Las carillas dentales son una excelente solución para corregir pequeñas imperfecciones que afectan el color, la forma, el tamaño y la posición de tus dientes, permitiéndote lucir una sonrisa más saludable, juvenil y armónica. Entre los materiales más utilizados para su fabricación se encuentran el disilicato de litio y el composite. A continuación, exploraremos en detalle todo lo que necesitas saber sobre las carillas de composite, incluyendo sus precios, tipos, ventajas y desventajas.

¿Qué son las Carillas Dentales?
Las carillas dentales son unas finas láminas que se adhieren a la superficie frontal (visible) de los dientes con el objetivo de mejorar su apariencia. Estas láminas pueden estar hechas de diferentes materiales, como la porcelana, el composite o el disilicato de litio, y se diseñan a medida de cada paciente.
¿Para qué sirven las carillas dentales?
Las carillas dentales sirven para corregir pequeños defectos que afectan al color, el tamaño, la forma o la posición de los dientes. Entre las imperfecciones que pueden solucionar podemos destacar las siguientes:
- Dientes amarillos o con manchas
- Desgastes en el esmalte
- Diastemas (espacios entre los dientes)
- Leves malposiciones dentales
- Fisuras o fracturas
En cualquiera de los casos anteriores es necesario que el odontólogo realice una valoración del paciente para determinar si las alteraciones de sus dientes pueden ser corregidas con carillas.

¿Cuándo es Recomendable Ponerse Carillas en los Dientes?
A continuación, te detallamos los casos concretos en los que puede resultar recomendable ponerse carillas para mejorar la apariencia de la sonrisa:
- Dientes amarillos o con manchas: Las carillas se pueden utilizar en pacientes que presentan dientes amarillos, decolorados o con manchas. Esto puede deberse a distintas circunstancias (alimentación, tabaco, envejecimiento, fluorosis, consumo de tetraciclinas…).
- Resistencia al blanqueamiento dental: las carillas son un excelente complemento al blanqueamiento. Cuando las tinciones son muy severas, el blanqueamiento puede no ser capaz de eliminarlas por completo. Por tanto, en muchos casos resulta recomendable ponerse carillas en los dientes después del blanqueamiento.
- Dientes desalineados: Las carillas también pueden ofrecer un buen resultado estético a los pacientes que tienen ligeras malposiciones dentales, ya que en ocasiones permiten disimularlas. Eso sí, hay que tener en cuenta que para corregir la mayoría de las maloclusiones dentales es necesario recurrir a la ortodoncia.
- Dientes con formas o tamaños irregulares: Las carillas se utilizan para corregir pequeños defectos que afectan a la forma de los dientes. Por ejemplo: unos caninos (colmillos) demasiado puntiagudos, un diente más pequeño de lo normal, etc.
- Diastemas: Las carillas también están recomendadas para disimular los diastemas o espacios entre los dientes.
- Dientes desgastados: Las carillas se pueden colocar en dientes que presentan desgastes en el esmalte. Esto puede tener su origen en una mordida inadecuada o en el bruxismo. Sin embargo, en estos casos suele ser necesario utilizar ortodoncia o colocar una férula de descarga previamente, dependiendo del caso. De no hacerlo, los desgastes volverán a aparecer.
- Dientes fisurados o fracturados: Las carillas también pueden estar indicadas en determinados casos de fisuras o fracturas leves en los dientes.
Tipos de Carillas Dentales
Existen diferentes tipos de carillas dentales, cada una con sus propias ventajas y características. La elección del tipo de carilla dependerá de las necesidades específicas del paciente y de las recomendaciones del odontólogo.

Carillas de Composite
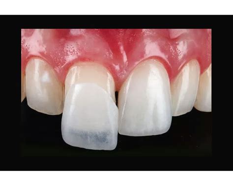
Estas carillas están confeccionadas con composite, un tipo de resina que cuenta con tres cualidades: se adhiere al diente, es moldeable y permite imitar una infinidad de tonos. Las principales ventajas de las carillas de composite son su proceso de colocación sencillo, que no requieren tallar los dientes y su precio. El composite se aplica directamente sobre el diente, normalmente en una única sesión. Son más económicas que las carillas de porcelana o disilicato de litio, pero también suelen durar menos tiempo.
