¿A quién no le gusta tener una sonrisa sana y visualmente atractiva? Sin embargo, es común que, por diversas razones, los dientes adquieran un color grisáceo, lo cual puede afectar la confianza y la salud bucodental de muchas personas. Mantener dientes blancos y saludables nos ayuda a proyectar una imagen positiva y a tener un mejor bienestar bucal. En este artículo, exploraremos las causas principales de esta decoloración dental, sus consecuencias y las soluciones disponibles para recuperar una sonrisa brillante y saludable.

¿Por qué se ponen los dientes grises? Principales causas
La primera pregunta que responderemos es por qué se ponen grises los dientes. Y lo cierto es que no hay una única respuesta para ello, pues son varias las causas que están detrás de ese síntoma. La decoloración dental puede deberse a diversas razones, que van desde factores internos hasta externos. Identificar la causa exacta es esencial para determinar el tratamiento adecuado.
Por ello, para tener claridad sobre qué es lo que está provocando la aparición de manchas grises en los dientes, te recomendamos acudir a un especialista en estética dental.
Diente gris por golpe o traumatismos
Una causa común de los dientes grises es un golpe o traumatismo dental. Una de las razones por las que vemos dientes de color gris es debido a un golpe o traumatismo dental. En este sentido, cuando un diente sufre un impacto, puede interrumpirse el suministro sanguíneo, lo que eventualmente lleva a que el diente se oscurezca. Un impacto puede interrumpir el suministro sanguíneo al diente, lo que eventualmente lo oscurece.
Por otro lado, este cambio de color puede no ser inmediato y desarrollarse a lo largo de meses o incluso años tras el incidente. Esto puede ocurrir si hay un corte en el flujo sanguíneo, ya que al diente le puede provocar fácilmente que muera y, de esta manera, se vuelva gris. Esta es la principal causa de tener los dientes grises. En este caso, el flujo de la sangre se corta y el diente puede sobrevivir sin los vasos sanguíneos que van a él porque sus dientes adultos necesitan la sangre mientras los dientes se están desarrollando y van saliendo.
Diente gris por endodoncia
Los tratamientos de endodoncia, aunque son procedimientos que salvan el diente, pueden ser otra causa de los dientes grises. Los tratamientos de endodoncia, aunque salvan el diente, pueden alterar su color natural. Y es que los medicamentos y materiales utilizados en estos tratamientos pueden alterar el color natural del diente, dejándolo con una tonalidad grisácea o incluso marrón.
Envejecimiento
El proceso natural de envejecimiento también puede afectar el color de nuestros dientes. El envejecimiento natural también afecta el color de los dientes. Con el paso del tiempo, el esmalte dental se desgasta, exponiendo la dentina, que es naturalmente más amarilla o marrón.
Con el tiempo, el esmalte dental se desgasta, exponiendo más la dentina, que es naturalmente más oscura. Esto, finalmente, puede ocasionar la aparición de manchas grises en el diente. Una causa de tener los dientes grises es debido al envejecimiento. A medida que el cuerpo va envejeciendo, este cambia en los procesos bioquímicos. Este factor puede alterar la forma en que los dientes reciben los nutrientes o simplemente cómo fluye la sangre hacia el diente.
Restauraciones dentales
Las restauraciones con ciertos materiales, como amalgamas de plata o coronas de metal, pueden ser otra de las causas de dientes grises. Las restauraciones con ciertos materiales, como amalgamas de plata o coronas de metal, pueden provocar dientes grises. Normalmente, estos procedimientos, pueden provocar un cambio de color en los dientes circundantes, o en el mismo diente restaurado, debido a la filtración de estos materiales hacia el interior del diente.
Caries dental
Si seguimos analizando por qué se ponen los dientes grises, debemos hablar de las caries, que son una de las principales razones por las que el diente cambia de color. La propia caries puede ocasionar cambio de color dental, debido a los productos de degradación del metabolismo bacteriano. Es más, a medida que la caries avanza, puede afectar profundamente el diente y alterar su color, llevando a manchas grises en el diente afectado.
Dientes grises por tetraciclina
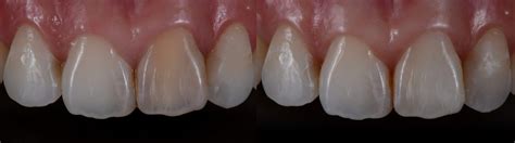
Por último, es importante mencionar la tetraciclina. La tetraciclina, un antibiótico, puede causar manchas grises en los dientes cuando se administra durante la infancia o el embarazo. Se trata de un antibiótico que puede ocasionar la aparición de dientes con manchas grises. Lo que ocurre es que cuando es administrado durante la infancia o el embarazo, puede incorporarse en el desarrollo dental y causar una decoloración permanente de los dientes. La tetraciclina es un tipo de antibiótico que puede provocar la aparición de dientes grises. Esto ocurre más en el caso de los niños que tienen menos de 8 años porque sus dientes no están desarrollados. También, si este antibiótico se ha tomado durante el embarazo puede ser otra causa de dientes grises.
Blanqueamiento dientes con tetraciclina.
Otros factores
Además de las causas mencionadas, existen factores externos que pueden contribuir a la decoloración dental. Hay pastas de dientes que llevan una serie de activos que producen que tus dientes adquieran el color gris o, incluso en ocasiones, marrón. El tabaquismo es otro factor que puede causar que los dientes se vuelvan grises o amarillos. El consumo habitual de alimentos y bebidas con pigmentos fuertes, como café, té, vino tinto y refrescos, puede manchar los dientes.

