La salud bucodental de los niños es una prioridad, y saber dónde encontrar un dentista pediátrico de emergencia es crucial. Los dolores dentales pueden producir importantes molestias, afectando el estado de salud general y el día a día de los más pequeños. Por ello, deben ser tratados cuanto antes. Un golpe, una caída, o un dolor repentino pueden requerir una visita urgente al dentista.

Urgencias Dentales en Sevilla: Clínica Dental IMOA
El objetivo principal de Clínica Dental IMOA es ofrecer un dentista urgente para tratar dolencias provocadas por problemas odontológicos. Atendemos urgencias dentales en un amplio horario, incluyendo días festivos y fines de semana. Nuestro equipo de profesionales está a su disposición para encontrar la respuesta adecuada a cualquier problema inaplazable respecto a la salud bucodental de tu hijo y solucionarlo de manera inmediata.
Además, realizamos un seguimiento a las 24/48 horas para conocer la evolución de la atención dental prestada durante la urgencia.
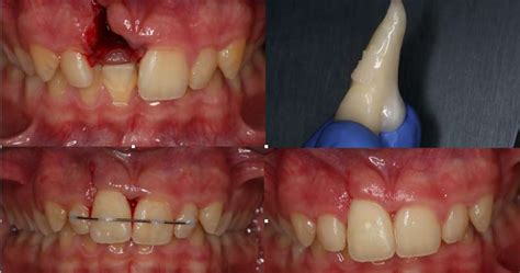
¿Qué Hacer Ante la Avulsión Dentaria?
La avulsión dentaria se produce cuando, a causa de un fuerte traumatismo, el paciente pierde una pieza dental sin que ésta vea comprometida su integridad. Es decir, el diente sale completamente de su alveolo.
A la hora de valorar las posibilidades de éxito de la reimplantación, hay dos factores que debemos tener en cuenta:
- El tiempo de espera hasta que el paciente ha llegado a la clínica dental.
- El medio en el que se ha conservado el diente.
Importante: Si el diente avulsionado es un diente de leche, no deberá nunca reimplantarse pues podría dañar al germen del diente definitivo.

Pasos a Seguir Ante la Avulsión de un Diente Permanente:
- Buscar el diente y cogerlo siempre por la corona, evitando tocar la raíz.
- Lavarlo con agua durante unos 10 segundos sujetándolo siempre por la corona.
- Intentar recolocarlo en la zona del alveolo antes de que se forme un coágulo, mordiendo una gasa para mantenerlo en la posición correcta.
- En caso que no sea posible, es importante transportarlo a la clínica en un medio húmedo. El agua no es aconsejable. Es recomendable hacerlo llevándolo en la boca, justo debajo de la lengua pues la saliva es un medio de conservación aceptable, o bien en un recipiente con leche (mejor si es desnatada) o suero salino.
- Acudir de forma inmediata a la clínica dental de urgencias.
Ortodoncia Infantil: Ventajas y Beneficios
Una vez que los niños mudan los dientes de leche, comenzarán a crecerle los permanentes y, en este proceso, pueden desarrollarse con una mala alineación. Es entonces cuando se puede necesitar un tratamiento de ortodoncia infantil para corregir la posición de los dientes.
Ventajas de una Ortodoncia en Niños
Sin duda, la ortodoncia es de los servicios más solicitados debido a que le otorga a tu pequeño una gran variedad de ventajas:
- Protección de los dientes: Corregir la mala posición de la dentadura permitirá proteger mejor todas las piezas dentales. Cuando los dientes están muy juntos o superpuestos, es mucho más probable que se acumulen bacterias que pueden producir todo tipo de enfermedades.
- No limita el habla: La ortodoncia no afecta el habla. Es un tratamiento poco invasivo.
- Se reduce la aparición de llagas: Cuanto más pequeño sea el paciente, menores serán las posibilidades de que los brackets generen llagas. Además, será un tratamiento mucho más corto porque la capacidad de movilidad de las piezas dentales en los más pequeños es mucho mayor.
- Sin restricción alimenticia: No tendrás que preocuparte por el tema de la alimentación. El uso de una ortodoncia infantil no restringirá, de ninguna manera, sus horas de comer.
- Efectivos: La ortodoncia es sumamente efectiva, y lo es aún más cuando se aplica en niños.
Cambra Clinic Nens: Especialistas en Odontopediatría Infantil de Urgencias
En Cambra Clinic Nens, ofrecemos toda nuestra atención en cuidar de la salud bucal de los más pequeños, especialmente en situaciones de emergencia. Los pacientes destacan el trato amable y profesional, así como la rapidez y eficacia en los tratamientos.
Manejo de trauma dental en niños.
Gross Dentistas: Cuidado Dental Infantil en Málaga y Torremolinos
Cuando se trata de la salud dental de tus hijos, elegir el dentista adecuado es de suma importancia. En Gross Dentistas contamos con varias clínicas en Málaga y Torremolinos, con dentistas y ortodoncistas capacitados y especializados en odontología pediátrica.
Además, utilizamos equipos y tecnología de última generación para garantizar el mejor tratamiento para tus hijos. Nuestras instalaciones están equipadas con equipos modernos y seguros, lo que permite realizar exámenes precisos y tratamientos eficientes.

