¿Alguna vez te has preguntado por qué algunos dientes pierden su brillo con los años? Los dientes oscurecidos son unos de los problemas de la estética bucal que más preocupan a los pacientes.
No es solo cuestión de genética o envejecimiento. Hábitos como el café matutino, el vino en las cenas o incluso ciertos medicamentos dejan huella en el esmalte. Recuerda, por otro lado, que, pese a que el color blanco es el original de todos los dientes, su tonalidad variará en función de la herencia genética de cada individuo. Y es que, igual que el color del pelo o de la piel, se trata de un rasgo que se transmite de generación en generación.
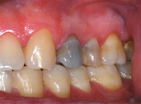
Descubrir que tienes un diente negro puede ser alarmante. Un diente puede tornarse negro por varias razones, siendo las más comunes las caries profundas y los traumas.
La buena noticia es que entender las causas -desde el desgaste natural hasta pequeños traumas- nos permite diseñar soluciones a medida. A continuación, te explicaremos las causas y soluciones de estos problemas de estética dental.

Causas del Oscurecimiento Dental
El color de los dientes viene determinado por factores genéticos, al igual que el color de la piel. Es decir, las piezas dentales de cada persona tienen una coloración única, siendo infinita la variedad de colores.
Ahora bien, cuando un diente cambia de color y se produce el oscurecimiento de dientes o cuando se presentan síntomas de alteración, lo más conveniente será prestarle atención y pedir cita al odontólogo para que lo examine, porque puede ser índice de algún trastorno mayor que es necesario solucionar cuanto antes para que no empeore la situación.
¿A qué se deben los dientes oscuros? La decoloración de los dientes o la alteración de su color puede tener su origen en diversas causas.
Si tienes un diente oscurecido lo más probable es que no esté vital (vivo) pero ¿por qué se oscurece? Los dientes deberían tener un tono blanco, más o menos apagado, dependiendo de la persona. ¿Por qué ocurre esto?
Uno de los motivos más frecuentes por los que un diente puede oscurecerse es el traumatismo. Cuando recibes un golpe en la boca, ya sea durante actividades deportivas, un accidente automovilístico, o incluso una caída, el impacto puede afectar severamente la estructura dental. Cuando un diente recibe un golpe fuerte, los pequeños vasos sanguíneos en la pulpa del diente pueden romperse, liberando sangre que se dispersa por el tejido dental. Esta sangre, cuando se descompone, tiende a oscurecer el diente desde dentro hacia fuera, resultando en una decoloración que puede variar desde un gris tenue hasta un negro profundo.
Cuando se produce un traumatismo puede afectar directamente a la pulpa dental, donde se encuentran los nervios y vasos sanguíneos. Con el golpe se puede producir una hemorragia interna. Al principio se observa una tonalidad rojiza, sin embargo con el tiempo la sangre se degrada y aparecen tonalidades marrones, azuladas o negras. También puede producirse una calcificación total o parcial en la zona afectada, lo que se refleja en una tonalidad amarilla en el diente.
Las enfermedades o infecciones que impactan la pulpa del diente, la parte central donde residen los nervios y los vasos sanguíneos, son causas significativas de oscurecimiento dental. La pulpa puede infectarse a través de caries profundas o fisuras en el diente que permiten la entrada de bacterias. Una vez que las bacterias llegan a la pulpa, pueden causar una infección que eventualmente corta el suministro de sangre al diente, llevando a la muerte del tejido pulpar.
Cuando se produce la necrosis del tejido nervioso del diente, los vasos sanguíneos de la zona se rompen y los tejidos blandos del diente comienzan a morir, originando la formación de colonias de bacterias en estos tejidos sin vida. En consecuencia, el diente cambia de color, adquiriendo un tono oscuro, que puede ir del gris al marrón.
Los materiales utilizados en los tratamientos dentales de décadas pasadas, y en algunos casos aún hoy, pueden tener un impacto relevante en la coloración de tus dientes. Los empastes de amalgama, que contienen mercurio y otros metales, pueden provocar una decoloración grisácea o plateada no solo en el diente tratado sino también en los dientes adyacentes. Asimismo, las coronas y puentes metálicos pueden afectar la apariencia de tus dientes.