Las carillas de composite son una opción efectiva y más económica que no compromete demasiado las piezas dentales. Están hechas de un material de resina compuesta que se adapta al color natural del diente. Son ideales para corregir pequeñas imperfecciones, como dientes ligeramente torcidos o manchados. A diferencia de las carillas de porcelana, las de composite pueden aplicarse en una sola visita al dentista, ofreciendo una solución más rápida y menos invasiva, aunque requieren más mantenimiento.
El composite es un tipo de resina que ofrece una calidad más que aceptable: es muy resistente y permite mejorar la apariencia de los dientes de una manera muy natural. De esta manera, ayudan a corregir pequeños defectos en las piezas dentales, como aquellos relacionados con su color, tamaño o forma.
Existen dos tipos de carillas de composite:
- Directas: Son las carillas que se confeccionan directamente en la boca del paciente.
- Indirectas: Son las carillas que se confeccionan fuera de la boca del paciente. Dichas modificaciones requieren, por tanto, más tiempo. Todo ello da lugar a que, en la mayoría de los casos, las carillas de composite indirectas no se puedan confeccionar en una sola sesión.
Las carillas de composite en Denty Dent son una solución para mejorar la estética dental al aplicar una capa delgada de resina compuesta en los dientes. Ofrecen varios beneficios, como corrección de problemas estéticos, rapidez en el procedimiento, mínima eliminación de esmalte, personalización para lograr un aspecto natural, durabilidad y facilidad de reparación.
En este paso, se puede requerir un ligero desgaste del esmalte dental en la superficie frontal de los dientes que recibirán las carillas. Se toman impresiones de los dientes preparados para las carillas. En la cita de colocación, el dentista limpiará y preparará tus dientes. Luego, aplicará una resina adhesiva a tus dientes y colocará cuidadosamente las carillas de composite en su lugar, asegurándose de que estén alineadas y en la posición adecuada.
Ventajas de las carillas de composite en Denty Dent:
- Corrección de problemas estéticos
- Rapidez en el procedimiento
- Mínima eliminación de esmalte
- Personalización para lograr un aspecto natural
- Durabilidad
- Facilidad de reparación
Carillas mínimamente invasivas
Estas carillas están fabricadas con disilicato de litio, un material que se caracteriza por su alta calidad, resistencia y naturalidad. El principal beneficio de las carillas de mínima invasión es que su proceso de planificación, diseño y fabricación es guiado y 100% digital.
Este protocolo disminuye el tiempo total de tratamiento, reduce el margen de error humano y permite que el tallado del esmalte sea mínimo (similar al grosor de un cabello). Por tanto, las carillas mínimamente invasivas requieren muy poca o ninguna preparación del diente antes de su colocación. Esto significa que el esmalte dental no se altera significativamente, lo que las convierte en una opción menos agresiva para el diente. Esto contrasta con el protocolo seguido en las tradicionales carillas de porcelana, que requieren un tallado mayor del diente.
Carillas de porcelana
Esta tipología es la opción más popular debido a su aspecto natural y a su resistencia a las manchas. Aunque suelen tener un precio superior al de otras alternativas, destacan por su durabilidad y habilidad para corregir defectos como dientes astillados o desgastados. Este tipo de carillas dentales puede requerir múltiples visitas al dentista para su colocación, debido a que previamente es posible que haya que realizar un tallado de los dientes.
Carillas de zirconio
Están fabricadas con óxido de zirconio, un material cerámico resistente y no poroso, que imita perfectamente el esmalte natural del diente y resiste la decoloración y las manchas. Son ideales para quienes buscan resultados óptimos sin comprometer la funcionalidad de la sonrisa.
