¿Te cepillas los dientes todos los días y aún así notas una especie de capa dura y amarillenta en tus dientes, sobre todo en la parte de abajo? Tranquila, no estás sola. En este artículo, te contamos todo lo que necesitas saber sobre el sarro dental, cómo se forma, sus consecuencias, los tratamientos más efectivos para eliminarlo y los mejores productos para prevenirlo.

¿Qué es el Sarro Dental?
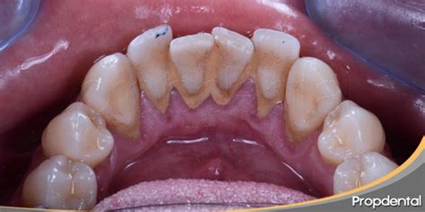
El sarro dental, también llamado cálculo dental, es una placa bacteriana que se ha endurecido debido a los minerales presentes en la saliva. Todo comienza con la placa dental, una película transparente y pegajosa que se forma constantemente en nuestros dientes. Si no se elimina correctamente (con un buen cepillado y el uso de hilo dental), esta placa se mineraliza y se convierte en sarro, especialmente en zonas como detrás de los dientes inferiores.
Consecuencias del Sarro Dental
- Inflamación de las encías: Es la inflamación de las encías.
- Gingivitis: Una evolución de la gingivitis que afecta al hueso que sostiene los dientes. ¡Mucho ojo!
- Mal aliento persistente: El sarro dental también es responsable de ese mal aliento persistente que no se va ni con enjuague.

007 CÓMO SE PUEDE PREVENIR LA FORMACIÓN DE SARRO EN LOS DIENTES
Tratamientos para Eliminar el Sarro Dental
Una vez formado, no puedes eliminar el sarro en casa, ni aunque frotes como si no hubiera un mañana. Una vez formado, el sarro requiere herramientas profesionales. La higiene bucodental es la clave de la salud oral.
Limpieza Profesional
Para eliminar el sarro es imprescindible que te sometas a una limpieza dental profesional en la clínica odontológica. Al menos una vez al año, aunque lo ideal es cada seis meses.
Raspado y Alisado Radicular
Se realiza cuando el sarro está debajo de las encías. Parecidas a las del dentista cuando te hacen un empaste.
Pastas Dentales para Prevenir el Sarro
Aquí es donde entra tu rutina beauty… pero para tu sonrisa. Recuerda: la placa es blanda y se elimina con el cepillo. El sarro es duro y solo sale en el dentista. Lo que conseguimos mediante la crema dental es evitar que las bacterias de la boca se conviertan en sarro o tártaro dental.
VITIS ® Blanqueadora
VITIS ® blanqueadora es la pasta dentífrica de uso diario que blanquea y recupera el blanco natural de los dientes, eliminando las manchas y evitando su formación. VITIS ® blanqueadora incorpora en su composición un triple sistema de fosfatos que evita la acumulación de placa dental y restos de alimentos, impidiendo la formación de sarro. Además, contiene perlita que pule y alisa el esmalte dental sin dañarlo, proporcionando una superficie más lisa y brillante.
A su vez, VITIS ® blanqueadora incluye en su formulación la innovadora tecnología DENTAID technology haprepair ® . Esta tecnología se basa en la hidroxiapatita activa, un elemento natural del diente que se integra eficazmente en el esmalte dental. Esto permite que la hidroxiapatita activa rellene las superficies irregulares del esmalte, reparándolas y obteniendo una superficie más lisa y brillante.
Acción Reparadora y Blanqueadora
- Hidroxiapatita activa: Rellena las superficies irregulares del esmalte dental obteniendo una superficie más lisa y brillante; a la vez que se deposita sobre el esmalte dental formando una capa protectora.
LacerBlanc
Las Sílicas de la nueva formulación de LacerBlanc, por su tamaño y forma, pulen y arrastran eficazmente las manchas extrínsecas, devolviendo a los dientes su color natural, brillo y suavidad, sin dañar el esmalte dental. La Polivinilpirrolidona o PVP, crea una capa protectora o película que recubre los dientes, evita la adhesión de nuevas manchas y ayuda a eliminar las ya existentes.
LacerBlanc incorpora en su nueva pasta dentífrica el colorante azul “Blue brilliant” que proporciona a los dientes una apariencia más blanca con efecto inmediato* tras el cepillado dental. Los estudios in vitro demuestran una reducción en el tono amarillo después de estar en contacto con los dientes durante 2 minutos (tiempo recomendado de cepillado dental con un dentífrico). *El efecto es temporal.
El ion Fluoruro (1.400 ppm) de la nueva composición de LacerBlanc fortalece el esmalte dental y previene la caries. La combinación de Cymenol y Zinc previene la formación de placa bacteriana. La acción combinada del Zinc y el Hexametafosfato sódico ayuda a eliminar y previene la formación de sarro.
El Cymenol es un potente agente antimicrobiano, que presenta una alta capacidad de penetración en el biofilm oral (placa bacteriana), disgregándolo y ejerciendo su actividad antimicrobiana desde las capas más profundas, contribuyendo a la salud gingival. La Vitamina E ayuda a tonificar las encías y a mantenerlas en buen estado. La combinación del Cymenol y la Vitamina E confiere un efecto antioxidante en la cavidad oral.
