Las carillas dentales son una solución estética popular para mejorar la apariencia de los dientes. Se trata de láminas delgadas que se colocan en la superficie frontal de los dientes para corregir imperfecciones como manchas, fracturas, o alteraciones en la forma y el tamaño. Su objetivo principal es mejorar la estética de los dientes, modificando su tamaño, color, forma o posición.

Este tratamiento es uno de los más demandados en la odontología estética actual debido a su sencillez y los resultados que ofrece.
¿Quién Puede Llevar Carillas Dentales y Cuándo se Recomiendan?
La colocación de carillas dentales se recomienda para pacientes que desean corregir problemas estéticos como:
- Dientes amarillos o con manchas
- Desgastes en el esmalte
- Diastemas (espacios entre los dientes)
- Leves malposiciones dentales
- Fisuras o fracturas
Es importante que el odontólogo evalúe al paciente para determinar si las carillas son la solución adecuada.

Es esencial que el paciente tenga una buena salud bucal antes de someterse a este procedimiento, ya que la colocación de carillas dentales es un tratamiento estético, no médico.
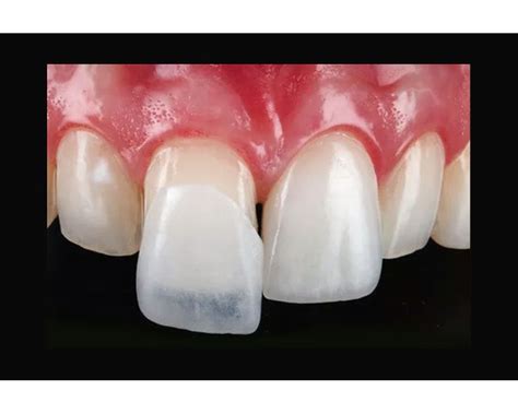
Tipos de Carillas Dentales
Existen principalmente dos tipos de carillas dentales:
Carillas de Composite
Las carillas de composite están hechas de una resina similar a la utilizada en los empastes estéticos. El proceso de colocación es relativamente sencillo y se realiza directamente en la clínica dental. El especialista aplica la resina capa por capa, dándole forma y puliéndola hasta lograr el resultado deseado. Sus ventajas incluyen un precio más accesible y la rapidez del tratamiento.

Las carillas de composite son ideales para corregir pequeñas imperfecciones y ofrecen una solución más temporal o menos invasiva.
Carillas de Porcelana
Las carillas de porcelana son consideradas el estándar de oro en estética dental. Requieren varias visitas al dentista. En la primera cita, se realiza un tallado mínimo del diente para crear espacio para la carilla. Posteriormente, se toman impresiones precisas que se envían al laboratorio, donde técnicos especializados crean las carillas a medida. Sus ventajas son una estética excelente, gran durabilidad (10-20 años), resistencia a las manchas y al desgaste, y su biocompatibilidad.

El disilicato de litio es un material altamente estético y duradero utilizado en la fabricación de carillas de porcelana.
¿Conoces los TIPOS de CARILLAS DENTALES? ✨ El mejor tratamiento ESTÉTICO para tu sonrisa👄
Proceso de Colocación de Carillas Dentales
El procedimiento de colocación varía según el tipo de carilla:
- Consulta inicial: El dentista examina los dientes, toma radiografías y discute los objetivos estéticos del tratamiento.
- Preparación de los dientes: Se elimina una pequeña cantidad de esmalte dental para permitir que la carilla se adhiera mejor.
- Colocación de las carillas: Se colocan las carillas en los dientes preparados, asegurándose de que encajen perfectamente y que el color y la forma sean adecuados.
- Ajuste y pulido: Se ajustan las carillas para asegurar que encajen correctamente y se sientan cómodas en la boca.

El proceso de colocación de carillas dentales es generalmente seguro y efectivo, mejorando significativamente la apariencia de los dientes y la sonrisa del paciente.
Precios de las Carillas Dentales
El precio de las carillas dentales varía según el material elegido y la complejidad del tratamiento. A continuación, se presenta una tabla con precios aproximados:
| Tipo de Carilla | Precio Aproximado por Diente |
|---|---|
| Composite | 295€ - 600€ |
| Porcelana | 250€ - 1200€ |
Es importante tener en cuenta que estos precios son aproximados y que el coste final dependerá de cada caso particular y del número de dientes a tratar.

Muchas clínicas dentales ofrecen opciones de financiación para facilitar el acceso a este tratamiento.
Durabilidad de las Carillas Dentales
La duración de las carillas dentales está influenciada por factores como la higiene oral, la alimentación, el tabaquismo, los hábitos del paciente y las revisiones con el dentista. Las carillas de porcelana suelen durar entre 10 y 15 años, mientras que las de composite tienen una vida útil de 5 a 7 años.
Con cuidados y mantenimientos adecuados, las carillas dentales pueden durar a largo plazo.