Las carillas dentales son una solución estética popular para mejorar la apariencia de los dientes. Si estás considerando este tratamiento, es importante entender los factores que influyen en el precio de un diente de porcelana, los diferentes tipos de carillas disponibles y cómo elegir la mejor opción para ti. En este artículo, exploraremos todos estos aspectos para que puedas tomar una decisión informada.

¿Qué son las Carillas Dentales?
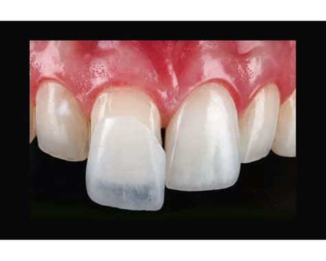
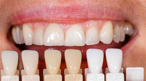
Las carillas dentales son láminas finas que se adhieren a la superficie externa del diente utilizando cemento o resina. De esta manera, se convierten en una especie de funda que recubre el diente, manteniéndolo seguro y firme en su lugar. El objetivo principal de las carillas dentales es mejorar la estética dental, cubriendo dientes desgastados, corrigiendo la separación entre dientes, decoloraciones, grietas, roturas y mucho más.
Tipos de Carillas Dentales
Existen varios tipos de carillas dentales, clasificados según el material utilizado en su fabricación. Los más comunes son:
- Carillas de Resina o Composite: Se aplican directamente en la clínica dental en una sola sesión. Son más económicas que las de porcelana, pero pueden ser menos duraderas y tienden a mancharse con el tiempo.
- Carillas de Porcelana o Cerámica: Ofrecen una apariencia más natural y duradera, y no se manchan fácilmente.
- Carillas Emax: Están hechas de disilicato de litio, un material altamente estético y duradero.
Carillas de Composite
Las carillas dentales de composite están hechas de una mezcla de resina acrílica y cerámica para lograr una buena dureza. Se someten a una luz alógena potente para hacerlas resistentes. Una ventaja es que son fáciles de restaurar si se rompen o fracturan, permitiendo al dentista repararlas en el consultorio sin necesidad de enviarlas a un laboratorio. Sin embargo, con el tiempo, el color y brillo pueden perderse. El precio de las carillas de composite varía, pero generalmente oscila entre 100 y 150€ por carilla.
Carillas de Porcelana
Las carillas de porcelana imitan el esmalte dental de manera efectiva. Las carillas de porcelana ultrafinas son de mayor calidad y ofrecen la mejor apariencia estética. Las carillas de porcelana de zirconio son fundas dentales más gruesas que brindan una gran resistencia, aunque su uso está indicado solo en casos específicos. Las carillas de porcelana de disilicato de litio están construidas con una combinación de cerámica y vidrio, garantizando una vida útil mayor que otros materiales similares.

Precio de las Carillas de Porcelana
El coste de las carillas de porcelana es más elevado que las de composite, y varía según el tipo de carilla que se elija. Generalmente, el precio suele variar entre 420€ y 750€ por carilla. Es importante tener en cuenta que el coste está relacionado con la calidad del tratamiento y se deben realizar consultas con el dentista para elegir la carilla adecuada y recibir una evaluación del precio.
Factores que Influyen en el Precio de las Carillas de Porcelana
El precio de las carillas de porcelana depende de varios factores:
- Fabricación: El lugar de fabricación, los materiales utilizados y el tiempo de elaboración influyen en el precio.
- Tecnología: El uso de tecnologías de escaneado e impresión 3D puede afectar el coste.
- Número de Carillas: El precio varía según la cantidad de carillas necesarias.
- Tipo de Carilla: La calidad del material, su duración, resistencia y el resultado estético influyen en el precio. Las carillas Lumineers y Emax son más costosas debido a sus características superiores.

Las carillas de porcelana no se manchan ni se tiñen. Las carillas Emax están hechas de disilicato de litio, un material altamente estético y duradero.
Coronas Dentales: Una Alternativa a Considerar
Para aquellos que buscan una opción para mejorar la estética y la función de dientes dañados, astillados, rotos o manchados, las coronas dentales se presentan como una solución efectiva. Las coronas dentales son recubrimientos o fundas para los dientes que se utilizan para cubrir un diente roto, dañado o debilitado. Son cubiertas hechas a la medida, que ayudan a recuperar la forma, fuerza, tamaño y estética de los dientes afectados.
Materiales Comunes Utilizados en Coronas Dentales
- Metales: Oro, plata, cromo o acero inoxidable. Aunque son resistentes, su apariencia no es tan estética.
- Porcelana o Cerámica: Ofrecen un aspecto similar a los dientes naturales y es un material biocompatible.
- Resina: Un material más económico, pero no tan resistente ni duradero.
- Metal-Porcelana: Combinación de una base de metal con una cobertura de porcelana, brindando una apariencia natural y gran durabilidad.
- Zirconio: Resistentes, biocompatibles y brindan una buena apariencia.
Factores que Influyen en el Precio de una Corona Dental
- Tipo de Material: Las de metal suelen ser las más económicas, mientras que las de zirconio son las más costosas.
- Complejidad del Procedimiento: Si se requieren procedimientos adicionales, como una reconstrucción dental, esto aumenta el precio.
- Ubicación Geográfica: Los costes pueden ser mayores en zonas urbanas.
- Experiencia del Odontólogo: Un profesional con experiencia puede incrementar los honorarios.
- Costos Adicionales: Consultas, radiografías y seguimiento.
Comparación de Precios Según el Material de la Corona
El precio de una corona dental puede variar significativamente según el material:
| Material de la Corona | Precio Estimado (Euros) |
|---|---|
| Metal | 70 - 150 |
| Porcelana | 400 - 850 |
| Zirconio | 350 - 500 |
| Metal-Porcelana | 360 - 450 |
| Resina Compuesta | Aproximadamente 40 |
Carillas Dentales | ¿Qué son y Cuánto cuestan? | Precios actuales
¿Cómo Elegir la Mejor Opción?
La elección entre carillas de composite, porcelana o coronas dentales dependerá de tus necesidades individuales, presupuesto y expectativas estéticas. Es fundamental consultar con un profesional dental para obtener una evaluación personalizada y un plan de tratamiento adecuado.

En la Clínica Dental Dobleese, entendemos que el costo de las carillas dentales puede ser significativo. Por ello, ofrecemos opciones de financiación del tratamiento dental para facilitar su acceso.
Si tiene alguna pregunta o desea agendar una consulta, no dudes en ponerte en contacto con nosotros. Clínica dental Sevilla y Dos Hermanas. Especialistas en implantes dentales y estética dental, garantizando en cada tratamiento una salud dental plena.