Las encías inflamadas son una señal de que algo no está funcionando correctamente a nivel bucodental y un signo común de infección bucodental. Cuando se sufre inflamación de las encías es habitual que la zona se muestre hinchada e, incluso, enrojecida. La inflamación de encías - técnicamente llamada inflamación gingival - es extremadamente común y suele ser una señal de advertencia de nuestro cuerpo.
Desde la clínica dental queremos hacer hincapié en la necesidad de conocer las causas que hay detrás de las encías inflamadas. En este artículo te explicaré de forma clara por qué se inflaman las encías y qué puedes hacer para tener encías sanas nuevamente. Ten en cuenta que tus encías deben presentar un aspecto rosáceo y sin signos de inflamación. Su prevalencia es muy elevada, según indica la Sociedad Española de Periodoncia y Osteointegración (SEPA).
La inflamación de las encías responde a numerosos motivos. Generalmente se trata de un signo que muestra algo que no está funcionado correctamente a nivel bucodental. En ocasiones se trata simplemente de un problema pasajero, que no resulta en absoluto complejo. Dependiendo de la causa que ha originado la afección el tratamiento para las encías inflamadas puede variar notablemente.

Causas comunes de la inflamación de encías
La principal causa de las encías inflamadas es la acumulación de placa bacteriana debida a una higiene oral deficiente. Sin embargo, existen varios factores y condiciones que pueden provocar o empeorar la inflamación gingival. Estas son las causas más habituales:
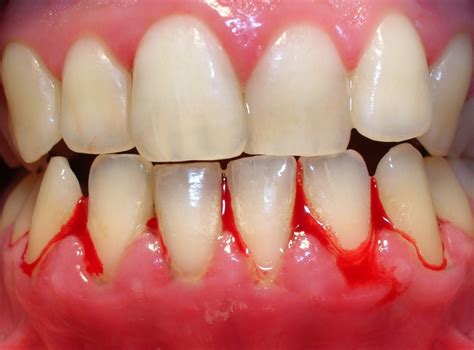
- Placa bacteriana y gingivitis (higiene deficiente): La boca está llena de bacterias que forman una película pegajosa llamada placa dental sobre los dientes. Si no la eliminas correctamente con el cepillado y el hilo dental, la placa se acumula especialmente en el borde de las encías. Estas bacterias liberan toxinas que irritan e inflaman las encías, provocando gingivitis. La gingivitis es la etapa inicial de la enfermedad de las encías: causa enrojecimiento, hinchazón y sangrado leve. Es muy común y reversible con una buena limpieza; pero si la placa persiste, puede endurecerse formando sarro y llevar a etapas más graves.
- Sarro y periodontitis avanzada: Cuando la placa no se retira a tiempo, se calcifica formando sarro (cálculo dental), un depósito duro adherido al diente que no se puede quitar con el cepillo normal. El sarro acumulado debajo de la línea de la encía mantiene la encía constantemente inflamada. Si no se trata la gingivitis inicial, puede progresar a periodontitis, que es una infección más profunda de las encías.
- Cambios hormonales (pubertad, menstruación, embarazo): Las fluctuaciones hormonales pueden volver tus encías más sensibles. Por ejemplo, durante la pubertad aumentan ciertas hormonas que pueden intensificar la respuesta inflamatoria de las encías ante la placa. En mujeres adultas, muchos notan que justo antes de la menstruación las encías se vuelven más rojas o sangran con facilidad (gingivitis menstrual). De hecho, es frecuente la gingivitis del embarazo: encías muy inflamadas, rojas y que sangran en el segundo o tercer trimestre.
- Deficiencias nutricionales: Una dieta pobre en ciertos nutrientes debilita la salud de las encías. En particular, la falta de vitamina C es conocida por causar encías inflamadas y sangrantes. La carencia de vitaminas del grupo B o de hierro también puede manifestarse con encías más enrojecidas e inflamadas de lo normal.
- Medicamentos o enfermedades sistémicas: Algunos fármacos pueden tener efectos secundarios sobre las encías. Por ejemplo, ciertos medicamentos para la epilepsia, inmunosupresores o incluso bloqueadores de los canales de calcio pueden causar crecimiento excesivo de las encías (hiperplasia gingival) e inflamación. Además, padecer enfermedades sistémicas como diabetes mal controlada o trastornos inmunológicos puede aumentar la propensión a infecciones en las encías y dificultar su curación.
- Tabaco y otros irritantes químicos: El fumar cigarrillos (o consumir tabaco en cualquier forma) es uno de los peores enemigos de las encías. El tabaco no solo introduce toxinas en la boca que irritan el tejido gingival, sino que además reduce la vascularización de las encías y “enmascara” la inflamación. Los fumadores tienen mayor riesgo de gingivitis y, sobre todo, de periodontitis severa. Asimismo, el consumo habitual de alcohol fuerte puede irritar crónicamente las encías y favorecer su inflamación.
- Prótesis dentales o aparatos mal ajustados: Si utilizas una prótesis dental removible (como una dentadura postiza parcial o completa) que no ajusta bien, es muy probable que esté provocando roces constantes en la encía. Esa irritación mecánica repetida genera inflamación y enrojecimiento en el área de contacto. Del mismo modo, aparatos de ortodoncia fija (brackets) pueden contribuir a encías inflamadas, bien sea porque dificultan la higiene permitiendo mayor acumulación de placa alrededor, o porque alguna banda/el alambre pueda estar lesionando ligeramente la encía próxima.
