El tratamiento ortodóntico ha demostrado ser una solución eficaz para corregir una variedad de problemas dentales, como la maloclusión y los dientes apiñados. A medida que más personas optan por mejorar la alineación de sus dientes, también surgen inquietudes relacionadas con los efectos secundarios del tratamiento. Uno de los problemas comunes que pueden surgir después de la ortodoncia es la aparición de manchas blancas en los dientes.
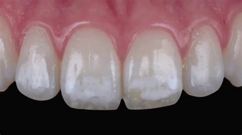
Las manchas blancas en los dientes son zonas del esmalte dental con pérdida de mineralización. Esto significa que el esmalte, la capa externa dura que protege el diente, ha perdido contenido mineral en ese punto, volviéndose más poroso. Al ser más poroso, refleja la luz de forma diferente y se ve de color blanco opaco o tiza, en contraste con el resto del diente.
Estas manchas se caracterizan por un aspecto opaco y más claro que el esmalte circundante. Aunque pueden ser estéticamente preocupantes, en la mayoría de los casos, si son detectadas a tiempo, no son dañinas y no indican un problema dental subyacente. Cuidar el esmalte dental, cuya función es proteger al diente, es imprescindible para evitar la aparición de manchas blancas en los dientes.
Es importante destacar que la presencia de las manchas blancas no es inevitable durante el tratamiento ortodóntico. Con una buena higiene oral y el cuidado adecuado, es posible minimizar el riesgo de desarrollarlos. A continuación, exploraremos las causas, los tratamientos disponibles y las medidas preventivas para mantener una sonrisa saludable y radiante.

Causas de las Manchas Blancas en los Dientes
La causa principal de las manchas blancas es la acumulación de placa dental alrededor de los brackets o alambres durante el tratamiento ortodóntico. La placa dental es una película pegajosa compuesta principalmente de bacterias y restos de alimentos. Esta placa, al no ser removida eficazmente mediante el cepillado y el uso de hilo dental, produce ácidos que atacan el esmalte dental alrededor de los brackets, lo que conduce a la desmineralización del esmalte dental.
Desde mi experiencia, puedo decirte que no todas las manchas blancas son iguales. Sus causas varían, y podemos clasificar los tipos más comunes según su origen. Conocer el “porqué” de cada tipo nos ayuda a determinar el mejor tratamiento después.
Las manchas blancas en los dientes, suelen ser una de las causas de consulta que nos hacen los pacientes en nuestras clínicas dentales. Tener manchas blancas en los dientes, no solo puede afectar estéticamente a la sonrisa, si no que puede afectar internamente a la estructura de la pieza y por ello, es importante determinar la causa de las manchas blancas en los dientes y descartar patologías asociadas.
Desmineralización del Esmalte por Placa Bacteriana
Una de las causas más frecuentes de manchas blancas es la desmineralización del esmalte por acumulación de placa bacteriana. ¿Te suena eso de “caries incipiente” o lesión blanca? Es justamente esto: el inicio de una caries. Cuando no hay una higiene adecuada, las bacterias de la placa producen ácidos que roban minerales del esmalte, dejándolo débil y poroso.
Ortodoncia y manchas blancas: Los brackets en sí no causan manchas, pero llevar ortodoncia fija dificulta la limpieza. Si durante el tratamiento de ortodoncia no se cepilla bien alrededor de los brackets, la placa acumulada desmineraliza el esmalte bajo y alrededor de cada bracket. Al retirar la ortodoncia, aparecen esas marcas cuadradas blancas en la superficie del diente (lesiones de descalcificación). Es un recordatorio de que la higiene fue insuficiente en esas zonas.
Las manchas por desmineralización indican una alerta temprana. El esmalte se está debilitando y, si no actuamos, esa mancha blanca puede progresar a una cavidad marrón (caries ya avanzada). La buena noticia es que, detectadas a tiempo, estas lesiones iniciales son reversibles o al menos podemos detener su avance.
