En la práctica odontológica moderna, la radiografía dental se ha convertido en una herramienta indispensable. Estas imágenes permiten a los odontólogos ver lo que a simple vista es imposible detectar, proporcionando una visión detallada de la estructura interna de los dientes, huesos y tejidos circundantes. Esto es crucial para el diagnóstico preciso de enfermedades y condiciones dentales, así como para la planificación de tratamientos efectivos.
La radiología dental es una técnica diagnóstica que utiliza rayos X para obtener imágenes de los dientes, las mandíbulas y las estructuras circundantes. Su objetivo es detectar problemas como caries, infecciones y anomalías óseas que no se pueden apreciar a simple vista. Gracias a las imágenes de las radiografías, los dentistas pueden detectar problemas en una etapa temprana. Por ejemplo, permite identificar caries ocultas, evaluar la salud de los tejidos óseos y determinar la ubicación ideal para implantes. Además, facilita la planificación de tratamientos ortodónticos y la supervisión de intervenciones complejas.
Las radiografías dentales son un tipo de fotografía de los dientes y las estructuras de nuestra boca que se obtienen a través del uso de rayos X. Estas ondas electromagnéticas de alta energía son capaces de atravesar una estructura y formar una imagen. En ellas se muestra la totalidad de la estructura facial y mandibular. Son muy útiles para planificar una ortodoncia.
LAS RADIOGRAFÍAS Y SUS PELIGROS | ¿Producen cáncer? ¿Debemos evitar las radiografías dentales?
Tipos de Radiografías Dentales
Las radiografías dentales se clasifican en dos grandes grupos: intraorales y extraorales.
Radiografías Intraorales
Las radiografías intraorales son aquellas en las que la película o el sensor se coloca dentro de la boca. Son las más comunes y detalladas, proporcionando una visión precisa de los dientes y las estructuras adyacentes.
- Radiografías periapicales: Toman una imagen del extremo de la raíz de un diente.
- Radiografías interproximales o de aleta de mordida (bitewing): Permiten observar las coronas de los dientes superiores e inferiores en una misma imagen, enfocándose en las áreas de contacto entre dientes. Se utilizan, en la mayoría de los casos, para detectar casos de caries interproximales o problemas en las raíces de los dientes.
- Radiografía Oclusal: Muestran una vista amplia del maxilar o la mandíbula, lo que facilita la observación de dientes en desarrollo, fracturas o cuerpos extraños.

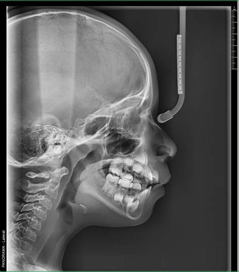
Radiografías Extraorales
Las radiografías extraorales son técnicas de diagnóstico por imagen en odontología en las que el sensor o película radiográfica se coloca fuera de la boca del paciente. Es fundamental para los análisis cefalométricos que determinan la posición y alineación de los dientes, así como la relación entre los maxilares y el cráneo.
- Ortopantomografía: También conocida como radiografía dental panorámica, se utiliza para obtener una visión general de toda la cavidad bucal con el fin de detectar anomalías como inflamaciones radiculares, tumores y abscesos o ver la posición de las muelas del juicio que aún no han erupcionado. A diferencia de las radiografías intraorales, la película o el sensor se encuentra fuera de la zona bucal.
- TAC Dental: Se toman cientos de imágenes desde diferentes ángulos.

Tipos de Tecnologías en Radiografías Intraorales
Existen diferentes tecnologías para realizar radiografías intraorales, cada una con sus propias características y ventajas:
- Radiografías intraorales con película: Se utiliza una película sensible a los rayos X para obtener imágenes de los dientes, las raíces dentales y los tejidos óseos circundantes. Después de cada exposición, la película debe ser procesada (revelada) en un proceso químico que permite que la imagen latente se convierta en una imagen visible. Este tipo de radiografías son de uso unico.
- Radiología digital con placas de fósforo: Se utiliza tecnología digital para capturar y procesar imágenes. La placa se coloca dentro de la cavidad oral, de la misma manera que una película convencional, pero en lugar de ser revelada químicamente, la imagen es leída mediante un escáner especial y transferida a un sistema informático.
- Sensores digitales de radiografía directa (DR): Son dispositivos electrónicos que capturan imágenes de rayos X y las convierten directamente en señales digitales. No requieren ningún tipo de revelado físico ni escaneo posterior.
Tamaños de Sensores y Películas Intraorales
Los tamaños de las radiografías intraorales son prácticamente los mismos para las películas tradicionales, sensores digitales y placas de fósforo, aunque la numeración de los dispositivos varía ligeramente dependiendo de la tecnología. Aquí tienes una tabla con los tamaños más comunes:
| Tamaño | Películas Tradicionales y Placas de Fósforo | Sensores Digitales | Uso Principal |
|---|---|---|---|
| 0 | Diseñado para niños pequeños. | Tipo 0 | Pacientes pediátricos |
| 1 | Adecuado para niños mayores y algunos adultos con bocas pequeñas. | Tipo 1 | Dientes anteriores en adultos |
| 2 | Estándar. | Tipo 2 | Niños mayores y adultos (periapicales y bitewings) |
| 3 | Más largo que el tamaño 2. | Tipo 3 | Capturas bitewing extendidas |
Radiología Digital: Una Revolución en la Odontología
Uno de los avances más significativos en la odontología moderna es la radiología digital. Esta tecnología ha revolucionado la forma en que diagnosticamos y tratamos problemas dentales, proporcionando imágenes más precisas y rápidas. La radiología digital es un método avanzado para obtener imágenes de alta calidad del interior de la boca y los dientes. A diferencia de las radiografías tradicionales, que utilizan películas sensibles a la radiación, la radiología digital captura imágenes mediante sensores electrónicos.
La radiología digital ofrece múltiples beneficios:
- Menos radiación: Uno de los principales beneficios es que utiliza significativamente menos radiación en comparación con las radiografías convencionales.
- Rapidez y eficiencia: Las imágenes digitales son capturadas instantáneamente y pueden ser visualizadas en cuestión de segundos.
- Mejora de la imagen: Las imágenes digitales son de alta resolución y pueden ser manipuladas en la pantalla para resaltar áreas específicas.
- Almacenamiento digital: Las imágenes digitales pueden ser almacenadas electrónicamente, eliminando la necesidad de espacio físico para guardar películas de rayos X.
El proceso de captura de una imagen digital es el siguiente:
- Captura de la imagen: Cuando es necesario obtener una imagen radiográfica, se coloca un pequeño sensor en el área a examinar.
- Procesamiento digital: Los rayos X capturados son convertidos en señales digitales y se envían a un ordenador.
- Diagnóstico y tratamiento: El dentista examina las imágenes digitales para evaluar la salud dental y detectar posibles problemas.