¿Qué tipo de carillas dentales son las adecuadas para ti? - Dra. Rosa Pisón
Precios de las Carillas Dentales
¿Quieres saber cuánto cuestan las carillas dentales? El precio de las carillas puede variar en función del material, la cantidad de dientes tratados y la complejidad del caso. Además, contamos con planes de financiación para facilitar el acceso a los tratamientos.
Los precios de las carillas dentales dependen principalmente del material del que están hechas, el caso específico del paciente o la clínica dental. Algunos valores de referencia, teniendo en cuenta el precio de una carilla por diente, son:
- Carillas de porcelana: 400 - 1.000€
- Carillas composite: 150 - 400€
- Carillas zirconio: 500 - 1.000€
Es importante tener en cuenta que el seguro dental no suele cubrir el coste de las carillas dentales.
El coste de las carillas dentales en Madrid puede variar significativamente dependiendo del material, la cantidad de piezas y la técnica empleada. En nuestra clínica, ofrecemos una relación calidad-precio clara que asegura resultados sobresalientes.
Sin embargo, existen otros factores que juegan un papel fundamental en el precio del tratamiento. Ten en cuenta que, para recibir un presupuesto cerrado, es fundamental conocer tanto la valoración como el criterio de un especialista en Estética Dental.
Ejemplos de precios de carillas dentales:
| Número de carillas | Pago único | Notas |
|---|---|---|
| 6 carillas | 1.107€ | 1ª cita gratis, estudio de sonrisa sin compromiso, férula de descarga no incluida |
| 8 carillas | 1.396€ | 1ª cita gratis, estudio de sonrisa sin compromiso, férula de descarga no incluida |
| 10 carillas | 1.671€ | 1ª cita gratis, estudio de sonrisa sin compromiso, férula de descarga no incluida |
Financiación:
- Importe mínimo: 432 €. Ejemplo de financiación para un importe de 1.107.00 € en 36 meses. Comisión de formalización del 2,0%: 22,14 € a pagar en la primera cuota. Primera cuota de 56,55 €. 34 cuotas de 34,41 € y una última cuota de 34,35 €. TIN 7,45% TAE 9,18%.Total intereses: 131,70€. Coste total del crédito: 153,84€. Importe total adeudado y precio total a plazos: 1.260,84€. Precio de adquisición al contado: 1.107,00€. Sistema de amortización francés. Financiación ofrecida por Banco Cetelem S.A.U. válida hasta el 31/12/2025.
- Importe mínimo: 576 €. Ejemplo de financiación para un importe de 1.396,00€ en 48 meses. Comisión de formalización del 2,00%: 27,92€ a pagar en la primera cuota. Importe financiado: 1.396,00€. Primera cuota de 61,64€. 46 cuotas de 33,72€ y una última cuota de 33,81€. TIN 7,45% TAE 8,83%. Total intereses: 222,65€. Coste total del crédito: 250,57€. Importe total adeudado y precio total a plazos: 1.646,57€. Precio de adquisición al contado: 1.396,00€. Sistema de amortización francés. Financiación ofrecida por Banco Cetelem S.A.U. válida hasta el 31/12/2025.
- Importe mínimo: 720€. Ejemplo de financiación para un importe de 1.671,00€ en 60 meses. Comisión de formalización del 2,00%: 33,42€ a pagar en la primera cuota. Importe financiado: 1.671,00€. Primera cuota de 66,86€. 58 cuotas de 33,44€ y una última cuota de 33,73€. TIN 7,45% TAE 8,62%. Total intereses: 335,69€. Coste total del crédito: 369,11€. Importe total adeudado y precio total a plazos: 2.040,11€. Precio de adquisición al contado: 1.671,00€. Sistema de amortización francés. Financiación ofrecida por Banco Cetelem S.A.U. válida hasta el 31/12/2025.
Ventajas y Desventajas de las Carillas Dentales
Ventajas
- Versatilidad: Las carillas son muy versátiles ya que permiten corregir múltiples problemas que afectan al aspecto estético de los dientes.
- Mejora de la estética: Al corregir los pequeños defectos de los dientes, las carillas dentales aportan a la sonrisa un aspecto más saludable, juvenil, cuidado y armónico.
