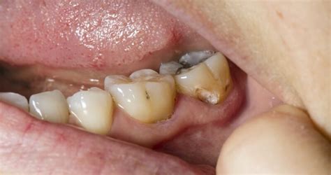
Una muela picada es un problema dental común que afecta a personas de todas las edades. De forma común, se refiere a un molar afectado por caries. Aunque esta infección puede darse en cualquier pieza dental, cuando ocurre en una muela, el dolor es especialmente intenso y localizado.
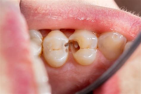
Las caries dentales son unos agujeros, que aparecen en las capas exteriores de los dientes llamadas esmalte y dentina. Lo que conocemos como una muela picada es aquella que tiene caries, algo muy frecuente en la población. De hecho, se estima que alrededor del 90% de las personas las padece.
En este artículo, te explicamos qué hacer si tienes una muela picada y cómo prevenir su aparición en un futuro para mantener tu salud bucal en óptimas condiciones.
¿Qué es una muela picada?
Básicamente, llamamos muela picada a la afección causada por una caries en el molar. Los molares son los 6 pares de dientes más posteriores de nuestra mandíbula. Esto quiere decir que son unas piezas dentales básicas para nuestra rutina alimenticia, por no decir que son los dientes que más usamos al masticar.
Esta afección, también conocida como caries dental, se manifiesta en forma de pequeños agujeros que aparecen en las capas exteriores de los dientes, llamadas esmalte y dentina, y que protegen la pulpa dental.
Las bacterias que provocan la caries convierten los azúcares simples en placa ácida. Esta placa debilita el esmalte y la dentina, haciendo que se disuelvan con la saliva y formando una cavidad o agujero en el diente.
Las caries dentales son muy frecuentes, afectando a más del 90% de la población. Las bacterias que provocan las caries, se alimentan de azúcares simples, convirtiéndolos en placa ácida. Esta placa hace que el esmalte y la dentina se ablanden.
Así, a menos que esa cavidad o agujero la rellenemos con un empaste, acabará dañando el interior del diente.
En nuestra boca encontramos la placa bacteriana, una fina capa que cubre la superficie de nuestros dientes donde habitan las bacterias orales. Cuando entran en contacto con la comida, algunos de estos agentes liberan los ácidos causantes de las caries. Con el tiempo, si no retiramos adecuadamente la placa bacteriana mediante el cepillado dental, los grupos de bacterias se solidifican creando el sarro o cálculo dental.
Entender qué causa la descomposición dentaria es más sencillo de lo que crees. Tu boca contiene bacterias y si no se controlan, estas pueden dañar la capa protectora de los dientes. Pese a que puede que te encante tomarte un café especiado con canela en invierno o un aperitivo dulce por la noche, todo lo que ingieres puede hacer que las bacterias se acumulen y den lugar a la placa. La placa es una película pegajosa compuesta por bacterias, proteínas de la saliva y restos de comida. Tras digerir la comida, las bacterias liberan un ácido capaz de disolver el calcio de los dientes. Si no se limpia bien, este ácido puede hacer que el diente empiece a descomponerse y se forme un agujero en él.

¿Por qué se produce una muela picada?
La formación de una muela picada, o caries dental, es el resultado de una combinación de factores que interactúan entre sí. Los principales son:
- Placa bacteriana: La placa bacteriana es una película pegajosa que se forma constantemente sobre los dientes como resultado de la interacción de las bacterias presentes en la boca con los restos de alimentos. Estas bacterias se alimentan de los azúcares presentes en los alimentos y producen ácidos como subproducto.
- Acción de los ácidos: Los ácidos producidos por las bacterias atacan el esmalte dental, la capa más externa y dura del diente. Con el tiempo, este ataque constante debilita el esmalte, creando pequeñas cavidades o caries.
- Dieta rica en azúcares: El consumo frecuente de alimentos y bebidas azucaradas proporciona a las bacterias la fuente de energía que necesitan para producir ácidos y acelerar el proceso de desmineralización del esmalte.
- Falta de higiene bucal: No cepillarse los dientes de forma adecuada y regular permite que la placa bacteriana se acumule y las bacterias proliferen, aumentando el riesgo de caries.
- Falta de flúor: El flúor es un mineral que ayuda a fortalecer el esmalte dental y a hacer que los dientes sean más resistentes a los ácidos. La falta de flúor en la dieta o en los productos de higiene bucal puede aumentar la susceptibilidad a las caries.
- Sequedad bucal: La saliva ayuda a neutralizar los ácidos producidos por las bacterias y a eliminar los restos de alimentos. La disminución del flujo salival, ya sea por causas médicas o por el uso de ciertos medicamentos, puede favorecer la aparición de caries.
- Factores genéticos: La susceptibilidad a las caries puede tener un componente genético. Algunas personas pueden tener un esmalte dental más débil o una composición salival que los hace más propensos a desarrollar caries.
Además, la existencia de una periodontitis o una gingivitis puede favorecer la aparición de muelas picadas. También un golpe en la boca o traumatismo dental, ya que a veces dejan un espacio abierto para que las bacterias alcancen el interior del diente y lo infecten.
