La gingivitis es una enfermedad que afecta a la salud de tus encías. Es una inflamación de los tejidos gingivales, generalmente causada por la acumulación de placa bacteriana en la superficie dental y alrededor de las encías.

Esta placa está formada por bacterias, restos de alimentos y saliva que, si no se eliminan adecuadamente, pueden provocar infecciones locales. La característica común a todas ellas es que se localizan exclusivamente sobre la encía; no afectan de ningún modo a la inserción ni al resto del periodonto. De ahí que se engloben en un grupo independiente al de las periodontitis.
Prevalencia de la Gingivitis
El interés por las alteraciones gingivales se basa no tanto en su gravedad, sino en su enorme prevalencia entre la población. Los cuadros de inflamación gingival sin alteración del periodonto subyacente se detectan con elevada frecuencia entre la gente. Se establece que es visible en un rango de 20-50%, variando según la edad de los individuos, su sexo y su raza.
La gingivitis puede detectarse en un 50% de los individuos mayores de 19 años, valor que va disminuyendo conforme aumenta la edad. La presentan el 54% de los individuos entre 19 y 44 años, el 44% de los sujetos entre 45 y 64 años y el 36% de las personas de más de 65 años. Sólo el 15% de la población de más de 19 años no presenta ningún tipo de alteración ni gingival ni periodontal, lo cual pone de manifiesto la trascendencia del problema ante el que nos hallamos.
Por otro lado, parece que las alteraciones gingivales afectan sobre todo a pacientes varones. Los índices de gingivitis en hombres son un 10% mayor que en mujeres, independientemente de la edad. Del mismo modo, se ha visto que los índices de gingivitis también se diferencian en relación a los factores raciales, y aunque las diferencias entre etnias son pequeñas, la inflamación gingival es más prevalente entre los sujetos caucasianos.
Causas de la Gingivitis
Las enfermedades de las encías o enfermedades periodontales se producen por la acción de las bacterias, más de 700 tipos, que habitualmente viven en la boca. Estas se depositan en los dientes, las encías e incluso sobre las restauraciones (reconstrucciones de porciones de dientes). En muchas ocasiones, sucede que la higiene oral es incorrecta, incompleta o insuficiente, lo que hace que las bacterias crezcan, se agrupen y se lleguen a acumular en forma de biofilm o placa bacteriana en zonas escondidas, principalmente en los espacios entre dientes.
Además, hay otros muchos factores vinculados a esta enfermedad como:
- Tabaco
- Estrés
- Enfermedades sistémicas, como la diabetes
- Defensas bajas
- Cambios hormonales, como los que suceden durante el embarazo o la menopausia
Por ello, la progresión de las enfermedades periodontales y la gravedad de la destrucción de los tejidos orales se verá condicionada además de por factores de riesgo genéticos, por la presencia de uno o varios de estos factores ambientales.
Síntomas de la Gingivitis
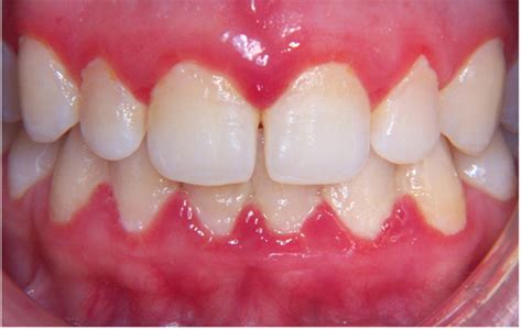
Clínicamente se aprecia una encía inflamada, con un contorno gingival alargado debido a la existencia de edema o fibrosis, una coloración roja o azulada, una temperatura sulcular elevada, sangrado al sondaje y un incremento del sangrado gingival.
El principal y primer signo que alerta de que algo está pasando es:
- El sangrado de encías, espontáneo o durante el cepillado, y el enrojecimiento. Que la encía sangre no es normal.
Además, puede haber:
- Mal aliento.
- Hipersensibilidad al frío.
- Pérdida de encía o percepción de dientes más largos.
- Movilidad o separación de los dientes.
- Aparición de abscesos o flemones en la encía si la enfermedad sigue avanzando, pues estos últimos son ya una manifestación de una periodontitis en una fase avanzada.
Sin embargo, en personas fumadoras, la enfermedad suele diagnosticarse más tarde, pues el tabaco reduce el flujo sanguíneo, por lo que, en ocasiones, el sangrado de encías no se manifiesta hasta fases más avanzadas de la enfermedad.