Seguridad en la Radiología Dental
En radiología dental, la seguridad es primordial. Se siguen normativas y protocolos estrictos para minimizar la exposición a la radiación. Para garantizar la seguridad tanto del paciente como del personal, se aplican varias medidas prácticas. Por ejemplo, se recomienda a los pacientes utilizar delantales plomados y gafas de protección durante el procedimiento.
Se utiliza mandil de plomo para proteger sus tejidos reproductores, los formadores de sangre y tejidos tiroideos de la radiación dispersa; el plomo actúa como escudo y en realidad evita que la radiación alcance estos órganos radiosensibles. Cuando se utilizan las medidas protectoras adecuadas durante los procedimientos radiográficos, la cantidad de radiación recibida en la región gónadas es mínima.
El riesgo de que la radiación llegue al útero durante las radiografías dentales es muy bajo, sobre todo si la paciente lleva un delantal de plomo en la zona pélvica. No obstante, dado que el riesgo residual es mínimo, los dentistas suelen posponer las radiografías hasta después del parto. El embrión en crecimiento es especialmente sensible al principio del embarazo, es decir, en las primeras semanas. Si quieres tener hijos, tiene sentido ir al dentista antes de empezar a planificar la familia y hacerte las radiografías necesarias antes de la implantación.
No debemos realizarnos radiografías durante el embarazo. Si es necesaria realizar una prueba radiológica estando embarazada, se hará siempre cubriendo tu abdomen con un delantal de plomo.
Equipamiento y Materiales Necesarios
Para obtener radiografías de calidad, a parte de las películas o sensores, es fundamental contar con el equipamiento adecuado y los materiales complementarios. A continuación, se describen los elementos clave que garantizan una toma de imágenes radiográficas eficaz, segura y precisa:
- Máquina de Rayos X Dental: Es el equipo principal que emite los rayos X necesarios para crear las imágenes.
- Delantales de Plomo: Son utilizados por el paciente para proteger las áreas no irradiadas, como la zona abdominal, del impacto de los rayos X. Están hechos de plomo o materiales equivalentes que bloquean eficazmente la radiación.
- Protectores de Tiroides: Son dispositivos de protección que se colocan alrededor del cuello del paciente para proteger la tiroides, una glándula particularmente sensible a la radiación.
- Posicionadores de radiografía: Son dispositivos utilizados para colocar y mantener la película o el sensor en la posición correcta dentro de la boca del paciente. Los posicionadores ayudan a garantizar que las imágenes sean precisas y reproducibles, reduciendo la necesidad de repetir las radiografías debido a errores de posicionamiento.
- Procesador de imágenes: En el caso de las radiografías digitales, un procesador de imágenes es necesario para visualizar y analizar las radiografías en una computadora.
- Revelado (en sistemas analógicos): Liquido revelador para el proceso de radiografías analógicas.
Avanzando Hacia el Futuro de la Radiología Dental
La radiología dental ha avanzado significativamente en las últimas décadas, gracias a la adopción de tecnologías innovadoras que han transformado la obtención, procesamiento y análisis de imágenes. Destacan los sistemas digitales, que permiten obtener imágenes de alta resolución al instante, y las técnicas tridimensionales como la tomografía computarizada de haz cónico, que brindan una visión completa de las estructuras orales y maxilofaciales. La integración de software especializado y herramientas de inteligencia artificial ha facilitado la detección automática de patologías y una planificación más precisa de tratamientos complejos, como implantes y ortodoncia.
En resumen, la radiología dental es esencial para diagnósticos y planificar tratamientos efectivos. Permite obtener imágenes precisas de la estructura dental y ósea, facilitando diagnósticos tempranos y efectivos.