Si estás considerando un tratamiento de ortodoncia para mejorar tu sonrisa, es probable que hayas pensado en los brackets de zafiro. Hoy en día, este tipo de brackets estéticos son muy populares debido a que son mucho más discretos que los brackets metálicos. Al estar fabricados con cristal de zafiro, un material transparente, pasan más desapercibidos.
En este artículo, exploraremos en detalle este tipo de brackets, sus ventajas y desventajas, y los compararemos con los brackets metálicos y de cerámica.

¿Qué son los Brackets de Zafiro?
Los brackets de zafiro son un tipo de aparato dental que se utiliza para corregir la posición y la oclusión (mordida) de los dientes. La principal innovación de estos brackets es el material con el que están elaborados. Están hechos a partir de un zafiro sintético que tiene la misma estructura química y composición natural que el zafiro. Debido a esto, son muy resistentes, ¡casi tanto como el diamante!
Brackets de Zafiro Vs. Cerámicos ¿Cuáles son mejores?
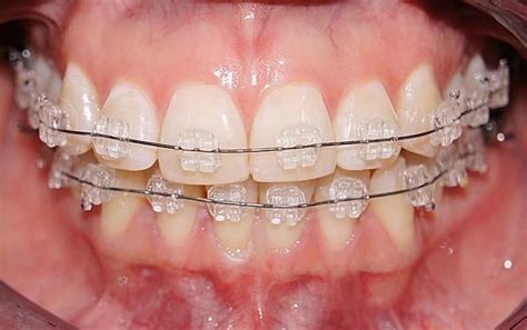
Componentes principales:
- Brackets: Se adhieren al esmalte con un adhesivo especial. El cristal de zafiro se adhiere mejor al diente que la porcelana o el plástico, por lo que es más difícil que se despegue o se caiga.
- Arcos y ligaduras: Los arcos (uno por arcada) conectan todos los brackets entre sí y ejercen la fuerza necesaria para desplazar los dientes. Además, tanto los arcos como las ligaduras son blancos, lo que hace que su uso pase todavía más desapercibido. En este caso, los aros son de metal, pero se suelen recubrir con teflón blanco, lo que los hace prácticamente imperceptibles.

¿Cómo Funcionan los Brackets de Zafiro?
El funcionamiento de los brackets de zafiro es similar al de otros tipos de brackets. Al igual que los brackets convencionales, los brackets de zafiro o blancos tienen como función enderezar la dentadura ejerciendo una ligera fuerza controlada en cada uno de los dientes del paciente.
La ortodoncia con brackets de zafiro está formada por piezas pequeñas que se fijan en cada diente mediante un cemento dental, unidos por un arco metálico sujetos con un elástico en cada uno de los brackets. Es por eso que hoy cada ortodoncista realiza, de acuerdo a los exámenes médicos necesarios, el tratamiento completamente personalizado para que el aparato encaje perfectamente en cada arcada dental. Los problemas bucodentales que solucionan los brackets en zafiro son la maloclusión, los dientes torcidos, los diastemas, la mordida abierta y la mordida cruzada, entre otros.
Proceso de Colocación de los Brackets de Zafiro
La colocación de los brackets de zafiro y las fases posteriores no difieren mucho de otros tratamientos de ortodoncia:
- Fase de estudio: Al igual que ocurre con otros tratamientos de ortodoncia dental, el tratamiento comienza con el diagnóstico de la dentadura del paciente. Para ello, el especialista deberá realizar una serie de sencillas pruebas clínicas como radiografías o fotografías para poder hallar el diagnóstico adecuado y comunicarlo al paciente.
- Limpieza bucodental profesional: Para retirar los restos de sarro y dejar la superficie dental más lisa.
- Cementado: La colocación de los brackets puede hacerse mediante cementado directo (uno a uno) o cementado indirecto.
- Colocación del arco y las ligaduras: A continuación, se introduce el arco a través de los brackets. Posteriormente, cada uno de estos brackets se une al arco con las ligaduras.
- Fase activa: Es la fase en la que se produce el cementado de los brackets de zafiro.
- Acabado: Retirada de los brackets de zafiro. Se produce cuando todos los objetivos anteriores están conseguidos.

