Un diente roto no atendido puede provocar problemas de salud bucal que se pueden evitar si se trata la fractura a tiempo. Por ello, es aconsejable pedir una cita urgente con el dentista, quien evaluará la profundidad de la fractura y ofrecerá la solución más adecuada para el paciente. Un diente roto es una urgencia dental común, a menudo causada por un traumatismo.

¿Qué Debo Hacer Inmediatamente Si Se Me Rompe Un Diente?
Si se te ha roto parcialmente un diente, esto es lo que debes hacer:
- Guarda el trozo de diente roto: En suero fisiológico o leche, es importante mantenerlo hidratado para que se pueda volver a adherir a tu diente.
- Enjuaga tu boca con suavidad: Para así eliminar los restos de suciedad que se encuentren en la boca.
- Calma la hinchazón: Poniendo una compresa fría en la zona afectada y/o tomando un antiinflamatorio de prescripción libre en farmacias para evitar la inflamación en la zona afectada.
- Acude a tu dentista lo antes posible: Para valorar la gravedad de la fractura, recuerda llevar el trozo de diente para restaurar tu diente roto.
Si se rompe un trozo de diente, es importante recuperarlo, limpiarlo con agua y conservarlo en leche, saliva, suero fisiológico o, como último recurso, agua. Si encuentras el fragmento desprendido, consérvalo en suero fisiológico o leche y llévalo al dentista.
Si se te ha roto un trozo de diente, trata de rescatarlo. Posteriormente, límpialo cuidadosamente con un poco de agua y guárdalo. Es importante no usar jabón y otros productos químicos, ya que se podría dañar el esmalte o la dentina.
Una vez que llegues al dentista debes explicarle lo que ha ocurrido, cómo ha ocurrido y cuándo ha ocurrido. Esta información es muy valiosa para que el odontólogo pueda actuar de la manera más adecuada posible.
Si experimentas dolor debido a un diente roto o astillado, sigue estos pasos para aliviar la incomodidad hasta que puedas ver a un dentista:
- Enjuaga tu boca con agua tibia: esto ayudará a limpiar cualquier fragmento de diente que pueda haber quedado en la boca y reducirá el riesgo de infección.
- Aplica una compresa fría: coloca una bolsa de hielo o una compresa fría en la mejilla sobre el área afectada para reducir la hinchazón y el dolor.
- Toma un analgésico: si el dolor es intenso, puedes tomar un analgésico de venta libre como ibuprofeno o paracetamol siguiendo las indicaciones del producto.
- Evita masticar con el diente afectado: no uses el diente roto para masticar alimentos.
Si el fragmento del diente se ha caído o se ha roto completamente, trata de encontrarlo y conservarlo en un recipiente limpio. Si es posible, guárdalo en un poco de leche o solución salina.
Si por un impacto fuerte ha ocurrido una avulsión dental y el diente se ha salido por completo (se ve la raíz del diente) esto es lo que debes de hacer:En estos casos mantener la calma es importante, lo mismo que actuar rápido. Lava el diente sin tocar la raíz con mucho cuidado de no frotar, pues en la raíz se encuentra tejido conectivo que puede ayudarnos a la supervivencia del diente al reimplantarlo, de aqui en adelante hay 2 opciones:
- Opcion 1: coloca el diente de nuevo en su lugar, inserta la raíz y coloca el diente ln la posición en la que estaba antes del accidente, presiona suavemente con una gasa y acude de urgencia a un centro odontológico.
- Opcion 2: guarda el diente en leche desnatada, mantenerlo hidratado es vital, recuerda no tocar la raíz y acude en menos de 2 horas tu dentista para que lo pueda reinsertar en su sitio.
Tipos de Fracturas Dentales
Existen diferentes grados de fracturas dentales y es necesario valorar en persona la gravedad del problema. Puede ser que la fractura afecte al esmalte y la dentina en la cual es probable sentir sensibilidad dental y puede ser que la fractura afecte al esmalte, dentina y daño en el nervio, lo que significa que la lesión ha llegado a la zona en la que se ubica el tejido nervioso y los vasos sanguíneos, por lo tanto, suele provocar dolor y existe un alto riesgo de infección. Por ultimo, la fractura de raíz es la mas grave ya que afecta a la propia raíz del diente y puede resultar difícil salvar la pieza.