Dientes grises: Solución y tratamiento
Afortunadamente, existen varias opciones para tratar y mejorar la apariencia de los dientes grises, dependiendo de la causa subyacente de la coloración. Las soluciones para poder tratar los cambios de colores es actuar en la etiología de la descoloración dental. De ahí, la importancia de estar bien asesorado y acudir a los mejores especialistas en la materia. El avance de la tecnología dental ha permitido desarrollar soluciones más efectivas y menos invasivas para tratar los dientes grises.
- Tecnología láser.
- Blanqueamiento dental avanzado.
- Materiales de restauración estéticos.
- Diagnóstico digital.
Veamos cuál es la mejor solución para los dientes grises.
Carillas dentales
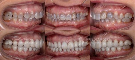
Las carillas dentales son una excelente opción para corregir la decoloración intensa. Las carillas dentales también son una opción para poder mejorar el color de los dientes. Son finas láminas de porcelana o resina que se adhieren a la parte frontal del diente, proporcionando un color similar al de los dientes naturales. Consisten en finas láminas de porcelana o resina que se adhieren a la parte frontal del diente, ofreciendo un color similar al de tus dientes en estado natural. No obstante, en ciertos casos como los que mencionaremos a continuación, puede que el color gris del diente no se logre disimular del todo.
Coronas dentales
Cuando la estructura del diente está comprometida, ya sea por manchas de tetraciclina, caries extensas, tratamientos de endodoncia o traumatismos severos, las coronas dentales pueden ser una solución alternativa. En casos donde la estructura del diente está comprometida, ya sea por manchas por tetraciclinas, caries extensas, tratamientos de endodoncia o traumatismos severos, las coronas dentales (coloquialmente llamadas fundas) pueden ser una solución alternativa, protegiendo el diente y mejorando su apariencia.
Blanqueamiento para los dientes grises
El blanqueamiento dental es uno de los tratamientos más comunes y efectivos para mejorar el color de los dientes. El principal tratamiento para los dientes grises es someterse a un blanqueamiento dental. Este está destinado a reducir el tono del color del esmalte con resultados inmediatos y sin efectos secundarios. Los diferentes tipos de blanqueamiento dental son uno de los tratamientos más comunes y efectivos para mejorar el color de los dientes. Sin embargo, los resultados pueden variar dependiendo de la causa y tipo de decoloración. En este sentido, el blanqueamiento llevado a cabo por un higienista no puede hacer mucho por sí solo para eliminar el color gris de los dientes.
En el caso de un diente gris debido a un golpe o endodoncia, se debe realizar un blanqueamiento dental interno, este se realiza con un producto de alta concentración y debe ser realizado por un odontólogo especializado. Los pins y los postes metálicos producen cambios de coloración del diente, dando lugar a un color grisáceo.

Prevención de los dientes grises
La prevención es clave para mantener una sonrisa saludable y evitar la aparición de dientes grises. Mantener una buena higiene bucal y acudir regularmente al dentista son medidas cruciales para prevenir la decoloración dental. Mantener una higiene bucal adecuada, evitar el consumo excesivo de alimentos y bebidas que manchen los dientes, así como visitar regularmente al dentista son pasos clave para prevenir la decoloración dental y mantener una sonrisa sana y con un color natural. Si se siguen hábitos que no sean perjudiciales y un mantenimiento recomendado por los especialistas, es posible que no se necesite otro tratamiento de blanqueamiento en los siguientes 6 o 12 meses.
Al enfrentar la decoloración dental, es vital buscar una evaluación profesional. Un odontólogo especializado puede identificar la causa específica del cambio de color y recomendar el tratamiento más adecuado.
Recuerda que el cambio de color de un diente es motivo más que suficiente para que el paciente consulte con un especialista para tratar de resolver su problema estético.