Como odontólogo con muchos años de experiencia, entiendo la preocupación que surge al necesitar un puente dental de 3 piezas. Explorar las opciones para restaurar una sonrisa completa es fundamental cuando enfrentamos la pérdida de uno o más dientes. En este artículo, te explicaré qué es un puente dental fijo de tres piezas, sus tipos, cuánto cuesta (con ejemplos de precios actualizados en España y Latinoamérica), qué factores influyen en el costo, cómo es el procedimiento de instalación, sus ventajas y desventajas, cuánto tiempo puede durar y cómo cuidarlo para alargar su vida útil.
Mi objetivo es que, al terminar de leer, tengas toda la información necesaria para tomar la mejor decisión sobre tu salud bucal.
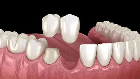
¿Qué es un Puente Dental de 3 Piezas?
Un puente dental de 3 piezas (también llamado puente fijo dental de tres unidades) es una prótesis fija que reemplaza un diente perdido apoyándose en los dientes adyacentes. Imagina que te falta una pieza dental: el puente estará formado por tres coronas unidas entre sí - dos de esas coronas se cementarán sobre tus dientes naturales a cada lado del espacio (esos dientes se llaman pilares o dientes de soporte), y la tercera corona (llamada póntico) queda en medio, ocupando el lugar del diente ausente.
Este tipo de prótesis es fija: a diferencia de una dentadura removible, no podrás quitarte el puente dental para limpiarlo; queda cimentado de forma permanente por el dentista sobre tus dientes naturales. Eso le da mayor estabilidad y comodidad, se siente como si fuera parte de tus propios dientes. Por supuesto, para poder colocar un puente fijo de 3 piezas se requiere que tengas dientes sanos a ambos lados del espacio desdentado. En mi práctica, suelo explicarle al paciente que un puente de tres piezas es básicamente un “puente” con dos pilares y un diente artificial en el medio.

Tipos de Puentes Dentales
Los materiales de esas coronas pueden variar: tradicionalmente se usaba metal-porcelana (estructura metálica interna recubierta de porcelana del color del diente), pero hoy en día también se emplean cerámica pura o zirconio. ¿Qué diferencia hay? El zirconio es un material de última generación muy resistente y estético, sin metal, ideal para muelas por su dureza. La porcelana sobre metal es un poco más económica pero puede presentar opacidad o fracturas de la cerámica con los años.
Existen distintos tipos de puentes dentales en función del criterio de clasificación que empleemos para clasificarlos:
- Puente dental tradicional: Es el que describí arriba. Utiliza coronas en dos dientes pilares para sostener uno o más pónticos en medio. Es el más común y suele usarse cuando hay dientes naturales sanos a ambos lados del hueco.
- Puente cantiléver (en voladizo): Similar al tradicional, pero solo tiene soporte en un lado. Es decir, el póntico (diente falso) se ancla únicamente a un diente pilar. Este tipo se usa rara vez, solo cuando solo hay un diente adyacente disponible.
- Puente Maryland (adhesivo o con aletas): Es una opción más conservadora. En vez de tallar los dientes vecinos para colocar coronas completas, se utilizan estructuras metálicas o de porcelana en forma de “alas” que se pegan en la parte posterior de los dientes adyacentes. El diente falso queda en medio con esas aletas adhesivas a los lados.
- Puente soportado por implantes: En vez de apoyarse en dientes naturales, el puente se apoya sobre implantes dentales integrados en el hueso. Por ejemplo, si te faltan tres dientes consecutivos, podríamos colocar dos implantes (uno en cada extremo del tramo) y sobre ellos cimentar un puente de 3 piezas, donde los implantes actúan como pilares. Estos puentes no tocan para nada a otros dientes, y son muy estables.
Como ves, “puente dental” puede referirse a varias técnicas, pero si has llegado buscando específicamente “puente dental de 3 piezas”, casi siempre hablamos del puente fijo tradicional de un solo diente ausente con dos coronas de soporte.
