Una de las preocupaciones más comunes de los padres es el oscurecimiento de alguna de las piezas dentales de sus hijos. Los dientes deberían tener un tono blanco, más o menos apagado, dependiendo de la persona. ¿Has descubierto que tu hijo tiene un diente negro? Este artículo despejará todas tus dudas. Te explicamos a qué se debe y qué puedes hacer para solucionarlo.

¿Qué Significa un Diente Negro en Niños?
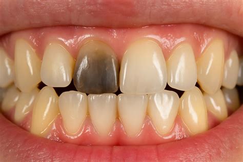
Se trata de un cambio de color de una pieza dental debido a la muerte de la pulpa que se encuentra en su interior. Este cambio de color en el diente generalmente es causado por la muerte de la pulpa dental, que es el tejido blando en el interior del diente. Este oscurecimiento se produce de forma progresiva, por lo que es conveniente prestar atención al estado de los dientes de tus hijos con frecuencia.
Causas del Diente Negro en los Niños
Entender las causas detrás de los dientes negros en niños es el primer paso para abordar el problema de manera efectiva. Un diente negro en niños puede estar causado por diversos motivos, y conocer cuáles son ayudará a prevenir mayores complicaciones. Algunas de las causas más comunes son:
1. Traumatismo Dentario
Esta es una de las causas más frecuentes. A los niños les encanta jugar. Siempre están corriendo, persiguiéndose unos a otros, lanzándose pelotas… Y alguna vez terminan en el suelo o con algún golpe. La alta actividad de los niños provoca que aumente la probabilidad de que sufran un golpe que afecte a alguna pieza dentaria. En ocasiones, es posible que dicho golpe perjudique al nervio y cause la desvitalización del diente, originando un cambio progresivo de color a negro. Esto pasa porque la sangre deja de llegar al diente después de recibir la lesión, y entonces los minerales como el hierro se filtran dentro de la dentina que protege el diente. A medida que la sangre avanza, la pieza se va oscureciendo. No siempre es fácil relacionar el problema del diente con un traumatismo, ya que este puede haber sido leve y los padres no haberse dado cuenta.

2. Caries Dental
La caries dental es otra causa bastante común de la aparición de dientes negros en los niños. Otro de los motivos por los que puede ennegrecerse una pieza dental es la presencia de una caries avanzada. Si afecta a la pulpa dental, puede provocar necrosis y la muerte del diente. La coloración oscura también puede deberse a una caries infantil en estado avanzado. Aunque pueda parecer que las lesiones que aparecen en los dientes de leche no afectarán a la dentadura definitiva, lo cierto es que sí puede verse afectada y los niños con caries en los dientes de leche tienen mucho más riesgo de caries en los dientes permanentes.
3. Dieta
Muy ligado al punto anterior, la dieta también puede jugar un papel en la formación de manchas negras en los dientes de los niños. Por ello, recomendamos instaurar desde edades tempranas hábitos de higiene oral efectivos, controlar el consumo de alimentos azucarados y realizar revisiones periódicas con nuestros expertos en odontología pediátrica.
4. Aporte Excesivo de Hierro
Por último, conviene destacar que, en algunos casos, la aparición de manchas negras en los dientes está relacionada con un aporte excesivo de hierro. Sin embargo, no suele tratarse de un oscurecimiento total del diente, sino más bien de líneas negras.
Síntomas Asociados al Diente Negro
Un diente negro puede ir acompañado de dolor o sensibilidad, especialmente al masticar o al exponer el diente a temperaturas extremas. El mal aliento o halitosis puede ser otro indicador. La inflamación o enrojecimiento alrededor del diente afectado también puede ser una señal de alarma. Además de volverse más oscuro, otro síntoma es la hinchazón o la aparición de pus en la zona. El diente puede moverse debido a la destrucción del tejido que lo rodea. El dolor es otro de los síntomas antes de la necrosis pulpar -la muerte del diente-. Cuando el nervio se ve afectado por un fuerte golpe puede desarrollarse un dolor localizado, intenso y agudo.
¿Qué Hacer Ante un Golpe en un Diente de Leche?
El verano es una época maravillosa para que los niños disfruten al aire libre, pero también es cuando más accidentes pueden ocurrir. Un pequeño tropiezo en el parque, un resbalón en la piscina o una caída mientras juegan pueden resultar en un golpe en los dientes delanteros de leche. Los dientes de leche son esenciales, no solo por sus funciones inmediatas, sino porque guían la erupción de los dientes permanentes. Ignorar un golpe en estos dientes puede resultar en problemas mayores, como infecciones o desplazamiento de los dientes permanentes.
Cuando tu hijo sufre un golpe en un diente de leche, lo primero que debes hacer es mantener la calma. Los niños suelen reaccionar con llanto y miedo, y tu serenidad les ayudará a sentirse más seguros.
- Si el diente de leche está roto o partido, busca el fragmento y guárdalo en un recipiente con leche o saliva del niño.
- Acude al dentista lo antes posible para evitar infecciones y evaluar la mejor opción de tratamiento.
- En caso de un diente flojo, es importante que el niño no lo mueva más. Mantén la zona limpia y consulta al dentista para una valoración completa.
- Un diente desplazado por golpe requiere atención inmediata. El dentista puede intentar reposicionarlo y estabilizarlo con una férula.
- Si observas un cambio de color en el diente de leche después de un golpe, es probable que haya daño en el nervio.
En caso de emergencia, tener localizada una clínica dental cercana es crucial.
Cómo Solucionar el Diente Negro en los Niños
En el momento de detectar un diente más oscuro que el resto, lo más recomendable es acudir a la consulta de un odontopediatra para que valore la situación lo antes posible. Cada paciente es único y su situación es particular. El tratamiento idóneo para solucionar el problema tendrá que decidirlo el odontólogo. No es lo mismo que la pieza dental afectada sea un diente de leche o uno definitivo.

