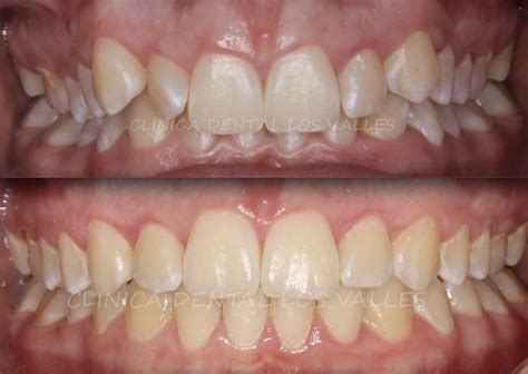
Aunque para algunas personas pase inadvertida, la mordida borde a borde puede tener distintas repercusiones funcionales y estéticas. En una mordida correcta, los dientes superiores sobresalen ligeramente respecto a los inferiores. Normalmente, este tipo de mordida borde a borde es el más sencillo de corregir.
Se produce como consecuencia de un desarrollo incorrecto de los huesos maxilares (maxilar superior y mandíbula). Por su parte, en el caso de los adultos, la mordida borde a borde de origen esquelético suele requerir un tratamiento algo más largo y complejo.
Las causas de la mordida borde a borde pueden ser:
- Genética: En general, todas las maloclusiones dentales tienen un componente hereditario.
- Pérdida prematura de dientes de leche: La caída de los dientes de leche y la posterior erupción de las piezas dentales definitivas sigue una secuencia y debe producirse alrededor de una determinada edad. Si un diente temporal se pierde demasiado pronto, su lugar no será ocupado por la pieza dental permanente, ya que no estará preparada para erupcionar.
- Anomalías dentales: Por último, existen ciertas alteraciones que pueden afectar negativamente al desarrollo de la mordida. Por ejemplo, la ausencia congénita de algún incisivo o la presencia de incisivos retenidos en la encía.
La mordida borde a borde puede ocasionar distintas consecuencias negativas, tanto estéticas como funcionales.
Consecuencias Negativas de la Mordida Borde a Borde
- Desgastes dentales: El contacto directo y constante entre los bordes incisales de los dientes superiores e inferiores produce desgastes en el esmalte.
- Sensibilidad dental: De la misma manera, la pérdida de esmalte provoca un aumento de la sensibilidad. Esto se debe a que el esmalte es la capa más superficial y dura, encargada de proteger el interior del diente.
- Alteraciones en la masticación: Una mordida borde a borde puede dificultar la masticación eficiente de los alimentos, especialmente la de aquellos más duros.
Protracción con Wins: Corregir una Mordida Borde a Borde- EPISODIO 65
Tratamientos para Corregir la Mordida Borde a Borde
La mordida borde a borde se puede corregir de diferentes maneras.
- Ortodoncia interceptiva: Engloba una serie de aparatos, tanto fijos como removibles, que se utilizan para guiar y corregir el crecimiento de los huesos faciales.
- Ortodoncia: Ya sea con brackets o con alineadores transparentes, es otro de los principales tratamientos para corregir la mordida borde a borde. Estos aparatos sirven para alinear los dientes y moverlos hasta la posición adecuada.
- Cirugía ortognática: En algunas situaciones, también se puede tratar con ortodoncia una mordida borde a borde de origen esquelético. En estos casos, se recurrirá a un tratamiento de ortodoncia para alinear la posición de los dientes y a una cirugía ortognática para corregir las discrepancias de tamaño y posición de los huesos maxilares.
Dicho esto, es importante mencionar que, además de los tratamientos anteriores, puede ser necesario planificar otros procedimientos para revertir las consecuencias de la mordida borde a borde. Si tienes alguna duda más sobre la mordida borde a borde o presentas la maloclusión y quieres saber cuál es el tratamiento más indicado para ti, puedes contactarnos.

Recontorneado Incisal: Una Solución Estética
¿Qué es el recontorneado incisal?
El recontorneado incisal es un procedimiento dental cosmético que consiste en moldear los bordes de los dientes frontales superiores e inferiores para mejorar la apariencia de la sonrisa. También se conoce como «estética dental» o ameloplastia.
