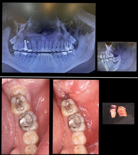
Cuando se tiene dañada una muela o una pieza dental y ésta no puede ser tratada de tal manera que pueda ser preservada, es necesario realizar una endodoncia o extracción dental. Desde nuestra clínica de odontología en Valencia vamos a explicarte cuál es el tiempo que tarda en cicatrizar la zona intervenida tras extraer una muela de juicio.

Duración del Procedimiento de Extracción
Una de las dudas más comunes que escucho como odontólogo es: “¿Cuánto se tarda en quitar una muela del juicio?”. Te explicaré de forma clara y amigable todo lo que necesitas saber: desde la duración de la extracción según el caso (simple o quirúrgica), qué ocurre durante la intervención, los factores que pueden alargar o acortar el procedimiento, hasta cuánto tarda la recuperación y mis mejores consejos postoperatorios.
La duración del procedimiento para quitar una muela del juicio puede variar bastante según la situación de la muela y el tipo de extracción que necesites. En general, sacar una muela del juicio es un proceso relativamente rápido, pero irá desde unos minutos hasta cerca de una hora, dependiendo de varios factores.
- Extracción simple (muela del juicio erupcionada): Si la muela ha salido completamente y su extracción es sencilla, suele no durar más de 20-30 minutos. Muchas veces, ¡el diente sale en solo unos minutos! El resto del tiempo incluye preparativos, aplicar la anestesia y asegurarnos de que todo esté listo.
- Extracción quirúrgica (muela del juicio impactada): Si la muela está impactada (atrapada debajo de la encía o en una posición difícil), el procedimiento es más complejo. Puede requerir hacer una pequeña incisión en la encía e incluso retirar un poquito de hueso que esté cubriendo la muela. En estos casos la cirugía puede tardar entre 45 minutos y 1 hora por muela aproximadamente.
- Extracción de varias muelas del juicio a la vez: A veces se decide sacar dos, tres o hasta las cuatro muelas del juicio en una sola cita. Esto puede ser conveniente para “matar todo de un golpe” y pasar por una sola recuperación. El tiempo total obviamente será mayor: suele oscilar entre 1 y 2 horas en total, dependiendo de cuántas se extraigan y de la dificultad de cada una.
Por ejemplo, quitar las cuatro muelas del juicio en una sesión puede llevar alrededor de 60 a 90 minutos (a veces un poco más si todas están impactadas). A pesar de que suena largo, muchos pacientes prefieren esto para evitar repetir el proceso varias veces. Una extracción individual de muela del juicio puede ser muy rápida (unos 20 minutos) si es sencilla, o prolongarse a casi una hora si es complicada. Y si hablamos de extraer todas en una sesión, prepárate para alrededor de hora y media, aunque tú apenas lo sentirás gracias a la anestesia.
¿Qué Sucede Durante la Extracción?
Ahora que sabes cuánto podría durar el procedimiento, seguramente te preguntes qué pasa exactamente en el sillón del dentista durante esa media hora (o esa hora).
- Preparación y anestesia: Antes de comenzar, el odontólogo revisará tu radiografía para confirmar la posición de la muela y planificar la extracción. Luego te aplicaremos anestesia local en la zona alrededor de la muela del juicio. Este pinchacito puede dar un poco de respeto, pero te aseguro que es rápido y enseguida la encía y el diente se adormecen. Si estás muy nervioso, en algunos casos podemos ofrecer sedación consciente, que es un medicamento por vía intravenosa para relajarte (estarás despierto pero en un estado muy tranquilo, casi soñoliento).
