El sarro, también conocido como cálculo dental o tártaro, es un problema bucodental muy común que afecta a gran parte de la población. Consiste en la calcificación de la placa bacteriana, transformándose en una placa dura que solo puede ser retirada por un especialista en odontología.
De hecho, el sarro duro detrás de los dientes afecta a más del 70% de los adultos, convirtiéndose en una de las principales causas de enfermedades periodontales. Este problema, aparentemente invisible pero con consecuencias significativas para la salud bucodental, requiere un enfoque profesional y especializado para su correcta eliminación.

¿Qué es el sarro dental?
El sarro duro, conocido científicamente como cálculo dental, representa la mineralización completa de la placa bacteriana que se adhiere firmemente a la superficie dentaria. La diferencia fundamental entre la placa bacteriana y el sarro duro radica en su composición y resistencia.
Mientras que la placa bacteriana es una biopelícula blanda que puede eliminarse mediante el cepillado dental regular, el sarro duro presenta una estructura mineralizada que no puede removerse con métodos de higiene bucal convencionales.
¿Cómo se forma el sarro?
Como hemos comentado, el sarro se forma cuando la placa bacteriana se mezcla con saliva y restos de comida y se endurece. Esto puede ser el resultado de una mala higiene bucodental, pero no siempre es el caso. Otro factor que influye es el pH de la saliva, que varía según la persona. Por ejemplo, los pH que tienen un nivel de acidez alto debilitan más el esmalte dental, lo que nos hace más vulnerables a las caries. Los hábitos alimentarios también influyen en la aparición de sarro.
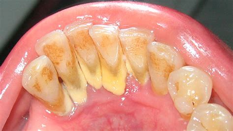
¿Por qué se acumula sarro duro específicamente detrás de los dientes inferiores?
La anatomía oral explica por qué el sarro duro detrás de los dientes inferiores es tan común. Las glándulas sublinguales y submandibulares, ubicadas debajo de la lengua, secretan constantemente saliva rica en minerales directamente hacia la superficie lingual de los incisivos inferiores. La superficie lingual de los dientes inferiores representa una de las zonas más desafiantes para mantener una higiene bucal adecuada. La posición de la lengua, la limitada visibilidad durante el cepillado y la dificultad para maniobrar el cepillo en esta área contribuyen a una limpieza incompleta.
Muchas personas concentran sus esfuerzos de higiene bucal en las superficies dentales más visibles, descuidando inadvertidamente las zonas posteriores y linguales. El tabaquismo altera significativamente la composición salival y reduce la capacidad de autolimpieza natural de la boca, favoreciendo la formación de sarro duro. La dieta rica en azúcares y carbohidratos refinados proporciona nutrientes abundantes para las bacterias orales, intensificando la producción de ácidos y la formación de placa bacteriana.
¿Cómo saber si tienes sarro dental?
Para saber si tienes sarro dental, lo primero que puedes hacer es mirarte en el espejo. También puedes palpar alrededor de los dientes con la lengua. El indicador de sarro más común es observar un color marrón o amarillento en los dientes o encías. La forma más efectiva de detectar si tienes sarro dental es acudir a tu dentista para que te haga un examen profesional.
Síntomas de acumulación de sarro duro
- Mal aliento crónico: El mal aliento crónico constituye uno de los primeros indicadores de acumulación de sarro duro detrás de los dientes. Este síntoma se produce porque el cálculo dental proporciona una superficie rugosa ideal para la adherencia y proliferación de bacterias anaerobias, que liberan compuestos sulfurados volátiles responsables del olor desagradable.
- Inflamación de las encías (gingivitis): La presencia de sarro duro detrás de los dientes provoca una respuesta inflamatoria constante en las encías circundantes. Esta inflamación se manifiesta como gingivitis, caracterizada por encías de color rojo intenso, hinchadas y sensibles al tacto.
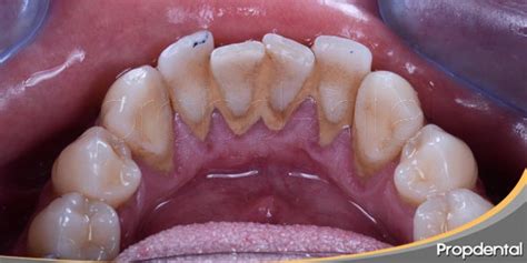
- Coloración del sarro: El sarro duro detrás de los dientes presenta inicialmente una coloración amarillenta que puede evolucionar hacia tonos marrones o incluso negros, dependiendo de factores como el tabaquismo, el consumo de té, café o ciertos alimentos.
- Sensibilidad dental: Cuando el sarro duro provoca retracción gingival, las raíces dentales quedan expuestas, generando sensibilidad al frío, calor o alimentos ácidos. El sarro duro actúa como un irritante mecánico constante que «empuja» progresivamente la encía hacia abajo, exponiendo mayor superficie radicular.
- Molestias al masticar: En casos avanzados donde la enfermedad periodontal ha progresado significativamente, pueden aparecer molestias o dolor durante la masticación.