Este proceso implica cortar una pequeña cantidad de esmalte dental de los bordes de los dientes. El objetivo del recontorneado incisal es mejorar la forma y apariencia general de los dientes, creando una sonrisa más armoniosa y equilibrada.

¿Qué problemas estéticos puede abordar?
El recontorneado incisal puede abordar una variedad de problemas estéticos.
- Sonrisa desigual: Si los bordes de sus dientes son desiguales o están en diferentes alturas, el recontorneado puede ayudar a equilibrarlos y crear una sonrisa más uniforme.
- Sonrisa "gummy": Si muestra demasiada encía cuando sonríe, el recontorneado puede ayudar a reducir la cantidad de encía expuesta.
- Forma de los dientes: Si tiene dientes que son demasiado anchos o puntiagudos, el recontorneado puede ayudar a suavizar la forma y crear una sonrisa más natural.
Procedimiento
El recontorneado incisal es un procedimiento seguro y no invasivo que generalmente no requiere anestesia. El proceso implica cortar solo una pequeña cantidad de esmalte dental, por lo que el procedimiento no es doloroso y se puede completar en una sola cita.
Si está interesado en el recontorneado incisal, es importante programar una consulta con su dentista, experimentado en odontología estética. El experto podrá evaluar sus dientes y escuchar sus objetivos estéticos antes de recomendar el mejor tratamiento para usted.
En conclusión, el recontorneado incisal es un procedimiento dental cosmético, efectivo y seguro que puede ayudar a mejorar la apariencia general de su sonrisa.
Anatomía de la Sonrisa y el Borde Incisal
La sonrisa está determinada principalmente por los dientes. En consecuencia, unos conocimientos sólidos sobre los distintos dientes, su forma y anatomía, constituyen un requisito fundamental para todo tratamiento. Los dientes están dispuestos en la boca como una unidad; el tejido blando circundante conforma el marco de su aspecto.
Para evaluar qué es lo que constituye una sonrisa «bonita» es útil observar los contornos interiores y exteriores de las estructuras implicadas. Para dibujar, los artistas utilizan un marco definido con contornos aproximados y puntos de orientación imaginarios, de modo que todos los elementos del dibujo presentan tanto una relación interna como una relación con el marco. El mismo principio se aplica a la odontología estética.
También nosotros deberíamos orientarnos por «marcos»: los rebordes marginales y las inclinaciones axiales para el diente individual, el margen gingival para la arcada dentaria, los labios para unión dentogingival. El rostro constituye el marco propiamente dicho para la interacción de los dientes naturales o restaurados con los demás elementos mencionados. Es en el rostro donde la sonrisa halla su verdadera expresión.
Además debemos diferenciar entre estructuras anatómicas «estáticas», como los dientes y la encía, y estructuras «dinámicas», como los labios y la musculatura facial. Para el aspecto de la sonrisa debemos orientarnos, además de por determinados puntos de referencia fonéticos, por diversas líneas imaginarias: la línea media dental, la línea media facial, la línea labial, la línea de la comisura y la línea interpupilar.
Todas estas líneas se encuentran en una relación determinada entre sí. Nunca deberían considerarse aisladamente, sino que deben entenderse como expresión integral de la composición conjunta y de la personalidad individual. La sonrisa sólo resulta armoniosa si reinan unas proporciones equilibradas entre estas líneas y estructuras anatómicas. Es posible mejorarla modificando estas proporciones, explotando hábilmente efectos e ilusiones ópticos y optimizando la disposición de los dientes, la encía y los labios.
Orientación Axial de los Dientes
En una sonrisa atractiva, los dientes anteriores están orientados de tal manera que sus ejes longitudinales discurren de forma continua desde la línea media hacia la zona de los dientes posteriores. A su vez, los dientes anteriores superiores están ligeramente inclinados hacia mesial. Finalmente, los labios conforman el marco de la composición estética.
