La sonrisa es una de nuestras cartas de presentación más importantes. En la era de las redes sociales y las videollamadas, tener una sonrisa atractiva se ha convertido en una prioridad para muchas personas. Si estás considerando este tratamiento, es fundamental que conozcas todos los detalles: desde los precios actuales hasta los factores que influyen en el coste, pasando por los diferentes tipos de carillas disponibles y qué esperar del procedimiento.
¿Cuánto cuestan las carillas dentales? Esta es una de las preguntas que más nos hacen nuestros pacientes. Sin embargo, no siempre podemos ofrecer la misma respuesta, ya que el precio del tratamiento depende del caso de cada paciente.
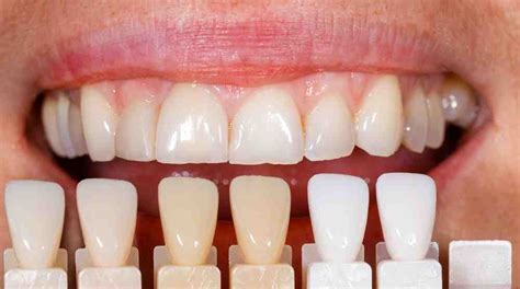
¿Conoces los TIPOS de CARILLAS DENTALES? ✨ El mejor tratamiento ESTÉTICO para tu sonrisa👄
¿Qué son las Carillas Dentales y Para Qué Sirven?
Las carillas dentales son finas láminas de material restaurador que se adhieren a la superficie frontal de los dientes para mejorar su apariencia estética. Se fabrican a medida para adaptarse a cada paciente y se adhieren al esmalte del diente. Son una opción popular para quienes buscan hacer cambios superficiales en su sonrisa, como mejorar el tamaño, forma o color de sus dientes, ya que proporcionan una solución duradera y estética.
En Clínica Ferrus & Bratos, entendemos que elegir un procedimiento de estética dental es una elección relevante. Por ello, hemos preparado esta guía detallada sobre los tipos de carillas dentales y sus precios, con el fin de ayudarte a decidir según tus necesidades estéticas y capacidad presupuestaria.
Tipos de Carillas Dentales
Cuando se trata de transformar una sonrisa, es fundamental identificar qué clase de carillas dentales están disponibles:
- Carillas de composite: recomendadas para quienes buscan una alternativa rápida, económica y con buenos resultados visuales. Las carillas de composite son la opción más económica y accesible.
- Carillas de porcelana: ideales para quienes desean un acabado más natural y de larga duración. Las carillas de porcelana representan el estándar de oro en odontología estética.
- Carillas de zirconio: El zirconio representa la tecnología más avanzada en carillas dentales.
Aunque todos estos materiales presentan unos buenos estándares de calidad, cada uno de ellos cuenta con sus particularidades en términos de estética, resistencia, durabilidad, necesidad de realizar tallado, etc. Ambas opciones se utilizan en función de las condiciones clínicas de cada paciente, siempre tras la evaluación individualizada de nuestros expertos.
La forma más sencilla de saber si este es el tratamiento indicado para ti es conociendo la opinión de nuestros pacientes con carillas dentales. En Ferrus & Bratos te orientamos con claridad y profesionalismo para que elijas con seguridad.
Duración de las Carillas Dentales
- Carillas de porcelana: Tienen una duración mayor que las de composite, pudiendo resistir en perfectas condiciones hasta 15 años, y además no pierden su color ni se tiñen. Esta duración depende en gran medida de que el paciente siga las instrucciones de su odontólogo relativas a mantenimiento y cuidados.
- Carillas de composite: La duración es de un máximo de cinco años aproximadamente. Para llegar a este plazo, es necesario acudir a revisiones de mantenimiento y que el dentista realice el pulido de las carillas dentales. Además, será más fácil que las carillas dentales duren cinco años en buen estado si el paciente sigue unos buenos hábitos en cuanto a higiene y dieta.
A la hora de responder a esta pregunta es importante hacerse una idea de los años que van a durar las carillas dentales. Dichas indicaciones se centran en cepillarse los dientes después de cada comida, usar la seda dental, evitar el tabaco, utilizar una férula protectora por las noches y acudir al dentista con la regularidad establecida por este (normalmente, entre una y dos veces al año). Adicionalmente, es aconsejable tener ciertas precauciones al comer alimentos muy duros, disminuir el consumo de comidas o bebidas con mucha coloración y tener cuidado con ciertos movimientos al masticar.

Factores que Influyen en el Precio de las Carillas Dentales
En España, el precio de un tratamiento con carillas dentales parte de unos 1.120 euros. Sin embargo, hay que tener en cuenta que el precio del tratamiento varía en función del número de carillas que se necesiten.
A la hora de determinar el precio de las carillas dentales, hay varios elementos que van a influir en que el precio suba o baje. No todo depende solo del material; también influyen cuestiones como la cantidad de carillas necesarias o el tipo de tratamiento.
La experiencia y la formación del odontólogo que realiza el tratamiento también desempeña un papel relevante en el precio de las carillas dentales. Dicho esto, hay que tener en cuenta que algunos tipos de carillas, como las de composite estratificado, pueden requerir un trabajo muy manual durante su diseño y colocación. Dicho esto, sea cual sea la carilla elegida, la visión global y el gusto estético del dentista también determinarán, en gran medida, el éxito del tratamiento.
Número de Carillas Necesarias
Como es lógico, no todas las personas necesitan el mismo número de carillas, ya que esto dependerá de cuáles sean los defectos que se quieran corregir o disimular con el tratamiento. Asimismo, dado que las carillas dentales se colocan en los dientes más visibles, el número que habrá que colocar también dependerá de la amplitud de sonrisa de cada persona.
