El diastema dental es una pequeña separación que aparece entre dos dientes, a menudo entre los incisivos superiores, por causas diversas y tiene solución. En odontología, un diastema dental es el espacio que queda entre dos dientes. Aunque este nombre pueda resultar desconocido para la gente de a pie, ésta patología es muy fácil de identificar sobre todo cuando se da entre, lo que comúnmente conocemos, como las paletas.
Los diastemas son separaciones que existen entre los dientes. Es muy frecuente en dentición temporal o dientes de leche, encontrar diastemas entre los dientes. Muy frecuentemente estos espacios aparecen entre los incisivos superiores, aunque también se pueden dar en los incisivos inferiores, incluso entre molares (Espacios de primate). En dentición permanente, también pueden darse este tipo de espacios, siendo mas frecuente en la zona de incisivos.

Si bien algunas personas están satisfechas con la apariencia de su diastema hay otras que desean cerrar el hueco entre sus incisivos superiores para dar a la sonrisa un aspecto más uniforme. Corregir un diastema natural puede ser, en ocasiones, una decisión que responda a una mera cuestión estética. Muchas veces, tenerlo no implicará ninguna consecuencia a nivel funcional de la dentadura. Además, para muchas personas puede resultar antiestético y afectar a su autoestima y seguridad, especialmente cuando se presenta en un lugar muy visible.
Los diastemas no suponen ningún riesgo para la salud bucodental, y, por lo general, los dentistas los tratamos cuando las personas que los tienen los consideran un “problema estético” que empeora su sonrisa.
¿Por qué aparecen los diastemas?
El diastema dental es común tanto en niños como en adultos. En los niños es habitual que se desarrolle con los dientes de leche, y se suele corregir, en la mayoría de los casos, con la aparición de la dentición permanente. En el caso de los niños, los diastemas pueden desaparecer una vez que erupcionan sus dientes permanentes.
Los diastemas pueden aparecer por múltiples motivos, tanto genéticos como ambientales. Las principales causas por las que se abren espacios entre los dientes son las siguientes:
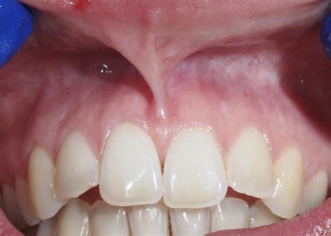
- Desarrollo excesivo del frenillo labial: Esta condición tiene su origen en la infancia. El frenillo labial es el tejido que conecta el labio superior con la encía. Si crece demasiado, puede interponerse entre los incisivos centrales superiores, separándolos y causando un diastema.
- Ausencia de dientes: La pérdida o ausencia congénita de alguna pieza dental puede hacer que los dientes vecinos se desplacen para ocupar el espacio vacío. Esto puede provocar que los dientes se separen y que la dentadura deje de estar alineada.
- Dientes más pequeños de lo normal (microdoncia): El hecho de que los dientes ocupen poco espacio en la arcada (debido a un tamaño inferior al habitual) puede causar espacios visibles entre ellos. Cuando los dientes son muy pequeños, difícilmente pueden cubrir todo el espacio reservado para ellos en la encía sin dejar huecos.
- Maxilar superior o mandíbula excesivamente desarrollados: En línea con lo anterior, unas arcadas dentales demasiado grandes pueden derivar en separaciones, ya que los dientes no abarcan todo el ancho de la arcada. También puede darse el caso contrario al anterior: que los dientes tengan un tamaño correcto y sea el maxilar el que presente una anchura mayor de lo normal. Que el hueso maxilar crezca más de lo normal provocará desequilibrios porque los dientes contarán con más espacio añadido que no podrán ocupar.
- Hábitos orales durante la infancia: ciertas costumbres, como chuparse el dedo pulgar o empujar la lengua contra los dientes, pueden provocar la inclinación de las piezas dentales, lo que también origina diastemas. Hay malas costumbres que pueden contribuir a que los dientes se desplacen de forma indebida y se separen, como apoyar la lengua sobre ellos al tragar (lo que se conoce como deglución atípica), chuparse el dedo o usar chupete durante demasiado tiempo. Llevar la lengua hacia los dientes y hacer presión con ella (en muchos de los casos de manera inconsciente) puede parecer un acto que no es perjudicial.
- Genética: Algunas personas heredan, debido a sus antecedentes familiares, la tendencia a desarrollar diastemas, especialmente entre los incisivos centrales superiores.
Otras causas:
- Dientes supernumerarios. Los mesiodens, que son los dientes supernumerarios más frecuentes, suelen generar espacios entre los incisivos centrales superiores.
- Agenesias dentarias.
- Trastornos eruptivos.
- Pérdida de dientes. La pérdida de uno o más dientes puede provocar desplazamientos de las piezas dentales vecinas, que tratan de ocupar el espacio vacío.