- Extracción de la muela: Una vez estés bien anestesiado (comprobamos que no sientes dolor antes de empezar), procedemos a extraer la muela del juicio. Si es una extracción simple, el proceso es bastante directo: utilizamos un instrumento llamado elevador o botador para aflojar el diente con movimientos suaves, y luego unas fórceps (pinzas dentales) para sujetar la muela y sacarla con cuidado. Sentirás presión y movimiento, pero nada de dolor. Muchas veces la muela sale completa de una vez. En cambio, si la muela está impactada o sale en mala posición, la extracción se vuelve quirúrgica: haremos una pequeña incisión en la encía para descubrir la muela. Es posible que necesitemos remover un poco de hueso alrededor con una fresa (un torno especial) para liberar el diente. A veces también cortamos la muela en partes más pequeñas para sacarla por secciones, especialmente si la corona (la parte de arriba) es grande o las raíces están enganchadas. Todo esto suena aparatoso, pero recuerda: tú estarás anestesiado localmente, no sentirás dolor, solo los movimientos y vibraciones.
- Cierre y cuidados inmediatos: Cuando la muela del juicio ya está fuera, queda una pequeña herida en la encía (y a veces un espacio en el hueso). Si fue una extracción simple, normalmente no hace falta dar puntos; la herida es pequeña y tu propia sangre formará un coágulo que protege y empieza la cicatrización. En extracciones quirúrgicas, colocaremos puntos de sutura (muchas veces puntos reabsorbibles que no hay ni que quitar; otros se retiran en aproximadamente 7 días). Tras la extracción, se coloca una gasa sobre la zona y te pediremos que la muerdas firmemente durante 20-30 minutos. Esto ayuda a contener el sangrado inicial y a que se forme el coágulo correctamente.
- Instrucciones finales: ¡Y listo! La muela ya está quitada. Antes de que te vayas a casa, te daré unas instrucciones postoperatorias detalladas (muchas de las cuales te resumiré más adelante en este artículo). Hablaremos de cómo tomar tus medicamentos (analgésicos, antiinflamatorios y quizá antibiótico si lo receté), cómo limpiar la zona, qué puedes comer y qué no, y señales de alarma a vigilar.
Como ves, el procedimiento en sí no es tan terrible ni eterno como a veces imaginamos. Yo siempre digo que lo más molesto suele ser el sonido de los instrumentos y mantener la boca abierta un ratito, pero el proceso en sí es rápido y estás con anestesia. Muchas personas se sorprenden: «¿Ya está?«. ¡Ya está! Eso es todo.
[Video en 🔴VIVO] Extracción de 𝗠𝗨𝗘𝗟𝗔 𝗗𝗘𝗟 𝗝𝗨𝗜𝗖𝗜𝗢 sin cirugia (𝐈𝐍𝐂𝐑𝐄𝐈𝐁𝐋𝐄 en SOLO 🚀50SG y SIN DOLOR)
Factores que Afectan la Duración de la Extracción
No todas las muelas del juicio son iguales, y por eso el tiempo necesario para sacarlas puede cambiar de un paciente a otro.
- Posición y estado de la muela: Es el factor clave. Si la muela del juicio está erupcionada (asomó completamente en la boca) suele ser más sencilla de extraer y toma menos tiempo. En cambio, una muela impactada bajo la encía o el hueso suele requerir cirugía, lo cual alarga el procedimiento.
- Dificultad o complejidad del caso: Aquí entran varios detalles técnicos. Por ejemplo, el tamaño y forma de las raíces: raíces curvas o muy largas se aferran más y pueden requerir más maniobras. Si la muela del juicio está muy pegada al nervio dental inferior (en el caso de las muelas de abajo) tendremos que ir con más cuidado, quizá quitando menos hueso para proteger el nervio, lo que puede hacer la extracción más lenta. También posibles infecciones o inflamación alrededor pueden complicar un poco el procedimiento. Cada detalle anatómico cuenta.
- Número de muelas a extraer: Como mencioné, sacar más de una muela en la misma cita obviamente extiende el tiempo total. Aunque muchas veces se optimiza el proceso y no es simplemente sumatorio (por ejemplo, extraer 2 muelas puede hacerse en 40-60 min, no necesariamente 30+30). El dentista va trabajando de manera eficiente entre un lado y otro si son dos, etc.
