La fusión dental es una anomalía anatómica que consiste en la unión de dos o más gérmenes dentarios adyacentes durante las fases preeruptivas. Esta unión se produce a través de la dentina, resultando en un diente único. En ocasiones, los dientes fusionados pueden compartir la cámara pulpar, aunque generalmente presentan dos cámaras pulpares separadas.

Ejemplo de dientes fusionados.
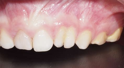
¿Qué es la Anquilosis Dental?
Aunque el término pueda sonar desconocido, la anquilosis dental es una alteración que afecta entre el 1,3% y el 8,9% de los dientes temporales (de leche). La anquilosis dental es una anomalía que provoca una unión entre el diente y el hueso que lo rodea. Aunque los dientes permanentes también pueden sufrir anquilosis dental, normalmente esta alteración es más frecuente en los dientes de leche de los niños.
Causas de la Fusión Dental
A día de hoy, las causas concretas de la anquilosis dental son desconocidas.
- Traumatismos dentales previos: Los golpes en la boca pueden dañar el ligamento periodontal.
- Alteraciones en el proceso de erupción de los dientes: El anquilosamiento de un diente de leche impide la correcta erupción de la pieza dental permanente.

Dientes supernumerarios.
Síntomas y Diagnóstico
La anquilosis dental no produce síntomas evidentes en el propio paciente. Es importante diagnosticar la anquilosis dental de manera temprana. Los dientes supernumerarios no acostumbran a dar sintomatología y su hallazgo suele ser casual en pruebas radiográficas de rutina en la clínica dental.
Consecuencias de la Fusión Dental
Esta anomalía dental a veces puede causar problemas estéticos, ya que los dientes más afectados suelen ser los frontales. Los dientes gemelos pueden tener varias consecuencias en el alineamiento de los dientes, dependiendo de la gravedad y la ubicación de la fusión.
- Maloclusiones dentales: Los dientes anquilosados no se pueden mover igual que el resto de piezas dentales durante un tratamiento de ortodoncia.
- Problemas estéticos: Al ocurrir generalmente en la región interincisiva, pueden provocar problemas estéticos de muy difícil solución si la fusión se extiende radicularmente.
- Pérdida de longitud de la arcada: Puede haber una posible pérdida de longitud de la arcada.
- Erupción retrasada o ectópica: Puede provocar la erupción retrasada o ectópica de los dientes permanentes.
- Caries y abscesos: Mayor riesgo de caries a lo largo de la línea de unión, y los abscesos periodontales.
Dientes Unidos: Fusión Dental
Tratamientos para la Fusión Dental
Existen distintos tratamientos que se pueden aplicar en un diente anquilosado. El plan de tratamiento deberá ser tenido en cuenta especialmente cuando las anomalías dentarias se presenten en la dentición permanente. El tratamiento dependerá de la edad, la ubicación y la gravedad de la fusión.
- Mantenimiento y exfoliación natural: En algunos casos, el tratamiento puede pasar por mantener el diente en la boca y esperar a su exfoliación (caída) natural.
- Reconstrucción dental: En otros casos, lo más recomendable puede ser conservar el diente en la boca y reconstruirlo (mediante composite o una corona dental) para nivelar el plano de oclusión.
- Extracción dental: Otras veces, el tratamiento puede consistir en extraer el diente de leche afectado.
- Tratamiento de ortodoncia: En algunos casos, los dientes gemelos pueden requerir tratamiento ortodóncico para corregir problemas de alineación.
- Implantes dentales: Tras haber tratado la anquilosis dental, puede ser necesario llevar a cabo un procedimiento complementario. En nuestra clínica dental en Barcelona siempre recomendamos el mismo tratamiento tras la pérdida de un diente: los implantes dentales. La razón es que no solo recuperan la estética de la sonrisa, sino que cumplen una función estructural dentro de la boca, recuperando la masticación con esa pieza dental que se había perdido.

Apiñamiento dental causado por dientes supernumerarios.
Dientes Supernumerarios (Hiperdoncia)
Los dientes supernumerarios o hiperdoncia suponen la aparición de dientes en exceso en la boca. No tienen la forma de un diente normal sino que tienen una forma llamada microdóntica. Aunque las causas de los dientes supernumerarios no están totalmente investigadas, en general puede ser por un factor genético. Los dientes supernumerarios los pueden tener tanto niños como personas adultas.
Tratamiento para Dientes Supernumerarios
Para los adultos hay un tratamiento que se llama exodoncia y que se puede combinar si es necesario con tratamientos de ortodoncia para conseguir restablecer la funcionalidad y la estética de la sonrisa del paciente. Lo más importante sin duda es que acudas a tus citas periódicas con el dentista para poder detectar a tiempo si tienes dientes supernumerarios y así comenzar cuanto antes el tratamiento que dejará tu sonrisa nuevamente perfecta.
Colmillos Montados
Tener colmillos montados no es solo un problema estético, sino que es un claro síntoma de que nuestra mordida es incorrecta. El origen de los colmillos altos se encuentra en el propio proceso de erupción dental. Esto provoca que, en muchas ocasiones, al haber salido ya el resto de dientes, los colmillos no tengan suficiente espacio para alinearse con el resto y se queden en la parte alta de la encía. Cada caso es único y por eso hablamos de colmillos montados de forma general, cuando están fuera del sitio que le corresponde.
Soluciones para Colmillos Montados
En función de las necesidades concretas del paciente, la solución para bajar unos colmillos altos pasa por dos opciones diferentes: tratamiento de ortodoncia con o sin extracciones de premolares. Cuando existe suficiente espacio en la arcada, la corrección de los colmillos montados se puede llevar a cabo sin realizar extracciones. Al igual que otras alteraciones relativas al alineamiento y la mordida de los dientes, la solución para los caninos altos es realizar una ortodoncia.
Tabla Resumen de Anomalías Dentales
| Anomalía | Descripción | Causas | Tratamiento |
|---|---|---|---|
| Fusión Dental | Unión de dos o más gérmenes dentarios | Factores genéticos, traumatismos | Mantenimiento, reconstrucción, extracción |
| Anquilosis Dental | Unión del diente al hueso | Desconocidas, traumatismos | Mantenimiento, reconstrucción, extracción |
| Hiperdoncia | Dientes supernumerarios | Factores genéticos | Exodoncia, ortodoncia |
| Colmillos Montados | Colmillos fuera de su posición | Proceso de erupción, falta de espacio | Ortodoncia |