¿Por qué Elegir Gross Dentistas?
- Atención Personalizada: Se comprometen a ofrecer un servicio personalizado y brindar atención individualizada a cada niño.
- Experiencia y Capacitación: Dentistas y ortodoncistas especializados en odontología pediátrica.
- Tecnología Avanzada: Equipos modernos y seguros para tratamientos eficientes.
Tratamientos Comunes en Odontopediatría
En la primera visita, hacemos una toma de contacto con el niño, para que nos conozca, esté tranquilo y a gusto. Para ello explicamos las cosas con juegos, vídeos y canciones, así todo será mas divertido.
Una vez que el niño empieza a habituarse a la odontopediatría y al gabinete, se llevarán a cabo las obturaciones necesarias, ya que es mucho más fácil tratarlas cuando el niño está ya habituándose y viendo que no pasa nada. Es muy importante tratar los dientes de leche, ya que las caries en los niños avanzan de forma mas rápida por el tamaño y la porosidad de los mismos.
Traumatismos Dentales en Niños
Los traumatismos se tratarán siempre en primer lugar, ya que son consultas de urgencia, las cuales hay que tratar tan rápido como sea posible. Podemos diferenciar entre distintos tipos de traumatismos, en función de la severidad del mismo, que requerirá diferentes tratamientos: se puede producir una avulsión del diente (pérdida completa del diente de leche o temporal), desplazamiento o fractura.
| Tipo de Traumatismo | Descripción | Tratamiento |
|---|---|---|
| Avulsión Dentaria | Pérdida completa del diente. | Reimplantación (si es permanente) o mantenedor de espacio (si es de leche). |
| Desplazamiento | El diente se mueve de su posición original. | Reposicionamiento y ferulización. |
| Fractura | El diente se rompe. | Restauración o extracción, dependiendo de la gravedad. |
Superando el Miedo al Dentista
Muchos niños experimentan miedo o ansiedad al visitar al dentista. Sin embargo, con el equipo especializado de dentistas infantiles en Málaga y Torremolinos con el que contamos en Gross Dentistas, los niños pueden superar este miedo y disfrutar de una increíble experiencia dental.
Nuestro personal está capacitado para comunicarse de manera efectiva con los niños, explicándoles cada paso del proceso de manera amigable y tranquila. Esto ayuda a establecer una relación de confianza entre el niño y el dentista, lo que es fundamental para superar el miedo.
Además, sabemos lo importante que es tener paciencia y comprender el miedo que los niños pueden tener hacia los dentistas. Lo ideal sería traerlos desde que sale el primer diente de leche, para así poder explicar a los papás las técnicas de higiene, para que el niño empiece a habituarse al gabinete y conozca a nuestra doctora.
Clínica Dental Patricia Aneiros: Odontopediatría en Ferrol
En Clínica Dental Patricia Aneiros nos preocupamos por ayudarles a cuidar su propia salud bucodental, especializándonos en odontología pediátrica en Ferrol para asegurar el cuidado integral de la salud dental de tus hijos.
Preguntas Frecuentes Sobre Odontopediatría en Ferrol
- ¿Qué hace un dentista infantil u odontopediatra en Ferrol? Proporciona atención dental preventiva, tratamiento de enfermedades dentales y un completo diagnóstico del caso.
- ¿Qué edad abarca la odontopediatría? Desde el nacimiento hasta la adolescencia temprana, es decir, desde los primeros meses de vida hasta los 18 años aproximadamente.
- ¿Cuándo debo llevar a mi hijo por primera vez al dentista? Es recomendable hacerlo tan pronto como aparezca el primer diente.
Problemas Frecuentes por Edad
Niños de entre 1 y 3 años
- El Primer Cepillado: Los niños deben empezar a cepillarse desde que aparezca el primer diente.
- Caries en Dentición Temprana: Los dientes de leche tienen un esmalte y dentina menos mineralizado y por ello más susceptible a las caries.
Niños de entre 3 y 5 años
- Bruxismo: En niños, es bastante frecuente y habitualmente va disminuyendo con el crecimiento y desarrollo del niño de forma espontánea y no suele requerir tratamiento.
- Uso de Chupete o Hábito de Dedo: Antes de los 3 años todos los niños deberían de haber abandonado hábitos nocivos para el desarrollo orofacial.
Niños de entre 5 y 8 años
- Dientes Definitivos: Aunque irán a su propio ritmo, los dientes definitivos deberían empezar a aparecer en torno a los 6 años.
- Caída o Rotura de un Diente: En general, la pérdida de un diente de leche no supone una emergencia. La pérdida de un diente permanente es mucho más grave.
- Cepillado Incorrecto: Para ésta edad, un niño debería haber aprendido a cepillarse y utilizar el cepillo dental sólo y correctamente.
tags: #dentista #pediatrico #emergencia