En el mundo de la odontología moderna, la demanda de tratamientos estéticos dentales ha experimentado un crecimiento significativo. Los cursos de carillas directas se han convertido en una herramienta esencial para los dentistas que buscan perfeccionar sus habilidades y ofrecer a sus pacientes sonrisas estéticamente agradables y funcionales. Este artículo explora en detalle los aspectos clave de estos cursos, desde las técnicas de estratificación hasta la planificación y el uso de materiales.

La Importancia de la Formación en Carillas Directas
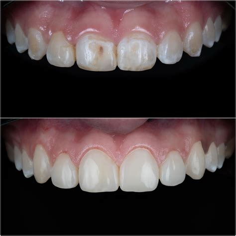
Posiblemente pienses… “otro curso de composites”, pero antes de que pases página, me gustaría preguntarte: ¿alguna vez te han quedado unas carillas de composite como grisáceas? ¿Alguien te ha explicado por qué puede haber sido y te ha enseñado cómo evitarlo? Para realizar un caso de carillas, antes tenemos que hacer un diseño: ¿tienes claros los patrones estéticos de la sonrisa y como reproducirlos?
En el arte de la odontología moderna, la precisión y el detallamiento en la fase de diagnóstico y planificación son fundamentales para alcanzar resultados excepcionales. Este proceso comienza con la obtención de la correcta dimensión vertical, un paso crítico que garantiza el equilibrio y la funcionalidad de la mordida. Los principios de oclusión y desoclusión son explorados a fondo, estableciendo las bases para una sonrisa no solo hermosa sino también funcional.
El manejo del perfil de emergencia, crucial en procedimientos como la gingivectomía o el alargue de corona clínica, se aborda con cuidado, asegurando intervenciones precisas que respetan la estética y la salud bucal. La toma de color de precisión y la utilización de postes preformados se integran en el protocolo, asegurando restauraciones que se mimetizan con el entorno natural del diente. Finalmente, el sellado dentinario inmediato y la creación de una capa híbrida robusta son pasos cruciales que protegen el diente y mejoran la adhesión de las restauraciones.
¿Qué Aprenderás en un Curso de Carillas Directas?
En un curso integral de carillas directas, se cubren varios aspectos esenciales:
- Preparación del caso: En el primer bloque veremos toda la preparación de un caso.
- Técnica de estratificación directa: En un segundo bloque explicaré cómo hacer unas carillas de composite con técnica de estratificación directa.
- Propiedades ópticas y físicas de los composites: Para ello primero repasaremos lo más importante de las propiedades ópticas y físicas de los composites. Gracias a ello sabremos qué composites escoger en cada caso, sin temor a equivocarnos en el resultado final.
Este curso está pensado para que puedas ir avanzando conmigo desde el diagnóstico hasta el resultado final.
Contenido del Curso y Objetivos
Este curso de carillas dentales es para ti si buscas:
- Optimizar la planificación de tus restauraciones con resina de manera estratégica y simplificada.
- Comprender las particularidades de cada tipo de resina para aprovechar al máximo sus beneficios. Aprender cuándo y cómo utilizarlas de manera efectiva.
- Realizar tus tratamientos estéticos con mayor seguridad y confianza.
- Desarrollar destreza manual y precisión para llevar a cabo tus tratamientos con resina compuesta de manera ágil.
- Adquirir conocimientos sobre protocolos de fotografía, diseño digital de sonrisas y estratificación.
- Proporcionar a tus pacientes una estética superior, potenciando así la rentabilidad de tus tratamientos.
- Adquirir técnicas, habilidades y protocolos de venta que impulsarán la rentabilidad de tu clínica.
El ABC del protocolo de Composite
Ofreceremos una formación práctica para aprender el ABC del protocolo de Composite, brindando directrices claras sobre lo que funciona y lo que no en tratamientos directos al paciente. Exploraremos diversos tipos de composites, permitiendo practicar y evaluar texturas, colores y comportamientos específicos de cada marca de producto.
Lo que hemos implementado y deseamos compartir contigo son sesiones prácticas en vivo, realizadas aquí en nuestra clínica. Durante estas prácticas, contarás con la supervisión y el asesoramiento integral del equipo de Eugenia Cervantes, llevándose a cabo directamente en pacientes reales.

