La ortopantomografía, también conocida como radiografía panorámica o panorámica dental, es una herramienta esencial en odontología y ortodoncia. Ofrece una imagen bidimensional completa de la mandíbula, los dientes y las estructuras circundantes en una sola toma. En este artículo, exploraremos en detalle qué es una ortopantomografía, cómo se realiza, sus ventajas, limitaciones y usos comunes, además de información sobre precios en Madrid.

¿Qué es una Ortopantomografía?
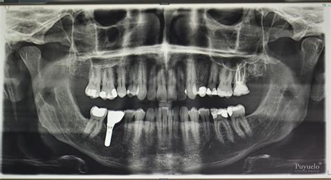
Una ortopantomografía es un tipo de radiografía que proporciona una visión completa de ambas mandíbulas (superior e inferior), todos los dientes y las estructuras adyacentes, como los senos maxilares y las articulaciones temporomandibulares.
Características Principales:
- Cobertura Completa: Ofrece una visión completa de ambas mandíbulas, todos los dientes y las estructuras adyacentes.
- Diagnóstico Integral: Permite identificar una amplia gama de problemas dentales, incluyendo caries, enfermedades periodontales, quistes, tumores y anormalidades óseas.
- Evaluación Preoperatoria: Es esencial para la planificación de tratamientos como la colocación de implantes dentales, la extracción de dientes (especialmente las muelas del juicio) y la evaluación ortodóncica.
¿Cómo se Realiza una Ortopantomografía?
La técnica es muy sencilla y se practica en aproximadamente un minuto.
Procedimiento:
- Preparación del Paciente: El paciente debe quitarse cualquier objeto metálico de la cabeza y el cuello, como gafas, joyas y prótesis removibles. Luego, se le coloca un delantal de plomo para protegerlo de la radiación.
- Posicionamiento: El paciente se coloca de pie o sentado en el aparato de ortopantomografía, mordiendo una pequeña pieza de plástico para estabilizar la cabeza y asegurarse de que los dientes estén en la posición correcta.
- Toma de la Radiografía: La máquina gira alrededor de la cabeza del paciente, tomando una serie de imágenes que se combinan para crear una imagen panorámica de la boca y las mandíbulas.
Ortopantomografía Abaden
Ventajas y Limitaciones de la Ortopantomografía
Ventajas:
- Amplitud de Cobertura: Permite visualizar toda la boca en una sola imagen, lo que facilita el diagnóstico y la planificación del tratamiento.
- No Invasivo: Es un procedimiento rápido y no invasivo que proporciona mucha información con un mínimo de incomodidad para el paciente.
- Detección Temprana: Ayuda en la detección temprana de problemas dentales y maxilofaciales, permitiendo intervenciones oportunas.
Limitaciones:
- Resolución: Aunque ofrece una visión general excelente, la resolución es inferior a la de radiografías intraorales específicas, por lo que a veces se requieren radiografías adicionales para un diagnóstico más detallado.
- Distorsión: Puede haber una pequeña distorsión de la imagen debido a la naturaleza panorámica de la radiografía.
Usos Comunes de la Ortopantomografía
La ortopantomografía es una herramienta versátil utilizada en diversas áreas de la odontología:
- Diagnóstico de Caries y Enfermedades Periodontales
- Evaluación de la Estructura Ósea
- Planificación de Implantes Dentales
- Evaluación de Muelas del Juicio
- Diagnóstico de Quistes y Tumores
- Seguimiento de Tratamientos Ortodóncicos

Ortopantomografía vs. TAC Dental (TAC 3D)
Es importante diferenciar entre una ortopantomografía y un TAC dental (TAC 3D).
Ortopantomografía:
- Imagen plana (bidimensional).
- Muestra alto y ancho, pero no el grosor.
- Sencilla y útil para muchos tratamientos, especialmente en niños para ortodoncia.
TAC Dental (TAC 3D):
- Radiografía tridimensional.
- Más precisa, con imágenes por cortes.
- Especialmente útil para implantes dentales y extracción de muelas del juicio.
- Permite evaluar la altura y el grosor del hueso, crucial para la colocación de implantes.
Para algunos tratamientos, como la colocación de implantes dentales, realizar un TAC es fundamental para asegurar que el implante se coloque correctamente dentro del hueso.
Radiografías Dentales Digitales
En la Clínica Velázquez, las radiografías dentales son digitales, lo que permite entregarlas al paciente en soporte digital y obtener resultados precisos y claros. Además, se ofrece la cita en el día, facilitando el acceso a este servicio.
Consideraciones Especiales
Embarazo:
- No se deben realizar radiografías durante el embarazo.
- Si es necesaria una prueba radiológica, se debe cubrir el abdomen con un delantal de plomo.
Niños:
- Es común que los padres se preocupen por las radiografías dentales en los niños.
¿Cuánto Cuesta una Ortopantomografía en Madrid?
El precio de una ortopantomografía puede variar dependiendo de la clínica dental. Por ejemplo, en la Clínica Velázquez, el TAC tiene un precio de 90 euros, incluyendo los dos maxilares. En otras clínicas, como la Clínica dental medics del Dr. Ferrer, los precios pueden ser competitivos.
Es recomendable contactar directamente a la clínica dental para obtener información precisa sobre los precios y los servicios incluidos.
Tabla de Precios Estimados en Madrid
| Tipo de Radiografía | Precio Estimado |
|---|---|
| Ortopantomografía | 50€ - 80€ |
| TAC Dental (3D) | 90€ - 150€ |
Nota: Los precios son aproximados y pueden variar. Se recomienda consultar directamente con la clínica dental.
¿Dónde Realizarse una Ortopantomografía en Madrid?
En Madrid, existen varias clínicas dentales que ofrecen servicios de ortopantomografía. Algunas de las clínicas mencionadas y bien valoradas incluyen:
- Clínica Velázquez: Ubicada en el centro de Madrid, en el barrio de Salamanca, con fácil acceso y aparcamiento.
- Clínica dental medics del Dr. Ferrer: Situada en la Calle de Ramiro II, 10, con excelentes valoraciones de pacientes.
Es importante elegir una clínica que cuente con equipos modernos y profesionales cualificados para garantizar un diagnóstico preciso y un tratamiento adecuado.

tags: #cuanto #cuesta #una #ortopantomografia