El diastema dental, comúnmente conocido como «dientes separados», es una condición que afecta tanto la estética como la funcionalidad de la sonrisa. El diastema se refiere al espacio o separación visible entre dos dientes, más frecuentemente entre los incisivos superiores. A pesar de la creencia popular errónea alrededor de esta afección, el diastema dental es una condición que puede encontrarse tanto en niños como en adultos.
Desde nuestra clínica dental en Málaga, queremos explicarte detalladamente qué es el diastema, cómo puede afectar a la funcionalidad y qué tratamientos se puede aplicar.

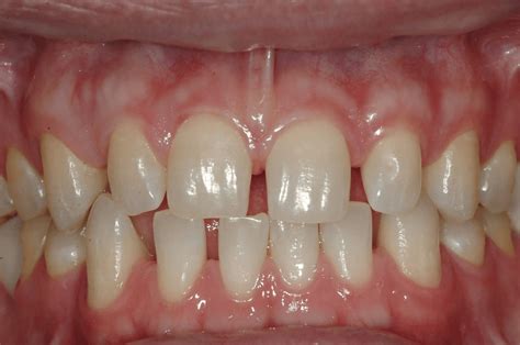
¿Qué es el Diastema Dental?
El diastema dental es un espacio o separación visible entre dos dientes, comúnmente ubicados entre los incisivos superiores, aunque también puede ocurrir entre otros dientes.
La apariencia del diastema es fácilmente identificable. Se presenta como un espacio claro y definido entre dos dientes que rompe la continuidad de la línea dental. Este espacio puede ser simétrico, afectando ambos lados de la arcada dental, o asimétrico, presentándose solo en un lado.
En algunas culturas y casos individuales, el diastema puede ser considerado un rasgo distintivo e incluso estéticamente agradable. Sin embargo, en otros casos, las personas pueden buscar tratamiento para cerrar el espacio por razones estéticas o de salud bucal.
Diastema en Niños
En los niños, es bastante común que aparezca un diastema temporal entre los dientes de leche, especialmente en los incisivos superiores. Con frecuencia se observa en la dentición de leche, aunque en los niños no suele considerarse motivo de preocupación ya que los diastemas en ese periodo pueden interpretarse como una señal positiva de que los dientes permanentes tendrán el espacio adecuado para colocarse en la posición correcta. Sin embargo, estos espacios a menudo se cierran naturalmente a medida que los dientes permanentes erupcionan y la mandíbula se desarrolla.
Causas del Diastema Dental
El diastema dental puede surgir por una variedad de razones, que van desde factores genéticos hasta hábitos adquiridos. Comprender las causas del diastema dental es crucial para determinar el tratamiento adecuado y prevenir su aparición en el futuro.
- Factores genéticos: La genética juega un papel significativo en la aparición del diastema dental. Si los padres tienen diastema, es probable que sus hijos también lo desarrollen. Los diastemas pueden heredarse, de hecho, es muy habitual que la persona con diastema dental tenga algún familiar directo, padre, madre o hermanos, con esta misma característica dental.
- Tamaño de los dientes y crecimiento del hueso maxilar: El tamaño desproporcionado entre los dientes y el hueso maxilar es una causa común del diastema. Desproporción entre los dientes y el hueso maxilar. Cuando el maxilar ha crecido demasiado, los dientes no ocupan su totalidad. Las diferencias en el tamaño de los dientes también pueden ser origen del diastema.
- Problemas de frenillo labial: El frenillo labial es un tejido que conecta el labio superior con la encía. Otro factor desencadenante del diastema puede ser un frenillo labial largo. Un frenillo labial demasiado grueso y con una inserción baja se convierte en un obstáculo para que el hueco se cierre cuando atraviesa la mediana dentaria. A este tipo de espacio se le llama diastema interincisal.
- Enfermedades periodontales: Las enfermedades de las encías pueden causar la pérdida de hueso alrededor de los dientes, lo que puede resultar en la creación de espacios.
- Hábitos como chuparse el dedo: Los hábitos infantiles, como chuparse el dedo o el uso prolongado del chupete, pueden ejercer presión sobre dientes y mandíbula, contribuyendo a la aparición del diastema. Los hábitos orales, como chuparse el pulgar o empujar los dientes con la lengua, puede provocar el desarrollo de diastema. Ten en cuenta que el uso excesivo del chupete, también puede ocasionarlo. Un diastema interincisivo puede aparecer en niños por el hábito de “chuparse el dedo”, ya que está succión causa la inclinación de los incisivos superiores.
- Falta de una pieza dental: Cuando un paciente ha perdido un diente, ya sea por un golpe u otro motivo, las piezas que están al lado de donde estaba dicha pieza, tienden a moverse. La falta de uno o varios dientes puede causar desplazamientos en el resto, provocando espacios entre ellos.
- Malposición de los dientes: Si un diente no está colocado correctamente o está girado, es posible que se formen huecos entre las piezas. Las malposiciones entre los diferentes dientes puede provocar la aparición de diastemas.
Diastemas: ¿cómo corregir los dientes separados? | Clínica dental Avodent en Alcobendas
Implicaciones en la Salud Bucal
El diastema dental, aunque a veces se considera solo una cuestión estética, puede tener varias implicaciones en la salud bucal.
- Acumulación de placa y riesgo de caries: Los espacios entre los dientes pueden ser un lugar propicio para la acumulación de placa bacteriana. La placa es una película pegajosa que contiene bacterias y puede formarse fácilmente en las superficies de los dientes. La acumulación de placa bacteriana en los dientes y encías es más fácil cuando existen espacios entre las piezas dentales, lo que aumenta el riesgo de caries.
