Las caries dentales son uno de los problemas bucodentales más frecuentes, pero también uno de los más evitables. Estas lesiones destruyen el esmalte y la dentina de los dientes y están causadas por bacterias que transforman los azúcares de la comida en ácidos. La caries dental es una enfermedad infecciosa que destruye progresivamente los tejidos duros del diente.
Está causada por los ácidos que generan las bacterias presentes en la boca al descomponer los azúcares de los alimentos. Las caries aparecen cuando la higiene bucal no es suficiente para eliminar la placa bacteriana. Por tanto, la placa bacteriana es la principal responsable de la aparición de la caries.
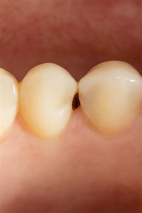
Las caries se forman cuando las bacterias, presentes de manera natural en la boca, se juntan con los restos de alimentos que se quedan en la cavidad oral después de las comidas, creando ácidos que dañan el esmalte. A menudo, las caries se desarrollan de forma silenciosa, sin dolor ni molestias aparentes, hasta que ya han afectado a capas profundas del diente.

¿Qué es una Muela Picada?
Es frecuente escuchar la expresión “dientes podridos” para hacer referencia a una cavidad bucodental con caries severas. De forma común, se refiere a un molar afectado por caries. La muela picada es un problema dental común que afecta a personas de todas las edades. Esta afección, también conocida como caries dental, se manifiesta en forma de pequeños agujeros que aparecen en las capas exteriores de los dientes, llamadas esmalte y dentina, y que protegen la pulpa dental.
Las bacterias que provocan la caries convierten los azúcares simples en placa ácida. Esta placa debilita el esmalte y la dentina, haciendo que se disuelvan con la saliva y formando una cavidad o agujero en el diente.
Existen varias formas de prevenir el dolor de muelas. Usar cepillos de dientes de consistencia suave o media. Esa es la clave fundamental para tratar una caries.
Los principales factores que contribuyen al desarrollo de dientes podridos incluyen:
- Dieta alta en azúcares y almidones: Consumir alimentos y bebidas azucaradas regularmente.
- Mala higiene bucal: No cepillarse los dientes al menos dos veces al día y no usar hilo dental puede permitir que la placa se acumule y produzca ácidos.
- Boca seca: La saliva ayuda a neutralizar los ácidos y a limpiar los alimentos de los dientes.
Síntomas de una Muela Picada
A continuación, te detallamos los signos que pueden advertir de la presencia de caries. El síntoma principal que alerta de la presencia de una muela picada es el dolor localizado y punzante. No obstante, el dolor de muelas puede responder a diversos problemas bucales, por lo que la mejor forma de identificar una muela picada es acudiendo a un profesional experto en odontología.
La molestia suele ser menor en las primeras fases de desarrollo de la caries, pues a medida que va avanzando hacia el interior del diente, el dolor aumenta considerablemente hasta ser constante cuando la muela ya está rota. Otro de los síntomas de una muela picada es la sensibilidad dental. El dolor puede aparecer cuando la muela dañada entra en contacto con alimentos o bebidas frías, permaneciendo incluso cuando se ha retirado el estímulo externo. Esta afección también puede dañar las encías, causando inflamación y sangrado de las mismas.
Por otro lado, las muelas picadas pueden presentar manchas marrones o amarillentas en la zona infectada, muestra de la desmineralización y avance de la caries. El mal aliento persistente (halitosis) y el sabor desagradable en la boca también pueden ser signos de una infección dental debido a una muela picada.

Tratamientos para Curar Dientes Picados
El tratamiento para la caries depende de la fase en la que se encuentra. Cuanto más profunda sea la caries, más minucioso y complejo deberá ser el tratamiento a realizar por el odontólogo. La única forma de curar una muela picada es mediante un tratamiento en el dentista.
Según la gravedad de la lesión, el tratamiento puede variar. Para curar una muela picada, es necesario un tratamiento en una clínica dental, donde un profesional evaluará el estado de la muela para poner en marcha un procedimiento u otro.