La sal de potasio ayuda a controlar la sensibilidad dental causada por la exposición de la dentina a alimentos o bebidas frías, calientes, ácidas o dulces u otros estímulos externos.
Cómo Elegir la Mejor Pasta de Dientes
En el mercado puedes encontrar opciones muy diversas y es importante saber escoger. Una de las funciones más importantes de la crema dental es la de aportar frescor a la boca. Además, es un elemento clave en la eliminación de bacterias y microorganismos dañinos de la cavidad bucodental. Por norma general, los dentífricos tienen buenos aportes de flúor.
El flúor es un compuesto muy importante para la sonrisa, ya que colabora en la protección del esmalte dental ante los daños que pueden generar las bacterias de la boca. El objetivo de la pasta de dientes es favorecer la salud de tu sonrisa y prevenir las caries e infecciones bucodentales. Además de utilizar una pasta de dientes de calidad, con ingredientes protectores, es importante recurrir a un buen cepillo de dientes y a buenas técnicas de cepillado. Una buena pasta de dientes fluorada nos aporta un aliento fresco y saludable.
La elección de la pasta de dientes debe de estar promovida por la patología oral a tratar o evitar. Si quieres usar un dentífrico genérico bastará con recurrir a una crema dental rica en flúor, que contenga agentes protectores y anticaries.
Tipos de Pastas Dentales
- Dentífrico anticaries: Se trata de cremas dentales con altos contenidos en flúor.
- Patología periodontal: Si sufres algún tipo de enfermedad periodontal, como la gingivitis o la periodontitis, es importante que utilices una pasta de dientes muy completa. Los dentífricos contra la piorrea suelen incluir triclosán o antisépticos como la clorhexidina.
- Hipersensibilidad: Si padeces sensibilidad dental también existen opciones de higiene bucal específicas.
- Pasta de dientes blanqueadora: Las pastas blanqueadoras son las favoritas de gran parte de la población. Se trata de dentífricos seguros, pero que no son capaces de blanquear los dientes con éxito. Funcionan muy bien para mantener en casa un blanqueamiento dental realizado en la clínica, pero por sí solas no son capaces de blanquear la sonrisa.
- Pasta dental infantil: La pasta de dientes para niños está formulada para aportar seguridad durante su uso.
Es importante que tengas claro que no necesitas utilizar grandes cantidades de pasta de dientes para lograr una sonrisa saludable. Mediante una buena técnica de cepillado pasa tu cepillo por toda la superficie de los dientes, incluyendo la cara interna de los mismos.
007 CÓMO SE PUEDE PREVENIR LA FORMACIÓN DE SARRO EN LOS DIENTES
Otros Factores a Considerar
- Fluoruro. El fluoruro es un ingrediente importante en una pasta dental de calidad, ya que ayuda a prevenir la formación de caries y fortalece el esmalte dental.
- Sello de aprobación dental.
- Necesidades personales. Algunas pastas dentales están diseñadas para dientes sensibles, encías inflamadas o blanqueamiento dental.
- Sabor y textura.
- Precio y disponibilidad.
- Consulta a tu dentista. La opinión de tu dentista es valiosa.
Marcas de Pastas Dentales Recomendadas
Hoy en día es importantísimo tener una buena salud bucodental, empezando por escoger las mejores pastas de dientes que se adapten a tus necesidades. Siempre es recomendable consultar a tu dentista para que te recomiende la pasta dental adecuada según tus necesidades específicas.
- Sensodyne: Es conocida por sus pastas dentales diseñadas especialmente para personas con dientes sensibles y ayuda a aliviar la sensibilidad dental. Como ejemplo, podemos citar Sensodyne Sensibilidad & Encías.
- Oral B: Es conocida por sus pastas dentales y cepillos de dientes eléctricos. Ofrecen pastas dentales para diversos problemas dentales, como el fortalecimiento del esmalte y la protección contra las caries.
- Parodontax: Especializada en el cuidado de las encías, Parodontax ofrece pastas dentales diseñadas para prevenir y tratar problemas de las encías, como la gingivitis. Parodontax Encías Aliento y Sensibilidad Pasta Dentífrica es una pasta dentífrica con flúor para uso diario que nos ayuda a mantener unas encías sanas y unos dientes fuertes.
- Signal: Esta pasta de dientes de Signal tiene una acción anticaries duradera y una limpieza profunda, además de contener calcio y flúor para cuidar tus dientes. Uso diario: el flúor actúa de forma prolongada, incluso después del cepillado.
- Licor del Polo: Aliento fresco y protección completa con esta pasta de dientes de Licor del Polo, que reúne 2 en 1 dentífrico y enjuague.
Tabla Comparativa de Pastas Dentales
| Marca | Beneficios Principales | Ingredientes Clave |
|---|---|---|
| Sensodyne | Alivio de la sensibilidad dental | Fluoruro de estaño |
| Oral B | Fortalecimiento del esmalte, protección anticaries | Fluoruro de sodio |
| Parodontax | Cuidado de las encías, prevención de gingivitis | Fluoruro de sodio, bicarbonato de sodio |
| Signal | Acción anticaries, limpieza profunda | Fluoruro, calcio |
| Licor del Polo | Aliento fresco, protección completa | Fluoruro |
Consejos Adicionales
- Hilo dental: sí, todos los días.
- Y si te preguntas por soluciones DIY, debes saber que los remedios caseros para el sarro en los dientes de abajo no sustituyen la limpieza profesional.