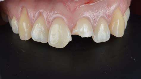
Un diente astillado es aquel que presenta pequeñas fisuras en el esmalte. Eso sí, si un diente astillado no se trata correctamente, terminará por romperse.
Una rotura parcial del diente tiene lugar cuando se desprende un trozo de este. Las fracturas que solo afectan al esmalte se producen principalmente en el borde incisal o en un ángulo interproximal. Una rotura total tiene lugar cuando se rompe, al menos, la mitad del diente. Dicho esto, se debe diferenciar entre la fractura total y la avulsión. Hablamos de avulsión cuando el diente se sale por completo de su alveolo tras un impacto traumático.
El diente astillado es aquel que presenta una fisura en el esmalte. La pieza dental está completa, pero tiene un alto riesgo de romperse. En este caso, se desprende una parte del diente. También se considera fractura total si el diente se desprende por completo del alvéolo, quedando la pieza dental intacta.
Síntomas de un Diente Roto
Los síntomas que aparecen tras la rotura de un diente dependen de la gravedad y la extensión de la misma:
- Sensibilidad dental: se percibe al consumir bebidas o alimentos muy fríos, calientes o ácidos.
- Dolor: cuanto mayor sea la rotura producida, mayor será también el dolor. Esto se produce, por ejemplo, cuando la fractura llega hasta la cámara pulpar, donde está el nervio.
- Movilidad: puede que la parte del diente que ha quedado en la boca -que no se ha caído- experimente cierta movilidad. Por ello, no se debe tocar la pieza dental.
- Cambio de color: se produce cuando la pieza dental sufre un golpe tan severo que afecta a los vasos sanguíneos.
- Sangrado de la encía: la propia fuerza del traumatismo puede hacer que la encía sangre. La sangre siempre es “escandalosa” y provoca mucho nerviosismo.
Sean cuales sean los síntomas que se presenten tras un golpe relativamente importante en el diente, debes acudir al dentista cuanto antes.
¿Cómo Se Produce La Rotura De Dientes?
La rotura de los dientes puede darse en cualquier edad, desde los más mayores a los más pequeños, debido a que son muchas las causas por las que se puede producir una rotura de una pieza dental.
Existen diferentes motivos por los cuales se pueden romper los dientes:
- Traumatismos: Al recibir un impacto o traumatismo surgido por un accidente, caídas o golpes que provocan la fractura de algún diente o pieza dental.
- Masticar objetos duros: Al morder algo duro y que al morder demasiado fuerte se pueda provocar una rotura del diente, por lo que es debes evitar el uso de los dientes para acciones como abrir botellas o masticar huesos, frutos secos, caramelos, etc.
- Bruxismo: La constante presión de los dientes asociada al bruxismo provocan desgaste en los dientes, lo que puede conllevar a la rotura de estos con más facilidad.
- Caries: Los dientes con caries suelen ser más débiles por lo que son más propensos a romperse. Para evitarlo se aconseja prevenir con buenos hábitos diarios y tener revisiones periódicas con el dentista para descartar caries.
- Descalcificación: La falta de calcio produce que el esmalte dental y otras partes del diente estén más débiles y por lo tanto tengan más facilidad para romperse, en este caso se recomienda vigilar los nutrientes que se ingieren con analíticas de sangre de vez en cuando y tener buenos hábitos alimenticios y de higiene dental.
Uno de los principales motivos de dientes rotos es el hábito de morder cosas que no son alimentos, como bolígrafos, hielo, tapas de botellas o uñas. Abrir paquetes, cortar hilos o destapar botellas con los dientes es un riesgo innecesario.
La mala higiene bucal tiene como consecuencia la formación de caries. Ingerir diariamente alimentos ácidos, con un pH bajo, como pueden ser las bebidas gaseosas, el zumo de limón o de naranja, o el vinagre no es lo más adecuado para nuestros dientes ya que debilitan la capa del esmalte pudiendo provocar incluso la rotura del diente. Es importante tomar un vaso de agua tras la ingesta de este tipo de comidas y lavarnos después los dientes.

Si practicas deportes como boxeo, rugby, baloncesto o incluso ciclismo, un protector bucal puede ser tu mejor aliado. Si aprietas o rechinas los dientes (de día o de noche), el desgaste progresivo puede debilitarlos, haciéndolos más susceptibles a romperse.
Una mala alineación dental puede hacer que ciertos dientes soporten más presión al masticar.