Ventajas y Desventajas de los Brackets de Zafiro
Como ocurre con cualquier método de ortodoncia, la elección de los brackets de zafiro conlleva pros y contras.
Ventajas
- Estética: Su transparencia hace que sean mucho menos visibles que los brackets tradicionales.
- Resistencia: El cristal de zafiro se adhiere mejor al diente que la porcelana o el plástico, por lo que es más difícil que se despegue o se caiga. Además, al estar fabricados en un material policristalino inalterable, tu ortodoncia se mantendrá transparente durante todo el tiempo que dure el tratamiento en ambos casos.
- Comodidad: Los brackets de zafiro son algo más cómodos que los metálicos, por lo que su proceso de adaptación también es más corto. Además, el material sintético con el que están hechos tienen una superficie completamente lisa que evita las rozaduras durante todo el tratamiento, evitando incomodidades, pasando casi desapercibidos frente al mundo exterior.
Desventajas
- Precio más elevado: Esta es, probablemente, la principal desventaja de los brackets de zafiro. Pese a todo, la ortodoncia estética con brackets de zafiro tiene también sus desventajas, entre las que cabe señalar el precio, al resultar los aparatos más caros que si están hechos de otros materiales.
- Mayor riesgo en actividades deportivas: En general, con cualquier tratamiento de ortodoncia fija (con brackets) resulta aconsejable utilizar protectores bucales al practicar deportes de contacto, por el riesgo de recibir un impacto y que los brackets se rompan o se claven en los tejidos blandos de la boca (labios, encías…).
- Visibilidad en ciertas condiciones de luz: Aunque son discretos, pueden ser visibles en ciertas condiciones de luz. Al ser transparentes, cualquier posible resto de comida llama más la atención, lo que hace que haya que prestar especial atención a las medidas de higiene.
Duración del Tratamiento con Brackets de Zafiro
La duración de un tratamiento con brackets de zafiro varía según la complejidad de cada caso. La duración de este tratamiento de ortodoncia depende del tipo de problema que se quiere corregir, pero suele extenderse más que en el caso de otros brackets como los metálicos.
Normalmente, los brackets se llevan entre 12 y 24 meses. Sin embargo, algunos factores como la severidad de la maloclusión y la edad del paciente pueden influir en la duración.
Así, en caso de un problema de apiñamiento, el tratamiento es más sencillo y, en consecuencia, también la duración más corta, que puede ser de entre 6 y 18 meses.
Brackets de Zafiro vs. Brackets Metálicos: ¿Cuál Elegir?
Desde el punto de vista de su función, los brackets de zafiro y los brackets metálicos cumplen el mismo objetivo. En este sentido no tienen ninguna diferencia, ya que están diseñados para servir como soportes y movilizar las piezas dentales. Pero para saber cuáles son los mejores brackets para un paciente hay que evaluar sus necesidades individuales.
Para que te familiarices más con las diferencias entre los brackets metálicos y los de zafiro describiremos cada uno de estos factores.
| Característica | Brackets de Zafiro | Brackets Metálicos |
|---|---|---|
| Estética | Transparentes, se mimetizan con el diente | Visibles, color plateado |
| Precio | Más caros | Más económicos |
| Comodidad | Más cómodos | Menos cómodos |
| Durabilidad | Similar | Ligeramente superior |
| Higiene | Requieren más cuidado | Más sencillos de limpiar |
- Estética: Si priorizas la discreción, los brackets de zafiro pueden ser mejores.
- Precio: Los brackets metálicos son más asequibles.
Brackets de Zafiro vs. Brackets de Cerámica
Si buscas una ortodoncia fija estética, tu mejor opción es elegir entre brackets de cerámica o zafiro. Los brackets de zafiro son transparentes, lo que hace que se mimeticen a la perfección con cualquier tonalidad dental. El precio es otro de los puntos en el que difieren estas dos soluciones, ya que los brackets de zafiro suelen ser algo más caros debido a su material y sus propiedades estéticas.
Precio de los Brackets de Zafiro en España
Hay varios factores que pueden influir en el precio de los brackets de zafiro, como la duración del tratamiento, la complejidad del caso o el precio estipulado por el ortodoncista. Entonces, una vez el ortodoncista haya evaluado los detalles del caso de cada paciente, podremos saber su coste.
Sin embargo, el precio de los brackets de zafiro en España oscila entre los 3.000 y 5.000 euros.