Consecuencias de no tratar el sarro dental
El sarro en los dientes puede provocar una serie de problemas que afectan a la salud de la boca:
- Encías inflamadas
- Caries dentales
- Dolor de muelas
- Flemón
- Manchas blancas en los dientes
¿Acumulas mucho sarro dental? Evítalo así. Te lo explico rápido y fácil.
¿Cómo prevenir la formación de sarro dental?
La prevención efectiva del sarro duro detrás de los dientes requiere una técnica de cepillado meticulosa que incluya movimientos específicos para alcanzar la superficie lingual de los dientes inferiores. El uso diario de hilo dental o cepillos interdentales es fundamental para eliminar la placa bacteriana de espacios que el cepillo no puede alcanzar. Una alimentación consciente puede reducir significativamente la formación de sarro duro. El mantenimiento preventivo profesional constituye la estrategia más efectiva para prevenir la acumulación de sarro duro.

Aquí te damos algunos consejos útiles para prevenir la aparición del sarro:
- Cepillado de los dientes: Recomendamos cepillarse los dientes con un cepillo de dientes de cerdas suaves al menos dos veces al día. Preste especial atención a la placa que se acumula alrededor de las encías. Reemplace su cepillo de dientes o el cabezal de su cepillo de dientes a menudo.
- Hilo dental: La limpieza interdental es imprescindible una vez al día. Ya que el cepillo de dientes no llega a toda la comida y bacterias entre los dientes, el uso del hilo dental o enjuague para llegar a estas áreas de difícil alcance, ayuda a combatir la enfermedad periodontal y las caries. El mejor momento para limpiar los espacios entre los dientes es antes de ir a dormir para que la boca albergue menos bacteria durante ese tiempo.
- Limpiezas profesionales regulares: La placa bacteriana que se endurece convirtiéndose en sarro no puede eliminarse con el cepillo de dientes. Por lo tanto, también es necesario que visite a su odontólogo o higienista dental para limpiezas y revisiones. La frecuencia ideal para limpiezas dentales profesionales varía según cada paciente, pero generalmente recomendamos intervalos de seis meses.
- Alimentación saludable: Cuando reduce su ingesta de carbohidratos, en especial los azúcares, está reduciendo la habilidad de las bacterias de producir ácidos que pueden causar caries y enfermedad periodontal. Es importante llevar una dieta saludable y variada. Come muchas manzanas y zanahorias, y evita, en la medida de lo posible, el pan de molde. Reemplace los aperitivos y bebidas azucaradas por queso, yogur u otras alternativas no azucaradas.
Además de estos consejos útiles para prevenir la aparición del sarro, hay también muchos otros remedios que puedes probar para eliminar el sarro dental.
- Utilizar un irrigador: Un irrigador bucal es un sistema que, mediante agua a presión, nos permite realizar limpiezas bucales y eliminar los restos de suciedad que pueden quedar tanto en las encías como entre los dientes, accediendo a zonas que no sería posible con un cepillo de dientes. Se aconseja utilizarlo antes del cepillado. Siempre con agua templada para evitar un exceso de sensibilidad y ajustando la presión para no causar daños en las encías.
- Lavarse los dientes tres veces al día: El cepillado dental es la mejor herramienta que tenemos frente a la acumulación de sarro. Es importante lavarse los dientes de dos a tres veces al día, después de cada comida, siendo interesante no esperar demasiado desde que se termina de tomar alimentos hasta que se lavan los dientes porque, así, evitamos que las bacterias de la boca interactúen con los restos de alimentos. El cepillado debe durar al menos 2 minutos, repasando las piezas dentales por todos sus lados.
- Usar hilo dental: Ninguna rutina de higiene dental está completa si no se utiliza el hilo dental. Aunque lo ideal sería utilizarlo cada vez que nos lavamos los dientes, no siempre hay tiempo. En todo caso, hay que intentar utilizarlo por la noche. Después de usar el irrigador y lavar los dientes, se pasa hilo dental entre los huecos de los dientes y encías. Esto nos asegura que ya no quede resto de alimentos en la boca, por lo que la producción de placa y sarro va a ser menor.
¿Cómo eliminar el sarro dental?
Es fundamental comprender que el sarro duro no puede eliminarse mediante métodos caseros de higiene bucal. Su estructura mineralizada requiere instrumental especializado y técnicas profesionales específicas para su remoción segura. El sarro duro únicamente puede eliminarse mediante procedimientos profesionales realizados por dentistas o higienistas cualificados. No es posible eliminar el sarro duro mediante métodos caseros.
Si el sarro ya se ha endurecido, es necesario que acudamos al dentista para que lo elimine mediante una limpieza bucal. Si el sarro ha profundizado ocasionando la pérdida de encía la limpieza será más profunda, con necesidad de anestesia local.
Para eliminar el sarro que ha crecido más profundamente debajo de los tejidos blandos que sostienen los dientes, es necesario un tratamiento distinto, que recibe el nombre de raspado y alisado radicular, o curetaje, que sí necesita anestesia local.