- Tipo de anestesia o sedación: La mayoría de extracciones de cordales se hacen con anestesia local, que prácticamente no añade tiempo (un par de minutos para hacer efecto). Sin embargo, si se hace bajo sedación intravenosa o anestesia general, el procedimiento global toma más tiempo porque hay que preparar al paciente: monitores, medicación, inducción de la sedación, y luego un periodo de recuperación post-anestésica. Por ejemplo, en un entorno hospitalario con anestesia general, puede que pases 3-4 horas en total entre preparación, la extracción en sí y la recuperación en sala postquirúrgica, aunque la extracción pura tal vez duró 1 hora. En la consulta, cuando hacemos sedación consciente, solemos tenerte un ratito en observación tras la cirugía hasta que estés bien despierto.
- Experiencia del odontólogo y equipo: Aunque todos los dentistas seguimos procedimientos similares, la habilidad y experiencia pueden marcar diferencia en la duración. Un cirujano oral con mucha experiencia en muelas del juicio suele trabajar con movimientos más precisos y rápidos, optimizando cada paso, lo que puede hacer la extracción más ágil. También el tener buen instrumental (por ejemplo, puntas de fresa adecuadas, aparatología de última generación) ayuda a acelerar ciertas partes. En mi clínica, por ejemplo, contamos con instrumentos especiales para extracciones atraumáticas que a veces nos permiten retirar muelas con mayor facilidad.
En resumen, el tiempo que se tarda en quitar una muela del juicio dependerá principalmente de la posición y dificultad de la muela, y de cómo se aborde la extracción. Como dentista, siempre evalúo estos factores de antemano y suelo informarle al paciente: “Mira, esta muelita está tumbada y cubierta de encía, nos va a llevar un ratito sacarla, calculo unos 45 minutos”. O al contrario: “Esta de arriba sale fácil, en 10 minutos la tenemos fuera”.
Tiempo de Recuperación y Cicatrización
Una vez que la muela del juicio está fuera, comienza la etapa de recuperación. Muchas personas se sorprenden de que la extracción en sí no dolió casi nada… pero luego llega el postoperatorio, que es donde hay que tener un poco más de paciencia y cuidado. ¿Cuánto tarda en recuperarse uno de una extracción de muela del juicio? Depende de cada persona y de la dificultad de la extracción, pero típicamente hablamos de unos pocos días de molestias principales.

- Primeras 24 horas: Es la fase inicial de coagulación y comienzo de cicatrización. Durante las primeras horas tras la extracción, es normal un sangrado leve que irá disminuyendo. Deberás mantener la gasa mordida el tiempo que te indiqué (usualmente 30 min a 1 hora) y luego retirarla con cuidado. Se forma un coágulo de sangre en el hueco de la muela, lo cual es bueno porque ese coágulo es el que protege la herida. Sentirás la zona entumecida hasta que pase el efecto de la anestesia (un par de horas). Cuando la anestesia desaparece, seguramente notarás molestias o dolor manejable con los analgésicos prescritos. También comienza la hinchazón en la mejilla y mandíbula, que suele ir en aumento durante este primer día. Es fundamental que en estas 24h sigas al pie de la letra las indicaciones: reposo relativo (toma it easy, nada de ejercicio), cabeza un poco elevada al dormir, hielo local (10 minutos on/off varias veces), no enjuagar ni escupir vigorosamente, y nada de fumar ni beber alcohol.
- Día 2 y 3: La inflamación suele alcanzar su máximo alrededor del segundo día post extracción. No te asustes si amaneces con el carrillo más hinchado; es normal. Puede haber algo de dolor todavía, pero controlable con los medicamentos. Sigue con los cuidados: dieta blanda, higiene suave. A partir del día 3, si todo va bien, el dolor empieza a disminuir y ya no debería haber sangrado.
- Del día 4 al 7: En la mayoría de los casos, hacia el cuarto o quinto día ya te sientes mucho mejor. La inflamación cede, quizá queda un poco de sensibilidad o molestia leve al abrir la boca del todo (a veces aparece un poco de trismo, que es rigidez en la mandíbula por haberla mantenido abierta; esto mejora en el transcurso de la semana). A los 7 días, típicamente, si te pusieron puntos no reabsorbibles, el dentista te retirará los puntos. Para entonces, la encía ya ha cicatrizado bastante bien por encima.
