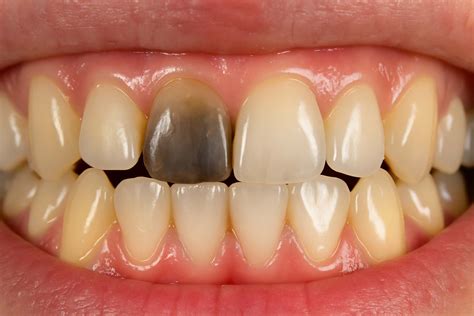
Descubrir que tienes un diente negro puede ser alarmante. Los dientes deberían tener un tono blanco, más o menos apagado, dependiendo de la persona. ¿Has notado que tienes una muela negra o algún diente se está oscureciendo de manera progresiva? El color natural de los dientes suele ser entre blanquecino y amarillento. Es frecuente que con el paso de los años este se vaya oscureciendo de manera progresiva. Los dientes negros o más oscuros son algo más común de lo que creemos y genera inquietud ya que afecta de forma importante la apariencia de la sonrisa.
Tener un diente negro significa que la parte más interna de la pieza dental está sin vida. La pulpa dentaria es un tejido blando que incluye el nervio y que aporta los nutrientes a todo el diente.
Para saber cómo abordar el tratamiento de un diente negro, el odontólogo ha de llevar a cabo una evaluación para determinar su origen. A continuación te explicamos las causas más comunes que provocan los dientes negros u oscuros y cuáles son los tratamientos existentes para casa una de ellas.

Causas Comunes de un Diente Negro
- Traumatismo: Sufrir un traumatismo en la boca puede afectar al nervio y los vasos sanguíneos del diente. ¿Recuerdas si te diste algún golpe? Recibir un golpe o masticar un alimento demasiado duro puede ocasionar una fractura en la pieza dental que afecte al nervio y, como resultado, terminar con un diente o una muela rota negra por dentro. Cuando el interior del diente se ve afectado, se produce una hemorragia pulpar que oscurecerá el diente. Al principio, se puede observar una tonalidad rojiza o rosada, pero con el tiempo, la sangre se degrada y aparecen tonalidades marrones, anaranjadas, azuladas o negras. Además, la muerte del tejido pulpar o necrosis puede ocurrir tras un traumatismo. También puede producirse una calcificación total o parcial en la zona pulpar después de un traumatismo, lo que se refleja en una tonalidad amarilla en el diente.
- Caries: Una causa habitual del ennegrecimiento de un diente es una caries. Una caries complicada que no ha sido tratada a tiempo también puede provocar este fenómeno. En este caso, si se detecta y trata en las primeras fases (junto con una limpieza del sarro), es posible recuperar el color natural de la pieza. Como hemos visto anteriormente puede desvitalizar un diente y en casos más graves acabar en una necrosis pulpar.
- Pulpitis: La pulpitis es la inflamación de la pulpa dentaria.
- Empastes Metálicos: Existen algunos materiales de empaste que pueden comprometer el color claro de tus dientes. Los empastes de amalgama metálica pueden comenzar con plata, pero pueden empañarse u oxidarse, volviéndose negros. La amalgama de plata es uno de ellos, aunque cada vez se usa menos. Cuando esto sucede, puede que se oscurezca todo el diente, incluso si el empaste inicial no es visible. Otro tipo de empaste que puede generar una mala sensación a la vista es el composite. En este caso, lo que oscurece es el propio empaste, no el diente.
- Necrosis Pulpar: El más grave. Si ha sufrido la muerte del nervio interior de un diente, es muy probable que esa pieza dental se oscurezca y se vuelva negra.
- Mala Higiene Oral: Una higiene bucal deficiente puede llevar a la acumulación de placa y sarro, lo que eventualmente puede oscurecer los dientes.
- Alimentos y Bebidas: Si en vez de un oscurecimiento total, detectamos más bien algunas manchas, podría deberse al consumo habitual de alimentos que tiñen los dientes, como el café, el té, el vino tinto o el tabaco. El tabaco es uno de los principales culpables de los dientes amarillos y oscurecidos.
- Medicamentos: Por último, es importante saber que algunos medicamentos pueden provocar una tinción en los dientes como uno de sus efectos secundarios. Resulta imprescindible usar estos medicamentos de la manera indicada por el profesional de la salud que los ha recetado. Esta es una posible causa de tener una muela negra sin dolor.
- Endodoncia Mal Realizada: La endodoncia consiste en el tratamiento de los conductos radiculares de un diente o una muela cuando la pulpa dentaria se encuentra dañada como consecuencia de una caries profunda o de un traumatismo.
- Otras Causas: Fluorosis dental, defectos del esmalte y factores genéticos también pueden influir en la decoloración dental.
Tratamientos para un Diente Negro
¿Qué hago cuando tengo un diente negro? En la mayoría de los casos, el diagnóstico del diente negro suele relacionarse con un problema odontológico frecuente con diferentes opciones de tratamiento. Para cada causa existe una solución. Un diente negro afecta a la estética de nuestra sonrisa y es normal que las personas acudan a su odontólogo para eliminar o disimular este defecto.