En Clínica Dental Letamendia, empleamos tecnología de ultrasonidos de última generación para quitar el sarro de los dientes de manera precisa y confortable. El proceso incluye también el uso de instrumental manual especializado (curetas) para el refinado de superficies radiculares y la eliminación de sarro en áreas de difícil acceso. Cuando el sarro duro ha progresado causando gingivitis o enfermedad periodontal, implementamos protocolos de tratamiento integral que pueden incluir curetajes radiculares, terapia antimicrobiana y seguimiento periodontal especializado.
Después de quitar todo el sarro, pulimos la superficie de tus dientes. Esto se hace con una pasta especial y un cabezal rotatorio suave, dejando el diente lisito. Finalmente, te daremos indicaciones personalizadas.
¿Qué hacer si se desprende un pedazo de sarro?
Si te ha pasado esto recientemente, mantén la calma. No entres en pánico: Lo primero, mantén la calma. Como ya mencioné, normalmente no es una emergencia grave. Si no hay dolor fuerte o sangrado, puedes respirar aliviado.
- Enjuaga tu boca suavemente: Lava tu boca con agua tibia (incluso con un poco de sal disuelta, que tiene efecto antiséptico suave) para eliminar cualquier resto suelto y refrescar la zona. Esto ayuda a que, si la encía quedó expuesta, no se irrite con residuos.
- No intentes arrancar más sarro por tu cuenta: Puede ser tentador pensar «si se cayó ese pedazo, voy a raspar a ver si quito más». ¡Evítalo! Rascar con objetos afilados (o con fuerza excesiva) puede lastimar tu encía o el esmalte del diente. Además, el sarro está fuertemente adherido; quitarlo tú mismo es difícil y podrías terminar con una lesión.
- Revisa tus síntomas: Pon atención a cómo se siente la zona. ¿Notas la encía inflamada donde estaba el sarro? ¿Hay sangrado leve al cepillar? ¿El diente se siente más sensible al aire o al agua fría ahora que se cayó la “costrita” de sarro? Algunos de estos síntomas son normales después de que el sarro se desprende, porque puede haber una pequeña inflamación en la encía alrededor o el diente expuesto a estímulos. Si el dolor es intenso o la encía sangra en exceso espontáneamente, eso sí amerita consultar más urgente.
- Cepilla con suavidad esa área: Continúa con tu higiene oral rutinaria, cepillando suavemente los dientes cercanos y usando hilo dental en la zona, sin hurgar demasiado debajo de la encía. Mantener la limpieza ayudará a que no se acumule más placa mientras esperas tratamiento.
- Agenda una visita al dentista lo antes posible: Este paso es clave. No lo dejes pasar. Aunque no tengas dolor, debes acudir a una limpieza dental profesional para retirar el resto del sarro. Idealmente, haz la cita en cuanto puedas dentro de los próximos días o semanas.
- Mientras esperas la cita, cuida tu boca: En esos días previos a tu limpieza profesional, sé muy constante con tu higiene: cepíllate dos veces al día correctamente, usa hilo dental cada noche (con más razón ahora), y puedes añadir un enjuague bucal suave con clorhexidina si tu dentista te lo recomienda o uno sin alcohol para mantener baja la carga bacterial. Esto mantendrá a raya la placa bacteriana nueva y ayudará a que la encía se calme un poco.
La prevención y el tratamiento temprano del sarro duro detrás de los dientes representan inversiones fundamentales en tu salud bucodental a largo plazo.
¿Se puede caer el sarro “solo”?
Técnicamente, el sarro generalmente no se cae por sí solo como resultado positivo; es decir, no esperes a que tu boca se “limpie sola”. Si notas que se caen fragmentos de sarro sin asistencia, suele ser porque la situación ya es prolongada y severa. Es más, cuando a alguien “se le cae el sarro solo”, muchas veces es porque ya hay cierta destrucción debajo (encía retraída, diente un poco flojo, etc.).
¿Es grave que se caiga un trozo de sarro?
En la mayoría de los casos, que se caiga un trozo de sarro no te causará daño inmediato por sí mismo, pero es un llamado de atención: tu boca necesita una limpieza dental profesional y mejorar tu rutina de higiene. Considera el trocito de sarro caído como un “aviso”.
Preguntas frecuentes sobre el sarro dental
¿El sarro se cae solo?
Por lo general, no se cae por sí solo de forma completa. El sarro está muy adherido al diente y permanece allí hasta que un dentista lo retira. Que se desprenda un pedazo puede ocurrir, pero normalmente queda mucho sarro adherido detrás. Además, esperar a que “se caiga solo” no es buena idea, ya que mientras tanto el sarro sigue causando inflamación en las encías y otros daños.
¿Cómo diferenciar el sarro de un trozo de diente?
No siempre es fácil a simple vista, pero hay pistas: el sarro suele ser de color amarillento o marrón, de textura áspera o porosa, y por lo general no provoca dolor al desprenderse. Un fragmento de diente (esmalte) será blanco o ligeramente transparente, más liso, y casi siempre va acompañado de sensibilidad o dolor en el diente afectado. También, si pasas la lengua por el diente y sientes un borde cortante o irregular nuevo, es señal de diente roto.