- Dos semanas en adelante: Aunque el tejido blando de la encía cura en un par de semanas, la recuperación interna continúa. Entre las 2 y 4 semanas después, el hueso debajo de la encía seguirá remodelándose y rellenando el hueco donde estaba la muela. Puede persistir una ligerísima molestia al masticar cosas duras o al tocar la zona, pero ya sin mayor dolor. Para las 2 semanas la mayoría de los pacientes reportan sentirse totalmente recuperados, sin dolor ni hinchazón.
Casos Especiales
Si la extracción fue muy complicada (por ejemplo, cordal incluido completamente en hueso) o hubo alguna complicación (como una infección, o el temido alveolo seco que ocurre si se pierde el coágulo prematuramente), la recuperación puede alargarse. En caso de infección, podría aparecer más dolor e hinchazón pasada la primera semana, y habría que tratarlo con antibióticos u otras medidas. Un alveolo seco genera dolor intenso entre el día 3-5 y requiere que acudamos a la consulta para aplicar un tratamiento local y aliviarlo, lo que puede extender la recuperación unos días más. Por suerte, estas complicaciones no son lo habitual.
Consejos Prácticos para una Buena Recuperación
Como odontólogo, siempre le recalco a mis pacientes algunas medidas sencillas que aceleran la curación y evitan problemas.
- Reposo relativo: Tras la extracción, tómate el resto del día libre. Descansa, siéntate o recuéstate con la cabeza ligeramente elevada. Evita ejercicio físico intenso durante al menos 2-3 días. Aunque quizás te sientas bien, hacer esfuerzos puede reabrir la herida o aumentar la hinchazón.
- Hielo e inflamación: Aplica compresas frías en la cara, sobre la zona de la extracción, especialmente durante las primeras 24-48 horas. Hazlo en intervalos de 10-15 minutos (10 min con hielo, 10 min de descanso). El hielo es tu mejor amigo para reducir la hinchazón y el dolor.
- Dieta blanda y adecuada: Durante unos días, come alimentos blandos y fríos o templados. Por ejemplo: yogur, batidos, purés, sopa tibia, helado (¡el helado suele ser bienvenido!), compotas, pastas suaves… Evita cosas crujientes o duras que puedan lastimar la zona (nada de frutos secos, papas fritas, trozos de pan duro, etc. en la primera semana). Tampoco alimentos muy calientes los primeros dos días, para que no se disuelva el coágulo. Y algo super importante: no uses pajilla (popote, sorbete) para beber, la succión puede desalojar el coágulo y causar alveolo seco.
- Higiene oral cuidadosa: Mantener la boca limpia es fundamental para prevenir infecciones, pero debes hacerlo con cuidado. El día de la cirugía no te enjuagues vigorosamente ni te cepilles la zona de la extracción. Al día siguiente, puedes empezar a enjuagar suavemente con agua tibia con sal o con el enjuague que te haya recomendado tu dentista, después de cada comida, para limpiar la zona. Cepilla tus demás dientes normalmente, con suavidad, evitando el área de la herida por unos días.
- Medicamentos según indicación: Si te recetaron antibióticos, antiinflamatorios o analgésicos, cúmplelos al pie de la letra. No esperes a que el dolor sea fuerte para tomarte el analgésico; es mejor mantener un nivel constante de medicina los primeros días para estar confortable.
- No fumar ni beber alcohol: Fumar es de lo peor que puedes hacer tras una extracción. El tabaco retrasa la cicatrización y multiplica el riesgo de infecciones y alveolo seco. Idealmente, no fumes nada por al menos 5-7 días (y si puedes más, mejor).