Rutina Anti Caries ¿Cómo se lava los dientes un dentista en casa?
Empaste Dental
Un empaste dental es el tratamiento para curar las caries de los dientes. En este artículo te contamos qué es un empaste dental y cómo se realiza. La obturación o empaste dental es el tratamiento más común y efectivo para curar los dientes picados. Se aplica en casos de caries menores, donde el dentista eliminará la parte afectada de la muela y la rellenará con resina compuesta o porcelana, entre otros posibles materiales. Se realiza bajo anestesia local.
Con este proceso, eliminamos y limpiamos todo rastro de la lesión, evitando que las bacterias sigan su avance y lleguen a la estructura interna de las piezas. Una obturación dental es un tratamiento sencillo y relativamente rápido, que se realiza en una sola sesión y tarda entre 40 y 50 minutos.
Pasos para realizar un empaste dental:
- Aplicación de anestesia local.
- Limpieza de la caries dental.
- Relleno de la cavidad dentaria. Para rellenar el hueco dejado tras la limpieza de la caries utilizamos, generalmente, composite.
- Pulido y ajuste de la mordida.
En caso de que sea un molar el que presente la caries, hay que proceder de la misma forma que con cualquier otra pieza. Para curar una muela picada, primero aplicamos anestesia. El segundo paso es acceder a la zona picada y limpiarla por completo. Los empastes dentales de resina o composite son los que se realizan de manera más habitual.
Ante casos más complejos, por ejemplo cuando una persona presenta muchas caries que debemos tratar, es posible recurrir al óxido nitroso. Conviene esperar a que el efecto de la anestesia desaparezca por completo, lo cual sucede al cabo de entre 1 y 3 horas.
Es posible que tras hacer el procedimiento el paciente sienta sensibilidad al comer alimentos muy fríos o calientes e incluso al cepillarse los dientes. Esta sensación puede persistir durante 3 ó 4 días. Una obturación puede durar entre 8 y 10 años, pero lo cierto es que hay factores que afectan directamente a su resistencia.
Sentir dolor o sensación de frío al masticar son claros indicios de que nuestro empaste dental se ha deteriorado. De notar aflicción, es posible que haya alguna fisura en el material o que la caries no se haya eliminado por completo.
Coronas Dentales
Se suelen utilizar en casos de daño extendido. En este tratamiento se realiza un limado del diente para ajustar una cubierta. Se mantiene el diente original, pero se coloca una corona en la superficie para protegerlo.
Endodoncia
En casos más graves de muela picada, se puede realizar una endodoncia con el fin de vaciar el interior de la muela, donde están las terminaciones nerviosas y vasos sanguíneos. Así, se elimina la pulpa dental, se limpia el conducto radicular y, finalmente, se sella la muela. Este tratamiento concreto se corresponde con la fase de la pulpitis o de la necrosis pulpar. En otras palabras: cuando ya la caries ha alcanzado y afectado la pulpa del diente. Se realiza para poder conservar un diente o muela ya muy dañada o infectada sin necesidad de extráerselo al paciente. Se trata de reemplazar la pulpa del diente o molar por un relleno, a veces tras haber limpiado el canal radicular.
Extracción e Implante Dental
En casos en los que el diente del paciente no se puede reconstruir, puede ser necesario extraer la pieza. Posteriormente, se pueden considerar opciones de reemplazo como implantes dentales o puentes. Esta solución se suele dar cuando se recurre tarde a un profesional y la afección se ha desarrollado completamente.
Si hemos tenido que realizar una extracción dental, podemos aportar funcionalidad y estética a la sonrisa mediante un tratamiento con implantes dentales.
Prevención de las Caries
Prevenir los dientes podridos es más fácil y menos costoso que tratarlos. Los dientes se pudren principalmente debido a la descomposición del esmalte dental causada por ácidos que se producen cuando las bacterias en la boca descomponen los alimentos ricos en azúcares y almidones. La falta de una buena higiene bucal y hábitos alimenticios poco saludables pueden acelerar este proceso.