¿Qué es el diseño de sonrisa de forma digital y cómo funciona?
¿Qué Incluye el Curso?
- Dedicaremos un día y medio a combinar teoría y práctica, donde analizaremos casos clínicos reales y aplicaremos protocolos de fotografía, diseño digital y estratificación directamente en pacientes reales.
- Se proporcionará todo el material didáctico y práctico necesario.
Instructores Destacados
Dra. Eugenia Cervantes
CEO de Clínica Dental Eugenia Cervantes, sobresale como una líder excepcional en odontología, dedicada y comprometida con la atención centrada en el paciente de calidad. Con una extensa experiencia en diversas áreas de la odontología, su enfoque holístico ha permitido que la clínica continue alcanzando el éxito. Ha liderado a su equipo en la implementación de tecnología innovadora y prácticas de vanguardia para asegurarse de que sus tratamientos sean efectivos y cómodos. Su enfoque empresarial se centra en la atención personalizada, ayudando a crear sonrisas saludables y felices.
Experiencia Académica y Profesional de la Dra. Eugenia Cervantes
A pesar de tener una amplia formación en distintas disciplinas de la especialidad incluyendo un postgrado en Implantología, su formación en Estética Dental, especialidad a la que orientó su carrera profesional, es lo más destacable de su currículum. Cuenta con multitud de cursos y postgrados como el Diploma de Postgrado en Estética Dental por Baylor Collage of Dentistry de Dallas (Texas), Certificado Advanced Restorative of Esthetics por la Universidad de Texas, Diplomado en Odontología Estética por la A.E.E.D, Master Art of Direct Resin Bonding por el Center for Esthetic Excellence (Chicago).
Es miembro de varias sociedades científicas entre las que destacan la American Academy of Cosmetic Dentistry en la que forma parte del President’s Honor Roll. Desde 1997 es Secretario de la Junta de la Asociación Española de Estética Dental y ha sido asesor científico de la Revista del Consejo General de Odontólogos y Estomatólogos de España en el área de Estética Dental.
Su amplio currículum incluye participaciones como Conferenciante en diferentes Congresos tanto de ámbito Nacional como Internacional. Ha dictado conferencias en el Congreso Internacional de Estética Dental celebrado en Cuba, así como ha dictado Cursos en la Universidad de Puerto Rico y es conferenciante habitual en la Academia de Ciencias Médicas de Cataluña y en distintos Colegios Oficiales de Estomatólogos y Dentistas de España. En el año 2000 fue Presidente del Congreso Internacional de Estética Dental que organizó y se celebró en Barcelona.
Siguiendo con el área de docencia, ha sido profesor colaborador de Odontología Integrada del Adulto en la Universidad de Barcelona, ha sido profesor invitado en el Máster de Estética Dental de la Universidad de las Islas Baleares, del Máster de Estética Dental de la Universidad de Valencia, y, ha sido profesor invitado en el Máster de Estética Dental de la Universidad Europea de Madrid.
En el año 2000 creó el Ciclo Excelencia en Composites Anteriores, y que anualmente reúne a profesionales de España y Portugal que acuden para mejorar en el campo de la Estética Dental, y en especial en técnicas complejas con composites. En el año 2011 fue nombrado Director del Postgrado Académico de Estética y Cosmética Dental de la SCOE de la Academia de Ciencias Médicas de Catalunya i Balears, cargo que mantiene hasta la fecha. Profesor invitado en los másteres de Estética y Rehabilitación Estética en las Universidades de Almería, Salamanca, Valladolid y UCAM.
Dr. Felipe Bezerra
Es un gran placer que el profesor Felipe Bezerra les presente el curso Stratify - Excelencia en carillas de resina compuesta. El Dr. Felipe Bezerra es un referente internacional en carillas de resina compuesta. Confía en la experiencia del Dr. Bezerra para llevar tu práctica al siguiente nivel.
El Dr. Postgrado en Implantes por la Facultad de Medicina Dental de la Universidad de Columbia - Nueva York / EE. Postgrado en Facetas de Porcelana con el Prof. Postgrado en Lentes de Contacto de Porcelana con el Prof.

Otros Cursos Relevantes
Además de los cursos mencionados, existen otros programas educativos que pueden complementar tu formación en odontología estética:
- Curso carillas cerámicas en estética dental y rehabilitación oral.
- Curso online de los Dres.
- La estética del sector anterior personalizada y función guiada del sector posterior con el Dr.
- All Abouth esthetics.
- Tratamiento de impactacion.
- Protocolos de la doctora, errores y soluciones en el tratamiento impartido por la carismática Dra.
- Flujo Analógico y Digital con el Dr.
- Máster de Formación Permanente en Dentística y Estética Dental.
- Sonrisa gingival.
- Título Especialista Universitario en Estética Dental”. Dirigido por el Dr. José Rábago con 70% de carga práctica.
- Cirugía Plástica Estética Periodontal.
- Técnica de estratificación simpleCon el Dr.
- Máster de Formación Permanente en Dentística y Estética Dental.
Conclusión
Las resinas compuestas hoy en dıá son utilizado más que nunca el material ideal y más conservador para corregir y cambiar la forma de los dientes anteriores. La versatilidad técnica y su directa y la aplicabilidad inmediata permite a los dentistas resolver y entregar el sueño de una sonrisa perfecta a sus pacientes, dependiendo única y exclusivamente de usted. Sin embargo, para obtener el resultado estético óptimo, una solución funcional y restauración de la longevidad, exige un conocimiento profundo de los conocimientos técnicos para el diagnóstico correctamente, elija los materiales apropiados y utilice herramientas precisas y hábiles mano para cada caso individual. Este curso práctico se centra en el paso a paso para lograr carillas de resina compuesta exitosas. Descubre la Excelencia Dental con el Dr.