Las carillas dentales son una solución estética que sirve para mejorar la apariencia de los dientes. Son uno de los tratamientos dentales estéticos más demandados actualmente, tanto por su sencillez como por su precio. Esta guía te proporcionará toda la información necesaria sobre los tipos de carillas dentales y precios, para que tomes decisiones informadas y ajustadas a tu presupuesto y expectativas estéticas.
Carillas Dentales Vs Diseño de Sonrisa | Lo que tienes que saber antes de decidir
¿Qué son las carillas dentales?
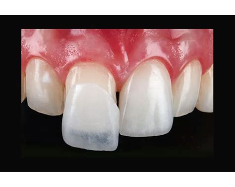
Las carillas dentales se colocan en la superficie frontal de los dientes con la finalidad de mejorar su aspecto. Las carillas dentales son unas láminas muy finas -generalmente inferiores a un milímetro de espesor- que se fijan sobre la parte visible de uno o varios dientes. Su principal objetivo es mejorar el aspecto de los dientes, ya sea para modificar su tamaño, color, forma o posición. Por tanto, tienen una finalidad puramente estética.

Tipos de carillas dentales.
¿Para qué sirven?
- Su objetivo es corregir problemas estéticos (fracturas leves, cambios de color…) o patológicos (originados por caries).
- Se usan para corregir problemas estéticos como manchas, desgastes, separaciones o pequeñas malposiciones.
- Con las carillas se pueden corregir problemas como dientes separados, manchados o desalineados.
- También malposiciones leves o erosiones en el esmalte.
¿Cuándo es recomendable ponerse carillas?
Algunos casos comunes en los que es recomendable el uso de carillas dentales son:
- Desgaste dental: principalmente para dientes que han sufrido desgaste por bruxismo.
- Daño o roturas: para restaurar la apariencia de dientes que están astillados, fracturados o tienen imperfecciones menores.
- Desalineación leve y pequeños espacios: como alternativa a la ortodoncia en casos de desalineaciones leves o para cerrar pequeños huecos entre los dientes.
- Manchas o decoloración: ideal para dientes que han cambiado de color o tienen machas profundas y no responden bien a técnicas de blanqueamiento dental.
- Mejora estética general: para aquellos que desean tener una sonrisa más uniforme y atractiva.
En todos estos casos, es fundamental la evaluación por parte de un profesional dental, quien podrá determinar si las carillas son la opción más adecuada según las necesidades y condiciones específicas del paciente.
Tipos de Carillas Dentales
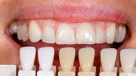
Cuando se trata de transformar una sonrisa, es fundamental identificar qué clase de carillas dentales están disponibles. Pueden estar hechas de diferentes materiales, pero suelen ser de porcelana o composite. A la hora de elegir un tipo de carillas u otro es necesario acudir a la clínica dental y que sea el odontólogo quien aconseje el tipo de carilla más conveniente, en función de las necesidades de cada paciente.
Carillas de Composite
Las carillas de composite son una opción más económica que las de porcelana. Generalmente, estas últimas suelen confeccionarse en la propia clínica dental con un material fotocurable, igual que el que se usa para hacer los empastes. Su ventaja principal es que se colocan en una sola sesión y permiten mejorar pequeñas imperfecciones sin modificar en exceso el diente original. Son particularmente útiles en casos donde se busca una transformación notable pero asequible.
La vida útil de las carillas dentales de composite es de entre 5 a 7 años.
Carillas de Porcelana
Las carillas de porcelana son conocidas por su durabilidad y apariencia natural. Su resistencia y similitud con el diente natural las convierten en la opción ideal para quienes desean una sonrisa armónica y de larga duración. Su proceso de fabricación incluye la selección de tonalidades, simulaciones digitales y un tallado preciso, garantizando un resultado estético superior. Aunque su inversión es mayor, su durabilidad y naturalidad respaldan el coste.
Las carillas de porcelana no se manchan ni se tiñen. Este tipo de carillas dentales puede requerir múltiples visitas al dentista para su colocación, debido a que previamente es posible que haya que realizar un tallado de los dientes.
La vida útil de las carillas de porcelana es de entre 10 a 15 años.
Carillas de Zirconio
Están fabricadas con óxido de zirconio, un material cerámico resistente y no poroso, que imita perfectamente el esmalte natural del diente y resiste la decoloración y las manchas. Son ideales para quienes buscan resultados óptimos sin comprometer la funcionalidad de la sonrisa.
La vida útil de las carillas de zirconio es de entre 10 y 15 años.
Carillas Emax
Las carillas Emax están hechas de disilicato de litio, un material altamente estético y duradero.
Carillas Lumineers
La mayoría de las carillas estéticas que colocamos en nuestra clínica dental de Madrid son E-max o Lumineers. Esto quiere decir que tienen un grosor mínimo y que, además, son translúcidas para aportar naturalidad.
¿Cómo se colocan las carillas dentales?
El proceso de colocación de las carillas comienza con una consulta inicial donde el dentista evalúa el caso del paciente. Si se considera apto, los siguientes pasos suelen ser:
- Preparación del diente: para algunas carillas de porcelana esto puede incluir el tallado de una pequeña cantidad del diente para asegurar un ajuste adecuado.
