación: los tratamientos profesionales que se realizan en la clínica dental y los cuidados o remedios caseros que puedes hacer en casa para mejorar la condición de tus encías. Lo ideal es combinar ambos: primero resolver la causa principal en el consultorio y, paralelamente, mantener buenos cuidados diarios.
Si la hiperplasia es inducida por fármacos, la modalidad de intervención consiste en el control médico, con la reducción o interrupción del fármaco causante del agrandamiento y su sustitución por otro equivalente. Después, es necesario esperar entre 6 y 12 meses para que las encías vuelvan a su tamaño normal. La inflamación debe tratarse por separado mediante una terapia no quirúrgica. Si la terapia no quirúrgica resulta insuficiente, el dentista puede recurrir a la gingivectomía o a la cirugía plástica mucogingival.
La técnica se practica bajo anestesia local y consiste en eliminar una pequeña banda de encía para que el diente se vea un poco más en boca. La operación no suele tener ninguna contraindicación particular, y muestra un buen éxito cuando se utilizan técnicas especiales como el láser, que reduce la hemorragia local.
Opciones de Tratamiento
- Tratamiento Periodontal: Si la causa del agrandamiento es una acumulación de placa o inflamación debido a una mala higiene, el tratamiento periodontal es esencial.
- Cambio de Medicación: Si el agrandamiento está relacionado con el uso de medicamentos, es posible que sea necesario hablar con el médico de cabecera para explorar alternativas o ajustar las dosis.
- Alargamiento Coronario Estético: En los casos en los que el agrandamiento gingival es significativo y afecta la estética o la funcionalidad de los dientes, podemos recurrir a un procedimiento quirúrgico llamado alargamiento coronario. Este tratamiento consiste en una pequeña cirugía realizada bajo anestesia local, donde se elimina una porción de encía para que los dientes sean más visibles y fáciles de mantener limpios. Este procedimiento es especialmente útil cuando el agrandamiento gingival cubre los dientes y dificulta la higiene dental adecuada.
Si crees que padeces agrandamiento de la encía o cualquier otra patología que afecte a esta parte tan sensible de tu boca, no dudes en pedir cita sin compromiso alguno.
En resumen, no esperes a que el problema empeore. Si tus encías “se quejan” a través de inflamación o sangrado, sobre todo de forma continua, toma eso como una señal de ¡acude al dentista! antes de que pueda progresar a daños mayores.
Sonrisa Gingival: Causas y Soluciones Fáciles Explicadas
tags: #crecimiento #anormal #de #encias