Encontrar un dentista de confianza en Torrejón del Rey puede ser una tarea crucial para mantener una buena salud bucal. Afortunadamente, existen diversas opciones que ofrecen una amplia gama de servicios y tratamientos para satisfacer las necesidades de cada paciente. Este artículo te guiará a través de los servicios más comunes, promociones y opciones disponibles en esta localidad.

Servicios Dentales Ofrecidos
Los dentistas en Torrejón del Rey ofrecen una variedad de servicios para cuidar tu salud bucal. Estos servicios incluyen:
- Implantología: Tratamientos innovadores para reemplazar dientes perdidos y recuperar tu sonrisa.
- Prótesis dental: Tratamientos para restaurar uno o varios dientes y recuperar la funcionalidad de tu boca.
- Ortodoncia: Corrige la colocación de tus dientes y mandíbula para lucir una increíble sonrisa.
- Ortodoncia infantil: Corrige los dientes y la mandíbula de los más pequeños con nuestros tratamientos.
- Estética dental: Luce una sonrisa perfecta con nuestros tratamientos de estética dental.
- Endodoncia: Tratamientos para eliminar la parte profunda del diente cuando se encuentra lesionado.
- Caries: Evita problemas en tus dientes realizando visitas de prevención para detectar posibles caries.
- Periodoncia: Tratamientos para prevenir y tratar problemas en las encías.
- Cirugía Maxilofacial: Prevención, diagnóstico y tratamiento para corregir cualquier problema maxilofacial.
Estos tratamientos están diseñados para abordar una amplia gama de problemas dentales, desde la prevención hasta la restauración completa de la boca.
Tratamientos Destacados
Rehabilitación Completa con Implantes
En rehabilitaciones completas, se pueden rehabilitar varias piezas existentes en una arcada utilizando implantes de carga inmediata. Esta técnica permite colocar implantes y coronas fijas en una única intervención, reduciendo al máximo los tiempos de espera para recuperar una sonrisa natural desde el primer día.

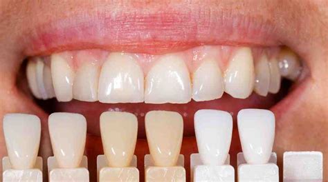
Mejora Estética con Carillas
Las carillas de porcelana pueden transformar la estética de tu boca, proporcionando una forma dentaria proporcionada y armónica. Este tratamiento puede hacer que los dientes se vean más blancos, resultando en una sonrisa perfecta. Las carillas de porcelana requieren una mínima preparación del diente y los resultados se pueden lograr en tan solo dos citas.

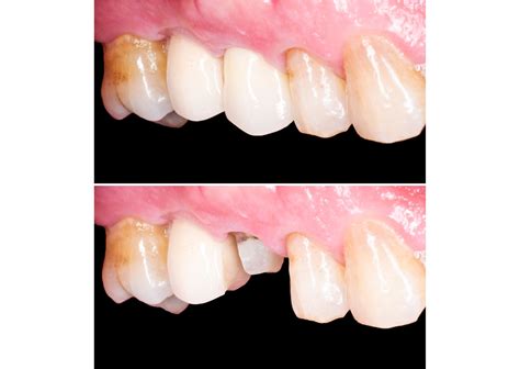
Rehabilitación con Coronas de Zirconio
Las coronas de Zirconio son ideales para pacientes con piezas dentales erosionadas, fracturas o color amarillento en los dientes. Estas coronas mejoran la estética y función del diente, protegiendo y mejorando su apariencia. Son restauraciones individuales que recubren y reconstruyen la pieza dental en su totalidad.

Alargamiento Coronario
El alargamiento coronario es una solución para pacientes acomplejados por la excesiva exposición de encía al sonreír. Este procedimiento corrige la erupción pasiva alterada, donde el exceso de encía recubre el diente, dando la apariencia de dientes demasiado pequeños.
Promociones Dentales
Muchas clínicas dentales ofrecen promociones para hacer que el cuidado dental sea más accesible. Estas promociones están diseñadas para ayudarte a lograr la sonrisa que siempre has deseado, sin comprometer la calidad ni tu presupuesto. Algunas de las promociones comunes incluyen descuentos en tratamientos específicos, planes de financiamiento y consultas gratuitas.
En SoyDentaria, por ejemplo, se enorgullecen de ofrecer promociones dentales que hacen que el cuidado dental de calidad sea accesible para todos. ¡Aprovecha estas promociones y da el primer paso hacia una sonrisa más saludable y hermosa!
Pasos y beneficios de una limpieza dental
Vivantadental: Un Enfoque en la Calidad y la Responsabilidad Social
Vivantadental es una compañía independiente de odontología con más de 150 clínicas en todo el territorio español. Su objetivo es conseguir la mayor satisfacción en la experiencia y atención de sus pacientes, buscando la excelencia en la praxis odontológica, con calidad garantizada.
Vivantadental está integrado por un conjunto de cualificados profesionales que ofrecen un servicio de alta calidad y atención personalizada. Además, la compañía se suma a la acción de la Agenda 2030 para el Desarrollo Sostenible y pone en marcha actividades de Responsabilidad Social para contribuir a mejorar su entorno y las vidas de las personas que les rodean.

Historias de Pacientes
Las historias de pacientes que han recibido tratamientos dentales exitosos pueden ser una fuente de inspiración y confianza. Por ejemplo, una paciente que había perdido sus piezas dentales fue rehabilitada con la colocación de 6 implantes dentales, devolviéndole la sonrisa.
Otro paciente con piezas dentales erosionadas y fracturas mejoró su estética y función con coronas de Zirconio.
Tabla de Precios Estimados
A continuación, se presenta una tabla con precios estimados de algunos tratamientos dentales comunes. Es importante tener en cuenta que estos precios pueden variar dependiendo de la clínica y las necesidades específicas del paciente.
| Tratamiento | Precio Estimado |
|---|---|
| Implante Dental | 800 - 2000 € |
| Carilla de Porcelana | 400 - 1200 € |
| Corona de Zirconio | 500 - 1500 € |
| Ortodoncia (brackets metálicos) | 1500 - 3000 € |
| Limpieza Dental | 50 - 100 € |
Nota: Estos precios son solo una estimación y pueden variar. Se recomienda consultar directamente con la clínica dental para obtener un presupuesto personalizado.