Fluorosis Dental
Otra causa típica, sobre todo en niños o jóvenes, es la fluorosis dental. La fluorosis ocurre cuando hubo exceso de flúor durante la formación de los dientes definitivos, es decir, cuando eras niño/a. ¿Cómo saber si es fluorosis? Las manchas por fluorosis suelen ser múltiples, difusas y simétricas.
Aparecen como manchitas o vetas blancas opacas (en casos leves) en varios dientes, especialmente en los incisivos delanteros. En casos más severos de fluorosis, el esmalte puede tener áreas marrones y una superficie irregular, pero la mayoría de fluorosis que veo en consulta son leves, manifestándose sólo como zonas blancas. No duelen ni afectan la función, y de hecho ese esmalte con fluorosis suele ser bastante resistente a la caries.
La fluorosis ocurre por ingerir demasiado flúor de pequeño: por ejemplo, tragar pasta de dientes fluorada frecuentemente, tomar suplementos de flúor sin necesitarlos, o vivir en zonas con agua potable excesivamente fluorada. El período crítico es antes de los 8 años de edad, aproximadamente, que es cuando se están formando los dientes permanentes bajo las encías. Si de niño tuviste fluorosis, seguramente tus padres notaron esas manchas al salir tus dientes permanentes y se habrán preguntado qué pasó.
Hipoplasia del Esmalte
Hablamos de hipoplasia del esmalte cuando el esmalte no se formó correctamente desde un inicio. En este caso, la causa no es algo que le pasó al diente por fuera (placa o ácidos), sino algo que ocurrió durante la formación del diente dentro de la encía.¿Qué puede provocar hipoplasia?
- Deficiencias nutricionales o vitamínicas en la infancia: por ejemplo, falta de calcio o vitamina D (esta vitamina ayuda a fijar el calcio en dientes y huesos).
- Enfermedades o fiebre alta en la niñez: enfermedades sistémicas, sarampión, varicela, o episodios de fiebre intensa pueden interferir en la correcta formación del esmalte.
- Enfermedad celíaca no diagnosticada: la celiaquía en niños, al conllevar problemas de absorción de nutrientes, a veces ocasiona defectos en el esmalte. De hecho, los odontopediatras sabemos que ver múltiples manchas y defectos en el esmalte de un niño podría ser una pista de celiaquía, y recomendamos descartar esa posibilidad con el pediatra.
- Medicamentos o químicos durante la formación dental: ciertos antibióticos como tetraciclinas (hoy en día casi no se dan a niños pequeños) causan manchas dentales, aunque suelen ser más grisáceas o marrones que blancas. Otros fármacos o incluso la exposición a algunos químicos podrían afectar el esmalte en desarrollo.
Las manchas blancas por hipoplasia pueden presentarse en uno o varios dientes. A veces es una sola manchita blanca en un diente (posiblemente por un trauma o infección local durante desarrollo), y otras veces vemos un patrón en varios dientes implicando un factor sistémico (por ejemplo, manchas similares en los primeros molares e incisivos, que se forman al mismo tiempo - eso ocurre en la hipomineralización incisivo-molar, una condición bastante común).
La hipoplasia del esmalte no siempre produce manchas blancas brillantes; a veces el esmalte defectuoso es más bien amarillento o marrón claro. Lo importante de la hipoplasia es entender que ese trozo de diente nació “débil”. Esmalte más fino o poroso, que puede predisponer a caries y sensibilidad.
Traumatismos
Un golpe o traumatismo en un diente puede también causar una mancha blanca, aunque es un caso menos común.
- Traumatismo en un diente de leche que afecta al permanente en formación: Por ejemplo, una caída fuerte cuando eras pequeño que lesionó un diente de leche puede dañar el germen del diente permanente que estaba debajo. El diente permanente, al salir años después, podría mostrar un defecto en el esmalte (llamado diente de Turner). A veces ese defecto se manifiesta como una mancha blanca opaca en la superficie del diente permanente afectado (otras veces puede ser amarillenta o marrón, dependiendo del grado de daño).