- Endodoncia: La solución más frecuente es la endodoncia. Es la mejor forma de eliminar el problema de raíz si existe una necrosis pulpar. Mediante un procedimiento con anestesia local, se retira el nervio de la pulpa y de los conductos radiculares. El proceso implica remover la pulpa dañada del diente, limpiar el canal radicular, y sellarlo para prevenir futuras infecciones. Eliminación de la infección: Durante la endodoncia, se elimina cuidadosamente la pulpa infectada o muerta del interior del diente. Recuerda que este diente requerirá más cuidados que una pieza normal para evitar que se fracture. En nuestra clínica, este tipo de casos se trata con la máxima precisión gracias a la endodoncia asistida con microscopio, realizada por el Dr.. Finalmente, para devolver el aspecto natural al diente tratado, aplicamos un blanqueamiento interno cuidadosamente diseñado. En casos de decoloración dental asociada a la afectación del nervio, lo más indicado es realizar un tratamiento de endodoncia. Una vez tratado el problema en su origen, ofrecemos soluciones personalizadas de estética dental para devolver el aspecto natural y luminoso a tu sonrisa.
- Corona Dental: La segunda opción es la corona dental. A diferencia de la endodoncia, la corona tiene la misma resistencia que un diente natural.
- Blanqueamiento Dental: Para dientes que han oscurecido después de un traumatismo o una endodoncia no bien realizada, es común realizar un blanqueamiento dental interno.
- Extracción e Implante: En caso de que no haya mejor solución porque ha afectado a una gran parte de la pieza y no es posible su restauración. Extraer el diente. En caso de que no haya mejor solución, se tendrá que proceder a extraer el diente dañado con el fin de eliminar el problema. Una vez extraído se puede colocar un implante dental para sustituir la pieza dañada. Aunque no se combina directamente, en algunos casos donde la endodoncia no puede salvar el diente o el diente está demasiado dañado, se puede recomendar un implante dental.
- Reconstrucción o Empaste Dental: Si el diente no ha perdido demasiada estructura, se puede realizar una reconstrucción o empaste dental después de la endodoncia para cerrar y sellar el acceso al conducto radicular.
| Tratamiento | Descripción | Indicación |
|---|---|---|
| Endodoncia | Remoción de la pulpa dañada y sellado del conducto radicular | Necrosis pulpar, caries profundas |
| Corona Dental | Recubrimiento completo del diente para restaurar su función y apariencia | Dientes debilitados o dañados |
| Blanqueamiento Dental | Aclaración del color del diente | Manchas internas o externas |
| Extracción e Implante | Remoción del diente y reemplazo con un implante | Diente no restaurable |
| Reconstrucción Dental | Restauración de la estructura dental con materiales de empaste | Pérdida leve de estructura dental |
¿Qué hacer después de un Blanqueamiento Dental? | Cuidados y Recomendaciones | Oralnet
Tratamientos Adicionales y Consideraciones
Después de un tratamiento de conducto, es importante seguir las recomendaciones del especialista para asegurar una recuperación exitosa.
- Poste de Fibra de Vidrio o Metálico: En casos donde el diente ha perdido mucha estructura y no es lo suficientemente fuerte como para sostener una corona por sí solo, se puede colocar un poste de fibra de vidrio o metálico dentro del conducto tratado.
- Tratamientos Periodontales: En algunos casos, la endodoncia puede combinarse con tratamientos periodontales para mejorar la salud de las encías alrededor del diente afectado.
Prevención
Una buena higiene oral es esencial para prevenir la decoloración de los dientes. Las visitas regulares al dentista son cruciales para mantener una buena salud dental. En Amalthea tenemos a tu disposición tratamientos como selladores y barnices fluorados que pueden proteger tus dientes contra la decoloración y la caries. Cuando tu dentista te dice que es necesario realizar visitas regulares y una limpieza dental anual, lo hace para evitar problemas como las caries. Para prevenir el ennegrecimiento de los dientes y encías es fundamental mantener una correcta higiene bucal, cepillándose los dientes después de cada comida y programar visitas menos, una vez al año al dentista.

Consideraciones Adicionales
- Manchas en las Encías: Si en tu caso son las encías las que se han oscurecido, debes saber que es básico que acudas a tu odontólogo. En cambio, si el color de las encías es rojo o morado, podría ser por una enfermedad periodontal (gingivitis o periodontitis). La periodontitis o piorrea, es una de las causas más comunes de este tipo de manchas negras en las encías. La enfermedad periodontal es una infección bacteriana que puede dañar los tejidos blandos y los huesos que sostienen los dientes.
- Odontopediatría: En pacientes pediátricos, el oscurecimiento dental puede tener diversas causas, como caries avanzadas o traumatismos dentales. En nuestra clínica, contamos con los mejores especialistas en odontopediatría, quienes utilizan tecnología de vanguardia para diagnosticar y tratar estos casos de manera precisa y eficaz. Por ello, recomendamos instaurar desde edades tempranas hábitos de higiene oral efectivos, controlar el consumo de alimentos azucarados y realizar revisiones periódicas con nuestros expertos en odontología pediátrica.