El diastema es un espacio o hueco que separa dos dientes adyacentes. Habitualmente, se aprecia en los incisivos superiores centrales, comúnmente conocidos como “paletas”. Aunque el diastema puede ser funcionalmente inofensivo en la mayoría de los casos, la preocupación estética es una de las principales razones por las cuales los padres buscan tratamiento.

Si tienes un diastema y quieres consultar tu caso, te recomendamos que pidas una primera cita gratuita para que un odontólogo valore tu caso.
Causas del Diastema
Existen diferentes motivos por los que una persona puede presentar un diastema, y los más comunes son:
- Genética: Los diastemas pueden heredarse, siendo habitual que la persona con diastema dental tenga algún familiar directo con esta misma característica.
- Falta de una pieza dental: Cuando un paciente ha perdido un diente, las piezas adyacentes tienden a moverse.
- Microdoncia: Anomalías en el tamaño de las piezas dentales pueden ser generalizadas o localizadas. Las primeras aparecen como diastemas múltiples repartidos en toda la boca.
- Desproporción entre los dientes y el hueso maxilar: Cuando el maxilar ha crecido demasiado, los dientes no ocupan su totalidad.
- Malposición de los dientes: Si un diente no está colocado correctamente o está girado, es posible que se formen huecos entre las piezas.
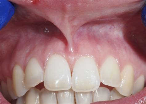
- Frenillo labial demasiado grueso y con una inserción baja: Se convierte en un obstáculo para que el hueco se cierre cuando atraviesa la mediana dentaria. A este tipo de espacio se le llama diastema interincisal.
- Mesiodens: Un micro diente supernumerario con forma cónica que suele aparecer entre los incisivos centrales, creando un diastema.
- Agenesia dental: Es la ausencia de un diente, normalmente un incisivo o un premolar porque nunca ha llegado a desarrollarse ni nacer.
- Succión digital: Un diastema interincisivo puede aparecer en niños por el hábito de “chuparse el dedo”, ya que esta succión causa la inclinación de los incisivos superiores.
- Macroglosia: El diastema se puede producir por empujar la lengua contra los dientes, provocando un desequilibrio entre la musculatura lingual y perioral.
Los frenillos labiales son bandas de tejido conectivo que unen los labios y las mejillas a la mucosa alveolar y al periostio. En condiciones normales, el frenillo labial se inserta 5 mm por encima de la encía, evitando cualquier tipo de interferencia con la alineación de los dientes.

Sin embargo, cuando el frenillo es más grande o se inserta más abajo de lo habitual, puede causar que estos dientes se mantengan separados.
¿Por qué tratar un diastema?
Aunque algunas personas consideran que un diastema puede ser una característica única y estética, en algunos casos puede afectar la función y la salud dental. Entre las razones para tratar un diastema se incluyen:
- Mejora Estética: Muchos pacientes desean una sonrisa uniforme y sin espacios.
- Función Masticatoria: Los espacios pueden afectar la mordida y la manera de masticar.
- Salud Oral: Un diastema puede dificultar la limpieza adecuada de los dientes, aumentando el riesgo de caries y enfermedad periodontal.
Tratamientos para el Diastema y el Frenillo Labial
Para establecer un tratamiento concreto, el odontólogo evalúa el caso para personalizarlo y buscar la mejor solución para cada paciente.
Los distintos tratamientos para corregir un diastema pueden ser:
- Ortodoncia: Se usa para diastemas provocados por causas genéticas, con ortodoncia metálica (brackets) o con ortodoncia invisible. Con la ortodoncia los dientes se van desplazando hasta cerrar los huecos interdentales.
- Carillas dentales de porcelana o composite: En los casos que no sea necesario realizar un tratamiento de ortodoncia, las carillas dentales pueden colocarse sobre los dientes y ocultan completamente los espacios interdentales.
- Implantes, coronas y/o puentes dentales: Si tienes un diastema debes saber que en los últimos años se ha convertido en moda dental, sobre todo en personajes famosos, que solicitan la creación de diastemas a propósito.
¿Cómo cerrar un Diastema con resina?
En casos de grandes diastemas, la intervención quirúrgica puede ser recomendada para facilitar el cierre espontáneo de los dientes y evitar problemas relacionados con la migración de los dientes. Un método diagnóstico adicional que se emplea es el test de Graber, que consiste en traccionar el labio hacia arriba y hacia adelante para observar si la papila interdental se blanquea (isquemia).
Afortunadamente, también existen diversas opciones para tratar el diastema leve de manera efectiva y discreta:
- Ortodoncia tradicional con brackets: Este es uno de los tratamientos más conocidos para corregir la posición dental.
- Invisalign: Este sistema de alineadores transparentes ha ganado popularidad debido a su comodidad, discreción y eficacia. Invisalign es una opción especialmente atractiva para quienes buscan corregir el diastema sin la visibilidad de los brackets tradicionales.
Frenectomía
En algunos casos, un frenillo labial puede causar preocupación y requerir atención especial. El frenillo labial es una estructura fibrosa que se encuentra en la parte superior e inferior de la boca, conectando el labio con las encías. En el caso del diastema provocado por el frenillo, la solución consistirá en una breve cirugía conocida como frenectomía.
La intervención para corregir esta anomalía recibe el nombre de frenectomía. Es una operación relativamente sencilla, que se lleva a cabo con anestesia local. Gracias a ella se corrige la posición original del frenillo, realizando una incisión de pequeño tamaño y llevándolo a la ubicación adecuada. Se trata de una cirugía mínimamente invasiva, de modo que la recuperación es muy rápida como sencilla.