- Hiperactividad lingual o macroglosia. El exceso de presión y/o tamaño lingual provoca un desequilibrio entre la musculatura lingual y perioral. La presión constante de la lengua contra los dientes puede causar diastemas. Esto puede deberse a distintas causas. La macroglosia es una alteración que afecta al tamaño de la lengua. Por su parte, la deglución atípica es un patrón de deglución inadecuado, que se caracteriza por la colocación incorrecta de la lengua en el momento de tragar.
- Quiste fisurario del conducto nasopalatino.
- Discrepacia oseodentaria positiva. La longitud de la arcada maxilar es mayor que la suma de los diámetros mesiodistales de los dientes.
- Microdoncias o dientes con forma triangular. Las microdoncias son anomalías en el tamaño dentario y pueden ser generalizadas o localizadas.
- Frenillo del labio superior. En ocasiones, la causa podría relacionarse con la presencia de un frenillo hipertrófico o de inserción baja. Si este fuese el caso, se podría incorporar como opción terapéutica una valoración quirúrgica. El frenillo es ese tejido mucoso que se encuentra a la altura de los incisivos y que une la encía al labio.

Riesgos de los diastemas
Por lo general, la presencia de un diastema no suele conllevar riesgos para la salud oral. Sin embargo, la existencia de varios diastemas sí puede suponer complicaciones como las siguientes:
- Alteraciones en el habla: La presencia de huecos entre los dientes puede interferir en la pronunciación de determinados sonidos.
- Problemas estéticos: Algunas personas consideran que tener los dientes separados supone un problema estético, ya que los diastemas afectan negativamente al aspecto de su sonrisa. Por su parte, la existencia de un único diastema no suele alterar de manera severa la alineación dental.
Además, el diastema dental, no siempre supone un problema de salud bucodental. Sin embargo, en ciertas situaciones, puede favorecer a problemas de salud oral. Por ejemplo, puede dificultar la masticación y la mordida adecuada, lo que a su vez podría afectar la deglución y digestión de los alimentos. Pese a que en ocasiones puede conllevar otros problemas, un diastema no suele ser uno importante por sí mismo.
Sin embargo puede suponer un problema, cuando se desarrolla una gingivitis, o incluso una periodontitis. Esto sucede cuando nos dejamos restos de alimentos en los espacios dentarios y aparece la placa bacteriana. Cuando se pierde hueso por la enfermedad periodontal o periodontitis, los dientes se aflojan y pueden desplazarse. Además, es posible que se vuelvan más estrechos.
Es importante tener en cuenta que provocar un diastema dental artificialmente puede tener implicaciones para la salud bucodental. A su vez, recordar que la salud bucodental va más allá de seguir modas estéticas temporales.
Tratamientos para corregir los diastemas
En la mayoría de las ocasiones, los diastemas se corrigen de manera natural a medida que erupcionan los dientes definitivos, puesto que estos son más grandes que las piezas dentales temporales (de leche) y, por tanto, ocupan más espacio. Sin embargo, si una persona llega a la edad adulta con diastemas será necesario llevar a cabo un tratamiento dental para cerrar los espacios. En estos casos, la elección del tratamiento depende de varios factores, como la causa que ha originado el diastema y la severidad de los espacios. Como ya hemos mencionado, en función del origen o causa del diastema, el plan de tratamiento cambiará para eliminar el espacio entre los dientes.
Los diastemas no se corrigen siempre de la misma manera. Por lo general, el tratamiento más adecuado depende de la causa que haya originado los espacios, de su severidad y de la edad de la persona.
Los diastemas se pueden cerrar mediante 3 tipos de tratamientos: ortodoncia, carillas o frenectomía o una combinación de todos.
¿Cómo cerrar un Diastema con resina?
1. Ortodoncia
La ortodoncia es uno de los tratamientos más eficaces para solucionar un diastema, ya que permite eliminar o reducir los espacios entre los dientes. Sin embargo, también es el procedimiento que más tiempo requiere. Esto se debe a que, cuando se opta por la ortodoncia, también es necesario alinear el resto de dientes de la boca. Por tanto, podemos decir que la ortodoncia es una de las opciones más adecuadas, pero requiere tiempo y paciencia.
Se considera primordial el tratamiento de ortodoncia salvo que la mordida esté bien y los dientes estén alineados. El cierre de espacios mediante ortodoncia es necesario en más de un 90%de los casos para que el tratamiento sea perfecto. Muchas veces, existe una discrepancia dento-dentaria (Índice de Bolton) en el tamaño de los dientes de la arcada superior con respecto a la arcada inferior. Normalmente, la suma de las tallas de los dientes superiores es mayor al de los inferiores; cuando es inferior, el paciente requerirá la realización de carillas, a parte de la ortodoncia, para cerrar los espacios dentales una vez que los dientes estén alineados.
La ortodoncia, ya sea con brackets o con alineadores transparentes, es uno de los principales tratamientos para cerrar los diastemas a cualquier edad. Esto se debe a que la ortodoncia permite aplicar una presión gradual sobre los dientes para moverlos y cerrar los espacios. Además, en la actualidad existen diferentes tipos de tratamiento ortodóncico, como la ortodoncia invisible, por lo que los brackets ya no son la única alternativa terapéutica.