Esta situación puede estar provocada por varias causas:
- Higiene oral insuficiente: no cepillarse los dientes adecuadamente o no usar hilo dental permite la acumulación de bacterias y la formación de placa dental.
- Consumo frecuente de alimentos y bebidas azucaradas y ricas en almidones: los azúcares y almidones alimentan las bacterias en la boca, que producen ácidos que desmineralizan el esmalte dental.
- Falta de flúor: el fluoruro ayuda a fortalecer el esmalte dental y prevenir la caries, por lo que una deficiencia de este en el agua potable o en la pasta dental puede aumentar el riesgo de tener una muela picada.
- Predisposición genética en la susceptibilidad a las caries dentales: factores como la dureza del esmalte y la composición de la saliva pueden influir en la aparición de caries y muelas picadas.

Síntomas de una muela picada
¿Dolor de MUELAS? Podría ser PULPITIS - Tratamiento INFLAMACIÓN NERVIO dental | Dentalk! ©
Una muela picada puede manifestarse de diversas formas, pero los síntomas más comunes son:
- Dolor dental: Es uno de los síntomas más evidentes. El dolor puede ser agudo, punzante, constante o aparecer y desaparecer. A menudo, se intensifica al masticar, aplicar presión sobre el diente o al consumir alimentos o bebidas calientes, frías o dulces.
- Sensibilidad dental: Las caries pueden causar sensibilidad al frío, calor, dulces o alimentos ácidos. Este síntoma se produce cuando la cavidad expone la dentina, una capa más profunda del diente que contiene diminutos túbulos que conducen al nervio.
- Manchas en los dientes: Las caries pueden causar manchas blancas, marrones o negras en la superficie del diente, especialmente en las zonas afectadas.
- Mal aliento: Las bacterias que causan las caries pueden producir compuestos de azufre que causan mal aliento persistente.
- Mal sabor de boca: Un sabor desagradable en la boca también puede ser un signo de caries.
- Inflamación de las encías: En casos avanzados, la infección causada por la caries puede extenderse a las encías, provocando enrojecimiento, hinchazón y dolor.
- Dolor en el oído: En ocasiones, el dolor de una muela picada puede irradiarse hacia el oído.
- Dolor de cabeza: En algunos casos, una infección dental puede causar dolor de cabeza.
El síntoma principal que alerta de la presencia de una muela picada es el dolor localizado y punzante. No obstante, el dolor de muelas puede responder a diversos problemas bucales, por lo que la mejor forma de identificar una muela picada es acudiendo a un profesional experto en odontología. La molestia suele ser menor en las primeras fases de desarrollo de la caries, pues a medida que va avanzando hacia el interior del diente, el dolor aumenta considerablemente hasta ser constante cuando la muela ya está rota.
Otro de los síntomas de una muela picada es la sensibilidad dental. El dolor puede aparecer cuando la muela dañada entra en contacto con alimentos o bebidas frías, permaneciendo incluso cuando se ha retirado el estímulo externo. Esta afección también puede dañar las encías, causando inflamación y sangrado de las mismas.
Por otro lado, las muelas picadas pueden presentar manchas marrones o amarillentas en la zona infectada, muestra de la desmineralización y avance de la caries. El mal aliento persistente (halitosis) y el sabor desagradable en la boca también pueden ser signos de una infección dental debido a una muela picada.
Los principales síntomas que revelan que sufrimos de muelas picadas y su tratamiento es necesario son el dolor y la apariencia de la muela. Cuando sufrimos caries, la muela se vuelve muy sensible al masticar o al entrar en contacto con bebidas a temperaturas muy bajas. Conforme avanza la caries, el dolor será más agudo y más constante, ya que se abrirá paso al nervio y puede llegar a dañar la pieza dental.
La apariencia de la muela es otro indicativo notable, ya que el sarro suele aparecer antes que la caries, por lo que podrás notar manchas marrones o amarillas en tus dientes. También se puede dar la halitosis o mal aliento, debido a la acumulación de bacterias.

Tratamiento para las muelas picadas
¿Dolor de MUELAS? Podría ser PULPITIS - Tratamiento INFLAMACIÓN NERVIO dental | Dentalk! ©
Según la gravedad de la lesión, el tratamiento puede variar. Para curar una muela picada, es necesario un tratamiento en una clínica dental, donde un profesional evaluará el estado de la muela para poner en marcha un procedimiento u otro.
La única forma de curar una muela picada es mediante un tratamiento en el dentista.
A continuación, te detallamos las opciones más comunes:
- Obturación o empaste dental: Es el tratamiento más común y se utiliza cuando la caries es superficial. El dentista elimina la parte afectada del diente y la rellena con un material de relleno, como la resina compuesta, para restaurar la forma y función del diente.
- Endodoncia: Si la caries ha alcanzado la pulpa dental, se realiza una endodoncia. Este tratamiento consiste en eliminar la pulpa infectada, limpiar los conductos radiculares y sellarlos. Después, se coloca una corona dental para proteger el diente.
