¿Has notado que alguno de tus dientes cambia de color, se rompe con facilidad o te causa dolor constante? Estos pueden ser signos de lo que comúnmente se conoce como dientes podridos. Aunque suene alarmante, es una realidad más frecuente de lo que parece, y puede tener consecuencias graves si no se trata a tiempo. En este artículo te explicamos qué son exactamente los dientes podridos, por qué aparecen, cómo prevenirlos y qué soluciones existen hoy en día gracias a la odontología moderna.
Tus Dientes Cuando Tienes Caries | Casi Creativo
¿Qué son los dientes podridos?
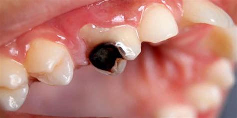
El término dientes podridos hace referencia a dientes gravemente deteriorados, generalmente por caries no tratadas, infecciones o enfermedades periodontales avanzadas. Estos dientes pueden presentar un color oscuro, estar fracturados, tener cavidades profundas o incluso mostrar destrucción total de la corona dental.
Aunque suene alarmante, lo cierto es que muchas personas sufren esta situación sin saberlo o sin darle la importancia que merece. Ignorar los signos de alerta puede derivar en la pérdida del diente o en problemas más graves a nivel sistémico.

Causas más frecuentes de los dientes podridos
Hay varios factores que pueden provocar la aparición de dientes podridos, y en la mayoría de los casos, son evitables:
- Higiene bucodental deficiente: No cepillarse adecuadamente o saltarse el uso de hilo dental favorece la acumulación de placa bacteriana y caries.
- Consumo frecuente de azúcares: Los alimentos y bebidas azucaradas alimentan a las bacterias que producen ácidos destructivos para el esmalte dental.
- Caries no tratadas: Una pequeña caries puede evolucionar en cuestión de meses y destruir completamente el diente si no se trata a tiempo.
- Bruxismo: El rechinar constante desgasta el esmalte y puede dejar al diente vulnerable a infecciones.
- Boca seca: La falta de saliva, que actúa como defensa natural, puede acelerar la descomposición de los tejidos dentales.
- Fumar o consumir alcohol en exceso: Ambos hábitos deterioran las encías y debilitan la estructura dental, favoreciendo la aparición de dientes podridos.
- Factores genéticos: Las personas que tienen tendencia a sufrir de caries por causas genéticas, también pueden ser propensas a tener dientes podridos causados por caries no tratadas.
Además, las caries serán las causantes del deterioro. Sin embargo, detrás de ellas existe otro sin fin de motivos que incentivan al desarrollo de las caries:
- Malos hábitos alimenticios: Las caries suelen ser el resultado de consumir alimentos azucarados o almidonados en exceso.
- Falta de higiene: La falta de cuidado en nuestra higiene bucodental puede derivar en diversas enfermedades. Al dejar restos de comida entre nuestros dientes, estamos fomentando al foco infeccioso.
- Desgaste del esmalte: Cuando el esmalte se desgasta, las bacterias y la placa atacan la dentina más suave que se encuentra en el interior del diente.
- Reflujo gastroesofágico: El hecho de que los ácidos del estómago vuelvan al esófago y la boca también puede causar dientes podridos.
¿Cómo saber si tienes dientes podridos?
Algunos síntomas pueden alertarte de que algo no va bien:
- Dolor constante o punzante en un diente. El dolor en las muelas puede llegar a ser muy intenso.
- Sensibilidad extrema al frío, calor o alimentos dulces.
- Mal aliento persistente, incluso con higiene adecuada.
- Cambios en el color del diente (amarillo oscuro, marrón o negro). Pueden aparecer manchas de color marrón, negro, amarillo o blanco en los dientes.
- Inflamación de encías o aparición de abscesos.
- Fragmentos del diente que se desprenden con facilidad.
- Problemas para masticar los alimentos, que a su vez causan problemas digestivos y de nutrición.
Si reconoces alguno de estos signos, es fundamental acudir cuanto antes al dentista. Realizamos un estudio completo con radiografías y escáner 3D para determinar el alcance del daño y planificar el tratamiento más adecuado.
¿Qué consecuencias tienen los dientes podridos?
Dejar pasar el tiempo sin tratar un diente podrido puede provocar:
- Dolor crónico: La infección puede afectar el nervio dental, provocando molestias severas. El dolor de un diente podrido no tratado puede volverse muy intenso, en especial al momento de comer o ingerir bebidas calientes o frías.
- Pérdida del diente: Si no se actúa a tiempo, la estructura se debilita tanto que no se puede conservar. Los dientes podridos pueden necesitar ser extraídos cuando el dentista considera que los tratamientos disponibles ya no lograrán un efecto positivo.
- Infecciones graves: Un diente podrido puede dar lugar a abscesos o incluso infecciones que se diseminan por el organismo. Los dientes podridos pueden tener una infección grave en el interior que afecta la pulpa y raíz del diente, incluso las encías y provocar enfermedades periodontales.
- Problemas de masticación: La falta de dientes funcionales altera la forma de comer y puede desencadenar problemas digestivos.
- Impacto estético y emocional: Los dientes podridos pueden afectar la confianza y limitar las relaciones personales y profesionales. Repercusiones estéticas: los dientes podridos pueden presentar grandes surcos y adquirir una apariencia negra, grisácea o descolorida.
