En Palma de Mallorca, encontrar un odontopediatra de confianza es fundamental para asegurar la salud bucal de tus hijos desde temprana edad. La clínica ‘C’O’ped’ se destaca como líder en tratamientos de ortodoncia invisible y odontopediatría, con un enfoque en la atención personalizada y el bienestar del paciente.

¿Por qué elegir un odontopediatra?
Los odontopediatras son especialistas en el cuidado dental de niños, desde la erupción del primer diente hasta la adolescencia. Saben cómo abordar las necesidades específicas de cada etapa del desarrollo dental, creando un ambiente cómodo y seguro para los pequeños pacientes.
La clínica ‘C’O’ped’ se distingue por ofrecer tratamientos personalizados, diseñados para satisfacer las necesidades individuales de cada niño. Entendemos que una sonrisa es mucho más que solo dientes alineados. Es confianza, es primera impresión y es bienestar. La Dra. [Nombre del Doctor], licenciada en Odontología por la Universitat de Barcelona y especialista en odontología conservadora y odontopediatría, junto con su equipo, están aquí para guiar a tus hijos en su viaje dental.
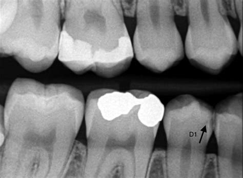
Caries en la infancia: Un problema común
Una caries es una lesión en el diente causada por la descomposición de los tejidos debido a la presencia de ácidos producidos por bacterias en la placa dental. En la infancia, las caries pueden desarrollarse tan pronto como erupcionan los primeros dientes, lo que destaca la importancia de una buena higiene oral y prácticas dietéticas saludables desde temprano. Por eso, es vital acudir a revisiones periódicas con el odontopediatra.

Como Prevenir las CARIES Explicacion para NIÑOS 🦷🦷 (MICROCUENTO)
Opiniones de pacientes y valoraciones
‘C’O’ped’ Ortodoncia es líder en número de reseñas positivas (más de 2.710 reseñas) y en valoraciones (5*) en la plataforma de Google. Queremos dar las gracias a todos aquellos pacientes que nos han reseñado. Estas opiniones reflejan la satisfacción de los pacientes con la calidad de la atención y los resultados obtenidos.
¿Qué dicen los pacientes?
- "Excelente trato y profesionalidad."
- "Mi hijo se sintió muy cómodo durante todo el tratamiento."
- "Recomiendo esta clínica al 100%."
Ortodoncia Invisible en Palma de Mallorca
Además de la odontopediatría, ‘C’O’ped’ es una clínica líder en Palma de Mallorca en tratamientos de Ortodoncia Invisible. El Dr. Pedro Pérez Cuesta, especialista en ortodoncia, ofrece soluciones innovadoras para alinear los dientes de forma discreta y efectiva.

Precios de tratamientos odontopediátricos
Los precios de los tratamientos de odontopediatría pueden variar dependiendo de la complejidad del caso y las necesidades específicas de cada paciente. Se recomienda solicitar una consulta para obtener un presupuesto personalizado.
A continuación, se muestra una tabla con precios orientativos de algunos tratamientos comunes:
| Tratamiento | Precio (aproximado) |
|---|---|
| Revisión y limpieza dental | [Precio] |
| Obturación (empaste) | [Precio] |
| Fluorización | [Precio] |
| Extracción dental | [Precio] |
Nota: Estos precios son orientativos y pueden variar. Es importante consultar con la clínica para obtener un presupuesto preciso.