El tratamiento del frenillo labial consiste en la extirpación quirúrgica o eliminación del frenillo. Este proceso es ambulatorio e indoloro, ya que se realiza bajo anestesia local. Si el procedimiento te desencadena algún tipo de miedo o fobia, o te genera ansiedad, se puede realizar la cirugía bajo sedación.
Recomendaciones post-operatorias:
- Aplicar hielo en la zona tratada para reducir la hinchazón.
- Mantener la cabeza erguida y evitar el ejercicio durante las primeras 24 horas.
- No escupir ni enjuagar la boca ni cepillarse los dientes durante las primeras 24 horas.
- Seguir una dieta de alimentos fríos y blandos durante las primeras 24 horas.
Se programa una revisión a la semana de la cirugía, durante la cual se retirarán los puntos y se examinará la zona para asegurarse de que todo está progresando como debería.
Otras opciones de tratamiento
- Reconstrucción de los dientes con composites directos, o bien carillas de composite o porcelana: Las carillas son pequeñas láminas de porcelana o resina que se adhieren a los dientes para mejorar su aspecto. Esta solución de estética dental es muy sencilla y disimula con eficacia el hueco que provoca el diastema.
- Coronas Dentales: Para casos más complejos o donde los dientes están dañados, las coronas dentales pueden ser una opción. Estas cubren completamente el diente afectado, restaurando su forma y función.
- Bonding Dental: El bonding dental es una técnica en la que se aplica una resina del color del diente a la superficie dental, moldeándola para cerrar el espacio. Es una solución rápida y menos invasiva, aunque puede no ser tan duradera como otras opciones. Es ideal para pequeñas correcciones estéticas.
Prevención del Diastema
Prevenir el diastema dental es posible mediante una serie de prácticas y hábitos saludables que promuevan una buena salud bucal desde una edad temprana.
- Realizar visitas regulares al dentista: Los chequeos permiten detectar y tratar problemas tempranos antes de que se conviertan en condiciones más graves.
- Mantener una higiene bucal adecuada: Una higiene bucal adecuada es esencial para prevenir muchas condiciones dentales, incluyendo el diastema.
- Evitar hábitos perjudiciales: Algunos hábitos pueden contribuir a la aparición del diastema dental, especialmente en niños. Chuparse el dedo o el uso prolongado del chupete pueden ejercer presión sobre los dientes frontales, causando separación con el tiempo.

Mitos sobre el Diastema
El diastema dental es un tema que a menudo está rodeado de malentendidos y mitos:
- No todos los casos de diastema dental necesitan tratamiento: En muchos casos, el diastema es una característica estética que no afecta la salud bucal.
- El diastema no es exclusivo de los niños: Aunque el diastema es común en los niños debido a la caída de los dientes de leche y la erupción de los dientes permanentes, los adultos también pueden tenerlo.
- La genética no es la única causa: La genética puede jugar un papel en la formación del diastema dental, pero no es la única causa. Factores como hábitos orales, problemas de frenillo labial y la pérdida prematura de dientes también pueden contribuir al desarrollo de espacios entre los dientes.
- Los brackets no son la única solución: Existen múltiples opciones de tratamiento para el diastema dental, y los brackets no son la única solución. Dependiendo de la causa y la severidad del diastema, otras opciones pueden incluir alineadores transparentes, carillas de porcelana, bonding dental y cirugía del frenillo.
Conclusión
La recomendación general es corregir este hueco entre los dientes para evitar posibles problemas, como la acumulación de placa dental que puede derivar en la aparición de caries, sobremordida horizontal con resalte, protrusión que puede provocar fracturas dentales. Si notas un espacio entre tus dientes que antes no existía o si sientes molestias al masticar o cepillarte, es recomendable acudir a un ortodoncista para una valoración.
En resumen, el diastema es una condición muy común que, aunque no siempre representa un problema de salud, puede tener consecuencias estéticas y funcionales si no se trata adecuadamente. Hoy en día, existen muchas opciones de tratamiento que hacen posible corregir este espacio dental de forma cómoda, eficaz y discreta.