- Mínimamente invasivas: Este es uno de los grandes beneficios que ofrecen algunas carillas actuales. Por ejemplo, las de composite no necesitan tallado.
- Mantenimiento sencillo: En términos generales, podemos decir que las carillas dentales no requieren cuidados difíciles o especiales. Es necesario mantener una buena higiene oral, tener precauciones al comer alimentos duros y acudir al dentista entre una y dos veces al año. Además, en la mayoría de los casos será necesario usar una férula de descarga para dormir. Esto ayudará a proteger las carillas de los desgastes y contribuirá a que duren más tiempo.
- Mejora significativa en la apariencia de los dientes.
- Las carillas, especialmente las de porcelana y zirconio, destacan por su resistencia a las manchas y durabilidad, requiriendo poco mantenimiento más allá de una buena higiene bucal.
- Tratamiento de estética dental poco invasivo: su colocación es realmente sencilla y generalmente indolora.
Desventajas
- Precio relativamente alto, especialmente para las de porcelana y zirconio.
- Proceso irreversible en algunos casos de carillas de porcelana que requieren tallado previo de los dientes.
- No son una solución para problemas dentales más complejos como dientes muy desalineados o problemas de maloclusión.
Procedimiento para Colocar las Carillas Dentales
Dado que existen distintos tipos de carillas dentales, cada una de ellas sigue un protocolo de colocación específico. Sin embargo, todas comparten los principales pasos del proceso.
- Estudio bucodental completo: consta de una exploración oral y la realización de radiografías (panorámicas y periapicales) y fotografías (intraorales y extraorales).
- Preparación de los dientes: con algunas carillas hay que realizar una mínima reducción del esmalte dental. Este paso suele ser necesario en las carillas de porcelana, pero no en las de composite.
- Toma de impresiones: tras preparar los dientes, en el caso de que haya que hacerlo, se toman medidas de los mismos para confeccionar las carillas de manera personalizada.
- Fabricación de las carillas: la confección puede realizarse directamente en la clínica dental (en el caso de las de composite) o encargarse al laboratorio (en el caso de las de disilicato de litio).
- Colocación de las carillas: en función del proceso de confección, la técnica de colocación también varía. Las carillas de composite se crean directamente sobre el diente, en una sesión en la clínica dental. En cambio, las carillas mínimamente invasivas (disilicato de litio) se fabrican en el laboratorio y posteriormente se colocan en la clínica dental.
Casos en los que no están recomendadas las carillas dentales
A pesar de que las carillas están recomendadas en una gran cantidad de situaciones, lo cierto es que también presentan alguna contraindicación. Las más relevantes son las siguientes:
- Mordida borde a borde: en este tipo de mordida, los dientes superiores chocan directamente contra los inferiores cuando la persona cierra la boca. Es decir, los dientes superiores no quedan por delante de los inferiores, como ocurre en una oclusión correcta. La mordida borde a borde, por tanto, provoca que las carillas se rompan y se caigan. En estas situaciones, al igual que en otros casos de maloclusión, será necesario recurrir a la ortodoncia antes de colocar las carillas.
- Bruxismo que no recibe tratamiento: algo parecido sucede con el hábito de apretar y/o rechinar los dientes. Los pacientes con bruxismo tienden a presentar grandes desgastes en sus piezas dentales, lo que las debilita y hace más propensas a fracturas.
Alternativas a las carillas dentales
Dependiendo del resultado que estemos buscando, o el tratamiento que necesitemos, existen algunas alternativas a las carillas:
- Empaste dental: útil para corregir imperfecciones. Es menos invasivo y más económico que las carillas.
- Coronas dentales: cubren el diente entero y se utilizan en casos de caries severas o daño considerable.
- Blanqueamiento dental: puede ser una solución efectiva para mejorar el color de los dientes sin intervenciones invasivas.
- Tratamientos de ortodoncia: incluye ortodoncia invisible o brackets para corregir casos estéticos más complejos, como apiñamientos dentales.