Como odontopediatra, quiero hablarte de un problema común y serio en la salud bucodental infantil: las caries en los dientes de leche (también conocidas como caries en edad temprana). Muchos padres piensan que, al ser piezas que “se caerán solas”, no es grave que desarrollen caries, pero esta idea es un mito. En este artículo te voy a explicar por qué es vital cuidar los dientes de leche, cómo identificar la caries infantil a tiempo, cómo prevenirla y qué tratamientos existen para las caries en niños pequeños.
Mi objetivo es que cuando termines de leer, tengas toda la información y consejos prácticos que necesitas para proteger la sonrisa de tu hijo.

¿Qué es y cómo se forma una caries dental en niños?
La caries es una enfermedad infecciosa del diente causada por bacterias que desmineralizan el esmalte y generan agujeros u orificios. En el contexto infantil, las caries pueden aparecer desde que surge el primer diente de leche (alrededor de los 6 meses de edad). De hecho, incluso un bebé de un año puede presentar caries si se dan las condiciones para ello.
Proceso de formación
Dentro de la boca viven numerosas bacterias, entre ellas Streptococcus mutans, la principal causante de caries. Estas bacterias se alimentan de los azúcares de la dieta (ya sean azúcares añadidos en dulces o incluso los azúcares naturales de la leche materna o el biberón).
Cuando las bacterias metabolizan esos restos de comida producen ácidos que atacan el esmalte dental. Tras cada comida o bebida azucarada, se desencadena un “ataque ácido” en los dientes que puede durar 20 minutos o más.
Normalmente, la saliva y el fluoruro ayudan a remineralizar el esmalte, reparando los daños de estos ataques. Pero si los ataques ácidos son muy frecuentes (por picar alimentos azucarados a menudo o dormir con el biberón, por ejemplo) y la higiene es deficiente, la balanza se inclina hacia la desmineralización continua.
¿Por qué los niños son tan vulnerables a las caries?
- Higiene en aprendizaje: Los niños pequeños dependen de sus padres para la limpieza dental.
- Dieta azucarada: Los bebés y niños suelen consumir leche, papillas, zumos y dulces.
- El uso prolongado del biberón con líquidos azucarados (leche, fórmula o zumos) es la principal causa de la llamada «caries del biberón», un tipo de caries rampante que afecta sobre todo a los incisivos superiores.
- Transmisión de bacterias: Las bacterias cariogénicas pueden transmitirse de la saliva de los padres al bebé (por ejemplo, al soplar o probar su comida, o “limpiar” el chupete con la boca).
La caries en dientes temporales se origina por la combinación de bacterias, azúcares, mala higiene y esmalte vulnerable.
¿Por qué es importante tratar las caries en los dientes de leche?
Puede que te preguntes: «Si el diente de leche se va a caer, ¿realmente importa tratar la caries?» La respuesta es sí, importa y mucho.
Charla para niños sobre salud bucal
- Dolor e infección: Una caries no tratada avanza hacia capas más profundas del diente. Puede alcanzar la pulpa (el nervio), causando dolor intenso e infección (flemones o abscesos). Un niño con dolor de muelas no puede comer ni dormir bien y su calidad de vida se ve seriamente afectada.
- Pérdida prematura del diente: Si la destrucción es grande, el diente de leche podría tener que extraerse antes de tiempo. Los dientes de leche son “guías” para los permanentes: mantienen el espacio en el maxilar para que luego erupcionen correctamente. Cuando un diente de leche se pierde demasiado pronto, los dientes vecinos tienden a moverse y ocupar ese espacio vacío. Esto puede provocar que cuando salga el diente definitivo no tenga sitio, quedando torcido o montado. En muchos casos habrá que recurrir a ortodoncia en la adolescencia para corregir apiñamientos que se podrían haber evitado.
- Daño al diente permanente en formación: Debajo del diente de leche cariado está el germen del diente definitivo. Las bacterias e inflamación pueden afectar a ese diente en desarrollo. Como resultado, el diente permanente podría salir con manchas, malformaciones o esmalte débil.
- Dificultades al comer y hablar: Los dientes temporales sirven para masticar bien los alimentos (nutrición adecuada) y para pronunciar correctamente las palabras. Si varios dientes están cariados o faltan, el niño puede tener problemas para comer ciertas comidas, lo que impacta su crecimiento.
- Autoestima e imagen: Aunque sean pequeños, los niños pueden sentirse cohibidos por tener “dientitos negros o rotos”. Una sonrisa sana influye en su autoestima.
Por lo tanto, tratar las caries en dientes de leche es necesario para evitar dolor, proteger los dientes permanentes y asegurar un desarrollo bucodental adecuado. Nunca debemos pensar que “da igual porque se caerá”; ese pensamiento puede costarle caro a la salud del niño.