¿Cuánto Cuesta un Puente Dental Fijo de 3 Piezas?
Esta es la gran pregunta que todos hacemos al necesitar tratamiento: “Doctor, ¿cuánto me va a costar esto?”. El precio de un puente dental fijo de 3 piezas puede variar muchísimo según el país, la ciudad, el tipo de clínica, el material utilizado y la complejidad del caso.
Precios en España
En España, el coste de un puente de 3 unidades suele situarse en un rango medio de 1.000 a 1.800 euros aproximadamente para un puente sobre dientes naturales. En clínicas privadas de prestigio, un puente de 3 piezas sobre dientes puede cotizarse alrededor de 2.000 € (especialmente si es de zirconio), mientras que en cadenas dentales o con seguro, podrías encontrar ofertas en torno a 1.100-1.300€.
En una clínica local promedio, un puente de metal-porcelana suele costar un poco menos, digamos entre 900 € y 1.200 €, mientras que de zirconio puede ir de 1.200 € hasta 1.800 €.
Precios en Latinoamérica
En Latinoamérica, los precios varían por país pero tienden a ser más económicos (en moneda internacional) que en Europa o Estados Unidos, aunque para los pacientes locales puede seguir siendo una inversión significativa. Por ejemplo, en México un puente fijo de 3 unidades de zirconio tiene un costo aproximado entre $18,000 y $40,000 pesos mexicanos lo que equivale a unos 900 a 1.900 € al tipo de cambio actual (o unos 1.000 a 2.200 USD). En otros países latinoamericanos como Colombia, Perú o Argentina, el rango puede ser distinto según la economía local. En general, un puente de 3 piezas en Latinoamérica puede costar del equivalente a 500 hasta 1500 USD en promedio, dependiendo del país y la clínica.
Consejo: Desconfía de precios excesivamente bajos. Hacer un puente fijo de calidad implica usar buenos materiales (coronas bien hechas en laboratorio, quizá de zirconio o porcelana de alta resistencia) y un trabajo minucioso del dentista. Si encuentras una oferta muy barata, asegúrate de que incluya todo el tratamiento (preparación, provisionales, control de ajuste, etc.) y que el material sea duradero.
🤷 Implante dental vs Puente dental, cual es mejor?? - Dr. Juan Tobar
Factores que Influyen en el Costo
¿Por qué puede costarle a una persona $700 dólares y a otra $2.000 el mismo “puente de 3 piezas”? Pues porque no siempre es el mismo caso.
- Material de las coronas: Como mencioné, no es lo mismo un puente de metal-porcelana (más económico) que uno totalmente cerámico o de zirconio (más caro). El zirconio suele encarecer el tratamiento, pero ofrece mejor estética y durabilidad.
- Número de piezas que abarca el puente: Aquí hablamos de uno de 3 piezas, pero hay puentes más largos (por ejemplo, de 4 o 5 unidades). Cuantas más coronas y pónticos, mayor será el costo, porque básicamente se cobra por pieza adicional.
- Si va sobre dientes naturales o sobre implantes: Este punto es crucial. No es lo mismo hacer un puente apoyado en dientes que ya tienes, que hacer un puente sobre implantes dentales. Si necesitas implantes, el precio se dispara porque incluye las cirugías de implante, aditamentos protésicos y más sesiones.
- Tratamientos previos necesarios: Cada boca es un mundo. Puede que antes de colocarte el puente haya que realizar otros procedimientos, y eso sumará al costo. Por ejemplo, si los dientes pilares tienen caries o empastes antiguos, quizás haya que hacer reconstrucciones o endodoncias (tratamiento de nervio) para dejarlos aptos y fuertes.
- Necesidad de puente provisional: Durante el tiempo que esperas tu puente definitivo del laboratorio, probablemente lleves un puente provisional de acrílico para no quedar con los dientes tallados al descubierto. Algunos presupuestos incluyen este provisional, otros lo cobran aparte.