Como siempre, prevenir es mejor que curar, por lo que estos métodos de prevención de la erosión dental pueden ayudarte a evitar este desagradable problema.
- La higiene diaria en casa es esencial para retirar las bacterias y restos de alimentos causantes de las caries.
- Para que el lavado dental sea efectivo, debe durar al menos 2 minutos y hay que pasar el cepillo por todos los dientes, haciendo especial hincapié en las muelas.
- Además, recuerda que realizar una higiene profesional es la forma de retirar por completo los restos de sarro.
- Utiliza un cepillo dental de calidad, con cerdas suaves.
Ahora que ya sabes qué provoca las caries en los dientes, puedes tomar medidas preventivas para protegerlos. Si experimentas dolor, sensibilidad, mal aliento persistente, manchas oscuras o cavidades visibles en tus dientes, es posible que tengas un diente podrido.
Es muy frecuente realizar obturaciones, ya que la caries dental es una de las enfermedades más comunes de nuestra boca. Ahora que ya sabes qué es un empaste dental, cómo se realiza y las ventajas que tiene para tu salud bucodental, no lo dejes pasar más tiempo y ve a tratarte esa caries que lleva un tiempo molestándote.

Tipos de Caries
- Caries interproximales o interdentales: se forman en los espacios interdentales. No son fáciles de detectar por ello se recomienda realizar dos revisiones al año.
- Caries radicular: es una de las causas más importantes de pérdida de piezas dentales.
- Caries recurrentes o secundarias: aparecen alrededor del borde de los empastes o coronas y fundas.
Remedios Caseros para Aliviar el Dolor de Muelas
Muchas veces la causa del dolor, al menos en la etapa inicial de la caries, es la concentración de bacterias en las muelas infectadas. Una vez que hayamos de combatir este mal, ¿cómo aliviar el dolor de muelas? Existen diversos remedios caseros.
- Hilo dental y colutorio o enjuague bucal.
- Enjuague de agua tibia y sal. Con unos 100 ml de agua templada y media cucharada de sal, enjuagando y haciendo gárgaras durante 1 o 2 minutos, y escupiendo a continuación.
- Perejil: el perejil es un gran antiséptico natural.
Sin embargo, estos remedios ayudan a aliviar el dolor de la muela picada, no a eliminar este mal. A este respecto es fundamental contar con profesionales.
El Flúor y las Caries
En las etapas iniciales de la caries, el tratamiento puede involucrar la aplicación de flúor. Este mineral ayuda a restaurar el esmalte dental y puede prevenir el avance de la caries. En las etapas muy iniciales, el daño por caries puede ser detenido o revertido con tratamientos de flúor.
Flúor: el tratamiento con flúor puede reparar los dientes cariados y muelas picadas cuando el proceso está en su inicio. Es el momento en el cual tan sólo está dañado el esmalte. En tales etapas tempranas, se puede restaurar el esmalte disuelto e incluso revertir el proceso de caries. Este tipo de tratamientos, a base de fluoruro, incluyen una cantidad de flúor muy superior a la que se encuentra en el agua del grifo, dentífricos, y enjuagues o colutorios bucales.
Tabla Resumen de Tratamientos para Caries
| Tratamiento | Descripción | Cuándo se utiliza |
|---|---|---|
| Aplicación de Flúor | Aplicación de flúor para restaurar el esmalte. | Etapas iniciales de la caries. |
| Empaste Dental | Eliminación del tejido infectado y relleno con composite. | Caries que han avanzado más allá de la etapa inicial. |
| Corona Dental | Cubrir la corona natural del diente con una funda hecha a medida. | Fase avanzada del proceso de caries. |
| Endodoncia | Reemplazar la pulpa del diente con un relleno tras limpiar el canal radicular. | Cuando la caries ha alcanzado y afectado la pulpa del diente. |
| Extracción Dental | Remover el diente dañado. | Cuando no es posible salvar la pieza dental. |