¿Cómo detectar la caries en los dientes de los niños?
Si notas o sospechas que tu hijo tiene una caries, acude al odontopediatra cuanto antes. Detectar a tiempo una caries incipiente en tu hijo puede marcar la diferencia entre un pequeño empaste o tratamientos más complejos. ¿En qué debes fijarte?
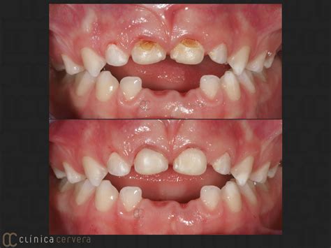
- Manchas blancas opacas en el diente: Es la primera fase de la caries. Aparece un parche blanco tiza o amarillento donde el esmalte ha empezado a desmineralizarse. En esta etapa no duele y el daño aún puede revertirse con flúor y mejor higiene.
- Cambios de color marrón o negro: Conforme la caries avanza, la mancha se oscurece. Pueden verse puntitos o bordes de color marrón claro, marrón oscuro o negro en la superficie del diente (especialmente en fisuras o entre diente y diente).
- Agujeros visibles o diente roto: Cuando la caries sigue su curso, perfora el esmalte por completo y crea una cavidad (un agujero). El diente puede astillarse o romperse en la zona afectada. A simple vista verás un huequito o falta de estructura dental. En niños, es común notar molares de leche con «cavernitas» negras: esas son caries ya establecidas.
- Dolor, inflamación o absceso: Una caries profunda llega a la pulpa (nervio) causando dolor intenso, a veces constante o que despierta al niño por la noche. La encía cercana puede verse hinchada e incluso aparecer un flemón (un bulto con pus). Si llegamos a este punto, la infección es seria.
- Mal aliento persistente: Las caries pueden provocar halitosis en niños, debido al cúmulo de bacterias y a la descomposición de tejidos.
¿Qué hacer si sospecho que mi hijo tiene caries?
No esperar. Programa una visita con el odontopediatra. En consulta, confirmaremos el diagnóstico examinando cada diente con un espejo especial. Recuerda que las caries avanzan rápido en niños, así que el tiempo es oro. Si actúas cuando solo ves una mancha blanca, posiblemente evites el empaste. Si esperas a que haya dolor, el tratamiento será más complejo.
Mi consejo profesional: Revisa los dientes de tu hijo regularmente en casa (en un lugar bien iluminado, incluso con una linterna). Hazlo de forma lúdica, como un juego de “vamos a contar los dientecitos”, para que el niño no se asuste.
Causas de la caries infantil
Hemos hablado un poco de cómo se forma la caries, pero profundicemos en las situaciones concretas que disparan el riesgo de caries infantil. La falta de higiene dental es la causa número uno. Si no cepillamos los dientes de leche a diario, la placa bacteriana (esa película pegajosa de bacterias y restos) campa a sus anchas. La placa convierte azúcares en ácidos que causan caries, así de simple.
Muchos padres no limpian las encías o dientes de sus bebés pensando que “aún es pequeño”. Error: desde antes del primer diente se recomienda limpiar encías con una gasita húmeda diaria, y cuando brota el diente, empezar con cepillo infantil y pasta fluorada (tamaño “grano de arroz” de pasta). Si tu hijo ya es mayorcito, asegúrate de que se cepilla al menos dos veces al día (mañana y noche) y supervisa o repasa su cepillado hasta que tenga la destreza suficiente (aproximadamente hasta los 7-8 años).
No es sorpresa: el consumo frecuente de dulces y bebidas azucaradas provoca caries. En los peques, esto incluye no solo chuches o chocolates, sino galletas, bollería, zumos de cajita, batidos, refrescos y alimentos de grano refinado (pan blanco, pasta) que se convierten rápidamente en azúcares simples.
- El bebé que duerme con biberón de leche o zumo: La leche (materna o de fórmula) tiene azúcares naturales (lactosa). Si el bebé se queda dormido con el pecho o biberón en la boca repetidamente, esos azúcares bañan sus dientes por mucho tiempo. Esto causa la famosa “caries del biberón”, que afecta especialmente a los incisivos superiores. Para prevenirlo: no acostumbres al bebé a dormirse alimentándose; ofrécele el biberón antes, y luego limpia sus dientes/encías. Nunca añadas azúcar, miel o cereales al biberón, ni untes el chupete en nada dulce.
- El niño que picotea chuches a todas horas: Ir ofreciendo galletitas, zumos o golosinas entre comidas mantiene los dientes en un estado constante de ataque ácido. Una mala alimentación con exceso de azúcares es receta segura para caries. Complementariamente, falta de nutrientes como calcio, fosfato, vitamina D o magnesio también puede debilitar los dientes.