2. Frenectomía
La frenectomía es otro de los tratamientos que permiten solucionar un diastema. Es una cirugía muy sencilla y mínimamente invasiva que está indicada cuando los incisivos centrales superiores están separados debido a un frenillo labial demasiado grueso. En estos casos, la frenectomía permite eliminar el exceso de tejido, lo que favorece que los dientes puedan juntarse. Sin embargo, para que esto ocurra será imprescindible realizar un tratamiento adicional.
La razón es que, una vez eliminado el exceso de frenillo, el espacio seguirá estando. Por tanto, habrá que completar el procedimiento con ortodoncia o carillas dentales.
Si un frenillo demasiado grueso es lo que separa dos dientes, la solución pasa por extirparlo mediante una cirugía muy sencilla. En aquellos casos en los que está indicado, se optará por la cirugía, eliminando el frenillo.
Se trata de una cirugía mínimamente invasiva que realiza un corte en el frenillo para desinsertarlo correctamente para posteriormente proceder al cierre con ortodoncia.
En el caso de los niños, un diastema que tiene su origen en un frenillo labial demasiado grande o grueso puede corregirse con una frenectomía. Esta es una cirugía mínimamente invasiva que sirve para extirpar el frenillo labial. En nuestra clínica dental, salvo en casos muy severos, recomendamos realizar la frenectomía una vez cerrado el diastema con un tratamiento de ortodoncia. Si se realiza antes, cabe la posibilidad de que el tejido de cicatrización dificulte más el cierre del espacio que el propio frenillo.
3. Carillas dentales
Si el espacio que hay entre los dientes es relativamente pequeño y la persona desea resultados inmediatos, el tratamiento con carillas dentales puede ser el más recomendable. Para disimular un diastema con carillas se pueden utilizar distintos materiales, como el composite y la porcelana. De porcelana o composite, utilizamos las carillas en la forma y el tamaño adecuados para disimular y cubrir el espacio interdental, haciendo “desaparecer” el diastema.
Por lo general, las carillas se reservan para los diastemas muy leves, que no comprometen la correcta alineación dental. Las carillas son unas láminas muy finas, normalmente confeccionadas con porcelana o composite, que se adhieren a la superficie frontal de los dientes.
Dado que permiten corregir múltiples defectos, también pueden ser diseñadas para cubrir un espacio y disimular el diastema entre dos dientes. El objetivo en estos casos es, sin tallar ni debilitar el diente del paciente, “maquillar” la alteración para proporcionar un tamaño y una anatomía adecuados.
Se suelen usar cuando los dientes son muy pequeños y es necesario aumentar la anchura. También cuando existen alteraciones en el tamaño y en la forma que impiden que quede el caso estéticamente aceptable.
4. Implantes dentales
Los implantes están indicados cuando los diastemas están provocados por la ausencia de piezas dentales. No obstante, lo habitual es tener que combinar la colocación de implantes con un tratamiento de ortodoncia, lo que permite alinear todos los dientes y dotar de funcionalidad a la boca.
Ante los diastemas provocados por la ausencia de dientes es posible que haya que recurrir a implantes dentales para rellenar los espacios vacíos. En algunos casos, tras haber repuesto los dientes faltantes con implantes resulta necesario colocar un tratamiento de ortodoncia. De esta manera, se termina de alinear la dentadura y de cerrar los espacios.

¿Se pueden prevenir los diastemas?
La aparición de diastemas no siempre se puede prevenir. Esto se debe a que algunos de ellos están determinados por la genética de la persona (tamaño del maxilar superior, hiperdoncia, macroglosia…). No obstante, hay algunas ocasiones en las que se puede reducir el riesgo de desarrollarlos.
Para ello, es necesario vigilar los hábitos orales infantiles que, aunque parezcan inofensivos, pueden comprometer el desarrollo dental (succión del dedo pulgar, colocación inadecuada de la lengua…). Por ello, en caso de detectar este tipo de costumbres en los niños resulta necesario consultar con un odontopediatra o un ortodoncista.
De la misma manera, es necesario mantener una buena higiene bucodental para reducir el riesgo de presentar enfermedades bucodentales asociadas a las bacterias, lo que puede derivar en la pérdida de dientes (caries, gingivitis, periodontitis…).
Consideraciones finales
Si presentas un diastema y quieres corregirlo, te invitamos a acudir a una primera visita gratuita a una de nuestras clínicas dentales. Primero, se realizó un diagnóstico inicial exhaustivo para comprobar todas las opciones viables, desde el punto de vista clínico, para el paciente de manera individualizada. Por último, una vez que el diseño es aprobado por el paciente se procede a realizar el tratamiento estético. Como ves, existen distintas soluciones para corregir los diastemas. Por ello, es esencial acudir a un ortodoncista para que pueda valorar el caso y establecer un plan de tratamiento personalizado. En Ortodoncia Mirasierra contamos con un equipo de ortodoncistas especializados, con décadas de experiencia en el tratamiento de diastemas.
Por último, el tiempo de tratamiento de un diastema difiere entre cada paciente.