- Traumatismo en un diente permanente ya erupcionado: Si recibes un golpe fuerte en un diente permanente (por ejemplo, en un accidente deportivo), pueden pasar dos cosas: que se dañe la pulpa (nervio) y entonces el diente se oscurezca (se pone grisáceo), o que la agresión provoque una pequeña descalcificación interna en el esmalte. En este segundo caso, a veces con el tiempo aparece una zona opaca blancuzca en el diente traumatizado.
Como ves, las manchas blancas tienen distintos orígenes: desde una caries incipiente por mala higiene, hasta haberse formado así por factores de la infancia (exceso de flúor, falta de minerales, enfermedades) o por situaciones puntuales como traumatismos.

Diagnóstico de las Manchas Blancas
Identificar el tipo de mancha blanca es clave, ya que de ello depende cómo de urgente es el tratamiento y qué enfoque debemos darle. Cuando un paciente llega a mi consulta preocupado por manchas blancas, lo primero que hago es un buen diagnóstico diferencial. Como dentista, debo determinar qué tipo de mancha blanca es, porque como acabamos de repasar, las causas son variadas. ¿Cómo las diagnostico?
- Historia clínica y examen visual: Te haré preguntas como: ¿Desde cuándo notaste la mancha? ¿Cambió de tamaño o color? ¿Tuviste aparatos de ortodoncia? ¿Cómo es tu dieta y tu higiene? ¿En tu infancia tomaste suplementos de flúor o tuviste alguna enfermedad importante? Toda esta información da pistas. Luego, con boca abierta y buena luz, observo el aspecto de la mancha: su forma, color, ubicación y si hay más dientes afectados.
- Secado del diente: Un truco diagnóstico es secar el diente con aire durante unos segundos. Cuando el esmalte pierde humedad momentáneamente, las lesiones desmineralizadas se ven más blancas y opacas. Si al secar la mancha “resalta” mucho más, es indicativo de que esa zona está porosa (lesión incipiente de caries). Las manchas de fluorosis e hipoplasia también se ven más opacas en seco, pero estas suelen ser evidentes incluso con el diente húmedo.
- Palpación/probing suave: Paso la sonda exploradora suavemente sobre la superficie. Si la mancha blanca está áspera o rugosa al tacto, es señal de desmineralización activa (caries incipiente). Si está lisa, podría ser una mancha de fluorosis o una hipoplasia ya consolidada. ¡Ojo! Nunca raspo fuerte una mancha blanca, porque si es caries incipiente no quiero fracturar ese esmalte debilitado.
- Radiografías (si es necesario): Las radiografías dentales no siempre muestran las manchas blancas, pero pueden ayudar. Por ejemplo, si sospecho que bajo una mancha blanca de caries incipiente ya hay caries avanzada, una radiografía de aleta (bite-wing) puede revelar si hay cavitación interna o lesión entre dientes no visible externamente.
- Diferenciar mancha extrínseca vs intrínseca: Aunque las manchas blancas suelen ser intrínsecas del esmalte, a veces el paciente confunde placa bacteriana o sarro blanco con manchas del diente. Durante el examen, verifico si la supuesta «mancha» en realidad es placa dental acumulada (que a veces luce blanquecina o amarillenta mate). Si al limpiar con la sonda se desprende, era placa o sarro, no una mancha del esmalte.
El diagnóstico lo hacemos combinando observación, historial y pruebas clínicas. Una vez identificada la causa, clasificamos también la severidad. Esta valoración nos orienta en el siguiente paso: el plan de tratamiento.
Tratamientos para las Manchas Blancas en los Dientes
Llegamos al punto clave: ¿Cómo se pueden quitar o disimular las manchas blancas? La buena noticia es que hoy en día contamos con múltiples tratamientos según la causa y la intensidad de la mancha.