Como mencioné, las bacterias que causan caries pueden pasar de tu boca a la de tu hijo. Costumbres aparentemente inofensivas como soplar su comida, «limpiar» su chupete con tu saliva, o compartir cuchara pueden transferir Streptococcus mutans y compañía a tu bebé. Incluso besos en la boca (que algunos padres dan a sus bebés) son una vía. Lo mejor es evitar estas prácticas: lleva siempre un repuesto limpio de chupete, usa agua para enfriarle la papilla en vez de soplarla, y no compartas utensilios de comida.
Hay niños más predispuestos a caries que otros, incluso con higiene y dieta similares.
- Calidad del esmalte: Durante el desarrollo embrionario y de la primera infancia, ciertas enfermedades o deficiencias pueden resultar en esmalte hipomineralizado (dientes con manchas blancas opacas de “hipoplasia” que son más frágiles).
- Cantidad y calidad de la saliva: La saliva ayuda a neutralizar ácidos. Un niño con flujo salival bajo o saliva de pH más ácido puede tener más riesgo.
- Genética de bacterias: La composición de la microbiota oral varía según el individuo.
El flúor es un aliado poderoso contra la caries, porque refuerza el esmalte y lo hace más resistente al ataque ácido. La falta de exposición al flúor aumenta el riesgo de caries. Hoy en día, muchas regiones cuentan con agua potable fluorada, y además usamos pastas dentales fluoradas. Pero si, por ejemplo, usas solo pasta sin flúor “por ser natural” o no das suplemento de flúor en zonas no fluoradas, podrías estar dejando los dientes de tu hijo desprotegidos.
Usa pasta dental con al menos 1000 ppm de flúor para niños (desde el primer diente), en cantidad adecuada a su edad.
En conclusión, las causas de la caries infantil giran en torno a malos hábitos (higiene inadecuada, dieta azucarada) y ciertos factores de riesgo (bacterias transmisibles, esmalte débil).
Prevención de la caries infantil
La prevención es la clave. Evitar la caries es mucho más fácil, barato y agradable que tratarla.
- Limpieza temprana: Antes de que salga el primer diente, limpia las encías de tu bebé una vez al día con una gasa húmeda o dedal de silicona. Hazlo preferiblemente por la noche, para eliminar restos de leche.
- Primer diente, primer cepillo: Cuando erupcione el primer diente (aprox. 6 meses), comienza a cepillarlo suavemente con un cepillo infantil de cabezal pequeño y cerdas suaves. Aplica una cantidad minúscula de pasta fluorada (1000 ppm) - tamaño grano de arroz.
- Cepillado diario asistido: Cepilla los dientes de tu hijo dos veces al día mínimo (mañana y noche), idealmente después de cada comida principal. Por la noche es innegociable. Hasta los 6-7 años, ellos no tienen la destreza manual para limpiar bien, así que los padres deben cepillar o repasar. Hazlo de forma delicada pero efectiva, limpiando todas las caras de cada diente.
- Uso de hilo dental: Si los dientes de tu niño están muy juntos (sin espacios), considera pasar hilo dental en esas zonas una vez al día cuando notes contacto entre dientes. Las caries interdentales son comunes en niños que ya tienen molares de leche contiguos.
- Evita el azúcar añadido en bebés: No endulces el biberón ni uses chupetes “saborizados”. La caries del biberón se previene no dejando que el niño se duerma con leche o líquidos azucarados en la boca. Si necesita succión para dormir, ofrécele agua.
- Limita chuches y refrescos: Establece una norma familiar de que las golosinas, chocolates, refrescos y bollería son ocasionales. No tengas una despensa repleta de ellos al alcance diario. Mejor ofrécelos esporádicamente, quizás en fiestas, fines de semana o como postre puntual. Especial cuidado con las chucherías pegajosas (gominolas, caramelos toffee): se quedan adheridas a los dientes más tiempo. Cada ingesta inicia un ataque ácido; hay que dar tiempo a la saliva a reparar. Si pide algo entre horas, que sea lo menos cariogénico posible: por ejemplo, unos palitos de zanahoria cruda, queso, jamón, o frutos secos (si ya los mastica bien).
- Alimentos aliados: Incluye en su dieta alimentos crudos y fibrosos como manzana, pera, zanahoria cruda, pepino, pan integral duro… Estos alimentos requieren masticación vigorosa, lo cual aumenta la saliva (protege el esmalte) y además la textura fibrosa ayuda a “arrastrar” placa bacteriana. Son como un “cepillado natural” en el snack.