- Extracción dental: En casos muy avanzados, cuando el diente está muy dañado o la infección es extensa, puede ser necesaria la extracción del diente. Posteriormente, se pueden considerar opciones como un implante dental, un puente o una dentadura postiza para reemplazar el diente perdido.
Veamos con más detalle cada uno de estos tratamientos:
Empaste dental
La obturación o empaste dental es el tratamiento más común y efectivo para curar muelas picadas. Se aplica en casos de caries menores, donde el dentista eliminará la parte afectada de la muela y la rellenará con resina compuesta o porcelana, entre otros posibles materiales. Se realiza bajo anestesia local.
Coronas dentales
Se suelen utilizar en casos de daño extendido. En este tratamiento se realiza un limado del diente para ajustar una cubierta. Se mantiene el diente original, pero se coloca una corona en la superficie para protegerlo.
Endodoncia
En casos más graves de muela picada, se puede realizar una endodoncia con el fin de vaciar el interior de la muela, donde están las terminaciones nerviosas y vasos sanguíneos. Así, se elimina la pulpa dental, se limpia el conducto radicular y, finalmente, se sella la muela.
Extracción e implante dental
En casos en los que el diente del paciente no se puede reconstruir, puede ser necesario extraer la pieza. Posteriormente, se pueden considerar opciones de reemplazo como implantes dentales o puentes. Esta solución se suele dar cuando se recurre tarde a un profesional y la afección se ha desarrollado completamente.

Consecuencias de no tratar una muela picada
Ignorar una muela picada puede tener consecuencias graves para tu salud bucal y general. A continuación, te detallamos algunas de las posibles complicaciones:
- Infección de la pulpa dental: La pulpa es la parte viva del diente que contiene nervios y vasos sanguíneos. Si la caries alcanza la pulpa, puede producirse una infección, causando dolor intenso y sensibilidad.
- Absceso dental: Una infección no tratada puede propagarse y formar un absceso dental, que es una bolsa de pus que se acumula en la raíz del diente. Los abscesos pueden causar dolor intenso, hinchazón en la cara, fiebre y mal aliento.
- Pérdida del diente: Si la infección no se trata, puede destruir el hueso que sostiene el diente, lo que finalmente puede llevar a la pérdida del diente.
- Enfermedad periodontal: Las bacterias de una caries no tratada pueden propagarse a las encías y al hueso que sostiene los dientes, causando enfermedad periodontal. Esta enfermedad puede provocar la pérdida de hueso y, en última instancia, la pérdida de dientes.
- Dificultad para masticar: Una muela picada puede dificultar las masticación de los alimentos, lo que puede afectar tu nutrición de desarrollar más caries.
- Problemas en otros dientes: Las bacterias de una caries pueden propagarse a otros dientes, aumentando el riesgo de desarrollar más caries.
- Problemas de salud sistémicos: En algunos casos, las infecciones dentales pueden propagarse a otras partes del cuerpo, causando problemas de salud más graves, como endocarditis (infección del revestimiento interno del corazón) o abscesos en otros órganos.
Por lo tanto, si se tiene una muela picada, es importante acudir al dentista y seguir sus recomendaciones, ya que como hemos visto, hay muchas posibles consecuencias, de mayor o menor impacto, derivadas de no tratar las caries en muelas.
Prevención de las muelas picadas
¿Dolor de MUELAS? Podría ser PULPITIS - Tratamiento INFLAMACIÓN NERVIO dental | Dentalk! ©
Una buena higiene bucal y hábitos saludables son fundamentales para prevenir la aparición de caries.
Aquí hablaremos de las causas de las muelas picadas, cómo «curarlas» y qué medidas de prevención existen. Como siempre, prevenir es mejor que curar, por lo que estos métodos de prevención de la erosión dental pueden ayudarte a evitar este desagradable problema.
La higiene diaria en casa es esencial para retirar las bacterias y restos de alimentos causantes de las caries. Para que el lavado dental sea efectivo, debe durar al menos 2 minutos y hay que pasar el cepillo por todos los dientes, haciendo especial hincapié en las muelas. Además, recuerda que realizar una higiene profesional es la forma de retirar por completo los restos de sarro.
Además, existen tratamientos infantiles orientados precisamente a evitar la aparición de caries en las muelas de los niños, como los selladores dentales.
A continuación, se presentan algunas recomendaciones clave para prevenir las muelas picadas:
- Cepillarse los dientes al menos dos veces al día con pasta dental con flúor, especialmente después de las comidas y antes de acostarse.
- Usar hilo dental diariamente para eliminar la placa y los restos de comida entre los dientes y debajo de la línea de las encías.
- Limitar el consumo de alimentos y bebidas azucaradas, especialmente entre comidas.
- Visitar al dentista regularmente para exámenes y limpiezas profesionales.
- Considerar el uso de enjuagues bucales con flúor para fortalecer el esmalte dental.
- El uso del Dentífrico Avanzado en combinación con el Sérum Avanzado Regenerate aumenta considerablemente la dureza del esmalte, con una recuperación del 82 % después de 3 días.