Es importante resaltar que tratamientos como la ortodoncia no producen manchas blancas en los dientes, salvo en aquellos casos en que el paciente no haya mantenido una adecuada higiene bucodental durante el proceso.
Remineralización con Flúor u Otros Productos
Si la mancha blanca es por desmineralización incipiente (inicio de caries), el primer paso es devolver minerales al esmalte. Podemos aplicar barnices de flúor de alta concentración sobre el área blanca para que el esmalte vuelva a fortalecerse. También existen pastas con calcio y fosfato (como las que contienen CPP-ACP) que ayudan a remineralizar.
Este tratamiento es conservador y funciona en lesiones muy iniciales. Requiere constancia (aplicaciones repetidas, mejorar higiene y dieta) y revisiones para controlar que la mancha no progrese.
Microabrasión Dental
Esta técnica estética es genial cuando tenemos manchas blancas superficiales en el esmalte (típico en fluorosis leve o alguna hipoplasia localizada). Consiste en pulir una capa muy fina del esmalte superficial para literalmente “desbastar” la mancha. Se usa una mezcla abrasiva especial con ácido suave y piedra pómez para lijar controladamente el esmalte manchado.
Es un procedimiento indoloro (no hace falta anestesia generalmente) y minimamente invasivo. Después de unas cuantas aplicaciones, la mancha blanca se atenúa o desaparece porque hemos eliminado esa capa porosa opaca. La microabrasión va seguida de un pulido y fluoruración del esmalte.
Importante: solo funciona en manchas poco profundas.
Infiltración con Resina (ICON)
Un avance relativamente reciente es la infiltración de lesiones blancas con resina fluida. Se trata de aplicar un producto de resina muy líquida sobre la mancha blanca (previamente preparamos el esmalte con un gel ácido para abrir sus poros) y dejar que la resina penetre en el esmalte poroso. Luego la resina se endurece con luz.
¿Qué logramos? “Camuflar” la mancha blanca y fortalecer esa zona. La resina infiltrada tiene un índice de refracción de la luz similar al esmalte sano, por eso la mancha deja de notarse; además, sella los poros deteniendo la caries incipiente si la había.
Esta técnica (conocida por el nombre comercial ICON) es fantástica para manchas de caries incipiente post-ortodoncia, por ejemplo. En una sola sesión, sin taladrar, podemos mejorar mucho la apariencia. No todas las manchas son candidatas (debe haber suficiente espesor de esmalte poroso), pero cuando funciona, ¡es casi mágico!

Blanqueamiento Dental Profesional
Si las manchas blancas son generalizadas o muy leves, a veces un blanqueamiento dental convencional ayuda a unificar el color. ¿Por qué? Porque aclara el resto del diente acercándolo al tono de la mancha blanca, con lo cual disminuye el contraste.
Ojo, durante el proceso de blanqueamiento, inicialmente las manchas blancas pueden verse más (porque se blanquean más rápido que el esmalte alrededor). Esto es normal y suele homogeneizarse al final del tratamiento.
El blanqueamiento lo recomendamos sobretodo en casos de fluorosis leve difusa. No elimina la mancha, pero la hace mucho menos visible al aclarar todo el fondo del diente.
Carillas Dentales o Reconstrucciones con Resina
Esta es la solución definitiva para manchas blancas muy resistentes o extensas.
- Carillas de porcelana: finas láminas de cerámica que se pegan en la cara visible del diente, tapando por completo las manchas. Requieren desgastar mínimamente el diente y tomar moldes. La porcelana imita a la perfección el esmalte y no se mancha con el tiempo. Es una opción excelente si las manchas son amplias o si, además, el paciente desea mejorar la forma y color de sus dientes en general.