Tratamientos para dientes podridos
El tratamiento de los dientes picados se encontrará totalmente relacionado con el avance de las caries. Si la caries no ha llegado a la pulpa de la pieza dental, esta podrá rellenarse. En caso de que la pulpa se vea afectada, podrá extraerse mediante un tratamiento radicular.
Las opciones incluyen:
- Empastes o reconstrucciones dentales: Cuando el daño no es muy avanzado, eliminamos la caries y reconstruimos el diente con resina compuesta de alta estética. Esta solución es rápida y mínimamente invasiva. En los pacientes en los que el daño no ha llegado hasta el centro del diente, un empaste dental es la solución duradera dependiendo del material de fabricación. Se elimina la parte dañada de la pieza y se rellena con resina, devolviendo al diente su funcionalidad y estética. Es el tratamiento más utilizado cuando la caries solo ha afectado a la capa externa del diente y, en consecuencia, no ha alcanzado el nervio. Los empastes pueden durar muchos años, pero no son permanentes.
- Incrustaciones y coronas: Si el daño es muy grande, en lugar de usar resinas, se colocan incrustaciones dentales para restaurar el diente. Por otro lado, cuando el diente podrido ha cambiado su forma o su tamaño por causa del daño, el dentista puede sugerir fundas dentales para proteger el diente y devolverle la estética. Cuando el daño es muy extenso, resulta necesario colocar una corona tras realizar la endodoncia.
- Endodoncia: Si la caries ha llegado al nervio dental, es necesario realizar una endodoncia (tratamiento de conductos). En este procedimiento limpiamos el interior del diente y lo sellamos para evitar infecciones futuras. Luego se reconstruye o se protege con una corona. Con este procedimiento se desinfecta el interior de un diente cuando la pulpa o la raíz ha sido afectada por una caries, con lo cual se elimina del interior los tejidos dañados y el diente se recupera. Los tratamientos de conducto se realizan bajo anestesia local para minimizar el dolor durante el procedimiento. Si la caries ha llegado hasta la pulpa del diente (capa interna en la que se encuentran los nervios y vasos sanguíneos), será necesario recurrir a una endodoncia. Mediante este procedimiento, se retira la pulpa dañada, se limpian y desinfectan los conductos radiculares y se rellenan con un material biocompatible.
- Extracción y sustitución: En casos en los que el diente está completamente destruido, debemos extraerlo. Posteriormente, podemos reponerlo con un implante dental o un puente, devolviendo al paciente la capacidad de masticar con normalidad y una sonrisa sana. Una exodoncia es la opción cuando el daño del diente es irreparable, y el dentista considera que no hay un tratamiento que pueda salvarlo. Luego de extraer la pieza desde la raíz, el paciente puede optar por una prótesis o un implante dental para ocupar el espacio. Asimismo, esta opción solo debe aplicarse en caso que el diente no tenga salvación alguna, y su estructura se encuentra muy afectada. En los casos más graves, cuando la pieza dental tiene dañada gran parte de su estructura, resulta necesario extraer el diente podrido. Una vez extraído, se valorará cuál es la opción de reemplazo más adecuada. Si son varias las piezas dentales que se han podrido, tal vez sea más fácil recurrir a una prótesis removible completa en vez de realizar varios implantes dentales.
- Tratamiento de flúor: En las etapas iniciales de la caries, el tratamiento puede involucrar la aplicación de flúor. Este mineral ayuda a restaurar el esmalte dental y puede prevenir el avance de la caries.
Prevención: la mejor forma de evitar dientes podridos
El mejor tratamiento para los dientes podridos es, sin duda, la prevención. Ya sabemos qué es lo que causa los dientes podridos y también cómo ponerles solución.
Te recomendamos:
- Cepillarte tres veces al día con pasta fluorada. Es necesario que laves tus dientes tres veces al día (especialmente, por la noche, tras la cena), durante unos cuatro minutos cada vez.
- Usar hilo dental a diario. Sabemos que la placa dental es difícil de eliminar en tu totalidad, ya que se deposita también en lugares de difícil acceso.
- Usar colutorios o enjuagues bucales. Los colutorios o enjuagues bucales también ayudan a eliminar más placa en lugares inaccesibles de la boca.
- Evitar el exceso de azúcares y bebidas ácidas. El azúcar no es un buen nutriente para ti, pero sí alimenta muy bien a las bacterias que crean la placa bacteriana y los ácidos que dañan tu dentadura. Es importante reducir el consumo de alimentos altos en azúcares que contribuyen al aumento de bacterias que dañan los dientes. También incluye en tu dieta diaria alimentos que aporten flúor para fortalecer tus dientes.
- Acudir al dentista cada 6 meses para revisiones y limpiezas profesionales. Solo llevando un control rutinario del estado de tu boca, tu odontólogo de confianza podrá detectar todo tipo de problemas en su fase inicial, aumentando así las posibilidades de éxito en su posterior tratamiento. Los controles regulares con el dentista son indispensables para cuidar la salud bucal. El odontólogo puede detectar a tiempo problemas antes de que se conviertan en una condición grave. Atacar cualquier afección puede evitar complicaciones o necesidad de un tratamiento más complejo y costoso.
- Higiene oral: este es el primer paso para reducir las bacterias que tienden a acumularse en la boca.
- Hábitos de vida: en general, para prevenir los dientes podridos resulta aconsejable tener un estilo de vida saludable. Recuerda que mantener una buena salud oral no solo previene los dientes podridos, sino que también influye en la salud general de nuestro organismo.
- Realizarte un estudio diagnóstico completo si notas algún cambio en tu boca.