- Escaneo intraoral 3D o toma de impresiones: este escáner realiza una captura detallada y rápida de los dientes del paciente, creando un modelo exacto que se envía a un laboratorio para la fabricación de las carillas.
- Aplicación: una vez que las carillas están listas, se adhieren a los dientes utilizando un adhesivo especial y se tratan con luz para solidificar el pegamento.
Ventajas y Desventajas de las Carillas Dentales
Ventajas
- Mejora significativa en la apariencia de los dientes.
- Las carillas, especialmente las de porcelana y zirconio, destacan por su resistencia a las manchas y durabilidad, requiriendo poco mantenimiento más allá de una buena higiene bucal.
- Tratamiento de estética dental poco invasivo: su colocación es realmente sencilla y generalmente indolora.
Desventajas
- Precio relativamente alto, especialmente para las de porcelana y zirconio.
- Proceso irreversible en algunos casos de carillas de porcelana que requieren tallado previo de los dientes.
- No son una solución para problemas dentales más complejos como dientes muy desalineados o problemas de maloclusión.
Precio de las Carillas Dentales
El precio de las carillas varía según el material elegido. El coste de las carillas dentales en Madrid puede variar significativamente dependiendo del material, la cantidad de piezas y la técnica empleada. El presupuesto total dependerá del número de carillas requeridas (normalmente entre 8 y 10 por arcada) y del material elegido.
Los precios de las carillas dentales dependen principalmente del material del que están hechas, el caso específico del paciente o la clínica dental.
Algunos valores de referencia, teniendo en cuenta el precio de una carilla por diente, son:
- Carillas de porcelana: 400 - 1.000€
- Carillas composite: 150 - 400€
- Carillas zirconio: 500 - 1.000€
En España, el precio de un tratamiento con carillas dentales parte de unos 1.120 euros. Sin embargo, hay que tener en cuenta que el precio del tratamiento varía en función del número de carillas que se necesiten.
Es importante tener en cuenta que el seguro dental no suele cubrir el coste de las carillas dentales.

Costo de las carillas dentales.
Factores que influyen en el precio:
- Tipo de material utilizado: los materiales que se utilizan para fabricar las carillas son la resina compuesta y la porcelana. Las de porcelana, por su parte, son las más costosas debido a su alta resistencia, durabilidad y estética natural.
- Número de dientes tratados: el precio del tratamiento se calcula según el número de dientes que se vayan a tratar. De modo que mientras más carillas se necesiten, será más costoso.
- Tecnología y equipamiento utilizados: la tecnología que se utiliza durante todo el tratamiento influye en el resultado final.
- Laboratorio o técnico protésico que realiza las carillas. Los resultados más naturales, las carillas más duraderas y las que consiguen los resultados más bonitos son realizadas en laboratorios donde los técnicos son artistas que consiguen imitar con mucha exactitud el aspecto de los dientes naturales, estos laboratorios siempre tienen costos más elevados.
Alternativas a las carillas dentales
Dependiendo del resultado que estemos buscando, o el tratamiento que necesitemos, existen algunas alternativas a las carillas:
- Empaste dental: útil para corregir imperfecciones. Es menos invasivo y más económico que las carillas.
- Coronas dentales: cubren el diente entero y se utilizan en casos de caries severas o daño considerable.
- Blanqueamiento dental: puede ser una solución efectiva para mejorar el color de los dientes sin intervenciones invasivas.
- Tratamientos de ortodoncia: incluye ortodoncia invisible o brackets para corregir casos estéticos más complejos, como apiñamientos dentales.
Duración de las carillas dentales
La duración de las carillas dentales está determinada por diversos factores, como los cuidados que siga el paciente en cuanto a higiene oral, alimentación, tabaco, hábitos, revisiones con el dentista, etc. Adicionalmente, la durabilidad del tratamiento también depende del material con el que están fabricadas las carillas y de la técnica de colocación (directa o indirecta).
Las carillas dentales de porcelana tienen una duración mayor que las de composite, pudiendo resistir en perfectas condiciones hasta 15 años, y además no pierden su color ni se tiñen.
En contraposición, la duración de las carillas dentales de composite es de un máximo de cinco años aproximadamente. Para llegar a este plazo, es necesario acudir a revisiones de mantenimiento y que el dentista realice el pulido de las carillas dentales.
Lo que sí podemos decirte es que, con unos cuidados y unos mantenimientos adecuados, son un tratamiento pensado para durar a largo plazo.
Mantenimiento y Cuidados de las Carillas Dentales
Es importante cuidar las carillas tal y como lo harías con tus dientes naturales. De este modo mantendrán su funcionalidad a largo plazo.
Esto incluye:
- Una rutina de higiene meticulosa, cepillándote los dientes dos veces al día con un cepillo de cerdas suaves y pasta dental con flúor.
- Evita el consumo de alimentos y bebidas que manchen.
- Utiliza un protector bucal si practicas deportes de contacto.
- Evita morder objetos duros como hielo, caramelos o lápices, ya que esto puede dañar tus carillas.
- Si sufres de bruxismo habla con tu odontólogo para que te proporcione un protector.