- Carillas de composite o resina: en vez de porcelana de laboratorio, utilizamos resinas compuestas aplicadas directamente en clínica para recubrir la zona blanca. Es como hacer un “empaste estético” sobre la mancha. Primero aislamos o removemos ligeramente la superficie manchada (si es superficial) y luego aplicamos capas de composite del color del diente, puliendo para que quede liso y brillante. Las carillas de composite logran un muy buen resultado estético, aunque con los años pueden pigmentarse un poco y quizás requieran pulidos o retoques.
Empaste u Obturación
Si la mancha blanca era en realidad una caries incipiente que avanzó y ya hay un pequeño agujero, entonces el tratamiento es limpiar la caries y rellenarla con composite (un empaste blanco). En ese caso eliminamos tanto la mancha como la caries.
En casos complejos, incluso podemos combinar técnicas. Por ejemplo, en fluorosis severa a veces realizamos primero microabrasión para quitar el manchado superficial, luego un blanqueamiento para aclarar tonos, y finalmente carillas en los dientes que aún quedaron con diferencias.
En casos en los que las manchas blancas son debidas a caries iniciales podemos eliminar mediante micro abrasión las capas de esmalte defectuoso, y posteriormente reconstruirlo con composite estético.
PORQUE mis DIENTES tienen MANCHAS BLANCAS?? / 3 CAUSAS POSIBLES!! 😱👈
¿Y los remedios caseros?
A muchos pacientes les intriga si con trucos caseros pueden eliminar esas manchas (he oído de todo: frotar con bicarbonato, con limón, con aceite de coco…). Sinceramente, no existe...

Prevención de las Manchas Blancas
Para prevenir la aparición de posibles manchas blancas en los dientes el mantenimiento de una buena higiene bucodental es fundamental, así como las visitas regulares al odontólogo (cada seis meses) lo que permitirá detectarlas a tiempo y poder tratarlas antes de que vayan a más.
Para prevenir la aparición de lesiones de mancha blanca, debes ser muy cuidadoso con tu higiene dental, aunque sea un poco difícil cuando comienzas a llevar una ortodoncia fija. La prevención de los otros tipos de manchas blancas es más complicada. Acude a revisiones periódicamente y pregunta a tu odontólogo qué dentífrico debes usar.
En caso de tener propensión a las manchas blancas en los dientes y necesitar un tratamiento de ortodoncia, en nuestra clínica dental en Vitoria te ofrecemos la posibilidad de elegir el tratamiento Invisalign siempre que sea posible.
- Cepillado y uso de hilo dental adecuados: Es fundamental cepillarse los dientes al menos dos veces al día utilizando una pasta dental fluorada.
- Alimentación saludable: Una dieta equilibrada y baja en azúcares puede ayudar a prevenir la acumulación excesiva de placa dental.
- Mejora la limpieza bucodental diaria: cepíllate los dientes después de cada comida y usa el hilo dental antes de acostarte.
- Sigue una dieta equilibrada: opta por una alimentación variada y nutritiva. Ten en cuenta que los alimentos que más dañan el esmalte son los azúcares y los ácidos.
Si buscas un tratamiento de ortodoncia en Vitoria, elige bien a los profesionales en quienes confías. Más allá del estudio sobre cómo abordar tu problema de mordida o estético, un buen odontólogo te informa de todo lo que necesites saber, como si existe riesgo de que una ortodoncia cause manchas blancas en los dientes.
| Causa | Tratamiento | Prevención |
|---|---|---|
| Desmineralización | Remineralización con flúor, infiltración con resina | Higiene bucal rigurosa, dieta baja en azúcares |
| Fluorosis | Microabrasión, blanqueamiento dental, carillas | Controlar la ingesta de flúor en niños |
| Hipoplasia | Fluoruro, resina compuesta, carillas | Atención prenatal y pediátrica, dieta equilibrada |
| Traumatismos | Restauración dental, carillas | Protección dental en deportes, cuidado dental |