- Pasta dental fluorada: Reitero la importancia del flúor tópico diario con la pasta de dientes. Muchos padres dudan por temor a que el niño trague algo de pasta. La evidencia indica que usar la cantidad recomendada según la edad es seguro y previene caries.
- Aplicaciones profesionales de flúor: El odontopediatra puede aplicar barniz de flúor en los dientes de leche periódicamente (por ejemplo cada 6 meses) si tu hijo tiene riesgo alto de caries o ya ha tenido lesiones. Esto remineraliza el esmalte y puede incluso detener caries incipientes.
- Selladores de fosas y fisuras: Son unas resinas fluidas que se colocan sobre la superficie masticatoria de muelas (generalmente en molares permanentes apenas erupcionan, pero en niños con caries tempranas también se pueden poner en molares de leche). Actúan como barrera física para que no se acumulen bacterias en los surcos. Si tu peque ya tuvo varias caries en dientes de leche, cuando le empiecen a salir las muelas definitivas (aprox. 6 años), pregunta al odontopediatra si es buena idea sellárselas.
- Primera visita antes del primer año: La recomendación oficial es que lleves a tu hijo al dentista con la erupción del primer diente o antes de su primer cumpleaños. Parece muy pronto, pero esa primera visita es crucial: el dentista revisará que todo marche bien, te enseñará técnicas de higiene, consejos de alimentación, y evaluará riesgo de caries.
Tratamientos de la caries infantil
Hay que tratar la caries infantil aunque aparezcan en los dientes de leche. Existen diversos tratamientos para estas lesiones y el odontopediatra aplicará el más adecuado dependiendo de la gravedad. Un diente cariado se puede reparar si está en sus primeras etapas. Pero en los casos más graves será necesario extraerlo.
Veamos cuáles son los tratamientos disponibles para las caries infantiles.
- Aplicación de flúor: Si la caries se detecta en su primera fase, cuando aún es una mancha blanca, el tratamiento es sencillo. El odontopediatra aplicará flúor en la zona afectada para restaurar el esmalte y evitar que la lesión siga avanzando. Los dentífricos con flúor ayudan a remineralizar el diente, pero puede que no sea suficiente. Por eso, el dentista aplica tratamientos con flúor en el consultorio. Estos pueden ser en gel, espuma, líquido o barniz.
- Restauraciones con empaste: Cuando la caries avanza y se forma una cavidad en el diente, no es suficiente aplicar flúor. En este caso el odontopediatra recurrirá a una restauración con empaste. El tratamiento consiste en limpiar la zona que está dañada para dejarla libre de bacterias y luego la sella con el empaste. Los empastes para rellenar las caries más comunes son de resina y porcelana. Ambos imitan la apariencia del diente, por lo que no se notará que está ahí.
- Pulpotomía o pulpectomía: Son dos tratamientos distintos que se aplican cuando la caries ha avanzado hasta la pulpa del diente. La aplicación de uno u otro depende de la magnitud del daño que ha provocado en la pulpa del diente. La pulpotomía se aplica cuando el daño se ha producido solo en una parte de la pulpa. Y lo que se hace es extraer la parte dañada. Por otra parte, la pulpectomía se aplica cuando es necesario extraer toda la pulpa a causa de la caries.
- Extracción de diente: Si la caries avanza y provoca un daño extenso en el diente de leche, entonces el especialista optará por extraerlo. Hay que hacerlo antes de que las bacterias afecten al diente permanente, que aún no ha salido. Cuando se aplica este tratamiento, por lo general se coloca un mantenedor de espacio. De modo que el resto de las piezas no se muevan al lugar del diente que falta y le quiten espacio al diente permanente.
Llevar a los niños al dentista a tiempo permitirá detectar cualquier lesión a tiempo. Y con ello, evitar llegar a la extracción del diente cariado.
Caries del biberón: un riesgo específico
Dejar que los niños pequeños se duerman con el biberón o lo usen mucho tiempo, agregar miel o azúcar al biberón o al chupete, también influyen en la aparición de las caries tempranas. La exposición repetida a líquidos azucarados, durante tiempos prolongados, provoca la caries del biberón.
¿Qué es la caries precoz infantil?
La caries precoz o caries de la infancia temprana es la que aparece en niños menores de cinco años. Sabemos que, desde que comienza la dentición del bebé, es propenso a la aparición de caries si no se le da un cuidado apropiado. Por eso hay que evitar que succione mucho tiempo el biberón o el chupete. Y también hay que cepillar los dientes y encías del bebé con una gasa húmeda o un paño suave. Así se eliminan los restos de alimentos de su boca que pueden provocar las caries.
Lo mejor es prevenir la caries infantil antes de que aparezca. Así será posible que el niño crezca con dientes sanos. Visita al odontopediatra con frecuencia para que detecte cualquier lesión a tiempo.