Algunas de las soluciones ante un diente negro en niños pueden ser:
- Extracción del diente: Si hay necrosis completa de la pulpa dental la extracción del diente es la única opción viable. Si la pieza dental se ha necrosado, es posible que haya que realizar una extracción del diente. Para conocer el estado de la pieza dental, se debe acudir a revisión para que los profesionales detecten la necrosis, conozcan la situación de la raíz del diente de leche oscurecido o descubran si ha afectado al diente definitivo.
- Endodoncia: Si el daño no es tan severo y la pulpa aún es parcialmente viable, una endodoncia podría salvar el diente, siempre y cuando no sea de leche. En algunos casos, otra opción sería realizar un tratamiento de endodoncia o de los conductos del diente afectado. Si el diente con necrosis pulpar ya es una pieza dental definitiva y no de leche, se puede recurrir a una endodoncia con la que se limpiará y sellará el conducto, evitando que las bacterias se diseminen. En casos de decoloración dental asociada a la afectación del nervio, lo más indicado es realizar un tratamiento de endodoncia.
- Observación: Por otro lado, si no existe infección puede ser que el odontopediatra opte por esperar a que el diente negro del niño caiga por sí solo. Cuando el problema está causado por un traumatismo que ha sufrido el niño en un diente de leche, en general suele aclararse de manera natural.
A pesar de que estas sean algunas de las soluciones posibles, el tratamiento a aplicar dependerá de cuál sea el grado de diente negro de cada niño, por lo que lo mejor siempre es acudir a un profesional.
Mi hijo se ha dado un golpe en los dientes, ¿qué debo hacer?
Tratamientos Adicionales
La endodoncia se suele combinar con otros tratamientos dentales para restaurar completamente la funcionalidad y estética del diente afectado:
- Funda Dental: Después de una endodoncia, el diente puede debilitarse debido a la pérdida de estructura dental interna. Por ello, es muy común colocar una funda dental sobre el diente tratado para protegerlo, restaurar su función y mejorar su apariencia.
- Reconstrucción o Empaste Dental: Si el diente no ha perdido demasiada estructura, se puede realizar una reconstrucción o empaste dental después de la endodoncia para cerrar y sellar el acceso al conducto radicular.
- Poste de Fibra de Vidrio o Metálico: En casos donde el diente ha perdido mucha estructura y no es lo suficientemente fuerte como para sostener una corona por sí solo, se puede colocar un poste de fibra de vidrio o metálico dentro del conducto tratado.
- Blanqueamiento Dental Interno: Para dientes que han oscurecido después de un traumatismo o una endodoncia no bien realizada, es común realizar un blanqueamiento dental interno. Finalmente, para devolver el aspecto natural al diente tratado, aplicamos un blanqueamiento interno cuidadosamente diseñado.
- Implante Dental: Aunque no se combina directamente, en algunos casos donde la endodoncia no puede salvar el diente o el diente está demasiado dañado, se puede recomendar un implante dental.
- Tratamientos Periodontales: En algunos casos, la endodoncia puede combinarse con tratamientos periodontales para mejorar la salud de las encías alrededor del diente afectado.
Medidas Preventivas
Para prevenir este problema, es imprescindible seguir una rutina de higiene dental completa, así como mantener una alimentación equilibrada controlando los alimentos y bebidas altos en azúcares.
Primeros Auxilios en Caso de Traumatismo Dental
En el momento de un traumatismo dental, lo primordial y esencial que debemos hacer es mantener la calma y evaluar la magnitud del daño. Si al comprobar la boca del niño, vemos que no hay ningún diente roto y el sangrado logra controlarse, no debería ir a mayores. Sin embargo, ante un sangrado que no cesa y un diente roto o desprendido, debemos conservar el diente en suero fisiológico o leche, y acudir a un hospital o dentista con urgencia.
Ante una fractura parcial del diente, en los siguientes días hemos de visitar al odontopediatra. En caso de caída total del diente (avulsión), buscar el diente inmediatamente. Si está limpio, cogerlo sin tocar la raíz y colocárselo inmediatamente (ha de quedar a la misma altura que el resto de los dientes). Dar al niño una gasa humedecida para mantener el diente en su sitio y, claro está, acudir al odontopediatra de urgencias. Hemos de tener en cuenta que, si al encontrar el diente está sucio, debemos lavarlo, pero sin frotar porque dañaría las células del diente. En los días posteriores, de 10 a 15 días, deberá seguir una dieta blanda, ya que no podrá morder con la misma intensidad. También se tendrá especial cuidado en la limpieza de los dientes accidentados, usando un cepillo dental suave y enjuagando con un enjuague bucal especial. En los menores de 6 años es preferible aplicar el enjuague bucal en una gasa para evitar que se lo traguen.
¡Y nada de deportes de contacto en los días siguientes!