Normalmente, el eje de los incisivos centrales está ligeramente inclinado hacia distal en dirección apical con respecto a la línea media (figs. 1 y 2). La orientación labiolingual de los incisivos centrales es ideal desde el punto de vista estético cuando la superficie labial discurre verticalmente o está ligeramente inclinada hacia labial. El recorrido exacto puede variar individualmente en función del tipo esquelético y del perfil facial.

En los incisivos laterales se observa que la inclinación distal en dirección apical se hace más acusada a partir de la mitad del diente. Además, en la mayoría de las personas con una sonrisa naturalmente bonita, la orientación axial mesiodistal y anteroposterior de los incisivos laterales está dispuesta asimétricamente.
Los caninos tienen tendencia a estar aún más inclinados hacia distal, si bien sólo desde la perspectiva facial. Vista desde el lado, su eje longitudinal presenta una orientación desde vertical hasta ligeramente distal en la arcada dentaria (fig. 3). Al evaluar su recorrido axial, lo mejor es orientarse por los rasgos faciales relevantes. En la mayoría de las personas, el eje del canino discurre en paralelo a la línea imaginaria entre la comisura de la boca y el ángulo del ojo al sonreír. Dicho de otro modo, discurre en paralelo al marco vestibular.
Zonas de Contacto y Puntos de Contacto Interdentales
Se entiende por zona de contacto interdental aquella zona en la que los dientes contiguos parecen tocarse entre sí. En el segmento anterior superior se van acortando desde los incisivos centrales hacia los caninos, idealmente en la proporción 50:40:30 en relación con la longitud de la corona de los incisivos centrales.
En otras palabras, la zona de contacto entre los incisivos centrales es del 50%; entre los incisivos centrales y laterales, del 40%, y entre los incisivos laterales y los caninos, del 30% de la longitud del incisivo central20 (figs. 4 y 5).
En caso de dientes excesivamente largos, puede ser conveniente alargar la zona de contacto, a fin de reducir en lo posible las distancias11 (tanto gingivales como incisales). De esta manera, los dientes aparecen en proporción más anchos y por ende también más cortos.
Además, si no es posible crear una papila lo suficientemente larga, se puede alargar la zona de contacto hacia apical a fin de cerrar el espacio interdental cervical abierto11 (figs. 6 y 7).
El punto de contacto interdental es el punto de la zona de contacto situado más hacia incisal. Aún más hacia incisal, los contactos mesiodistales se separan y se convierten en los bordes incisales. En caso de forma correcta y disposición estética de los dientes anteriores, los puntos de contacto interdentales ascienden claramente hacia la zona de los dientes posteriores (fig. 5).
Espacios Interdentales Incisales
Cuando se abre la boca al hablar o sonreír, se hace visible entre los bordes incisales de ambas arcadas dentarias el espacio negro de la cavidad oral. Este contraste con los dientes mejora el aspecto de los espacios interdentales incisales. La interacción entre luz y sombra a lo largo de la arcada dentaria superior constituye un requisito esencial para una sonrisa bonita y natural.
Los espacios interdentales incisales aumentan de tamaño desde la línea media hacia la zona de los dientes posteriores.
El espacio interdental incisal es más pequeño y anguloso entre los incisivos centrales (figs. 8 a 10). En virtud de la estructura simétrica de estos dos dientes, se crea así un triángulo isósceles con un ángulo vertical apical agudo.
El espacio interdental incisal entre el incisivo central y el lateral es mayor y menos agudo. Unos incisivos centrales relativamente simétricos y unos incisivos laterales relativamente asimétricos favorecen el aspecto estético de la sonrisa. El mismo principio es aplicable a los espacios interdentales incisales correspondientes: la forma del triángulo entre el incisivo central y lateral debería variar a ambos lados (fig. 10).
El espacio interdental incisal es más grande entre el incisivo lateral y el canino. En las mujeres, este triángulo tiende a presentar características distintas a las que se observan en los varones: el recorrido del borde incisodistal de los incisivos laterales discurre más redondeado, de modo que el espacio interdental se ensancha hacia el canino.