- Enfermedades periodontales: El diastema puede aumentar el riesgo de enfermedades periodontales, como la gingivitis y la periodontitis.
- Dificultades en la masticación y el habla: Un diastema notable puede afectar la eficiencia de la masticación.
- Problemas de autoestima y confianza: Más allá de los problemas físicos, el impacto psicológico de tener un diastema visible puede ser significativo.
- Posibles maloclusiones: En algunos casos, los diastemas pueden estar asociados con problemas de alineación dental o maloclusiones.
Tratamientos para el Diastema Dental
El diastema dental, o espacio entre los dientes, puede tratarse de diversas maneras dependiendo de la causa subyacente, la edad del paciente y sus preferencias. Para establecer un tratamiento concreto, en drs. Pedrol Mairal, el odontólogo evalúa el caso para personalizarlo y buscaremos la mejor solución para cada paciente.
| Tratamiento | Descripción |
|---|---|
| Ortodoncia (Brackets) | Dispositivos ortodónticos tradicionales que utilizan alambres y brackets metálicos para mover los dientes a su posición correcta. Se usa para diastemas provocados por causas genéticas, se puede hacer con ortodoncia metálica (brackets) o con ortodoncia invisible. Aunque también en alguna ocasión para diastemas provocados por un frenillo anormalmente bajo o una mesiodens. Con la ortodoncia los dientes se van desplazando hasta cerrar los huecos interdentales. |
| Alineadores Transparentes (Invisalign) | Férulas de plástico removibles que se utilizan para mover gradualmente los dientes a su posición deseada. |
| Carillas Dentales | Láminas delgadas de porcelana o resina compuesta que se colocan en la superficie frontal de los dientes. En los casos que no sea necesario realizar un tratamiento de ortodoncia, las carillas dentales pueden colocarse sobre los dientes y ocultan completamente los espacios interdentales que pueden resultar poco estéticos. |
| Frenectomía | Si el diastema es causado por un frenillo labial grande, puede ser necesaria una frenectomía. Cuando el diastema ha sido provocado por un tamaño excesivo del frenillo, es necesario realizar esta sencilla intervención quirúrgica para reducir su grosor y mejorar su flexibilidad. De esta forma, se elimina la causa y se previene que el diastema vuelva a aparecer. |
| Implantes Dentales | En casos donde el diastema es causado por la ausencia de uno o más dientes, los implantes dentales pueden ser el tratamiento más adecuado. |
La elección del tratamiento adecuado para el diastema dental depende de varios factores; incluyendo la causa del diastema, la edad del paciente, la severidad del espacio y las preferencias personales.
Prevención del Diastema Dental
Prevenir el diastema dental es posible mediante una serie de prácticas y hábitos saludables que promuevan una buena salud bucal desde una edad temprana.
- Visitas Regulares al Dentista: Realizar visitas regulares al dentista es fundamental para la prevención del diastema dental y otros problemas dentales. Los chequeos permiten detectar y tratar problemas tempranos antes de que se conviertan en condiciones más graves.
- Higiene Bucal Adecuada: Una higiene bucal adecuada es esencial para prevenir muchas condiciones dentales, incluyendo el diastema.
- Evitar Hábitos Nocivos: Algunos hábitos pueden contribuir a la aparición del diastema dental, especialmente en niños.
- Chuparse el dedo: Este hábito, común en los niños pequeños, puede ejercer presión sobre los dientes frontales, causando separación con el tiempo.
- Uso prolongado del chupete: Similar al chuparse el dedo, el uso prolongado del chupete puede afectar la alineación de los dientes.
- Empuje lingual: El hábito de empujar los dientes con la lengua puede contribuir al diastema.
- Hábitos de respiración oral: Respirar por la boca en lugar de la nariz puede afectar la alineación de los dientes.
- Supervisión del Desarrollo Dental en Niños: La supervisión regular del desarrollo dental en niños es crucial para la prevención del diastema. Los padres y cuidadores deben estar atentos a la alineación de los dientes y la aparición de cualquier espacio inusual entre ellos.
Mitos y Realidades sobre el Diastema Dental
El diastema dental es un tema que a menudo está rodeado de malentendidos y mitos.
- Mito: Todos los casos de diastema dental necesitan tratamiento. Realidad: No todos los casos de diastema dental necesitan tratamiento. En muchos casos, el diastema es una característica estética que no afecta la salud bucal.
- Mito: El diastema solo ocurre en niños. Realidad: Aunque el diastema es común en los niños debido a la caída de los dientes de leche y la erupción de los dientes permanentes, los adultos también pueden tenerlo.
- Mito: El diastema es causado únicamente por la genética. Realidad: La genética puede jugar un papel en la formación del diastema dental, pero no es la única causa. Factores como hábitos orales, problemas de frenillo labial y la pérdida prematura de dientes también pueden contribuir al desarrollo de espacios entre los dientes.
- Mito: El diastema es solo un problema estético. Realidad: Aunque muchas personas buscan tratamiento para el diastema por razones estéticas, los espacios entre los dientes pueden tener implicaciones funcionales. Puede contribuir a problemas como la acumulación de placa, caries, y enfermedades periodontales si no se mantiene una higiene bucal adecuada.
- Mito: Los brackets son la única solución para el diastema. Realidad: Existen múltiples opciones de tratamiento para el diastema dental, y los brackets no son la única solución. Dependiendo de la causa y la severidad del diastema, otras opciones pueden incluir alineadores transparentes, carillas de porcelana, bonding dental y cirugía del frenillo.