👉 PERIODONTITIS o PIORREA: Tratamiento eficaz para CURAR tus ENCÍAS 👄
Otras causas menos frecuentes
- Infecciones virales como el herpes simple.
- Infecciones por hongos, como la candidiasis oral.
- Reacciones alérgicas a alimentos o a materiales dentales.
- Traumatismos o heridas en la encía (por cepillado muy brusco, por ejemplo).
- Enfermedades autoinmunes como el líquen plano oral.
Es importante recordar que tener uno o varios factores de riesgo no implica que indefectiblemente sufrirás encías inflamadas, pero sí significa que debes poner mayor atención a la salud de tus encías.
¿Cómo saber si tienes las encías inflamadas? Signos y síntomas
Es posible que te preguntes cómo saber si realmente tienes las encías inflamadas o cuáles signos acompañan a esta condición. Los síntomas de las encías inflamadas son tan variados como sus causas:
- Enrojecimiento y cambio de color: Las encías sanas suelen ser rosadas pálidas. Si están inflamadas, toman un tono rojo intenso o incluso violáceo.
- Hinchazón o abultamiento: Al inflamarse, el tejido gingival se ve engrosado, abultado o sobresaliendo más de lo normal. Las papilas (triangulitos de encía entre diente y diente) se ven agrandadas.
- Sensibilidad y dolor de encías: Las encías inflamadas a menudo están sensibles al tacto - por ejemplo, molestia al cepillarte o morder alimentos duros. Pueden doler de forma sorda o pulsátil, especialmente si la inflamación es por infección aguda.
- Sangrado gingival: Es uno de los síntomas más comunes. Puedes notarlo al escupir la pasta dentífrica con hilos de sangre, o al pasar el hilo dental. En encías inflamadas incluso morder una manzana o pan duro puede provocar sangrado.
- Encías retraídas: Cuando la inflamación es crónica (como en periodontitis), la encía puede ir retrocediendo y dejando expuesta una porción mayor del diente. Notarás los dientes “más largos” o pequeños espacios negros entre dientes donde antes había encía.
- Mal aliento persistente: El halitosis o mal sabor de boca es frecuente cuando hay inflamación e infección en las encías. Las bacterias implicadas liberan compuestos sulfúricos de olor desagradable.
- Supuración (pus) en la encía: En casos de infección periodontal avanzada o absceso dental, la encía inflamada puede llegar a formar un flemón o bolsita de pus. Verás un punto blanco-amarillento en la encía muy roja, acompañado de dolor punzante.
- Movilidad en los dientes: En etapas avanzadas de periodontitis, al haberse dañado el hueso de soporte, los dientes pueden aflojarse.
Además de los síntomas mencionados, existen ciertos factores que aumentan tu riesgo de sufrir encías inflamadas o agravan una inflamación existente. Estos incluyen:
- Tabaquismo
- Diabetes mal controlada
- Cambios hormonales en la mujer
- Sistema inmune comprometido
- Estrés crónico
- Historia familiar (genética)
- Mala posición dental o apiñamiento
- Uso de aparatos dentales
- Dieta rica en azúcares/refrescos

Tratamientos profesionales y cuidados caseros
El tratamiento de las encías inflamadas dependerá de la causa y la gravedad del problema. En términos generales, existen dos ámbitos de actuación: los tratamientos profesionales que se realizan en la clínica dental y los cuidados o remedios caseros que puedes hacer en casa para mejorar la condición de tus encías. Lo ideal es combinar ambos: primero resolver la causa principal en el consultorio y, paralelamente, mantener buenos cuidados diarios.
¿Qué puede hacer el dentista en la consulta?
Además de diagnosticar, el odontólogo podrá realizar un tratamiento inmediato según el caso: por ejemplo, una limpieza dental profesional para eliminar la placa y el sarro acumulado (aliviando la causa de la inflamación), drenar un absceso si lo hubiera, o recetar un enjuague especial o antibiótico si hay infección.
Cuidados y remedios caseros
Además de los tratamientos profesionales, existen cuidados caseros que pueden ayudar a aliviar la inflamación y promover la salud de las encías:
- Cepillado dental: Cepíllate los dientes al menos dos veces al día con un cepillo de dientes suave y pasta dental fluorada.
- Limpieza interdental: Utiliza hilo dental o cepillos interdentales diariamente para eliminar la placa y los restos de comida entre los dientes.
- Enjuagues bucales: Realiza enjuagues bucales con agua tibia y sal o con un enjuague bucal antiséptico recomendado por tu dentista.
- Alimentación equilibrada: Asegúrate de tener una dieta rica en vitaminas y minerales, especialmente vitamina C, para fortalecer las encías.
- Evita el tabaco y el alcohol: Reduce o elimina el consumo de tabaco y alcohol, ya que estos irritantes pueden empeorar la inflamación de las encías.
La importancia de la prevención y el diagnóstico temprano
Siempre que notes tus encías inflamadas de forma persistente, lo recomendable es consultar al dentista para un diagnóstico preciso. Recuerda que el dentista es el profesional capacitado para distinguir la causa exacta de la inflamación. No esperes a que el problema empeore. Si tus encías “se quejan” a través de inflamación o sangrado, sobre todo de forma continua, toma eso como una señal de ¡acude al dentista! antes de que pueda progresar a daños mayores.