Los dientes son cada vez más grandes hacia la zona de los dientes posteriores. El ángulo en el punto de contacto alcanza casi los 90 grados entre los caninos y los premolares. Estos puntos de contacto y espacios interdentales incisales constituyen requisitos importantes para una sonrisa de aspecto juvenil. Cuando los bordes incisales se desgastan con la edad, los puntos de contacto desaparecen progresivamente. Este proceso se inicia en los incisivos centrales y continúa por los incisivos laterales. Tarde o temprano se alcanza el punto en el que la sonrisa tiene un aspecto viejo (figs. 11 y 12).
Proporciones Dentales
El principal objetivo de toda rehabilitación de la dentición consiste en crear, de conformidad con el paciente, un estado de los dientes lo más natural posible. Los incisivos centrales superiores desempeñan un papel especialmente importante cuando se trata de establecer a partir de la distribución de formas y tamaños la impresión visual del segmento de los dientes anteriores. Las formas desproporcionadas -esto es, cuando los dientes son demasiado largos, cortos, anchos o estrechos con respecto a las proporciones generales- pueden perturbar la armonía facial.
Problemas Comunes en el Borde Incisal
Los dientes que aparecen transparentes en el borde incisal son los que han sufrido un deterioro. De hecho, han perdido una parte de tejido dental duro que se llama esmalte. Esta situación, que ocurre en diferentes tipos de pacientes, puede causar problemas estéticos a la hora de reír o de hablar en público.
A veces, los pacientes refieren que el borde de sus dientes, sobre todo los incisivos superiores, va tomando una coloración más transparente y con tonos entre gris y azul, como si tuviera un aspecto vidrioso. Este problema puede manifestarse a lo largo de los años y aumentar con la utilización de sustancias ácidas. Sin embargo, también hay ciertos pacientes que sufren este problema por tener una calidad del esmalte inferior o un esmalte muy fino.
El odontólogo, según el grado de abrasión de los dientes, elige la terapia más recomendable en cada caso. Hay varias formas de solucionar este problema, como las fundas de metal-porcelana, o de materiales más estéticos y conservadores, como puede ser el disilicato de litio.
También se puede optar por las carillas de cerámica, la carilla de composite, o reconstrucciones del borde incisal entre otros. En los últimos años, está siendo más común el uso de bloqueantes, ya sea domiciliares o en consulta. Se ha notado un aumento del problema del borde incisal transparente debido precisamente a su uso.
El agente bloqueante que se usa para blanquear los dientes que se utiliza en clínica no tiene un efecto nocivo sobre el esmalte, pero no se puede utilizar más veces de las que está aconsejado.
Soluciones y Cuidados
Los dientes transparentes pueden ser un problema pero, a día de hoy, existen maneras de solucionarlo y limitar la evolución del desgaste del esmalte. El dentista explicará cuáles son los alimentos y bebidas que es mejor evitar en caso de tener el esmalte demasiado fino o problemas de erosión dental.
Los pacientes con reflujo gastroesofágico tendrán que controlar también esta patología para salvaguardar la salud de sus dientes. Así mismo, es muy importante intentar disminuir el nivel de estrés de los pacientes que sufran bruxismo.
Cualquiera que sea tu problema, te ayudaremos a que disfrutes de la sonrisa que tanto has deseado.
Importancia del Borde Incisal en Odontología
El borde incisal de los dientes desempeña un papel esencial en la estética y función dental. Este borde, ubicado en los dientes frontales, no solo define la apariencia de la sonrisa, sino que también contribuye a la masticación adecuada y al habla. Está directamente vinculado a la apariencia de la sonrisa, contribuyendo a su atractivo natural. Igualmente, facilita la masticación eficiente y el habla fluida.
Los profesionales se centran en aspectos como la textura, la translucidez y la alineación precisa para lograr un aspecto natural y armonioso. Su anatomía incluye la curvatura, la textura y la translucidez, elementos esenciales para la estética dental.
El borde incisal juega un papel significativo en la salud dental, ya que influye en la función masticatoria y la articulación de la mandíbula. La correcta posición del borde incisal puede influir en la prevención de tensiones en la articulación temporomandibular (ATM) y reducir el riesgo de trastornos asociados.
