La extracción de una muela del juicio es un procedimiento común al que muchas personas se someten a lo largo de su vida. Y es que estos molares, a menudo retenidos o impactados, pueden causar problemas significativos si no se realiza una extracción. A pesar de ser una intervención frecuente, surgen ciertas inquietudes y preguntas acerca de esta intervención, especialmente en lo que respecta al tiempo de recuperación y los cuidados necesarios.
En este artículo, abordaremos en detalle el proceso de recuperación tras la extracción de las muelas del juicio, desde la duración del dolor hasta los cuidados esenciales para evitar complicaciones y asegurar una curación adecuada.
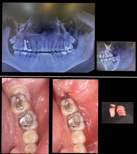
¿Cómo es la Extracción de una Muela del Juicio?
En primer lugar, la extracción de las muelas del juicio debe realizarse por un especialista en cirugía oral para, así, asegurar que el procedimiento sea seguro.
Se utiliza anestesia local para eliminar la percepción de dolor en el área y en el caso de personas que tienen miedo al dentista, o en cirugías complejas, se recomienda la sedación consciente.
Una vez que la anestesia hace efecto, el cirujano oral, con ayuda de instrumentos específicos, procede a extraer la muela, ya sea entera o fragmentada en piezas más pequeñas para simplificar la extracción.
En la mayoría de los casos, este procedimiento es bastante directo y se completa en solo unos minutos. Aún así, cabe señalar que, dependiendo de cómo esté posicionada la muela, el proceso de extracción puede ser diferente.
👉CUIDADOS despues de una EXTRACCION de muela 🙊 Secretos para que NO TE DUELA!!
Tipos de Extracción de Muela del Juicio
Como decíamos, la extracción de muela del juicio puede realizarse de forma diferente dependiendo de si la muela ha erupcionado completamente o no. Por lo tanto, hablamos de diferentes tipos:
- Extracción simple: Se realiza cuando la corona de la muela del juicio ha erupcionado completamente de la encía. Este procedimiento es rápido y generalmente se realiza bajo anestesia local.
- Extracción quirúrgica: La cirugía de extracción de muela del juicio se lleva a cabo cuando está retenida o parcialmente erupcionada. Durante la operación, el cirujano debe hacer una incisión en la encía para acceder al diente (a veces dividiéndolo en secciones para facilitar su extracción).
A todo esto, cabe añadir que es interesante conocer las causas de extracción en ortodoncia. A veces, se hace necesario extraer piezas como las propias muelas del juicio.

¿Cuánto Dura la Extracción de una Muela del Juicio?
Una de las principales preocupaciones de los pacientes que se someten a este proceso está relacionada con su duración. En este sentido, y para responder a la pregunta cuánto dura la extracción de una muela del juicio, debemos ser prudentes y decir que el tiempo de extracción puede variar.
Una extracción simple puede durar desde unos pocos minutos hasta 20 minutos, mientras que una extracción quirúrgica puede tomar una hora, dependiendo de la complejidad del caso.
A veces se decide sacar dos, tres o hasta las cuatro muelas del juicio en una sola cita. Esto puede ser conveniente para “matar todo de un golpe” y pasar por una sola recuperación. El tiempo total obviamente será mayor: suele oscilar entre 1 y 2 horas en total, dependiendo de cuántas se extraigan y de la dificultad de cada una.
Por ejemplo, quitar las cuatro muelas del juicio en una sesión puede llevar alrededor de 60 a 90 minutos (a veces un poco más si todas están impactadas). A pesar de que suena largo, muchos pacientes prefieren esto para evitar repetir el proceso varias veces.
Recuperación de la Extracción de Muela del Juicio
El proceso de recuperación después de la extracción de muela del juicio es crucial para evitar complicaciones y asegurar una curación adecuada. Entre las principales recomendaciones se encuentran:
- Controla el sangrado. Justo después de la extracción, es importante morder suavemente una gasa colocada sobre la herida durante aproximadamente 30 minutos. Esto ayuda a formar el coágulo necesario para la curación.
- Reduce la inflamación. Aplica una bolsa de hielo o toallas frías en tu cara cerca de la zona operada. Hazlo de forma intermitente durante las primeras 2-4 horas tras la operación. Esto no solo alivia el dolor sino que también minimiza la hinchazón.
- Evita determinados movimientos. Durante las primeras 24 horas, evita enjuagarte la boca, escupir o abrir la boca excesivamente. Estas acciones pueden desplazar el coágulo que se está formando, interrumpiendo el proceso de curación.