Etapas de la Cicatrización
El proceso de cicatrización se divide en varias etapas. La primera de ellas es la formación del coágulo sanguíneo en el alveolo. Cuando se extrae la muela ocurre una ligera hemorragia y es esa sangre la que pasa a un estado sólido, formando así el coágulo. Este coágulo protege el tejido óseo y los nervios, evitando que queden expuestos.
Una vez que se ha formado el coágulo, el tejido gingival comienza a regenerarse, cerrando la herida. Aunque los tejidos blandos ya están cerrados, la cicatrización continúa en el hueso alveolar.
Factores que Influyen en la Cicatrización
La reparación de los tejidos dañados luego de una extracción de muelas depende de varios factores:
- Hábitos como fumar o consumir alcohol: ambas sustancias impiden la correcta cicatrización de los tejidos.
- Enfermedades sistémicas: la diabetes, por ejemplo, puede comprometer la microcirculación, por lo que afecta la capacidad del cuerpo de cicatrizar.
- Edad y estado general de salud del paciente: las personas más jóvenes tienen mayor capacidad regenerativa de los tejidos que los de edad más avanzada.
- Técnica de extracción: las extracciones complejas pueden prolongar el tiempo de recuperación.
Complicaciones Comunes
Es importante tener en cuenta que, aunque la extracción de una muela del juicio es un procedimiento común y seguro, pueden surgir complicaciones durante el proceso de cicatrización. Es fundamental conocer los síntomas y señales de alerta para poder prevenir y tratar estas complicaciones.
- Alveolitis seca: Esta es una de las complicaciones más comunes después de una extracción dental. Se produce cuando el coágulo de sangre se desprende del orificio de extracción, dejando el hueso y los nervios expuestos. Esto puede causar dolor intenso y retrasar la cicatrización.
- Infección: Aunque es menos común, también puede ocurrir una infección en el orificio de extracción. Los síntomas incluyen dolor intenso, hinchazón y fiebre. Para prevenir una infección, es importante mantener una buena higiene bucal y seguir las instrucciones del odontólogo para el cuidado postoperatorio.
- Hemorragia: Durante las primeras horas después de la extracción, es normal que se presente un poco de sangrado. Sin embargo, si la hemorragia es persistente y abundante, puede ser un signo de una complicación mayor.
En caso de experimentar alguna de estas complicaciones, es importante buscar ayuda médica de inmediato para recibir el tratamiento adecuado. Además, seguir las recomendaciones del odontólogo y mantener una buena higiene durante la recuperación puede ayudar a prevenir estas complicaciones y lograr una cicatrización adecuada del hueco dejado por la muela.
Cuidados Postoperatorios Esenciales
Después de una extracción de muela del juicio, es importante seguir ciertos cuidados para asegurar una correcta cicatrización del hueco dejado por la muela.
- Mantener una buena higiene bucal: es fundamental mantener la zona limpia después de la cirugía para prevenir infecciones.
- Consumir alimentos suaves: durante los primeros días, se recomienda consumir alimentos suaves y evitar aquellos que puedan dañar la zona de la extracción, como comidas muy calientes o crujientes.
- Tomar los medicamentos recetados: es importante seguir las instrucciones del dentista y tomar los medicamentos prescritos para aliviar el dolor y prevenir infecciones.
Siguiendo estos cuidados postoperatorios, se puede lograr una adecuada cicatrización del hueco dejado por la muela y prevenir complicaciones.
Tabla resumen del proceso de cicatrización
| Etapa | Duración | Características | Cuidados |
|---|---|---|---|
| Formación del coágulo | Primeras 24 horas | Se forma un coágulo de sangre en el alveolo. | Mantener la gasa mordida, evitar enjuagues fuertes. |
| Cicatrización inicial | 1-2 semanas | Cierre de los tejidos blandos. | Higiene bucal suave, dieta blanda. |
| Cicatrización ósea | 6-8 semanas | Regeneración completa del hueso. | Continuar con higiene y dieta adecuada. |
| Remodelación | Varias semanas/meses | Adaptación final de los tejidos. | Seguir las recomendaciones del dentista. |
tags: #cuanto #tarda #en #cicatrizar #una #extraccion