El oscurecimiento dental causado por medicamentos es típicamente asociado con el uso de antibióticos como la tetraciclina y la doxiciclina durante la infancia, cuando los dientes aún están en desarrollo. Estos medicamentos pueden depositarse en el calcio de los dientes en formación, llevando a una decoloración permanente que puede variar desde amarillo hasta marrón oscuro. Por otro lado, la fluorosis es una condición causada por la ingestión excesiva de flúor durante los primeros años de vida. Mientras que el flúor es beneficioso para la prevención de caries en cantidades adecuadas, su exceso durante los años de formación de los dientes puede llevar a la fluorosis.
Además, existe otra causa que puede producir el oscurecimiento dental: la endodoncia previa. La alteración en el color de un diente que ha sido sometido a una endodoncia puede ser debida a la intrusión en el tejido dental de sangre o restos de tejido pulpar tras una necrosis, o simplemente, por la inclusión de restos de materiales empleados en la operación. Sin embargo, no es habitual que suceda, pues los especialistas toman las precauciones oportunas para que el diente mantenga su coloración natural y la operación sea llevada a cabo con éxito.

Soluciones para el Diente Oscurecido
La gestión de un diente traumatizado requiere una evaluación inmediata por parte de un profesional dental. En algunos casos, la intervención temprana puede salvar el diente y prevenir la necrosis (muerte) de la pulpa, que es lo que en última instancia causa el oscurecimiento permanente del diente. El tratamiento para un diente oscurecido por infección generalmente involucra una endodoncia, donde el dentista eliminará el tejido infectado y sellará el diente para prevenir futuras infecciones.
Para saber cómo abordar el tratamiento de un diente negro, el odontólogo ha de llevar a cabo una evaluación para determinar su origen.
Según el caso, podemos realizar una endodoncia, seguido de un proceso de blanqueamiento dental interno. La endodoncia se realiza para acabar con el proceso infeccioso y poder salvar el diente. Después se realiza un blanqueamiento interno, que consiste en introducir un agente blanqueador en el interior del diente, dejándolo actuar durante varios días para conseguir recuperar el color original del diente.
El tratamiento para un diente oscurecido por infección generalmente involucra una endodoncia, donde el dentista eliminará el tejido infectado y sellará el diente para prevenir futuras infecciones. El proceso implica remover la pulpa dañada del diente, limpiar el canal radicular, y sellarlo para prevenir futuras infecciones. Durante la endodoncia, se elimina cuidadosamente la pulpa infectada o muerta del interior del diente.
Cuando vemos un diente que ha cambiado de color tras un golpe, una necrosis o una endodoncia, solemos recomendar el blanqueamiento interno. Es un tratamiento sencillo pero muy eficaz: introducimos un agente blanqueador en el interior del diente para aclararlo desde dentro, actuando directamente sobre la causa real del oscurecimiento. El procedimiento es cómodo para el paciente: tras colocar el producto, se sella el diente provisionalmente y se deja actuar durante unos días. En función de la respuesta, podemos repetir la aplicación hasta igualar el color con el resto de la dentadura. Una vez conseguimos el tono deseado, realizamos un sellado definitivo que protege el diente y conserva su nueva apariencia.
Ante esta situación y antes de solucionar el problema, es necesario ir al dentista para descartar una posible endodoncia no realizada adecuadamente. Descartada la presencia de patologías y/o lesiones tras la realización de una radiografía, se procederá a poner en marcha el tratamiento para blanquear el diente afectado o para implementar una carilla o corona, según cada caso particular.
El tratamiento Tras la comprobación de la ausencia de lesiones, es el momento de realizar el blanqueamiento del diente. El dentista será el encargado de aconsejar el mejor tratamiento en cada caso particular, dependiendo de la tonalidad de la dentadura del paciente para que el resultado sea lo más natural posible y no se note.
Sin embargo, el blanqueamiento interno o intracameral dental es la solución más adecuada para tratar el oscurecimiento de dientes producido tras la realización de una endodoncia.