En este punto, tenemos buenas noticias para tu bolsillo, ya que las carillas no se colocan en todos los dientes de la boca, sino únicamente en el frente estético. Normalmente, se ponen en los seis dientes delanteros superiores, que son los más visibles al sonreír: dos incisivos centrales, dos incisivos laterales y dos colmillos. No obstante, en algunos casos se pueden llegar a colocar carillas en los premolares, por lo que habría que poner diez carillas en total en la arcada superior.
Cuando hablamos de transformar una sonrisa, raramente se trata de una sola carilla. Lo más habitual es colocar entre 6 y 10 carillas en la arcada superior, que es la más visible al sonreír y hablar.
Material de las Carillas
No todas las carillas son iguales. Las carillas de porcelana son las más resistentes y naturales. Normalmente, duran entre 10 y 15 años. No se tiñen con alimentos ni bebidas y ofrecen un acabado muy estético. Este material es más asequible. Las carillas de composite pueden costar entre 300 € y 600 € por diente, pero también tienen una vida útil menor (entre 5 y 7 años).
¿Duele el Tratamiento con Carillas?
No, el procedimiento de colocación de carillas no es doloroso. Se realiza bajo anestesia local, por lo que no sentirás molestias durante el tallado ni la cementación. Después del tratamiento, puede haber sensibilidad dental leve durante los primeros días, especialmente a temperaturas frías o calientes, pero esta sensibilidad suele desaparecer en una o dos semanas.
¿Las Carillas se Manchan?
Las carillas de porcelana y zirconio son altamente resistentes a las manchas gracias a su superficie lisa y no porosa. No se tiñen con café, té, vino tinto ni tabaco como los dientes naturales.

Precios Aproximados de las Carillas Dentales en Madrid
El coste de las carillas dentales en Madrid puede variar significativamente dependiendo del material, la cantidad de piezas y la técnica empleada. En nuestra clínica, ofrecemos una relación calidad-precio clara que asegura resultados sobresalientes.
En Ferrus & Bratos, cada tratamiento se personaliza para adaptarse a tu sonrisa y expectativas. Las carillas de composite son una alternativa demandada entre nuestros pacientes en Madrid. Su ventaja principal es que se colocan en una sola sesión y permiten mejorar pequeñas imperfecciones sin modificar en exceso el diente original. Además, su coste reducido en comparación con otras opciones las convierte en una elección popular entre quienes buscan optimizar su sonrisa sin un gran desembolso. Son particularmente útiles en casos donde se busca una transformación notable pero asequible.
Las carillas de porcelana simbolizan la excelencia en estética dental. En nuestra clínica colaboramos con laboratorios de prestigio para diseñar piezas totalmente individualizadas. Su resistencia y similitud con el diente natural las convierten en la opción ideal para quienes desean una sonrisa armónica y de larga duración. Su proceso de fabricación incluye la selección de tonalidades, simulaciones digitales y un tallado preciso, garantizando un resultado estético superior. Aunque su inversión es mayor, su durabilidad y naturalidad respaldan el coste.
El presupuesto total dependerá del número de carillas requeridas (normalmente entre 8 y 10 por arcada) y del material elegido. En Ferrus & Bratos, cada procedimiento es único. Nuestros tratamientos incluyen una planificación detallada y simulaciones digitales estéticas.
Oscila entre 250 € y 1200 € por unidad.
Tabla Comparativa de Precios y Duración
| Tipo de Carilla | Precio Aproximado por Unidad (€) | Duración Estimada |
|---|---|---|
| Composite | 150 - 600 | 5 - 7 años |
| Porcelana (E-max, Lumineers) | 400 - 1200 | 10 - 15 años |
| Zirconio | 500 - 1000 | 10 - 15 años |
Ventajas y Desventajas de las Carillas Dentales
Ventajas
- Mejora significativa en la apariencia de los dientes.
- Las carillas, especialmente las de porcelana y zirconio, destacan por su resistencia a las manchas y durabilidad, requiriendo poco mantenimiento más allá de una buena higiene bucal.
- Tratamiento de estética dental poco invasivo: su colocación es realmente sencilla y generalmente indolora.
Desventajas
- Precio relativamente alto, especialmente para las de porcelana y zirconio.
- Proceso irreversible en algunos casos de carillas de porcelana que requieren tallado previo de los dientes.
- No son una solución para problemas dentales más complejos como dientes muy desalineados o problemas de maloclusión.
¿Cómo Elegir la Clínica Dental Adecuada?
Después de comprender toda la información sobre precios, tipos de carillas, procesos y consideraciones, es fundamental elegir la clínica dental adecuada para tu tratamiento.
- Diseño Digital de Sonrisa (DSD): Utilizamos software especializado que permite visualizar tu nueva sonrisa antes de iniciar el tratamiento.
- Escáneres intraorales 3D: Olvídate de las incómodas impresiones tradicionales con pasta.
- Nuestro equipo está formado por odontólogos con formación específica y actualizada en estética dental.
- Experiencia demostrable: Contamos con un extenso portfolio de casos reales que puedes consultar durante tu primera visita.
- Enfoque personalizado: Entendemos que cada sonrisa es única.
¿Hemos resuelto tus dudas sobre el precio de las carillas dentales? Si sigues teniendo alguna pregunta, te animamos a llamarnos por teléfono y acudir a una primera consulta gratuita en una de las clínicas Smysecret.