- Clínica y profesional: Honestamente, la reputación y ubicación de la clínica también influyen. Una clínica de barrio podría tener tarifas más bajas que una clínica de alta tecnología en el centro de una gran ciudad. La experiencia del odontólogo, las garantías que ofrece, si cuenta con tecnología digital (escáner intraoral, fresado CAD/CAM) - todo eso puede reflejarse en el precio final.
- País o región: Ya lo mencionamos pero lo recalco: no costará lo mismo en España, México o Estados Unidos. En cualquier caso, siempre pide un presupuesto detallado por escrito. Un buen profesional te desglosará todo lo incluido: número de piezas, material, si incluye provisionales, revisiones, garantías, etc.
Tabla Comparativa de Precios Aproximados
Para que tengas una idea más clara, aquí te presento una tabla comparativa de precios aproximados en España:
| Opción | Precio Aproximado | Características Clave |
|---|---|---|
| Puente dental fijo (3 piezas metal-cerámica) | 900 € - 1200 € | Prótesis fija cementada sobre dientes vecinos tallados. Duración ~10-15 años. Estética y función buenas. No requiere cirugía. |
| Puente dental fijo (3 piezas zirconio) | 1200 € - 1800 € | Prótesis fija cementada sobre dientes vecinos tallados. Duración ~10-15 años. Excelente estética y biocompatibilidad. No requiere cirugía. |
| Puente dental sobre implantes (3 piezas) | 3000 € - 5000 € | Prótesis fija soportada por implantes dentales. Muy estable y duradero. Requiere cirugía de implantes. |
¿Cómo se Coloca un Puente Dental Fijo?
Cuando los pacientes me preguntan sobre el procedimiento, trato de explicarlo de forma simple. Colocar un puente dental requiere de varias citas y pasos, pero no te preocupes, que te acompañaremos en todo el proceso.
- Evaluación inicial y plan: Primero, examino tu boca en profundidad. Tomamos radiografías para evaluar los dientes pilares y la zona edéntula (sin diente). Verifico que los dientes de soporte estén sanos o si necesitan algún tratamiento previo. En esta cita planificamos el puente: decido junto contigo el material de las coronas, tomamos color de tus dientes para que el puente sea del mismo tono, y planificamos si se hará un provisional.
- Preparación (tallado) de los dientes pilares: En la siguiente visita, te aplicaré anestesia local en los dientes vecinos al espacio para trabajarlos sin dolor. Luego, procedo a desgastar esos dientes pilares alrededor de toda su superficie para crear el espacio donde irán las coronas del puente. Tras tallarlos, tomo una impresión (molde) de la zona: esto puede ser con pasta de alginato/silicona o con un escáner intraoral digital, dependiendo de la tecnología disponible. Esa impresión registra con precisión la forma de los dientes tallados y el espacio, y la enviaré al laboratorio dental donde fabricarán tu puente a medida.
- Puente provisional: Mientras el puente definitivo se hace, coloco un puente provisional de resina acrílica: es algo así como coronas temporales unidas que tapan los dientes tallados y reemplazan el diente faltante, para que no te vayas a casa “mellado” ni con los muñones expuestos.
- Prueba del puente definitivo: Tras unos días (usualmente 1 a 2 semanas, dependiendo del laboratorio y el material), tu puente fijo permanente estará listo. Te citaré para probarlo en boca antes de cementarlo definitivamente. En esa cita, retiro con cuidado el puente provisional y coloco el puente definitivo sobre los pilares. Aquí revisamos varias cosas: que ajuste bien (margen sin espacios, buena adaptación), que la mordida oclusión esté correcta (que no quede alto o te haga contacto prematuro al morder), y por supuesto la estética: el color y forma de las coronas deben verse naturales junto a tus dientes.
- Cementación final: Una vez tanto tú como yo estamos conformes con cómo quedó, fijamos permanentemente el puente con un cemento dental especial. Preparo el interior de las coronas del puente, coloco el cemento (puede ser un tipo de resina adhesiva o cemento de ionómero, según el caso) y asiento el puente sobre los dientes pilares. Se remueve el exceso de cemento y ¡listo!, el puente queda pegado de forma firme.