En mi experiencia, la combinación de factores es común. Por ejemplo: una muela con un gran empaste y además el paciente aprieta los dientes - ese combo tarde o temprano puede acabar en fractura. La buena noticia es que con buenos hábitos (protector bucal, evitar morder hielo, tratar caries) se pueden prevenir muchas fracturas.
Opciones Para Reparar Un Diente Roto
Gracias a la odontología moderna, hay diferentes soluciones para reparar un diente roto, es necesario saber el grado de fractura que ha sufrido. De esta manera el dentista podrá tratar mejor el problema al dar una solución más efectiva. Algunos de los tratamientos que existen para este problema son:
- Carilla dental: En este caso si la rotura es en un diente frontal, las carillas son una excelente opción para restaurar la apariencia de un diente roto. Son hechas a medida de porcelana o composite (resina compuesta), y son una solución estética y restauradora bastante popular para devolver la apariencia natural a un diente.
- Implante dental: El implante dental en estos casos se utiliza cuando la fractura no tiene buen pronostico, es un proceso en el que el dentista extrae el diente roto y en su lugar colocan un implante, para posteriormente colocar una corona.
- Corona dental: Pueden ser útiles para cubrir gran parte de un diente afectado, siendo una de las soluciones más convenientes para los dientes rotos en la zona posterior de la boca. Las coronas son más gruesas que las carillas y restauran la forma y apariencia del diente, suelen estar hechas de metal, porcelana y cerámica.
- Tratamiento de conducto o endodoncia: Si se tiene un diente roto en el que la pulpa esta afectada por el grado de fractura, tu dentista podra valorar la necesidad de una endodoncia para evitar o tratar una infeccion en el diente.
- Empaste u obturación dental: Son uno de los procedimientos dentales más seguros que utilizan los dentistas para reparar dientes rotos.
La reparación de un diente roto depende del tipo y la extensión de la fractura. Como hemos explicado previamente, cuando el paciente llega a la consulta con un diente roto, el dentista evalúa la zona donde se ha producido la fractura. Si el diente se ha astillado, el dentista lo limará y pulirá con la ayuda de fresas.
Cuando el diente se ha roto parcialmente, la primera opción será tratar de colocar el trozo de diente que se ha desprendido, en el caso de que el paciente lo haya recogido. Ante una rotura total, el dentista también tratará, en primer lugar, de colocar el trozo de diente recogido por el paciente. Si ambas partes del diente no se pueden unir, el odontólogo realizará una reconstrucción del diente con composite.
En resumen, un diente fracturado puede ir desde una pequeña grieta hasta partirse en dos mitades. Cuanto más profunda y extensa la fractura, más grave es la situación. Pero incluso un diente partido en dos muchas veces se puede arreglar si actuamos a tiempo.

El tratamiento dependerá del tipo y gravedad de la fractura. Para roturas pequeñas o astilladuras, se utiliza resina del mismo color del diente para restaurar su forma original.
En casos de roturas externas no hace falta acudir a urgencias ya que normalmente el paciente no siente dolor, pero sí es importante pedir cita con tu dentista para reconstruir ese diente dañado lo antes posible.
Tabla de Tratamientos Según el Tipo de Fractura
| Tipo de Fractura | Tratamiento Común | Descripción |
|---|---|---|
| Astillado o Fisurado Superficial | Limado y Pulido | Alisado del borde quebrado y eliminación de la grieta superficial. |
| Fractura Parcial de la Corona | Adhesión del Fragmento o Reconstrucción con Composite | Reponer el fragmento si está disponible o reconstruir con resina compuesta. |
| Fractura que Afecta la Pulpa | Endodoncia y Corona | Remoción de la pulpa dañada y protección del diente con una corona. |
| Fractura Radicular | Extracción e Implante | En casos graves, extracción del diente y reemplazo con un implante. |
Procedimientos Adicionales
- Endodoncia: Mediante la endodoncia, se extraerá el nervio del diente y se rellenará la cavidad en la que estaba dicho nervio con un material de obturación.
- Incrustaciones: se recomiendan para cavidades amplias en dientes en los que se ha realizado una endodoncia.
- Corona dental: La fabricación de una corona para reconstruir un diente roto es otro de los métodos usados por los odontólogos.
- Reconstrucción estética con composite: para restaurar la forma del diente.