Los dolores dentales pueden producir importantes molestias, llegando a afectar el estado de salud general y a suponer graves problemas en el día a día, por ello deben ser tratados cuanto antes. Un golpe, una caída, un dolor... en cualquier momento puedes necesitar visitar a un dentista de confianza. Afortunadamente, existen servicios de dentistas de urgencias disponibles las 24 horas para atender estas necesidades.

¿Cuándo Necesitas un Dentista 24 Horas?
Las emergencias dentales pueden ser impredecibles y variar en gravedad, por lo que es esencial contar con atención de calidad cuando más lo necesitas. Algunas de las situaciones más comunes que requieren atención inmediata incluyen:
- Dolor de muelas severo: Un dolor intenso puede ser señal de una infección o un problema en la raíz del diente, como una caries profunda o un absceso.
- Diente fracturado o perdido: Si has sufrido un accidente que provocó la fractura o pérdida de un diente, es crucial recibir atención rápida para maximizar las posibilidades de una recuperación exitosa.
- Abscesos dentales: Las infecciones que causan abscesos dentales pueden provocar hinchazón, fiebre y dolor agudo, y requieren una intervención rápida para evitar que la infección se propague a otras áreas del cuerpo.
Urgencia Dental - Clínica Merced 👩⚕️👨⚕️
Servicios Ofrecidos por un Dentista de Urgencias
Los dentistas de urgencias ofrecen una variedad de servicios diseñados para cubrir todas tus necesidades dentales urgentes, asegurando que recibas la mejor atención posible:
- Tratamiento del dolor dental: Realizan evaluaciones rápidas y proporcionan tratamientos inmediatos para aliviar el dolor, ya sea mediante medicamentos, drenaje de abscesos o soluciones temporales que impidan el avance del problema.
- Reparación de dientes rotos: Llevan a cabo restauraciones temporales o permanentes según la gravedad del daño, utilizando materiales de alta calidad para asegurar una solución duradera y estética.
- Extracciones de emergencia: Si un diente no puede ser salvado, realizan extracciones seguras y efectivas para evitar complicaciones adicionales.
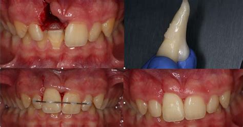
¿Qué hacer ante la avulsión dentaria?
La avulsión dentaria se produce cuando, a causa de un fuerte traumatismo, el paciente pierde una pieza dental sin que ésta vea comprometida su integridad. Es decir, el diente sale completamente de su alveolo.
A la hora de valorar las posibilidades de éxito de la reimplantación, hay dos factores que debemos tener en cuenta:
- El tiempo de espera hasta que el paciente ha llegado a la clínica dental.
- El medio en el que se ha conservado el diente.
Si el diente avulsionado es un diente de leche, no deberá nunca reimplantarse pues podría dañar al germen del diente definitivo. A continuación explicaremos qué pasos se deben seguir ante la avulsión de un diente permanente:
- Buscar el diente y cogerlo siempre por la corona, evitando tocar la raíz.
- Lavarlo con agua durante unos 10 segundos sujetándolo siempre por la corona.
- Intentar recolocarlo en la zona del alveolo antes de que se forme un coágulo, mordiendo una gasa para mantenerlo en la posición correcta. En caso que no sea posible, es importante transportarlo a la clínica en un medio húmedo. El agua no es aconsejable. Es recomendable hacerlo llevándolo en la boca, justo debajo de la lengua pues la saliva es un medio de conservación aceptable, o bien en un recipiente con leche (mejor si es desnatada) o suero salino.
- Acudir de forma inmediata a la clínica dental de urgencias.

Clínicas Dentales con Servicio de Urgencias 24 Horas en España
Sevilla
El objetivo principal para Clínica Dental IMOA del servicio de urgencias dentales en Sevilla es ofrecer un dentista urgente en Sevilla para tratar aquellas dolencias provocadas por un problema odontológico. Atienden urgencias dentales de 8:00 h a 00 h durante los días festivos, fines de semana y entre semana en su horario habitual. Además, realizan un seguimiento a las 24/48 horas para conocer la evolución de la atención dental prestada durante la urgencia.
Las Palmas
En Clínica Dental GEO, ofrecen un servicio de Urgencias Dentales en Las Palmas, siempre disponibles bajo petición telefónica. Están a tu disposición para cualquier urgencia dental 24 horas en Las Palmas todos los días, incluyendo fines de semana y días festivos, pero siempre bajo demanda telefónica. Si necesitas atención urgente, no dudes en llamar al 928 230 002 para que puedan ayudarte.
Cádiz
En la Clínica Dental Carranza, cuentan con un equipo de dentistas en Cádiz disponibles para proporcionarte una atención rápida y eficaz, minimizando el riesgo de problemas más serios. Su clínica, ubicada en el corazón de Cádiz, está siempre preparada para brindarte el cuidado necesario en los momentos más urgentes.
Valencia
En Clínica Dental La Reina ofrecen atención de urgencias dentales las 24 horas en Valencia. Si buscas una clínica dental de urgencias cerca de ti en Valencia, en Clínica Dental La Reina te atienden rápidamente. Su servicio de urgencias dentales está disponible 24 horas al día, incluidos domingos y festivos. Puedes llamarlos cualquier día para recibir asistencia dental de urgencias sin importar si es fin de semana o festivo. En su servicio de dentista de urgencias en Valencia tratan todo tipo de urgencias odontológicas, como dolores intensos, infecciones, abscesos, traumatismos, fracturas dentales o pérdida de piezas dentales.
Barcelona
Son la clínica dental de referencia en Barcelona en urgencias dentales. Sus dentistas de urgencia solucionan de forma eficaz los problemas dentales que no pueden esperar. Atienden urgencias el mismo día y también urgencias en fin de semana. Cuentan con servicio de urgencias dentales en Barcelona los fines de semana y festivos. Su servicio funciona todos los días del año, incluidos sábados, domingos y festivos.
Cómo Prepararse para una Emergencia Dental
Aunque las emergencias dentales son impredecibles, estar preparado puede hacer una gran diferencia en cómo manejas la situación. Aquí algunos consejos:
- Guarda el número de contacto de tu clínica dental de confianza.
- Mantén un kit de emergencia dental en casa con analgésicos, gasas estériles y un contenedor para un diente desprendido.
- Conoce los signos de alerta que requieren atención urgente, como dolor persistente, inflamación o sangrado.
Seguimiento Después de una Emergencia Dental
Una vez que recibas tratamiento de emergencia, es vital seguir las indicaciones de tu dentista para asegurar una recuperación completa. Esto incluye revisiones periódicas y consejos sobre cuidados dentales preventivos para evitar futuros problemas.