Clasificación de la Gingivitis
Según la localización de los signos en la encía, la gingivitis va a poder clasificarse como generalizada o localizada, según esté afectando a todos los dientes de la boca, o sólo altere la encía que rodea a un grupo determinado o a un diente exclusivamente. A su vez, la alteración puede localizarse a nivel papilar, cuando afecta sólo a las papilas; a nivel marginal, cuando altera el margen gingival; o tratarse de una afectación difusa, que llega incluso a extenderse hasta la encía insertada.
Con todo esto, podrían distinguirse diferentes tipos de gingivitis:
- gingivitis marginal localizada.
- gingivitis difusa localizada.
- gingivitis papilar localizada.
- gingivitis marginal generalizada.
- gingivitis difusa generalizada.
Diagnóstico de la Gingivitis
Los signos clásicos de inflamación pueden apreciarse en la inspección visual, lo que facilita el diagnóstico con la simple exploración del paciente. Para su detección es necesaria la sonda periodontal, que ayuda a estimular el sangrado y a detectar el componente inflamatorio de las bolsas. Además, con la sonda descartaremos la existencia de pérdida de inserción, lo cual nos confirma el diagnóstico de alteración gingival.
Las características que debemos buscar en la encía para el diagnóstico fueron descritas por Mariotti, en 1999 (1) (Tabla 1).
| Característica | Descripción |
|---|---|
| Inflamación | Encía inflamada, con contorno gingival alargado debido a edema o fibrosis. |
| Coloración | Roja o azulada. |
| Temperatura Sulcular | Elevada. |
| Sangrado | Sangrado al sondaje e incremento del sangrado gingival. |
Tratamiento de la Gingivitis
El tratamiento depende de la gravedad del caso. En etapas iniciales, una higiene bucal adecuada suele ser suficiente. Los tratamientos para la gingivitis se fundamentan en tres pilares:
- La fase básica del tratamiento de las encías incluye el raspado y el alisado radicular (limpieza manual por debajo de las encías) junto a la enseñanza de instrucciones en higiene específicas y su cumplimiento.
- En determinados casos, se hace necesario pasar a una segunda fase de tratamiento en la que son necesarias pequeñas cirugías de las encías para corregir los defectos que pueda haber dejado la enfermedad.
- Por último, es imprescindible seguir un programa de mantenimiento o seguimiento para prevenir o controlar la posible aparición de recaídas, aún más si persiste la presencia de factores de riesgo antes mencionados.
Dr. Jorge Ferrús es fundador de la Clínica Dental Ferrus & Bratos, donde ejerce de periodoncista e implantólogo. Es licenciado en Odontología y se especializó a través del Máster en Periodoncia e Implantes de la Universidad Complutense de Madrid.

Es importante ser riguroso a la hora de acudir a las revisiones pautadas por el especialista tras la realización de la profilaxis.
También se puede utilizar una punta de ultrasonidos.
La gingivitis es curable si se detecta y trata a tiempo. El cuidado personal es esencial para prevenir y tratar la gingivitis.
👉 PERIODONTITIS o PIORREA: Tratamiento eficaz para CURAR tus ENCÍAS 👄
Diez Consejos Para Prevenir la Aparición de Periodontitis
La salud de nuestros dientes y encías puede condicionar nuestra vida, casi sin darnos casi cuenta. Desde bien pequeños deberíamos saber de su importancia y cuidar de ellos diariamente para que nos duren el mayor tiempo posible en óptimas condiciones, porque esto se traduce en una mejor calidad de vida.
- Lávate los dientes todos los días. Debes adquirir el hábito de cepillarte los dientes cada día; hazlo durante dos minutos y al menos dos veces al día, prestando especial dedicación al cepillado de la noche, que nunca debes olvidar. Y procura que tus hijos adopten también este hábito.
- Más allá del cepillo. Además del cepillado diario, es recomendable el uso del hilo dental o algún otro método de limpieza interdental, pues solo con el cepillado no se puede llegar a todos los rincones de tu boca. Cepilla también tu lengua cada día, pues en su superficie se retienen bacterias.
- Refuerza la limpieza con el enjuague. Complementa la limpieza con un enjuague bucal en caso de que sea necesario y siempre siguiendo las recomendaciones de tu dentista.
- Evita ciertos alimentos… Los alimentos ricos en azúcar, incluidas las bebidas refrescantes con gas, no ayudan a la salud bucodental. Las bacterias que habitan en la boca transforman los azúcares en ácidos y estos, a su vez, atacan el esmalte dental y provocan la aparición de la caries y otras enfermedades bucales.
- …Y apuesta por otros. La alimentación también puede ayudar a mejorar tu salud bucodental. Podríamos decir que algunos de los alimentos más sanos para tu boca son algunas frutas (arándanos, kiwi, uvas) y todos aquellos alimentos ricos en grasas insaturadas Omega 3, como el pescado azul (salmón, caballa) y los frutos secos (nueces). También, bebidas como el té verde, por sus propiedades antioxidantes.
- No picotees entre horas. No picotear entre comidas es sano para tu salud, en general, y también para tu salud bucodental y más aún si después de comer algo no puedes cepillarte los dientes. En concreto, evita sobre todo los dulces, bollería, zumos industriales y snacks, por su potencial cariogénico. En todo caso, puedes tomar fruta natural, como la manzana, o un lácteo.
- Cuídate si estás embarazada. Si te encuentras embarazada o planeas estarlo, pide cita con tu dentista, porque durante estos meses los cambios que experimentará tu cuerpo también pueden repercutir en tu boca y acarrearte ciertos problemas.
- Máxima precaución ante ciertas enfermedades. Vigila especialmente tu salud oral o si eres una persona diabética o sufres alguna enfermedad cardiovascular. Estudios científicos han demostrado la relación directa entre estas dos patologías y los problemas periodontales.
- Presta más atención si tienes predisposición genética. En algunos casos, los problemas dentales tienen un componente hereditario. Si es tu caso, debes prestar una especial atención a tu dentadura para prevenir desde edades tempranas cualquier atisbo de problema y actuar de forma adecuada y rápida.
- Destierra el miedo a ir al dentista. La prevención es la medida más efectiva ante la periodontitis.
tags: #definicion #de #gingivitis #segun #la #oms