Desde la infancia, nos enseñan la importancia de cuidar nuestros dientes, pero ¿alguna vez te has preguntado cuál es el nombre de cada uno de ellos? Para comprender mejor los nombres de los dientes, es importante conocer su anatomía y cómo se forman. Los dientes son estructuras asombrosas y complejas que desempeñan un papel vital en nuestra capacidad para comer, hablar y sonreír.

Anatomía y Desarrollo Dental
Los dientes son estructuras duras que se encuentran en la cavidad oral y están compuestos principalmente de calcio, fósforo y otros minerales. Cada diente está compuesto por varias partes distintas que desempeñan funciones específicas:
- Corona: Es la parte visible del diente que sobresale por encima de las encías.
- Raíz: Es la parte del diente que se encuentra debajo de las encías y está anclada en el hueso maxilar o mandibular. En función del tipo de diente, pueden tener una o más raíces.
- Esmalte dental: Es la capa externa y más dura del diente.
- Dentina: Es la capa que se encuentra debajo del esmalte dental.
- Pulpa dental: Es la parte más interna del diente y contiene los nervios, los vasos sanguíneos y los tejidos conectivos.
El desarrollo de los dientes ocurre en varias etapas a lo largo de la vida. Comienza en el útero materno, donde se forman los gérmenes dentales, y continúa durante la infancia y la niñez, cuando los dientes de leche erupcionan y reemplazan gradualmente por los dientes permanentes.
Nombres de los Dientes
En la parte superior de nuestra boca, los nombres de los dientes se clasifican en dos grupos: los dientes incisivos y los dientes molares. Los dientes incisivos se encuentran en la parte frontal de la boca y se utilizan para cortar y morder los alimentos.
- Incisivo central superior: También conocido como «paleta», este diente es el más grande de los incisivos superiores y se encuentra en el centro de la boca.
- Incisivo lateral superior: Este diente se ubica al lado del incisivo central superior y es ligeramente más pequeño que este.
- Canino superior: El canino es un diente puntiagudo que se encuentra al lado de los incisivos laterales superiores.
- Premolar superior: También conocido como el «diente bicúspide», el premolar se encuentra al lado del canino superior.
- Molar superior: Los molares superiores se encuentran en la parte posterior de la boca y son los dientes más grandes. Son responsables de moler y triturar los alimentos antes de ser tragados.
En la parte inferior de la boca, los nombres de los dientes siguen una estructura similar a la de los dientes de arriba. Los dientes incisivos y molares también se encuentran en esta región.
- Incisivo central inferior: Al igual que el incisivo central superior, este diente es el más grande de los incisivos inferiores y se encuentra en el centro de la boca.
- Incisivo lateral inferior: Ubicado al lado del incisivo central inferior, este diente es ligeramente más pequeño que el anterior.
- Canino inferior.
- Premolar inferior.
- Molar inferior: Los molares inferiores son los dientes más grandes en la parte posterior de la boca.
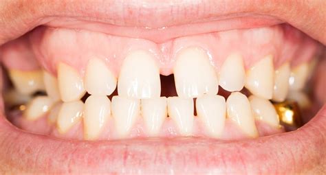
El Diastema: Separación entre Dientes
El diastema es una condición bucodental que se manifiesta como un espacio visible entre dos piezas dentales. Aunque puede aparecer entre cualquier par de dientes, su localización más común es entre los incisivos centrales superiores, lo que popularmente se conoce como “paletas separadas”. Este espacio puede ser más o menos pronunciado, y afecta tanto a adultos como a niños.