Si el tono se ha oscurecido demasiado, tal vez el blanqueamiento interno no consiga aclarar el diente, en cuyo caso sería más recomendable realizar un tratamiento con carillas. En situaciones donde la decoloración es severa o cuando el diente ha sufrido daños estructurales significativos, podemos optar por instalar carillas o coronas. Estas soluciones no solo cubren la decoloración, sino que también restauran la forma y la funcionalidad del diente.
Si determinamos que la decoloración se debe a problemas en la pulpa, como una infección o necrosis, una endodoncia puede ser necesaria. Este procedimiento implica la remoción del tejido pulpar enfermo o muerto, limpiando y desinfectando el canal del diente antes de sellarlo para prevenir futuras infecciones.
Para casos de decoloración menos severa y donde la integridad del diente no está comprometida, el blanqueamiento dental puede ser una opción viable.
Una vez tratado el problema en su origen, ofrecemos soluciones personalizadas de estética dental para devolver el aspecto natural y luminoso a tu sonrisa.
Finalmente, para devolver el aspecto natural al diente tratado, aplicamos un blanqueamiento interno cuidadosamente diseñado.
En Vela Lasagabaster, hacemos hincapié en la importancia de una higiene dental rigurosa, que incluye cepillarse los dientes al menos dos veces al día y usar hilo dental diariamente. Además, recomendamos visitas regulares al dentista para chequeos y limpiezas profesionales, que no solo mantienen tus dientes saludables, sino que también permiten la detección temprana de cualquier problema que podría causar decoloración.

Tratamientos Adicionales Después de la Endodoncia
La endodoncia se suele combinar con otros tratamientos dentales para restaurar completamente la funcionalidad y estética del diente afectado.
- Después de una endodoncia, el diente puede debilitarse debido a la pérdida de estructura dental interna. Por ello, es muy común colocar una funda dental sobre el diente tratado para protegerlo, restaurar su función y mejorar su apariencia.
- Si el diente no ha perdido demasiada estructura, se puede realizar una reconstrucción o empaste dental después de la endodoncia para cerrar y sellar el acceso al conducto radicular.
- En casos donde el diente ha perdido mucha estructura y no es lo suficientemente fuerte como para sostener una corona por sí solo, se puede colocar un poste de fibra de vidrio o metálico dentro del conducto tratado.
- Para dientes que han oscurecido después de un traumatismo o una endodoncia no bien realizada, es común realizar un blanqueamiento dental interno.
- Aunque no se combina directamente, en algunos casos donde la endodoncia no puede salvar el diente o el diente está demasiado dañado, se puede recomendar un implante dental.
- En algunos casos, la endodoncia puede combinarse con tratamientos periodontales para mejorar la salud de las encías alrededor del diente afectado.
En pacientes pediátricos, el oscurecimiento dental puede tener diversas causas, como caries avanzadas o traumatismos dentales. En nuestra clínica, contamos con los mejores especialistas en odontopediatría, quienes utilizan tecnología de vanguardia para diagnosticar y tratar estos casos de manera precisa y eficaz. Por ello, recomendamos instaurar desde edades tempranas hábitos de higiene oral efectivos, controlar el consumo de alimentos azucarados y realizar revisiones periódicas con nuestros expertos en odontología pediátrica.
En nuestra clínica, este tipo de casos se trata con la máxima precisión gracias a la endodoncia asistida con microscopio, realizada por el Dr.
Recuperar una sonrisa luminosa está al alcance de tu mano.
Si has notado que alguno de tus dientes ha cambiado de color o simplemente quieres mejorar la estética de tu sonrisa, en nuestra clínica de Getxo te ofrecemos un diagnóstico personalizado y el tratamiento más adecuado para tu caso.
Si ves que se te oscurece un diente, acude lo antes posible a tu dentista de confianza.
Si estás preocupado por la decoloración de tus dientes o simplemente deseas mejorar tu sonrisa, en Vela Lasagabaster estamos aquí para ayudarte. Visita nuestro sitio web para más información sobre nuestros servicios y para programar una cita.
Blanqueamiento Dental Interno Paso a Paso l Protocolo y Cuánto Dura

tags: #diente #oscurecido #por #endodoncia