- Mantén tu cabeza elevada. Al descansar o dormir, trata de mantener tu cabeza en una posición más alta que el resto de tu cuerpo. Esto puede ayudar a reducir la hinchazón.
- Cuidado al día siguiente. A partir del día siguiente, puedes empezar a enjuagar tu boca con agua tibia salada o un colutorio suave. Esto ayuda a mantener limpia la zona de la extracción sin ser demasiado agresivo.
- Dieta adecuada. Prioriza alimentos blandos y a temperatura ambiente. Evita los alimentos picantes, ácidos o muy calientes que pueden irritar la herida. Es crucial mantenerse hidratado, así que bebe suficientes líquidos.
- Maneja cualquier sangrado adicional. Si experimentas sangrado más allá de lo normal, coloca una gasa doblada sobre la herida y muerde durante otros 30 minutos. Puedes repetir esto varias veces si es necesario.
- Cuidados adicionales. Es común tener inflamación y hematomas, dificultad para abrir la boca completamente o incluso una leve fiebre. Evita realizar esfuerzos físicos durante unos días.
- Evita fumar y beber alcohol. Fumar y beber alcohol o bebidas carbonatadas pueden interferir con el proceso de curación. Es mejor evitar estos durante el período postoperatorio.
- Sigue las indicaciones médicas. Finalmente, toma todos los medicamentos que tu dentista te haya prescrito según las indicaciones, para controlar el dolor y prevenir infecciones.
Estos cuidados post extracción muela del juicio serán claves para evitar complicaciones como las que mencionamos en el siguiente párrafo.

Posibles Complicaciones Después de la Muela del Juicio
Hablando de la recuperación por extracción muela del juicio, una pregunta que surge con facilidad es la relacionada con sus posibles complicaciones.
Ante ello, y en términos generales, podemos decir que las complicaciones pueden incluir infección, alveolitis seca (inflamación del alvéolo dental), daño a nervios cercanos o a dientes adyacentes, y sangrado prolongado.
No obstante, siguiendo los cuidados postoperatorios recomendados por el dentista se minimizarán todos estos riesgos.
¿Cuánto Dura el Dolor de la Extracción de Muelas del Juicio?
Además de las complicaciones después de la extracción muela del juicio, el paciente también suele interesarse por el dolor. En este sentido, conviene aclarar cuánto dura el dolor o el tiempo de recuperación necesario para volver a la normalidad.
Respecto a cuánto dura el dolor de la extracción muela del juicio, la respuesta se reduce a pocos días. Además, tomando los medicamentos prescritos por el especialista, el dolor será más llevadero.
Por otro lado, si hablamos del tiempo de recuperación tras la extracción de la muela del juicio, debemos aclarar que va a depender de varios factores, como la complejidad de la extracción, la edad del paciente y su estado general de salud.
Dicho esto, los primeros días es común experimentar inflamación y dolor, que suelen ser más intensos durante las primeras 24 a 48 horas.
Y, si se ha realizado cirugía, la encía suele curarse en aproximadamente dos semanas, aunque el hueso subyacente puede tardar varios meses en reestructurarse completamente y cicatrizar del todo.
Cómo Aliviar el Dolor Post Extracción de Muelas del Juicio
Ahora bien, ¿cómo quitar dolor de la extracción de muela del juicio? Como hemos comentado, para aliviar el dolor se pueden tomar analgésicos como el ibuprofeno o el paracetamol. Aplicar hielo en el área afectada también puede ayudar a reducir la hinchazón y el dolor.
Hay otros ingredientes caseros como la manzanilla o el clavo de olor, que recomiendan para acelerar la curación. Pero antes de usar alguno de estos, mejor consúltalo con el dentista.
A continuación, se presenta una tabla con los tiempos estimados de recuperación y los cuidados recomendados:
| Fase | Duración | Cuidados |
|---|---|---|
| Primeras 24 horas | 1 día | Control del sangrado, reposo, hielo, dieta líquida |
| Días 2-3 | 2 días | Máxima inflamación, dieta blanda, higiene suave |
| Días 4-7 | 3 días | Disminución del dolor e inflamación, retomar actividades ligeras |
| Dos semanas | 14 días | Cicatrización de la encía, retirar puntos (si es necesario) |
| 2-4 semanas | 14-28 días | Remodelación ósea, recuperación completa |