- Revisiones y ajustes posteriores: Te pediré que vuelvas en una semana aproximadamente para chequear cómo te has adaptado. En esa cita reviso las encías alrededor del puente (que estén sanas, sin irritación), confirmo la mordida de nuevo y hago ajustes menores si es necesario (por ejemplo, pulir algún puntito que moleste la lengua). También resolveremos cualquier duda que tengas ya usándolo en tu día a día.
Como ves, colocar un puente fijo es un proceso que puede tomar un par de semanas, entre la preparación y la entrega final. Durante todo ese tiempo no estarás nunca sin dientes, gracias al puente provisional. Y en cuanto al dolor, realmente las molestias son mínimas: con anestesia local no sientes el tallado, y luego podrías tener una ligera sensibilidad en los pilares durante unos días (que se controla con analgesia suave si hiciera falta).

Ventajas y Desventajas de un Puente Dental
Como profesional, siempre le explico al paciente los pros y contras de cada opción.
Ventajas
- Recuperas estética y función rápidamente: En cuestión de un par de semanas vuelves a tener un diente donde te faltaba. Podrás sonreír, masticar y hablar con normalidad, sin el hueco antiestético.
- Procedimiento sencillo y no quirúrgico: A diferencia de un implante dental (que requiere cirugía en el hueso), el puente fijo se coloca trabajando solo sobre los dientes presentes. No hay cirugía, puntos ni implantes metálicos involucrados (salvo que sea un puente sobre implantes, claro).
- Solución fija y cómoda: El puente va cementado.
Desventajas
- Requiere tallar dientes adyacentes: Para colocar un puente dental, es necesario desgastar los dientes vecinos, incluso si están sanos.
- Mayor riesgo de caries y enfermedad periodontal: La higiene del puente dental puede ser más complicada, aumentando el riesgo de caries y enfermedad periodontal en los dientes pilares.
- No previene la reabsorción ósea: A diferencia de los implantes dentales, el puente dental no estimula el hueso maxilar, lo que puede llevar a la reabsorción ósea con el tiempo.
Alternativas a los Puentes Dentales
Frente a esta situación, dos de las alternativas más comunes para recuperar la dentadura son los implantes dentales y los puentes de 3 piezas. La opción de un implante dental, que no requiere alterar los dientes adyacentes y se ancla directamente en el maxilar, puede parecer ideal debido a sus numerosas ventajas.
Implantes Dentales
Consiste en un tornillo de titanio que se inserta quirúrgicamente en el hueso maxilar, actuando como raíz artificial, sobre el cual se coloca posteriormente una corona (la parte visible del diente postizo).
Ventajas: Un implante bien hecho ofrece alta durabilidad (puede durar 15-25 años o más con buenos cuidados) y comodidad, ya que se siente como un diente propio.
Desventajas: Su precio inicial es el más elevado de las opciones, y requiere una pequeña cirugía y un tiempo de cicatrización (varios meses) antes de colocar la corona definitiva.
Prótesis Removibles
Consiste en un aparato protésico que el paciente puede quitar y poner a voluntad, el cual porta un diente postizo (o varios) acoplado a una base de resina acrílica o estructura metálica que se ajusta a la forma de la boca.
Ventajas: La prótesis removible no requiere cirugía ni tallar dientes, es rápida de fabricar (en unas semanas) y su coste es bajo comparado con implantes o puentes. Puede ser una solución temporal eficaz mientras se ahorra para un tratamiento fijo más definitivo.
Desventajas: Al no ir fija, su comodidad y estabilidad son menores. Algunos pacientes nunca terminan de acostumbrarse del todo, ya que puede moverse ligeramente al comer o hablar.
Conclusión
Decidir entre un puente y un implante dental requiere considerar tanto las necesidades estéticas como las funcionales y la salud general del paciente. Para más información y asesoramiento personalizado, no dudes en ponerte en contacto con nosotros.