El diastema no aparece únicamente entre los dientes frontales. En odontología, también se observan diastemas en otras zonas de la arcada dental. Es posible encontrar separaciones entre premolares, caninos e incluso molares, aunque son menos visibles y, por tanto, menos consultadas desde un punto de vista estético. Además, el diastema puede estar presente en niños en edad de cambio dental. En estos casos, suele desaparecer con la erupción definitiva de los dientes permanentes.
Causas del Diastema
Existen numerosas causas que provocan diastemas, tanto en los incisivos centrales superiores como en el resto de piezas dentales:
- Desproporción en el tamaño de las piezas: Esta condición recibe el nombre de microdoncia y como consecuencia hay determinados dientes que tienen un tamaño menor del habitual.
- Ausencia de un diente: Aunque en estos casos lo normal es presentar un hueco mucho mayor, lo cierto es que los dientes tienen la tendencia a ocupar el espacio que ha dejado una pieza faltante.
- Incorrecta relación en el tamaño de las arcadas: En caso de que el diastema se de entre los incisivos centrales superiores, puede ser que la arcada sea mayor de lo habitual. Al existir mayor espacio pero, sin embargo, el mismo número de dientes, estos tienden a mantenerse separados.
- Existencia de frenillo labial superior: Por último, la existencia de un frenillo labial superior demasiado grueso o insertado en una posición baja también puede impedir que los incisivos centrales se aproximen.
- Malos hábitos en la infancia: Aunque es una imagen normal la de un bebé chupándose el dedo pulgar o utilizando el chupete, extender esta costumbre muchos años puede causar malformaciones en su dentadura. Entre los más comunes está el hábito de chuparse el dedo, especialmente si se mantiene más allá de los 3-4 años de edad. Otro hábito frecuente que contribuye al diastema es la interposición lingual o empuje de la lengua contra los dientes anteriores.
- Cuando existe desproporción entre el tamaño del hueso maxilar y el de las piezas dentales.
- Dientes pequeños: la condición de tener las piezas dentales pequeñas suele darse por razones genéticas.
- Tamaño de la mandíbula mayor que el de los dientes: Una desproporción entre el tamaño de la mandíbula y el de los dientes también puede causar diastema dental.
- Frenillo sobredesarrollado: Los dientes separados pueden producirse cuando tenemos un frenillo demasiado grande. Se forma diastema si o el frenillo labial superior o el inferior está excesivamente desarrollado, ocupando demasiado espacio en la encía y afectando directamente a la posición de los dientes frontales.
- Malos hábitos linguales: Chuparse el dedo o presionar constantemente la lengua contra los dientes puede afectar a los dientes que acaban separándose.
Uno de los motivos más comunes por los que se produce un diastema es el desajuste entre el tamaño de los dientes y el crecimiento óseo de la mandíbula o el maxilar superior. Esta desproporción puede ser hereditaria, por lo que es habitual encontrar antecedentes familiares con dientes separados. También influye la forma de los dientes, que puede favorecer o impedir que encajen de forma alineada. En muchos casos, el crecimiento maxilar desproporcionado no solo genera diastema, sino que también afecta la oclusión (la forma en que encajan los dientes superiores con los inferiores).
Es importante señalar que las separaciones entre los dientes no presentan un problema directo para tu salud bucodental, pero conviene estudiar cada caso. Es posible que tengas diastemas pero presentes buena oclusión. Desde el punto de vista estético, los diastemas sí pueden ser un problema para quien los padece pues suele ser causante de complejos.
Respecto a la higiene bucal, es muy importante poner énfasis en estos espacios cuando nos estamos cepillando los dientes, para que no se conviertan en el refugio de restos de alimentos. Si esto sucediera, podríamos desarrollar caries y/o problemas periodontales (gingivitis o periodontitis). Además, otra de las consecuencias de acumular alimentos en los huecos interdentales es la halitosis o mal aliento.
Riesgos de no Corregir el Diastema
Te recordamos que no todos los casos de diastema son un problema de salud, pero cuando lo son, es importante tratarlo lo antes posible.
El diastema puede provocar un desequilibrio en la mandíbula y en la fuerza ejercida sobre los dientes. Este desequilibrio puede provocar con el paso del tiempo un desgaste:
- Del esmalte
- De las encías
- De la estructura ósea
El diastema también puede causar molestias a la hora de comer y crear caries.
Es necesario mantener una excelente higiene oral y utilizar hilo dental después de cada comida, ya que los restos de alimentos favorecen la aparición de:
- Placa bacteriana y sarro
- Caries
- Mal aliento
Tratamientos para Corregir el Diastema
El primer paso para corregir el diastema es conocer el origen y la causa que lo ha provocado. Un buen diagnóstico permite aplicar un tratamiento adecuado a cada caso para conseguir el cierre de diastema y obtener los resultados deseados.

- Carillas dentales:Las carillas dentales ofrecen una solución eficaz y con resultados muy estéticos. Proporcionan al diente la forma, el color y el tamaño deseados, además de contribuir a que la sonrisa del paciente sea armónica y natural. Las carillas estéticas son un tratamiento que soluciona el problema del diastema, sobre todo en los dientes frontales, sin necesidad de recurrir a la ortodoncia. Son muy prácticas si la dentadura está perfectamente alineada y el paciente solamente necesita que el dentista disimule determinados diastemas. Si al finalizar el tratamiento, el paciente considera que aún debe colocarse carillas para modificar la forma, tamaño o color de alguna pieza dental, podrá pedirlo en su clínica dental.
- Implantes: En el caso de que se produzca la pérdida de algún diente, los implantes son una solución muy recomendada para atajar el problema.
- Frenectomía: La frenectomía es una cirugía mínimamente invasiva cuya misión es corregir el crecimiento anómalo del frenillo labial. Esta singularidad provoca un hueco localizado entre las dos paletas y, tal como sucedía con el punto anterior, es necesario combinar dos tratamientos. Cuando la separación entre las piezas dentales está provocada por un frenillo labial demasiado grueso, se recurre a la frenectomía. Después de este procedimiento, normalmente, se usa ortodoncia como complemento para corregir el diastema.
- Ortodoncia: Los tratamientos de ortodoncia, como brackets o alineadores transparentes, son la solución más eficaz para cerrar diastemas grandes. Conocer las causas y tipos de separación ayuda a elegir el tratamiento más adecuado. Los tratamientos de ortodoncia es un método efectivo para cualquiera de los problemas que forman los diastemas. Hoy en día existen muchas opciones ortodónticas para tratar el espacio entre los dientes: brackets metálicos, de cerámica, transparentes, aparatos linguales o alineadores invisibles. La duración total del tratamiento de ortodoncia viene determinada por la complejidad del caso de cada paciente.
Es necesario tener presente que, en muchos casos, los espacios entre los dientes no se solucionan a través de un único tratamientos, sino con una combinación de dos.
Diastema y la Genética
Los diastemas tienen un factor genético y, en este sentido, evitarlo es una tarea muy complicada. Sin embargo, cuando la separación dental responde a un hábito durante la infancia, sí que es posible prevenirlos. Es normal que un bebé se chupe el dedo, tome biberón o use chupete.
Recuerda cepillar tus dientes al menos dos veces al día, usar hilo dental diariamente y visitar regularmente a tu dentista para chequeos y limpiezas profesionales. Al comprender la importancia de cada diente y cómo se llaman, podrás mantener tu salud dental en óptimas condiciones y disfrutar de una sonrisa radiante y funcional durante toda tu vida.