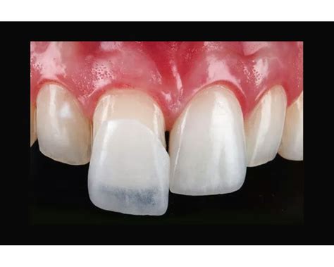
En la búsqueda de una sonrisa perfecta, las carillas dentales se han posicionado como uno de los tratamientos de estética dental más populares. Estas finas láminas, que se adhieren a la superficie de los dientes, permiten modificar su color, forma, tamaño e incluso su posición.

En Toledo, diversas clínicas ofrecen este tratamiento, adaptándose a las necesidades y presupuestos de cada paciente. A continuación, exploraremos los diferentes tipos de carillas, sus precios y las clínicas destacadas en Toledo.
¿Qué son las Carillas Dentales?
Las carillas dentales son finas láminas de porcelana o composite que se adhieren a la superficie de los dientes, ayudando a corregir problemas como manchas, fracturas, desalineaciones o espacios entre dientes. Son una opción rápida y efectiva para transformar la apariencia de tus dientes, perfectas para quienes buscan una solución estética sin necesidad de recurrir a tratamientos ortodónticos prolongados.
Las carillas dentales son un tratamiento de estética dental que consiste en unas finas láminas que se adhieren a la cara delantera del diente permitiéndonos modificar su color, forma, tamaño e incluso su posición. Las carillas dentales están indicadas para disimular imperfecciones relativas al color, tamaño, forma y posición de los dientes.
Tipos de Carillas Dentales
Existen dos tipos principales de carillas dentales:
- Carillas de Composite: Están hechas con una resina sintética que se coloca para disimular pequeños defectos estéticos. Se realizan directamente sobre el diente aplicando capa por capa y esculpiendo la forma deseada. Pueden moldearse directamente en la boca, o pueden realizarse en un laboratorio y posteriormente, colocarlas. En muchos casos puede que ni requieran tallar el diente. Aunque son menos duraderas que las de porcelana, son ideales para corregir pequeñas imperfecciones en la forma de los dientes.
- Carillas de Porcelana: A diferencia de las de composite, las carillas de porcelana son elaboradas a medida en el laboratorio. Son conocidas por su durabilidad y apariencia natural. Es un material más duradero y resistente, puesto que no cambia de color, ni pierde brillo ni tampoco se desgasta.
Las carillas de porcelana son más costosas pero ofrecen mejor durabilidad y estética. Pueden durar entre 10 y 15 años con el cuidado adecuado.

Carillas Composite VS. Porcelana
Aunque ambas carillas nos permiten corregir la forma, el tamaño y el color de los dientes, incluso en ocasiones, su posición. A diferencia de las carillas de porcelana, se realizan directamente sobre el diente aplicando capa por capa y esculpiendo la forma deseada.
Composite: se trata de una resina sintética que se utiliza para disimular pequeñas y localizadas imperfecciones. Este material tiene una durabilidad menor, aunque es más asequible que la porcelana.
Las carillas de composite pueden ser retiradas y reparadas con mayor facilidad que las de porcelana. Éstas se colocan con el objetivo de solventar un problema de manera permanente.
Tipos de Carillas Dentales | Lo que nadie te cuenta | Composite, Porcelana y Zirconio 🦷✨"
¿Cuándo se utilizan las carillas de composite?
Normalmente este tipo de carillas se utilizan en niños o adolescentes que aún no han terminado su edad de crecimiento.
¿Cómo se colocan las carillas estéticas?
Cada caso requiere un análisis previo donde se valora la línea de sonrisa, la oclusión, posición del diente, labios, encías y el conjunto de tejidos de la cara en general. Tan importante o más que el diente es la encía. Una vez analizado se procede a realizar el tratamiento personalizado para cada caso. En una primera visita, se hará un diagnóstico previo que incluirá radiografías, fotografías y un escaneado intraoral, entre otras pruebas. Realizamos Mock-up, donde podemos ver y evaluar cómo sería el resultado final, tanto a nivel estético como funcional. Una vez estén listas las carillas de porcelana definitivas, se retiran las provisionales.
Precios de las Carillas Dentales en Toledo
El precio de las carillas dentales en Toledo depende del tratamiento llevado a cabo. El precio de las carillas puede variar dependiendo del material utilizado, el laboratorio o profesional que las confeccione y la cantidad que se requiera.
En 2024, el precio de las carillas dentales en España puede variar significativamente según la clínica y la región. Un juego de carillas de porcelana puede oscilar entre 300 y 1.200 euros por diente, mientras que las carillas de composite suelen ser más económicas, costando entre 200 y 600 euros por diente. Estos precios generalmente incluyen la consulta inicial, la toma de impresiones, la propia carilla y la aplicación, así como las revisiones necesarias después de la aplicación.
En 2025, el precio de las carillas dentales varía entre 250 y 900 € por unidad, según el material (composite o porcelana), la clínica, y el diseño personalizado.
La variabilidad en los precios de las carillas se debe a la demanda del mercado, la calidad de los materiales y la tecnología utilizada. El precio de las carillas dentales no solo depende del material, sino también de factores como la localización de la clínica, la experiencia y renombre del dentista, y la complejidad del caso del paciente.
| Tipo de Carilla | Precio por Diente (aproximado) |
|---|---|
| Composite | 200 - 600 € |
| Porcelana | 300 - 1200 € |
Clínicas Dentales Destacadas en Toledo
- Clínica Dental Pedro Citoler: Son expertos en la colocación de carillas dentales, un tratamiento estético ideal para mejorar tu sonrisa. Cuentan con un equipo de odontólogos altamente cualificados, especializados en estética dental y con amplia experiencia en la colocación de carillas dentales en Toledo. Ofrecen una primera consulta gratuita. Utilizan tecnología avanzada para diseñar tus carillas a medida, adaptadas a tu forma dental y color natural.
- Clínica SEDI: En SEDI te ofrecen tu tratamiento profesional de carillas dentales en Toledo. En Clínica SEDI te ayudan a conseguir una sonrisa armónica y natural mediante tratamientos personalizados con carillas dentales. Las carillas dentales que utilizan en la Clínica SEDI de Toledo son sumamente estéticas y adaptadas a cada paciente. Cuentan con opciones fabulosas de carillas dentales, de las mejores marcas del mercado y de calidades exclusivas.
- AM Odontología: Confiar en AM Odontología y en su estupendo equipo de estética odontológica es clave para que vuelvas a disfrutar de una sonrisa perfecta. El compromiso que tienen contigo pasa por el trato personalizado y la planificación de tratamientos a medida.
Consideraciones Adicionales
- Salud Bucodental: Para poder realizar un tratamiento de carillas dentales, es necesario que el paciente cuente con una óptima salud bucodental.
- Mantenimiento: Las carillas dentales requieren un mantenimiento sencillo, similar al de tus dientes naturales. El cepillado cuando llevas carillas dentales debe ser similar al que realizabas sin ellas.
- Ortodoncia: Sí, es posible llevar ortodoncia con carillas.
- Financiación: Sí en nuestras clínicas puedes optar a la financiación de los tratamientos consulta aquí y te asesoramos. No obstante, recuerda que en D·Lerma cuentan con financiación a medida, por lo que podrás adquirir tu tratamiento sin tener que preocuparte por tu economía.
Invertir en carillas dentales puede ser una decisión significativa, pero muchos pacientes encuentran que los beneficios estéticos y de confianza en sí mismos justifican el gasto.
